What is the likely Dx?

Transient lingual papillitis.
What are the three patterns of transient lingual papillitis? What causes it?
Likely represents hypersensitivity or allergy and is a clinical alteration to the fungiform papilla.
Localized: One to several fungiform papilla involved, anterior dorsal tongue, painful, red or yellow in color.
Generalized: A large percent of fungiform papilla involved, become red, tip and lateral dorsal tongue, very sensitive and painful, associated with fever and lymphadenopathy.
Diffuse: Papulokeratotic variant, large number affected, yellow or white papules and is asympomatic.
What is the likely Dx?

Minor aphthous ulcer.
What is one of the most common oral pathoses?
Recurrent aphthous ulcerations (30% population)
Where do aphthous ulcers occur and what is the acception?
Occur on moveable mucosa unless patient is immunocompromised.
What are the three clinical variations of ulcers and what are their characteristics?
Minor: Occurs in childhood and most common form. Ulcerations are less than 1 cm heal in 7-14 days, 1-5 lesions. Least recurrent.
Major: Occurs more in adolescents, measure 1-3 cm in diameter, demonstrate the longest duration (2-6 wks) and may cause scaring.
Herpetiform: Occurs more commonly in adults, lesions are 1-3 mm in diameter (smallest), and up to 100 ucerations per occurance that can coalesce. Heals in 7-10 days. Most recurrent.
What is the likely Dx?

Bahcet’s syndrome.
In what population does Bahcet’s syndrome occur?
Turkish, Japanesse, and mediterranean countries.
What is the clinical presentation of Bahcet’s syndrome?
Oral aphthous-like ulcerations, ocular inflammation, genital ulcers, and skin lesions.
What is the term for a multisystem granulomatous disorder of unknown cause and occurs more commonly in african americans than caucasians?
Sarcoidosis.
What is the likely Dx?

Sarcoidosis.
What organs are most commonly involved with Sarcoidosis?
Lungs, Lymph nodes, skin, eyes, salivary glands.
With Sarcoidosis, what are the skin lesions of the H&N termed and what are they termed when on the lower legs?
H&N called lupus pernio which are chronic, purple indurated lesions. Lower legs Erythema nodosum which are tender red nodules.
What are the two syndromes associated with Sarcoidosis?
Lofgren’s syndrome: Presents with erythema nodosum, bilateral hilar lymphadenopathy, arthralgia.
Heerfordt’s syndrome: Parotid enlargement, inflammation of the eye, facial paralysis, fever.
What are the histological features of Sarcoidosis? How is it Dx?
Granulomatous inflammation, elevated serum angiotensin-converting enzyme levels.
What is the likely Dx? Hint: crepitis on palpation.

Orofacial Granulomatosis.
What area of the body is most commonly involved with Orofacial Granulomatosis?
Lips.
What is orofacial granulomatosis called when only the lips are involved?
Cheilitis granulomatosa.
What syndrome is associated with orofacial granulomatosis and how does it present?
Melkersson-Rosenthal syndrome: Cheilitis granulomatosa, facial paralysis, fissured tongue.
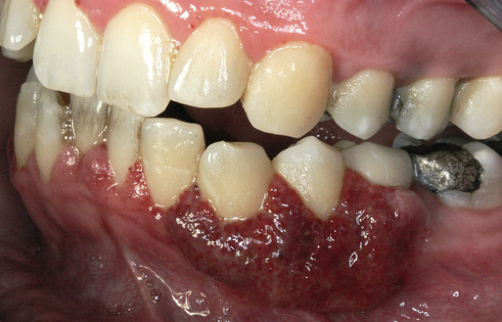
What is the likely Dx?

Wegener’s Granulomatosis.
What is the classical oral lesion associated with Wegener’s granulomatosis?
Strawberry gingivitis
What is the difference between limited and superficial wegener’s granulomatosis?
Limited is the upper respiratory system with no renal lesions while superficial lesions occur primarily on skin and mucosa.
How do you Dx wegener’s granulomatosis?
indirect immunoflourescence detects presence of perinuclear antineutrophil cytoplasm antibodies or cytoplasmic antineutrophil cytoplasm antibodies(most useful)
What is the likely Dx?

Contact stomatitis from cinnamon.