CIPE Flashcards

(77 cards)

1
Q

Qual o tipo mais comum de atresia de esôfago?

A

Tipo C de Gross
(Atresia duodenal + fístula distal)

How well did you know this?
1
Not at all
2
3
4
5
Perfectly
2
Q

Qual o fator de risco para enterocolite necrotizante neonatal?

A

RN prematuro
Baixo peso (< 1500g)
Cardiopatia, sepse, hipoxemia

How well did you know this?
1
Not at all
2
3
4
5
Perfectly
3
Q

Qual defeito congênito da parede abdominal está a direita do cordão umbilical e qual a má formação mais associada?

A

Gastrosquise
Atresia intestinal

How well did you know this?
1
Not at all
2
3
4
5
Perfectly
4
Q

Qual o sinal radiológico da atresia duodenal?

A

Sinal da dupla bolha

How well did you know this?
1
Not at all
2
3
4
5
Perfectly
5
Q

Até quantos anos pode esperar o fechamento espontâneo da hérnia umbilical?

A

4 anos

How well did you know this?
1
Not at all
2
3
4
5
Perfectly
6
Q

Sinais que me levam a pensar em atresia intestinal jejuno-ileal?

A

Artéria umbilical única (cromossomopatia)
Polidrâmnio
Prematuridade
Vômito bilioso precoce

How well did you know this?
1
Not at all
2
3
4
5
Perfectly
7
Q

Qual o diagnóstico diferencial de vômito bilioso no RN nas primeiras 24-48h?

A

Atresia duodenal/jejuno-ileal
Má-rotação intestinal/ volvo intestinal
Enterocolite necrotisante
Ileo meconial (fibrose cística)

How well did you know this?
1
Not at all
2
3
4
5
Perfectly
8
Q

Qual a fisiologia da eliminação do mecônio?

A

RN a termo: 90% em 24h
RN prematuro: até 48h

Obs.: Após 48h investigar

How well did you know this?
1
Not at all
2
3
4
5
Perfectly
9
Q

Quais as palavras chave da DOENÇA DE HIRSCHSPRUNG?

A

Ausência eliminação de mecônio > 48h
Eliminação explosiva após toque retal

How well did you know this?
1
Not at all
2
3
4
5
Perfectly
10
Q

Qual doença associada ao ileo meconial?

A

FIBROSE CÍSTICA (95% dos casos)

How well did you know this?
1
Not at all
2
3
4
5
Perfectly
11
Q

Qual a taxa de fechamento espontâneo de uma CIV?

A

90%

How well did you know this?
1
Not at all
2
3
4
5
Perfectly
12
Q

Qual a CIV mais comum?

A

Membranosa -> cerca de 80%

How well did you know this?
1
Not at all
2
3
4
5
Perfectly
13
Q

Criança com 2 meses de vida com icterícia + dor abdominal + ascite biliar, qual o diagnóstico e conduta?

A

Perfuração espontânea da via biliar
Laparotomia e drenagem da cavidade +- Ráfia ou biliodigestiva

How well did you know this?
1
Not at all
2
3
4
5
Perfectly
14
Q

Transplante hepático
Quais os critérios levados em consideração no PELD para definir a ordem da fila de transplante?

A

Idade
Bilirrubina total
Albumina
TP ou INR
Curva de crescimento

How well did you know this?
1
Not at all
2
3
4
5
Perfectly
15
Q

Qual o diagnóstico diferencial de massa abdominal em criança com idade escolar (5-10 anos)?

A

Linfoma
Neuroblastoma
GIST
Leiomioma / leiomiossarcoma
Teratoma

How well did you know this?
1
Not at all
2
3
4
5
Perfectly
16
Q

Qual o diagnóstico mais comum de uma massa abdominal em uma criança de 5-10 anos, que simula apendicite aguda? Qual a conduta?

A

Linfoma de Burkitt
BIÓPSIA + QT

How well did you know this?
1
Not at all
2
3
4
5
Perfectly
17
Q

Criança com volvo de intestino médio, alças com sofrimento que melhoraram parcialmente após devolvular. Qual a conduta?

A

Second-look em 24-48h

How well did you know this?
1
Not at all
2
3
4
5
Perfectly
18
Q

Má rotação intestinal
Procedimento de Ladd completo: quais os passos?

A

1) Devolvulamento anti-horário;
2) Divisão bandas de Ladd;
3) Ampliação base mesentérica;
4) Apendicectomia;
5) Posição “non-rotation” (delgado à direita, cólon à esquerda).
SEM anastomoses/fixações.

How well did you know this?
1
Not at all
2
3
4
5
Perfectly
19
Q

Atresia intestinal
Qual a classificação de Grosfeld?

A

Tipo I: membrama/diafragma intraluminal
Tipo II: Segmentos cegos ligados por cordão fibroso
Tipo IIIa: Segmentos separados
Tipo IIIb: Apple Peel: atresia + ausência mesentério
Tipo IV: Múltiplas atresias (“cordão de salsicha”)

How well did you know this?
1
Not at all
2
3
4
5
Perfectly
20
Q

Até quanto tempo posso aguardar a descida do testículo?

A

Até 3 meses, após operar

How well did you know this?
1
Not at all
2
3
4
5
Perfectly
21
Q

Hérnia diafragmática congênita
Qual a mais comum?

A

Bochdalek (85%)
Póstero-lateral esquerda

How well did you know this?
1
Not at all
2
3
4
5
Perfectly
22
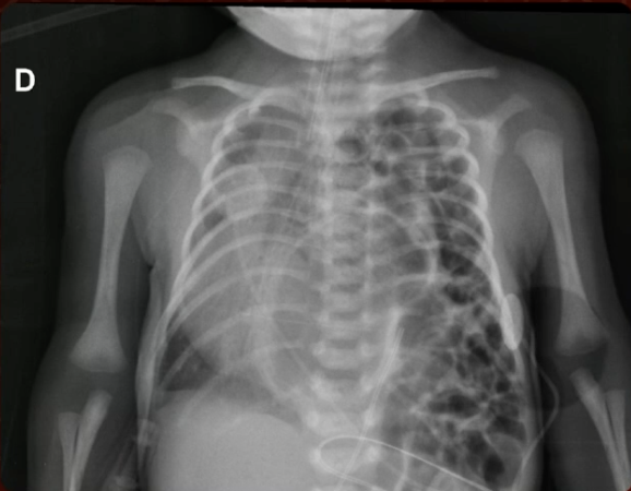
Q

Hérnia diafragmática congênita
Qual achado no raio-x de tórax?

A

Faveolamento intratóracico + desvio mediastinal

Conteúdo abdominal no tórax

How well did you know this?
1
Not at all
2
3
4
5
Perfectly
23
Q

Hérnia diafragmática congênita
Quando operar?

A

Melhor momento clínico da criança

How well did you know this?
1
Not at all
2
3
4
5
Perfectly
24
Q

Hérnia diafragmática congênita
Qual a técnica cirúrgica. Responda as seguintes questões:
Com tela?
Sutura contínua ou separada?
Fio absorvível ou não abdorvível?
Investigar/resolver outras malformações?

A

Sem tela
Separada
inabsorvível
NÃO!!

How well did you know this?
1
Not at all
2
3
4
5
Perfectly
25
**Hérnia diafragmática congênita** Qual a melhor via de acesso cirúrgico?
Toracoscopia ou Laparotomia subcostal
26
**Atresia duodenal** Qual a classificação?
Tipo I -> Membrana Tipo II -> Cordão fibroso Tipo III -> Fundo cego / separado
27
**Atresia duodenal** Qual a síndrome associada?
Down
28
**Atresia duodenal** Qual a cirurgia?
Duodenoduodenoanastomose à diamond shaped
29
**Enterocolite necrotisante** Qual a tétrade da fisiopatologia?
TGI imatura (quebra barreira) Sistema imune imaturo Insulto isquêmico Fórmulas
30
**Enterocolite necrotizante** Qual a caracteristica do grau IIA?
Pneumatose intestinal ## Footnote Comprova diagnóstico de enterocolite
31
**Enterocolite necrotizante** Qual a caracteristica do grau IIB?
Acidose metabólica Trombocitopenia **Celulite de parede abdominal**
32
**Enterocolite necrotizante** Qual a caracteristica do grau IIIA (avançada)?
Hipotensão+ Bradicardia CIVD Anúria Peritonite Ascite
33
**Enterocolite necrotizante** Qual a caracteristica do grau IIIB (avançada)?
PERFURAÇÃO **PNEUMOPERITÔNIO**
34
**Enterocolite necrotizante** Quando operar?
Pneumoperitônio ou Paracentese positiva
35
**Enterocolite necrotizante** Qual cirurgia?
Drenagem beira leito e/ou laparotomia exploradora (avaliar second-look)
36
**Doença de Hirschsprung** Qual a conduta para um RN que não evacuou nas primeiras 48h sem estímulo + distensão abdominal importante?
Enema opaco e/ou manometria retal
37
**Doença de Hirschsprung** Qual exame padrão-ouro para diagnóstico?
Biópsia retal
38
**Doença de Hirschsprung** Quais os achados na biópsia retal? (4)
Ausência de células ganglionares Hipertrofia nervosa Atividade negativa da calretinina Aumento da atividade da colinesterase
39
**Doença de Hirschsprung** Quais as opções cirúrgicas?
Swenson Duhamel Soave Abaixamento de cólon ""pull-trhough"" Endoanal (De la torre)
40
**Doença de Hirschsprung** Como chama o procedimento endoanal?
De la torre
41
**Atresia de vias biliares** Até quando eu devo fazer a cirurgia de Kasai (Hepatoportoenterostomia)?
Antes de 90 dias (preferência antes de 60 dias)
42
**Neoplasias da infância** Quais as características da imagem do neuroblastoma?
Necrose e calcificação ultrapassa linha média
43
**Neuroblastoma** Como fazer o diagnóstico?
Biópsia -> Mutação no ALK
44
**Neuroblastoma** Qual marcador de mau prognóstico?
Amplificação do N-MYC
45
**Neuroblastoma** Qual sequência de exames? (3)
1)TC/RNM 2)Cintilografia com MIBG 3) Biópsia da lesão Biópsia medula óssea Amplificação N-MYC
46
**Neuroblastoma** Qual é o estadio 4S?
Tumor primário localizado (estadio I, 2A e 2B) Metástase em pele, fígado e medula óssea Crianças menores de 1 ano
47
**Neuroblastoma** O que é considerado baixo risco?
Tumor suprarrenal sem amplificação N-MYC Menores de 18 meses ## Footnote Bom prognóstico (90%)
48
**Neuroblastoma** Qual a conduta para o baixo risco?
Cirurgia se ressecavel
49
**Neuroblastoma** O que é considerado risco intermediário?
Tumores localizados Sem amplificação N-MYC caracteristicas que dificultam ressecção Maior 18 meses com Mx
50
**Neuroblastoma** Qual a conduta para o risco intermediário?
QT NEOADJUVANTE Após CX ou RT (N/ totalmente ressecavel)
51
**Neuroblastoma** Qual a conduta para o risco alto?
QT Neo RT tumor residual e Mx Cx para ressecar o que dá Tx Medula
52
**Neuroblastoma** O que é considerado alto risco?
Amplificação N-MYC Metástase
53
**Tumor de Wilms** Como fazer o diagnóstico?
Clínica + TC corte axial
54
**Tumor de Wilms** Faz biópsia?
Não
55
**Tumor de Wilms** Tem calcificação na TC?
NÃO ## Footnote Muito raro (10%)
56
**Tumor de Wilms** Qual sítio de metástase mais comum?
Pulmonar (10%)
57
**Tumor de Wilms** Qual estadiamento?
I - limitado a cápsula II - circunscreve o rim III - Rompido IV - Metástase V - BILATERAL
58
**Tumor de Wilms** Qual o estadio V?
BILATERAL
59
**Tumor de Wilms** Qual conduta SIOP?
Menos de 6 meses -> Cirurgia e QT adjuvante Mais de 6 meses (Sem Mx) -> QT Neo (4sem) -cirurgia - QT adjuvante
60
**Tumor de Wilms** Qual cirurgia recomentada?
Nefroureterectomia total
61
**Tumor de Wilms** Qual conduta da SIOP para mais de 6 meses + metástase?
QT neo 6sem -> Cirurgia -> QT adjuvante
62
**Tumor de Wilms** Faz RT?
Casos selecionados Geralmente não é útil
63
**Tumor de Wilms** Qual cirurgia para o estadio V?
Cirurgia poupadora de néfrons (Enucleação tumoral)
64
Qual a neoplasia mais comum dos recem nascidos (0-6 meses de idade)?
Nefroma mesoblástico Congênito
65
Qual a conduta para o nefroma mesoblastico congênito?
Nefrectomia radical
66
Qual o tumor maligno do fígado mais comum da infância?
HEPATOBLASTOMA
67
Qual o tumor que pode gerar desenvolvimento sexual precoce por produção de B-HCG?
HEPATOBLASTOMA
68
**Hepatoblastoma** Como fazer o diagnóstico?
AFP elevada + TC/RNM ## Footnote Bx na dúvida diagnóstica
69
**Hepatoblastoma** Como é a classificação PRETEXT/POSTEXT?
70
**Hepatoblastoma** Em relação ao PRETEXT/POSTEXT quais são ressecaveis?
I -> 3 setores livres II -> 2 setores livres
71
**Hepatoblastoma** Em relação ao PRETEXT/POSTEXT quais são irressecaveis?
III -> 1 setor livre ou 2 não contíguos IV -> Nenhum setor livre
72
**Hepatoblastoma** Qual tratamento?
PRETEXT -> QT Neo para todo mundo -> Cirurgia -> POSTEXT -> Transplante
73
**Mielomeningocele** Qual a definição?
Defeito do fechamento do tubo neural: ocorre na 4 semana de gestação
74
**Mielomeningocele** Mielomeningocele x meningocele?
Meningocele -> hernia apenas meninge e liquor. Prognóstico bom Mielomeningocele -> Mais comum e grave. Hérnia meninge, liquor e medula/raiz nervosa
75
**Mielomeningocele** Quais as complicações neurológicas?
Déficit motor/sensitivo: paralisia flácida abaixo da lesão Bexiga neurogênica: quase 100% Malformação chiari II: herniação cerebelo Hidrocefalia
76
**Mielomeningocele** Quando operar?
SEMPRE Intraútero -> 19 e 25sem Pós-natal -> 48-72h (24h se houver ruptura)
77
**Mielomeningocele** Qual técnica para defeitos maiores que 5cm?
Retalho