Conjunctiva Flashcards

(26 cards)

1
Q

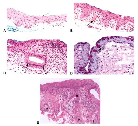
What does each image describe? And what is the characteristic?

A

A - Bulbar conjunctiva with nonkeratinized stratified squamous epithelium.

B - Palpebral conjunctiva with epithelial ridges and the stroma.

C - Conjunctiva at the fornix.

D - Mucin in goblet cells.

E - Caruncular conjunctiva, containing sebaceous glands and hair follicles.

How well did you know this?
1
Not at all
2
3
4
5
Perfectly
2
Q

What type of lesions are these?

A

Ocular surface choristomas.

How well did you know this?
1
Not at all
2
3
4
5
Perfectly
3
Q

What type of conjunctivitis are these?

A

Papillary and follicular conjunctivitis.

How well did you know this?
1
Not at all
2
3
4
5
Perfectly
4
Q

What type of conjunctivitis is this? And what is the characteristic?

A

Papillary conjunctivitis and is closely packed, flat-topped papillae with central fibrovascular cores.

How well did you know this?
1
Not at all
2
3
4
5
Perfectly
5
Q

What type of conjunctivitis is this? And what is the characteristic?

A

Follicular conjunctivitis and is characterized by a lymphoid follicle.

How well did you know this?
1
Not at all
2
3
4
5
Perfectly
6
Q

What are do the arrows and arrowhead indicate?

A

Sarcoid granulomas and a multinucleated giant cell.

How well did you know this?
1
Not at all
2
3
4
5
Perfectly
7
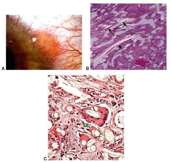
Q

What eye condition is this? And what is demonstrated by the histologic images?

A

Bulbar conjunctival granuloma. And multiple foreign fibers and giant cells.

How well did you know this?
1
Not at all
2
3
4
5
Perfectly
8
Q

What is the characteristic of the nucleus?

A

Cytoplasmic inclusion body composed of chlamydial organisms is capping the nucleus.

How well did you know this?
1
Not at all
2
3
4
5
Perfectly
9
Q

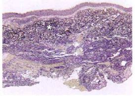
What is this condition? And what is highlighted in these images?

A

Ocular mucous membrane pemphigoid. Epithelial bullae and chronic inflammatory cells and the epithelial basement membrane.

How well did you know this?
1
Not at all
2
3
4
5
Perfectly
10
Q

What is this condition? And what does the histologic exam show?

A

Pyogenic granuloma and a spoke-wheel vascular pattern and a mixture of acute and chronic inflammatory cells.

How well did you know this?
1
Not at all
2
3
4
5
Perfectly
11
Q

What is this condition? And what do the arrows indicate?

A

Pinguecula and elastotic degeneration.

How well did you know this?
1
Not at all
2
3
4
5
Perfectly
12
Q

What are the materials that stains black?

A

Basophilic material.

How well did you know this?
1
Not at all
2
3
4
5
Perfectly
13
Q

What ocular condition is this? And what are the histologic features demonstrated?

A

Pterygium.

Elastotic degeneration, prominent blood vessels, and destruction of the Bowman layer.

How well did you know this?
1
Not at all
2
3
4
5
Perfectly
14
Q

What is this condition? And what is the characteristic of the amyloid on Congo red stain under polarization?

A

Conjunctival amyloidosis and amyloid exhibit birefringence with dichroism.

How well did you know this?
1
Not at all
2
3
4
5
Perfectly
15
Q

What ocular condition is this? And what is the histologic characteristic?

A

Epithelial inclusion cyst and lined by nonkeratinized stratified squamous epithelium with goblet cells.

How well did you know this?
1
Not at all
2
3
4
5
Perfectly
16
Q

What type of lesion is this? And what is the characteristic?

A

Squamous papilloma and the epithelium is hyperplastic and draped over fibrovascular cores.

17
Q

What type of lesion is this? And what is the pattern?

A

Ocular surface squamous neoplasia (OSSN) and corkscrew vascular pattern.

18
Q

What is this schematic representation?

A

The progression of ocular surface squamous neoplasia (OSSN).

19
Q

What condition is this? And what is the histologic characteristic?

A

Conjunctival melanocytic nevus and are round, oval, or pear-shaped cells, mostly arranged in nests.

20
Q

What is this condition? And what does the histologic examination shows?

A

Ocular melanocytosis and an abnormally increased population of pigmented spindle and dendric melanocytes.

21
Q

What are these lesions? And what are the histologic findings?

A

Complexion-associated melanosis and shows small melanocytes confined mainly to the basal layer of epithelium.

22
Q

What is the difference between images A and C? And what are the characteristic features?

A

Mild primary acquired melanosis (PAM) and extensive PAM.

PAM without atypia shows melanocytic proliferation, and PAM with mild to moderate atypia shows small melanocytes without prominent nucleoli.

23
Q

What type of melanoma is this?

A

Melanoma arising from PAM with atypia.

24
Q

What type of melanoma is this?

A

Melanoma of the ciliary body with extrascleral extension.

25
What is this condition? And what does the histologic exam reveals?
Lymphoid lesions of the conjunctiva and sheet of lymphocytes infiltrating the stroma, without well-defined follicles.
26
What is this condition? And what is the characteristic of the cells?
Oncocytoma of the caruncle and cells surround protein-filled lumina with deeply eosinophilic cytoplasm.