What are the three forms of pulpitis?
Reversible, irreverisble, and chronic hyperplastic pulpitis
What is the Sequelae of Periapical Pathology?
Sinus tract, osteomyelitis, cellulitis, condensing osteitis.
What are the differentials of a periapical radiolucency?
Periapical granuloma, apical periodontal cyst, periapical abscess, and periapical scar.
What is the most common periapical pathosis?
Periapical granuloma.
What is a periapical granuloma?
Mass of inflamed granulation tissue at the apex of a nonvital tooth.
What is a phoenix abscess?
Secondary acute inflammatory changes within a periapical granuloma.
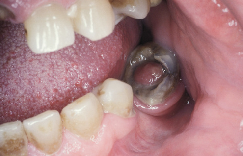
What is this condition?

Chronic hyperplastic pulpitis
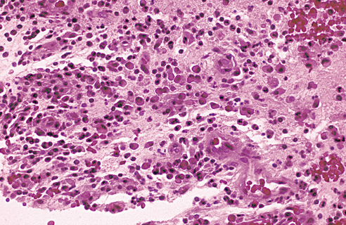
What type of periapical defect is occuring?

Periapical granuloma. Notice the inflammatory cells and CT tissue present.
What type of periapical defect is associated with a corticated rim?
Apical periodontal cyst.
What are the three patterns of a apical periodontal cyst? Describe them.
Classic pattern: lesion surrounds root tip
Lateral apical periodontal cyst: Found on the side of the root
Residual apical periodontal cyst: cyst remains after tooth has been extracted
What is the cause of an apical periodontal cyst?
Inflammatory stimulation of epithelium in the area. (rests of malassez)
What are the two other common names for an apical periodontal cyst?
Periapical cyst and radicular cyst
What is the term for an accumulation of acute inflammatory cells at the apex of a non vital tooth?
Periapical abscess
What is the term for a periapical lesion that is filled with dense collagenous tissue and occurs most frequently when the buccal and lingual cortical plates have been lost?
Periapical scar.
What is an epulis granulomatosa?
Mass gorwing out of an extraction site. Thnk of two things, either granulation tissue or metastatic cancer.
What is chronic hyperplastic pulpitis?
Pulp that is coming up out of the tooth.
What is a sinus tract?
Periapical abscess with pus formation. Penetrates cortical plate and enters soft tissues
What is an intraoral sinus tract?
Also called parulis or gum boil. Marks the exit point of the sinus tract on the oral mucosa.
What are the two types of intraoral sinus tract?
A hole with surrounding redness and an enlarged nodular mass.
What is a cutaneous sinus tract?
When a dental abscess channels through skin and drains via cutaneous skin.
What are the two types of cellulitis associated with dental infections?
Ludwig’s angina and cavernous sinus thrombosis.
What is osteomyelitis?
Acute or chronic inflammation of the bone.
What is the difference betweem bone sequestra and involucrum
Sequestra is when a piece of the bone fragments off. Involucrum is when necrotic bone becomes surrounded by new vital bone.
What is Ludwig’s Angina?
Cellulitis of the submandibular region. Huge issue as it can extend around throat and close off air way potentially leading to death.