Eyelids Flashcards

(30 cards)

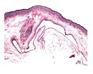
1
Q

What does the image describe? And what are the main layers?

A

Cross-section of normal eyelids and the palpebral conjunctiva, the tarsus, the orbicularis oculi, and the dermis.

How well did you know this?
1
Not at all
2
3
4
5
Perfectly
2
Q

What type of eyelid lesion is this? And what is the characteristic?

A

Phakomatous choristoma of the eyelid and a disorganized proliferation of lens epithelium and occasional bladder cells.

How well did you know this?
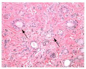
1
Not at all
2
3
4
5
Perfectly
3
Q

What type of cells are these? And what is this condition?

A

Neutrophils and preseptal cellulitis.

How well did you know this?
1
Not at all
2
3
4
5
Perfectly
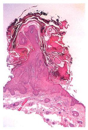
4
Q

What type of infection is this? And what is the characteristic of the lesions?

A

Verruca vulgaris and a papillary growth pattern with fingerlike projections.

How well did you know this?
1
Not at all
2
3
4
5
Perfectly
5
Q

What type of infection is this?

A

Molluscum contagiosum.

How well did you know this?
1
Not at all
2
3
4
5
Perfectly
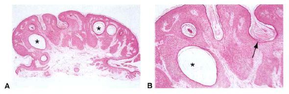
6
Q

What is the characteristic of the epidermis? And what type of lesions are described in the second image?

A

Cup-shaped, thickened epidermis with central crater and molluscum bodies.

How well did you know this?
1
Not at all
2
3
4
5
Perfectly
7
Q

What type of nodules are these? And what is the characteristic?

A

Chalazion and granulomatous inflammation consisting of epithelioid histiocytes and multinucleated giant cells.

How well did you know this?
1
Not at all
2
3
4
5
Perfectly
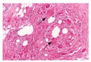
8
Q

What is this condition? And is the characteristic of the cells?

A

Xanthelasma and foam cells surrounding a venule.

How well did you know this?
1
Not at all
2
3
4
5
Perfectly
9
Q

What is this condition? And what is the characteristic?

A

Cutaneous amyloid with multiple myeloma and waxy elevation and purpura of the lower eyelid.

How well did you know this?
1
Not at all
2
3
4
5
Perfectly
10
Q

What type of cyst is this?

A

Epidermal inclusion cyst in the dermis.

How well did you know this?
1
Not at all
2
3
4
5
Perfectly
11
Q

What type of cyst is this? And what is the characteristic?

A

Apocrine hidrocystoma and lined by a double layer of epithelium.

How well did you know this?
1
Not at all
2
3
4
5
Perfectly
12
Q

What are these lesions? And what type of cysts are specified?

A

Seborrheic keratosis and keratin-filled cysts and pseudohorn cysts.

How well did you know this?
1
Not at all
2
3
4
5
Perfectly
13
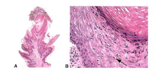
Q

What type of keratosis is this? And what is the characteristic of the lesion?

A

Inverted follicular keratosis and the lesion appeared as a cutaneous horn.

How well did you know this?
1
Not at all
2
3
4
5
Perfectly
14
Q

What is this condition? And what is the characteristic and growth pattern?

A

Keratoacanthoma and central keratin crater and downward growth pattern.

How well did you know this?
1
Not at all
2
3
4
5
Perfectly
15
Q

What are these lesions? And what are the features noted?

A

Actinic keratosis and epidermal acanthosis, disorganization within the epidermis, parakeratosis, and inflammation within the dermis.

How well did you know this?
1
Not at all
2
3
4
5
Perfectly
16
Q

What skin condition is this? And what is the characteristic of the dermis?

A

Solar elastosis and the collagen of the dermis appears bluish.

17
Q

What type of basal cell carcinoma is this? And what is the characteristic?

A

Nodular type basal cell carcinoma. And palisading of the cells and artifactitious separation between the nests of tumor cells.

18
Q

What type of basal cell carcinoma is this? And what is the characteristic of the tumor cells?

A

Basal cell carcinoma, morphea form (sclerosing) type. And thin strands and cords of tumor cells are seen in a fibrotic dermis.

19
Q

What type of carcinoma is this? And what is the characteristic?

A

Squamous cell carcinoma. And a focal loss of lashes, scaly appearance of the lower eyelid, and the presence of a keratin pearl.

20
Q

What is this condition? And what are the features?

A

Capillary hemangioma. And small capillary-sized vessels and proliferation of benign endothelial cells.

21
Q

What are these lesions? And what do the arrows indicate?

A

Syringoma. And round, and comma-shaped epithelial-lined ductules.

22
Q

What type of lesion is this? And what is the characteristic?

A

Sebaceous hyperplasia with numerous sebaceous lobules surrounds a hair follicle.

23
Q

What type of lesion is this? And what do the lobules demonstrate?

A

Sebaceous adenoma. And the focal proliferation of basophilic sebocytes.

24
Q

What is this condition? And what is the characteristic of the lesion?

A

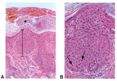
Sebaceous carcinoma. And the lesion mimics a chalazion of the lower eyelid with focal lash loss.

25
What are the characteristics of the cells in these images?
Hyperchromatic, pleomorphic nuclei, pagetoid invasion of the epidermis, and complete replacement of normal conjunctival epithelium by tumor cells.
26
What type of nevus is this?
Congenital split, or kissing nevus of the eyelid.
27
What type of nevus is this?
Junctional nevus.
28
What type of nevus is this? And what are the components present?
Compound nevus. And nests of nevus cells and the dermal-epidermal junction.
29
What type of nevus is this? And what is confined to the dermis?
Intradermal nevus and the nests of nevus cells.
30
What are the types of melanoma described in this image? And what is the growth pattern?
Lentigo maligna, superficial spreading, and nodular melanoma. A linear or nested pattern, scattered among epithelial cells and vertical growth within the dermis.