What is the inherited condition in which two or more ectodermal derived structures fail to develop?
Ectodermal Dysplasia.
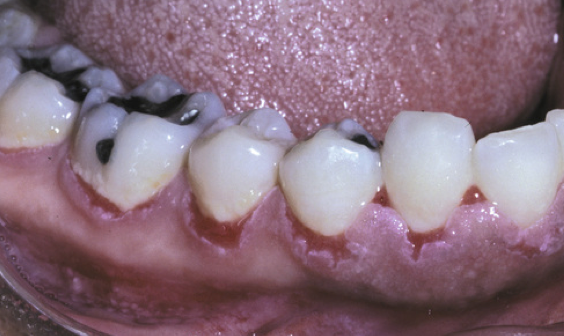
What is the best known form of ectodermal dysplasia and how does it present?
Hypohidrotic: X-linked male predominance, heat intolerance, fine sparse hair, periocular wrinkling with hyperpigmentation, brittle nails, absent salivary glands, missing teeth.
What is the likely dx?

White sponge nevus.
What is the defect seen in white sponge nevus?
Defect in keratins 4 and 13.
What is the likely Dx?

Warty dyskeratoma.
What is the likely Dx?

Peutz-Jeghers Syndrome.
What is the likely Dx?

Peutz-Jeghers syndrome.
What is a system complex characterized by mental retardation, seizure disorders, potato-like growths called tubers, and angiofibromas of the skin?
Tuberous sclerosis.
What are the characteristic skin lesions seen in tuberous sclerosis?
Shagreen patches—> Connective tissue hamartoma.
Ash-leaf spots—> Reverse pigment of cafe au let.
Facial Angiofibromas—> Multiple, smooth-surfaced papules occuring primarily on the nasolabial flod area.
What is the likely Dx?

Tuberous sclerosis.
What attachement disfunction is seen in pemphigus vs pemphigoid?
Pemphigus destroys desmosomes while pemphigoid destroys hemidesmosomes.
What are the 4 diseases of pemphigus?
Vulglaris, vegetans, erythematosus, and foliaceus.
What is the first sign of a pemphigus disease?
Oral lesions. “First to show and last to go.”
What affect does pemphigus have on the epithelium?
There is an intraepithelial split due to the loss of desmosomes.
What is a positive Nikolsky sign and what disease does it present in?
It is when a bulla can be induced on normal-appearing skin when firm lateral pressure is placed on the skin and pressure is exerted.
It is seen in pemphigus.
What term does acantholysis refer to and what disease is it seen in?
When cells of the epithelium “fall apart.”
Seen in pemphigus.
What disease will present with Tzank cells?
Pemphigus and herpes.
What is the purpose of direct and indirect immunoflourescence in pemphigus?
Direct will be positive for C3 and IgG within the epithelium while Indirect correlates with disease activity.
What is the likely Dx?

Pemphigus.
What is the likely Dx?

Pemphigus.
What is pathognomonic of mucous membrane pemphigoid?
An intraoral blood blister.
What is the most significant complication of mucous membrane pemphigoid?
Ocular involvement.
What are the adhesions that form in mucous membrane pemphigoid and what are their significance?
Symblepharons which can cause scarring of the eyelid leading to entropion (inward turning).
What is the likely Dx?

Symblepharon of mucous membrane pemphigoid.