
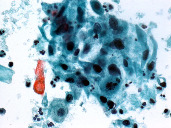
SCC on Pap
Approximately __% of women with an LSIL Pap result prove to have HSIL (CIN2/CIN3) on biopsy.
__% of untreated LSILs progress to invasive squamous cancer.
Most LSILs regress. Approximately 18% of women with an LSIL Pap result prove to have HSIL (CIN2/CIN3) on biopsy. Less than 1% of untreated LSILs progress to invasive squamous cancer.
CELL SIZE
The size is compared to a normal cell or its nucleus (RBC, PMN, lymphocyte, intermediate squamous cell)
Small:
Medium:
Large:
Giant cell:
CELL SIZE
The size is compared to a normal cell or its nucleus (RBC, PMN, lymphocyte, intermediate squamous cell)
Small: 2 – 2.5x
Medium: 3 – 6x
Large: 6 – 10x
Giant cell: > 10x size of a lymphocyte
NUCLEOLI
NUCLEOLI
STAINS / FIXATIVES
Stains / Fixatives used for FNAs
STAINS / FIXATIVES - I
Stains / Fixatives used for FNAs
DQ / ROMANOWSKY GIEMSA STAIN
DQ / ROMANOWSKY GIEMSA STAIN
STAINS / FIXATIVES
Effects of Alcohol Fixation
STAINS / FIXATIVES
Effects of Alcohol Fixation
PAPANICOLAOU STAIN
Advantages?
PAPANICOLAOU STAIN
Staining method which depends on degree of cell maturity and cellular metabolic activity
PAPANICOLAOU STAIN
The main steps?
PAPANICOLAOU STAIN
The main steps are:
PAPANICOLAOU STAIN
FIXATION
PAPANICOLAOU STAIN
FIXATION
PAPANICOLAOU STAIN
STAINS
PAPANICOLAOU STAIN
STAINS
PROGRESSIVE VS REGRESSIVE METHODS
PROGRESSIVE VS REGRESSIVE METHODS
ADEQUACY
Minimum number of squamous cells?
Liquid-based:
Conventional:
ADEQUACY
Minimum number of squamous cells
UNSATISFACTORY?
UNSATISFACTORY
Gyn CATEGORIES
CATEGORIES

PARABASALS

STICKY HISTIOCYTES!

LUS, ENDOMETRIUM

IUD Changes
ASC (ASCUS)
ASC (ASCUS)
ASC-H
ASC-H

ENDOMETRIAL CARCINOMA
ENDOCERVICAL vs. ENDOMETRIAL CA
ENDOCERVICAL vs. ENDOMETRIAL CA
Endocervical CA
Endometrial CA

PSAMMOMA BODIES