Sclera Flashcards

(10 cards)

1
Q

What is demonstrated below?

A

The normal sclera, the lamina fusca, ciliary arteries, and nerves.

How well did you know this?
1
Not at all
2
3
4
5
Perfectly
2
Q

What is described in this image?

A

An emissary canal through the sclera with Axenfeld nerve loop.

How well did you know this?
1
Not at all
2
3
4
5
Perfectly
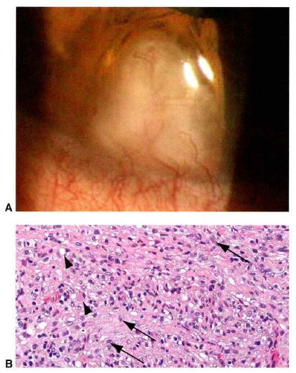
3
Q

What does the image describe?

A

Sectoral nodular anterior scleritis.

How well did you know this?
1
Not at all
2
3
4
5
Perfectly
4
Q

What is this condition? And what feature is demonstrated?

A

Diffuse posterior scleritis and thickening of the posterior sclera.

How well did you know this?
1
Not at all
2
3
4
5
Perfectly
5
Q

What is this condition? And what does scleral biopsy illustrated?

A

Necrotizing granulomatous scleritis and palisading arrangement of histiocytes and multinucleated giant cells.

How well did you know this?
1
Not at all
2
3
4
5
Perfectly
6
Q

What does the image describe?

A

An eye with posterior staphyloma as a sequela of scleritis.

How well did you know this?
1
Not at all
2
3
4
5
Perfectly
7
Q

What are the arrows indicate?

A

Calcific plaques and deposits in the sclera anterior to the rectus muscle insertion.

How well did you know this?
1
Not at all
2
3
4
5
Perfectly
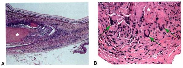
8
Q

What is this condition? And what do the arrows indicate?

A

Scleral staphylomas and scleral thinning.

How well did you know this?
1
Not at all
2
3
4
5
Perfectly
9
Q

What type of neoplasm is this? And what is revealed in the photomicrograph?

A

Fibrous histiocytoma of the corneoscleral limbus and spindle-shaped fibroblasts, epithelioid and lipid-laden histiocytes, and scattered lymphocytes.

How well did you know this?
1
Not at all
2
3
4
5
Perfectly
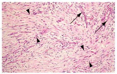
10
Q

What is this condition? And what are the arrows and arrowheads?

A

Nodular fasciitis. And activated spindled fibroblasts and prominent capillary network.

How well did you know this?
1
Not at all
2
3
4
5
Perfectly