Special Procedures Flashcards

(8 cards)

1
Q

What schematic representation is this?

A

The general immunohistochemistry method.

How well did you know this?
1
Not at all
2
3
4
5
Perfectly
2
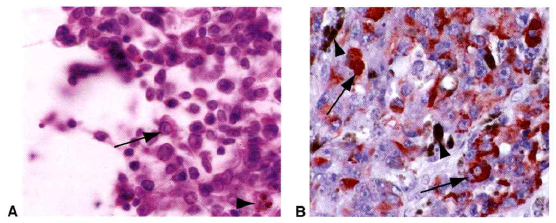
Q

What type of neoplasms are these? And what are highlighted features?

A

Metastatic carcinoid to the orbit.

Bland epithelial characteristics and the neuroendocrine nature of the cells.

How well did you know this?
1
Not at all
2
3
4
5
Perfectly
3
Q

What is this technique?

A

Flow cytometry.

How well did you know this?
1
Not at all
2
3
4
5
Perfectly
4
Q

What do the graphs demonstrate?

A

A clonal population of CD19* kappa-restricted lymphocytes.

How well did you know this?
1
Not at all
2
3
4
5
Perfectly
5
Q

What medical technique is this?

A

Polymerase chain reaction (PCR).

How well did you know this?
1
Not at all
2
3
4
5
Perfectly
6
Q

What is this technique?

A

Tissue microarrays.

How well did you know this?
1
Not at all
2
3
4
5
Perfectly
7
Q

What are the methods used in these images? And what are the features noted?

A

Cytologic liquid-based preparation and cell block.

Prominent nucleoli and brown pigment, and confirms the diagnosis of melanoma.

How well did you know this?
1
Not at all
2
3
4
5
Perfectly
8
Q

What are these surgical techniques?

A

Frozen section and Mohs micrographic surgery.

How well did you know this?
1
Not at all
2
3
4
5
Perfectly