Introduction Flashcards

(13 cards)

1
Q

What are the asterisk and arrows in this image?

A

Gastrointestinal mucosa (asterisk) and cartilage (arrows).

How well did you know this?
1
Not at all
2
3
4
5
Perfectly
2
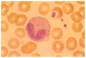
Q

What type of cell is this? And what is the characteristic structure?

A

Polymorphonuclear leukocyte and Multisegmented nucleus.

How well did you know this?
1
Not at all
2
3
4
5
Perfectly
3
Q

What kind of cell is this? And what is the characteristic structure?

A

Eosinophil and Bilobed nucleus.

How well did you know this?
1
Not at all
2
3
4
5
Perfectly
4
Q

What does the cell contain?

A

Intracytoplasmic basophilic granules.

How well did you know this?
1
Not at all
2
3
4
5
Perfectly
5
Q

What is the characteristic structure of the cell?

A

Indented nucleus.

How well did you know this?
1
Not at all
2
3
4
5
Perfectly
6
Q

What type of cell is this? And what is the characteristic structure?

A

Lymphocyte and small, hyperchromatic nucleus.

How well did you know this?
1
Not at all
2
3
4
5
Perfectly
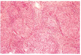
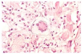
7
Q

What type of cells are in this image?

A

Epithelioid histiocytes.

How well did you know this?
1
Not at all
2
3
4
5
Perfectly
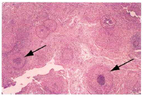
8
Q

What are the arrows seen in this image? And what is their classification?

A

Granulomas with necrotic centers and Caseating granulomas.

How well did you know this?
1
Not at all
2
3
4
5
Perfectly
9
Q

What kind of cell is this? And what is the characteristic structure?

A

Langhans giant cells and Horseshoe arrangement of the nuclei.

How well did you know this?
1
Not at all
2
3
4
5
Perfectly
10
Q

What type of cell is this? And what surrounds the nuclei?

A

Touton giant cell and it is surrounded by a lipid-filled clear zone.

How well did you know this?
1
Not at all
2
3
4
5
Perfectly
11
Q

What kind of cell is this? And what is the characteristic structure?

A

Foreign body giant cell and haphazardly arranged nuclei.

How well did you know this?
1
Not at all
2
3
4
5
Perfectly
12
Q

What is the growth pattern of hematopoietic neoplasm?

A

Loosely arranged.

How well did you know this?
1
Not at all
2
3
4
5
Perfectly
13
Q

What is the growth pattern of epithelial neoplasm?

A

Cords, tubules.

How well did you know this?
1
Not at all
2
3
4
5
Perfectly