Optic Nerve Flashcards

(16 cards)

1
Q

What does the image describe?

A

Longitudinal section of the optic nerve.

How well did you know this?
1
Not at all
2
3
4
5
Perfectly
2
Q

What does the image demonstrate?

A

Transverse or cross section of the optic nerve.

How well did you know this?
1
Not at all
2
3
4
5
Perfectly
3
Q

What optic disc anomaly is this? And what are the characteristics histologically?

A

Optic nerve coloboma and a gliotic, disorganized retina and choroid terminate at the edge of colobomatous defect.

How well did you know this?
1
Not at all
2
3
4
5
Perfectly
4
Q

What type of organisms are these? And what is the characteristic of the yeast?

A

Cryptococcal organisms and the yeast has a mucopolysaccharide capsule.

How well did you know this?
1
Not at all
2
3
4
5
Perfectly
5
Q

What does the asterisk indicate? And what is the characteristic of the blue material?

A

Demyelination of the optic nerve and engulfed by macrophages.

How well did you know this?
1
Not at all
2
3
4
5
Perfectly
6
Q

What inflammatory disorder is this? And what are the characteristics demonstrated?

A

Giant cell arteritis and narrowed vascular lumen, numerous giant cells, and loss of the internal elastic lamina.

How well did you know this?
1
Not at all
2
3
4
5
Perfectly
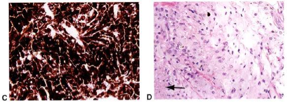
7
Q

What are the features noted in the photomicrographs of the optic nerve?

A

Discrete noncaseating granulomas and multinucleated giant cells.

How well did you know this?
1
Not at all
2
3
4
5
Perfectly
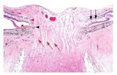
8
Q

What condition is describe? And what are the characteristics demonstrated?

A

Optic nerve head edema. And vacuolar alteration, laterally displaced retina, and presence of juxtapapillary serous intraretinal fluid/hard exudates and serous subretinal fluids.

How well did you know this?
1
Not at all
2
3
4
5
Perfectly
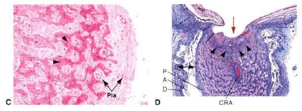
9
Q

What optic nerve condition is this? And what do the asterisks indicate?

A

Atrophic optic nerve and the widened subdural space.

How well did you know this?
1
Not at all
2
3
4
5
Perfectly
10
Q

What do the arrows indicate?

A

The loss of axons and widening of fibrovascular pial septa, advanced cupping of the optic nerve, posterior bowing of the lamina cribrosa, and widened intermenigeal space.

How well did you know this?
1
Not at all
2
3
4
5
Perfectly
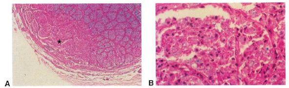
11
Q

What do the photomicrographs show?

A

Cystic atrophy within the optic nerve and cystic space filled with alcian blue-staining material.

How well did you know this?
1
Not at all
2
3
4
5
Perfectly
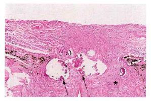
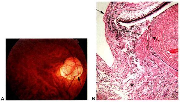
12
Q

What condition is this? And what do the arrows indicate?

A

Drusen of the optic nerve head (ONH) and basophilic zones of calcification anterior to the lamina cribrosa.

How well did you know this?
1
Not at all
2
3
4
5
Perfectly
13
Q

What type of tumor is this? And what is the characteristic?

A

Melanocytoma of the ONH and a dome-shaped, jet-black mass involving the prelaminar optic nerve.

How well did you know this?
1
Not at all
2
3
4
5
Perfectly
14
Q

What do the photomicrographs demonstrate?

A

A darkly pigmented polyhedral melanocytes and the area of necrosis within the tumor.

How well did you know this?
1
Not at all
2
3
4
5
Perfectly
15
Q

What is the characteristic of the cells? And what do the arrows indicate?

A

Elongated, hair-like neoplastic glial cells and Rosenthal fibers.

How well did you know this?
1
Not at all
2
3
4
5
Perfectly
16
Q

What type of tumor is this? And what is the arrangement of the cells?

A

Optic nerve meningioma and arranged in whorls.