Orbit Flashcards

(20 cards)

1
Q

What type of cyst is this? And what are the histologic characteristics?

A

Dermoid cyst of the right orbit. And keratinized stratified squamous epithelium and the wall contain sebaceous glands and adrenal structures.

How well did you know this?
1
Not at all
2
3
4
5
Perfectly
2
Q

What inflammatory disorder is this? And what is the characteristic?

A

Orbital myositis. And the skeletal muscle fibers are surrounded by chronic inflammatory cells.

How well did you know this?
1
Not at all
2
3
4
5
Perfectly
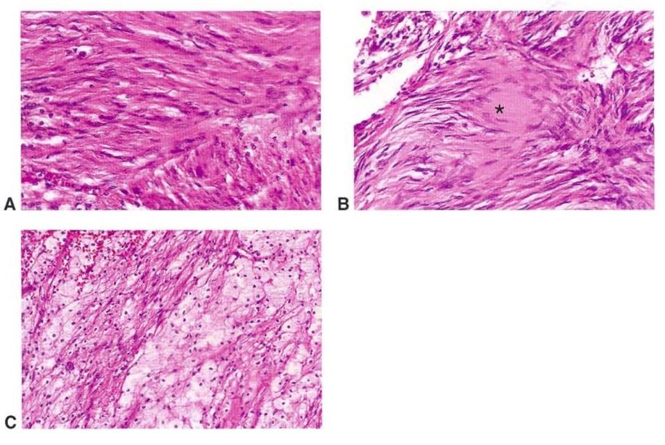
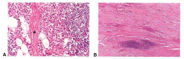
3
Q

What are the features demonstrated in these images?

A

The mixture of inflammatory cells and the bundle of collagen and fibrosing orbititis.

How well did you know this?
1
Not at all
2
3
4
5
Perfectly
4
Q

What is this eye condition? And what are the features demonstrated?

A

Thyroid eye disease. Asymmetric proptosis and eyelid retraction and fusiform enlargement of the extraocular muscles.

How well did you know this?
1
Not at all
2
3
4
5
Perfectly
5
Q

What type of cells are these?

A

Mononuclear inflammatory cells.

How well did you know this?
1
Not at all
2
3
4
5
Perfectly
6
Q

What is this condition? And what does the microscopic section shows?

A

Aspergillus infections of the orbit and branching fungal hyphae on silver stains.

How well did you know this?
1
Not at all
2
3
4
5
Perfectly
7
Q

What type of tumor is this? And what are the demonstrated features?

A

Pleomorphic adenoma of the lacrimal gland. And neoplastic epithelial elements and the fibromyxoid stroma.

How well did you know this?
1
Not at all
2
3
4
5
Perfectly
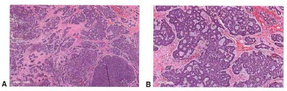
8
Q

What type of tumor are these? And what is the characteristic?

A

Adenoid cystic carcinoma of the lacrimal gland and cribriform (“Swiss cheese”) appearance.

How well did you know this?
1
Not at all
2
3
4
5
Perfectly
9
Q

What type of lymphoma are these? And what are the features demonstrated?

A

Low-grade B-cell lymphoma of the orbit. Vague follicular arrangements of lymphocytes, a lymphoid follicle with a germinal center, and Dutcher bodies.

How well did you know this?
1
Not at all
2
3
4
5
Perfectly
10
Q

What is this condition? And what is the characteristic demonstrated in the CT scan?

A

Orbital lymphatic malformation. And a multilobulated mass within the left orbit.

How well did you know this?
1
Not at all
2
3
4
5
Perfectly
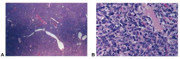
11
Q

What do the histologic images demonstrate?

A

Numerous vascular channels with lymphoid follicles and endothelial-lined vascular channels.

How well did you know this?
1
Not at all
2
3
4
5
Perfectly
12
Q

What type of hemangioma is this? And what is the characteristic?

A

Cavernous hemangioma. And filled with large blood-spaces separated by thick septa.

How well did you know this?
1
Not at all
2
3
4
5
Perfectly
13
Q

What type of tumor is this? And what are the characteristics?

A

A solitary fibrous tumor (hemangiopericytoma). And branching vascular (staghorn) pattern and oval to spindle-shaped vesicular nuclei.

How well did you know this?
1
Not at all
2
3
4
5
Perfectly
14
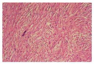
Q

What type of orbital tumor is this? And what is the pattern?

A

Fibrous histiocytoma and storiform (matlike or whorly) pattern.

How well did you know this?
1
Not at all
2
3
4
5
Perfectly
15
Q

What type of orbital tumor is this? And what is the characteristic?

A

Rhabdomyosarcoma and a large poorly circumscribed orbital tumor and proptosis.

How well did you know this?
1
Not at all
2
3
4
5
Perfectly
16
Q

What do the arrows indicate?

A

Cross-striations and fibrous septa.

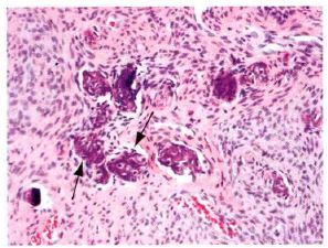
17
Q

What is this condition? And what are the features noted?

A

Plexiform neurofibroma and thickened, tortuous nerves with a proliferation of endoneurial fibroblasts and Schwann cells.

18
Q

What are the pattern and characteristics of the cells? And what does the asterisk indicate?

A

Antoni A pattern, spindle cells are packed together and Antoni B pattern consists of loosely arranged, mucoid stroma. And Verocay body.

19
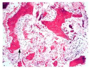
Q

What is this condition? And what is the characteristic?

A

Fibrous dysplasia and bony trabeculae are C-shaped in appearance.

20
Q

What is this condition? And what do the arrows indicate?

A

Fibro-osseous dysplasia and osteoblasts.