What is the syndrome that experiences a defect in type I collagen maturation?
Osteogenesis imperfecta.
What is the most common type of inherited bone disease?
Osteogenesis imperfecta.
Describe the bone seen with osteogenesis imperfecta.
Thin cortex, fine trabeculation, diffuse osteoporosis.
What is the disease that is a skeletal disorder with a marked increase in bone denisty? (Two names)
Osteopetrosis or marble bone disease.
What cell fails to function properly in osteopetrosis?
Osteoclasts.
What is the likely Dx?

Osteopetrosis.
What is the likely Dx?

Osteopetrosis.
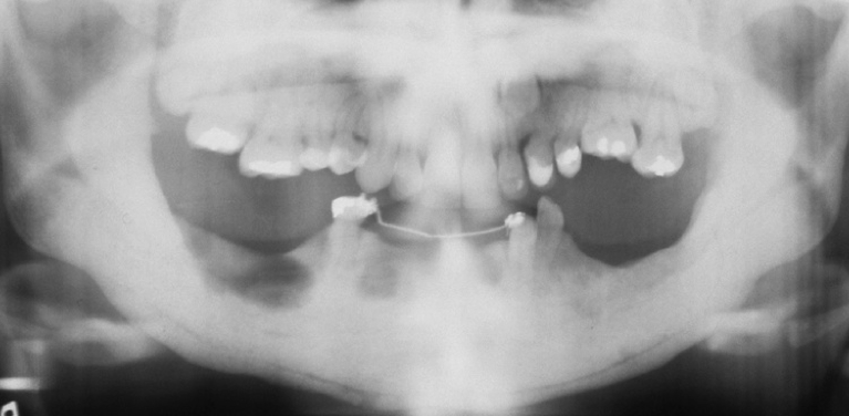
What is the syndrome complex characterized by dental and clavicle abnormalities?
Cleidocranial dysplasia.
What is the likely Dx?

Cleidocranial dysplasia.
Key is the numerous unerupted permanent and supernumerary teeth.
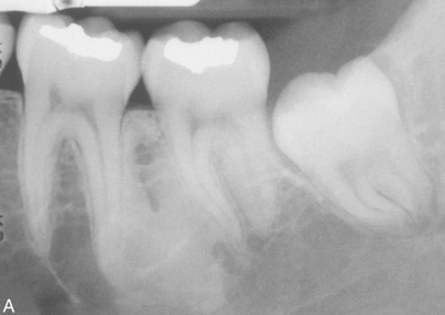
What is the term for an area of hematopoietic marrow that produces a radiolucency?
Focal Osteoporotic Marrow Defect.
What is the likely Dx?

Focal osteoporotic marrow defect.
What is the term for an area of increased radiodensity that is of unknown cause and cannot be attributed to anything else?
Idiopathic osteosclerosis.
What is the likely Dx?

Idiopathic osteosclerosis. NOTE he said this will be a CPC.
Couple of notes for Idiopathic osteosclerosis.
Do not confuse with condensing osteitis which is associated with an infection.
Do not confuse with focal cemento-osseous dysplasia which will have a radiolucent rim.
Do no confuse with cementoblastoma which will be fused with the tooth.
T/F: A radiolucent rim surrounds the finding in idiopathic osteosclerosis.
False.
What is the disease that is characterized by abnormal resorption and deposition of bone?
Paget’s disease of bone.
What is a common complaint of Paget’s disease?
Bone pain.
What bones are most commonly affected in Paget’s disease?
Vertebrae, pelvis, skull, femur.
Some one comes in with the complain that, “their hat will not fit.” What is the possible reasoning?
Paget’s disease leading to progressive increase in head circumference.
What disease is said to have a cotton wool or cotton roll appearance radiographically?
Paget’s disease.
What is the likely Dx?

Paget’s disease. cotton wool appearance and hypercementosis.
What will the serum levels consit of with someone that has Paget’s disease?
High elevations of serum alkaline phosphatase levels and normal calcium and phosphorus levels.
T/F Central giant cell granuloma is a non-neoplastic lesion.
True.
Where is central giant cell granuloma typically seen?
Anterior Jaw crossing the midline.