Gyn Flashcards

(37 cards)

1
Q
A

GONORRHEA - Neisseria gonorrheae

  • Culture, Gram stain
  • PID
  • Infertility
  • Premature birth
  • Opthalmia neonatorum
How well did you know this?
1
Not at all
2
3
4
5
Perfectly
2
Q
A

Tubal ectopic gestation

How well did you know this?
1
Not at all
2
3
4
5
Perfectly
3
Q
A

TOXIC SHOCK SYNDROME

  • Staphylococcus aureus
  • Tampon use
  • Medical emergency
  • Fever
  • Perivasculitis, shock
  • Multiorgan failure
How well did you know this?
1
Not at all
2
3
4
5
Perfectly
4
Q
A

Carpet beatle parts

How well did you know this?
1
Not at all
2
3
4
5
Perfectly
5
Q

Frothy discharge • Fishy odor • Wet mount?

A
How well did you know this?
1
Not at all
2
3
4
5
Perfectly
6
Q

VULVAR PATHOLOGY

A

VULVAR PATHOLOGY

  • Lichen sclerosus et atrophicus
  • Lichen simplex chronicus
  • Squamous hyperplasia
  • Vulvar intraepithelial neoplasia
  • Carcinoma
  • Paget’s disease
  • Aggressive angiomyxoma
  • Angiomyofibroblastoma
  • Vaginal adenosis
  • Clear cell adenocarcinoma
How well did you know this?
1
Not at all
2
3
4
5
Perfectly
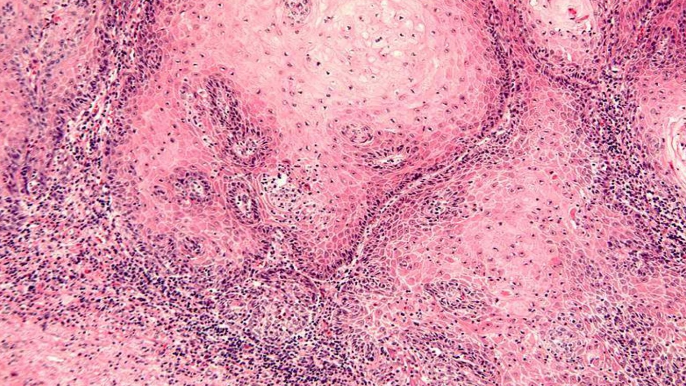
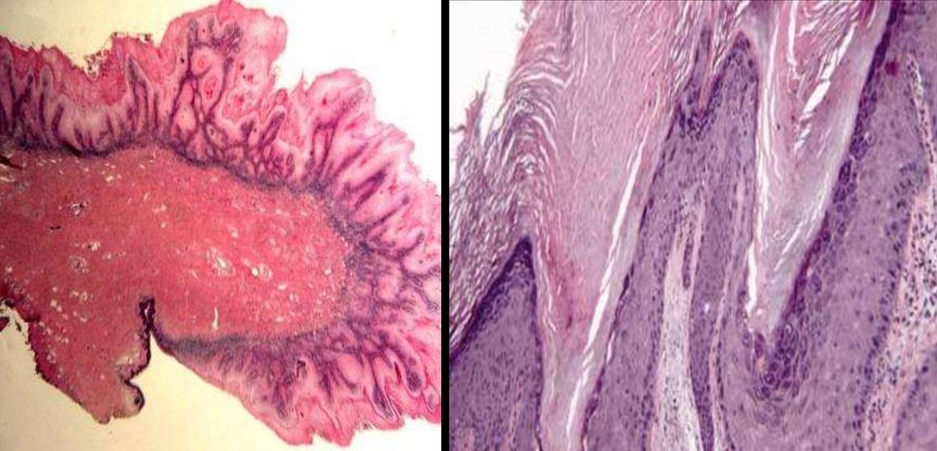
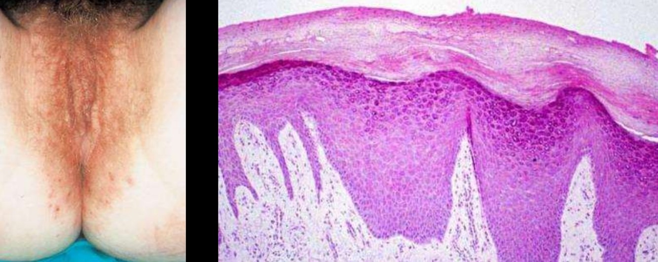
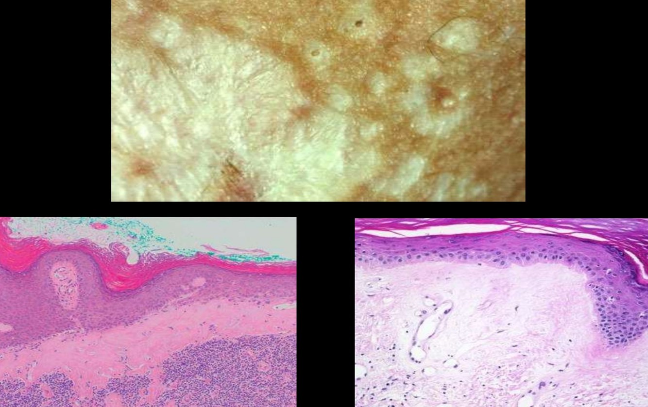
7
Q
A

LICHEN SCLEROSUS

  • Aka Lichen sclerosus et atrophicus
  • 30% of vulvar non-neoplastic lesions
  • 90% multiple
  • Etiology unknown (autoimmune, hormonal)
  • Pruritic irregular white patches
  • Subepithelial homogenized zone
  • Band of lymphocytes
  • Not premalignant – predisposing factor
How well did you know this?
1
Not at all
2
3
4
5
Perfectly
8
Q
A

SQUAMOUS HYPERPLASIA

  • aka Hyperplastic dystrophy without atypia
  • Search for other dermatoses
How well did you know this?
1
Not at all
2
3
4
5
Perfectly
9
Q
A

LICHEN SIMPLEX CHRONICUS

  • Squamous hyperplasia associated with inflammation
  • End stage of many inflammatory skin diseases
How well did you know this?
1
Not at all
2
3
4
5
Perfectly
10
Q
A

Hidradenoma papilliferum

How well did you know this?
1
Not at all
2
3
4
5
Perfectly
11
Q
A
How well did you know this?
1
Not at all
2
3
4
5
Perfectly
12
Q
A

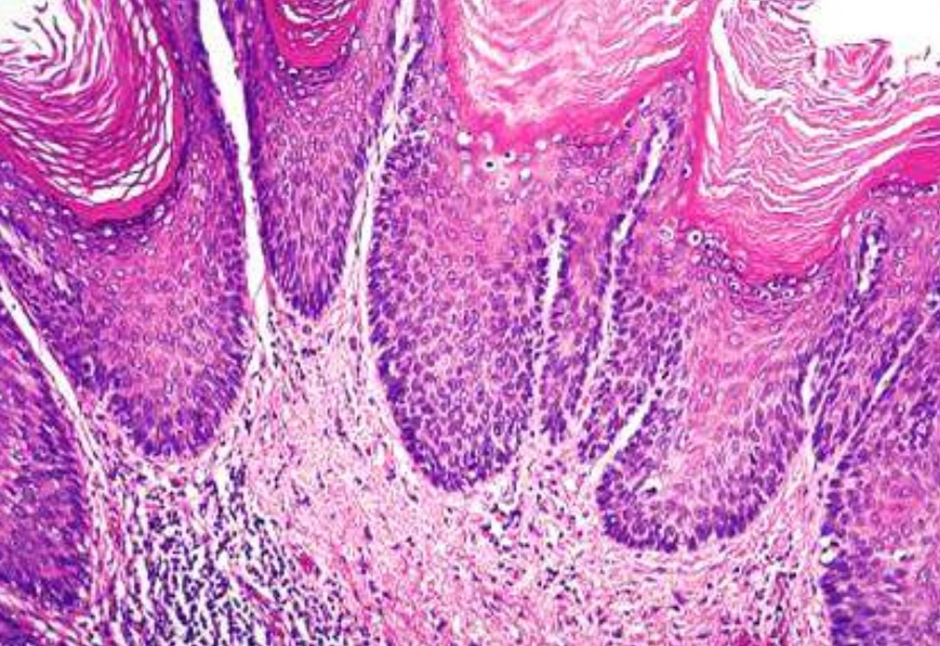
VULVAR INTRAEPITHELIAL NEOPLASIA

  • HPV associated type
  • Younger age
  • Multifocal
  • CIN
  • Smoking
How well did you know this?
1
Not at all
2
3
4
5
Perfectly
13
Q

VULVAR INTRAEPITHELIAL NEOPLASIA

HPV negative type

a/w? age? presentation?

A

VULVAR INTRAEPITHELIAL NEOPLASIA

  • HPV negative type
  • Associated with vulvar inflammatory disease (LS)
  • Older age
  • Unifocal
  • Associated with p53 mutations
  • Well differentiated simplex VIN
How well did you know this?
1
Not at all
2
3
4
5
Perfectly
14
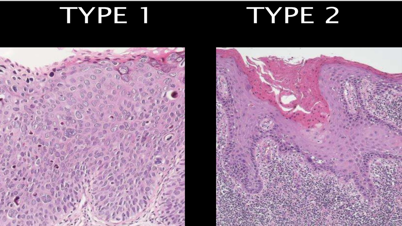
Q

VULVAR CANCER

TYPE 1

TYPE 2

A

VULVAR CANCER

TYPE 1

  • Young
  • CIN often
  • Cigarette smoking
  • STD
  • Condyloma
  • HPV DNA Mutated host genes
  • Immune status
  • Basaloid, poorly diff

TYPE 2

  • Older (>55y)
  • CIN Less likely
  • Inflammation, lichen sclerosus, sq hyperplasia
  • P53
  • Well diff, ker SCC
How well did you know this?
1
Not at all
2
3
4
5
Perfectly
15
Q
A

BOWENOID PAPULOSIS

  • Multiple small erythematous/white macules/papules
  • Both sexes, young
  • F: VIN III
  • HPV 16
  • High rate of spontaneous regression
  • <3% behave aggressively
  • Local treatment
How well did you know this?
1
Not at all
2
3
4
5
Perfectly
16
Q
A

Verrucous carcinoma

19
Q

DDx?

Stains?

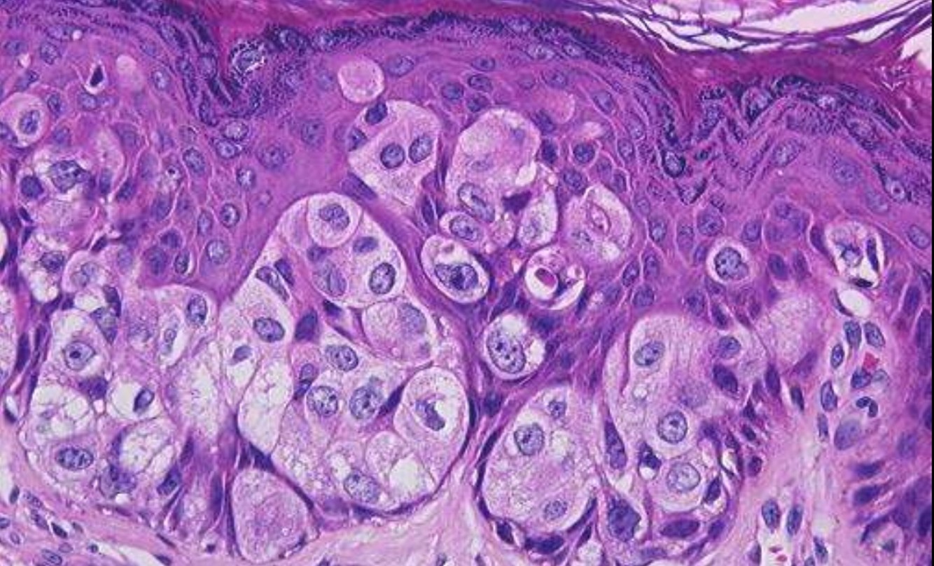
A

EXTRAMAMMARY PAGET’S DISEASE

  • Red elevated lesions
  • Invasive carcinoma in only 30%
  • Large intraepithelial tumor cells
  • Foamy, clear cytoplasm
  • Mucin, PAS +
20
Q

2nd most common malignant neoplasm of vulva?

21
Q

Dx?

Age?

Stains?

A

Angiomyofibroblastoma

  • Reproductive age
  • Benign, non recurring
  • Well circumscribed
  • Alternating hyper and hypocellular zones
  • Thin-walled vessels
  • Stromal cells, wavy collagen strands
  • Rare mitoses
  • Mast cells
  • Vimentin, desmin, CD34, ER, PR+
  • EM: myofibroblasts
22
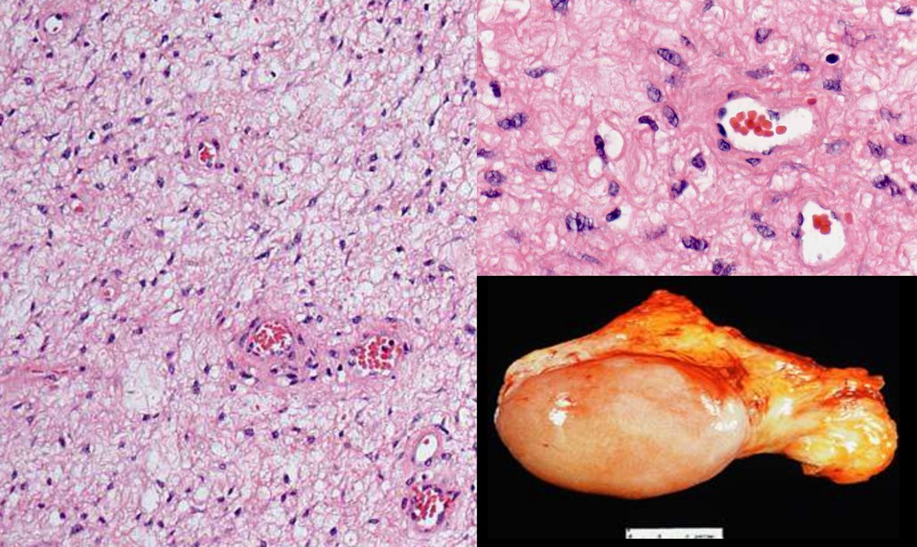
Q

Dx?

Age?

Histology?

Stains?

Prognosis?

A

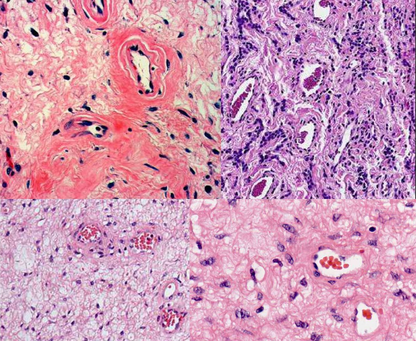
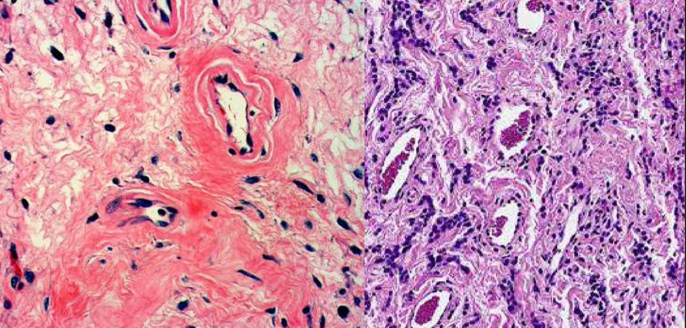
AGGRESSIVE ANGIOMYXOMA

  • Reproductive age
  • Large, > 10 cm
  • Locally infiltrative
  • Bulky, gelatinous
  • Hypocellular, loose stroma
  • Numerous thin and thick-walled blood vessels
  • Hyaline thickening of adventitia
  • RBC extravasation
  • Rare mitoses
  • Mast cells
  • Stromal cells: SMA, HHF 35, ER / PR +
  • Indolent, tendency to recur
23
Q

Angiomyofibromyxoma vs. Aggressive Angiomyxoma

A

Angiomyofibromyxoma vs. Aggressive Angiomyxoma

Angiomyofibromyxoma

  • circumscribed border
  • higher cellularity
  • frequent presence of plump stromal cells
  • lesser degree of stromal myxoid change
  • lack of RBC extravasation
25
5 VAGINAL CYSTS
VAGINAL CYSTS 1. Mullerian: endocervical type 2. EIC: squamous epithelium (prior surgery) 3. Mesonephric / Gartner’s cyst: non mucinous cuboidal epithelial cells (lateral walls) 4. Endometriotic cysts 5. Bartholin cysts
26
Location? Origin?
GARTNERS DUCT * Cysts * Mesonephric duct remnants • * Lateral vaginal wall
27
Dx? Age? Risk? Location?
VAGINAL ADENOSIS * Young women with DES exposure in utero * Upper 1/3 and anterior wall of vagina * 20% have gross congenital malformation of cervix * Benign glandular epithelium with metaplasia * Vaginal clear cell carcinoma
28
Dx? Risk? Age? Location? Recurrence? Prognosis?
CLEAR CELL ADENOCA VAGINA * DES treatment of threatened and repeated abortions * 2/3 patients with this tumor under age of 40 – linked to DES exposure * 2/3 vaginal, 1/3 cervical * 25% recurrence * Favorable prognosis: low stage, low mitotic activity, mild nuclear atypia
29
Fibroepithelial stromal polyp * Squamous epithelium * Myxoid stroma * Bizarre stromal nuclei * Mitoses
30
EMBRYONAL RHABDOMYOSARCOMA * Aka Sarcoma botryoides * Most common malignant vaginal tumor in children * 3 yr * Rare after 5 yr age * Grape-like (botryoid) appearance
31
Diagnosis? Histology? Age? Prognosis?
Müllerian Adenosarcoma * benign glands cuffed by malignant stroma * may look like phyllodes tumor * mostly 50's + * predominately polypoid growths that fill the entire uterine cavity * +/- deeply invasive * can undergo sarcomatous overgrowth * higher histologic grade * aggressive with metastatic potential * less aggressive than MMMT
33
Endometrioid Adenocarcinoma of the Ovary * Endometrioid adenocarcinoma is one of the most common subtypes of epithelial ovarian carcinoma. It is recognized histologically by glands or tubules that are lined by stratified columnar cells. Luminal mucin is present, whereas cytoplasmic mucin is commonly absent. It is histologically similar to its counterpart in the uterine corpus. * Cases may or may not be associated with endometriosis. However, in cases in which endometriosis is an associated risk factor, patients present 5 to 10 years earlier than patients without concurrent endometriosis. * In one study, interleukin-1 receptor II was identified both in the cells of endometriosis and in ovarian endometrioid adenocarcinoma, which may provide a link between the two entities. * More recent immunohistochemical and molecular studies have separated ovarian epithelial tumors into two groups: type I tumors, which are of lower histologic grade (e.g., low-grade endometrioid adenocarcinomas), and type II tumors, which are of higher histologic grade (e.g., high-grade endometrioid adenocarcinomas). Type II tumors often harbor p53 mutations not identified in type I tumors and have a much more aggressive course. * A frequent mimic of ovarian endometrioid adenocarcinoma is metastatic colon adenocarcinoma. However, a carefully selected immunohistochemical panel can aid in differentiation. Ovarian endometrioid adenocarcinoma is positive for cytokeratin 7 and CA 125 in most cases; this panel is negative in colon adenocarcinoma. Colon adenocarcinoma is strongly positive for cytokeratin 20 and CDX-2 in most cases; this panel is negative in endometrioid adenocarcinoma. * A morphologic mimic of microglandular ovarian endometrioid adenocarcinoma is the microfollicular variant of adult granulosa cell tumor. The inhibin positivity identified in adult granulosa cell tumor is not seen in ovarian endometrioid adenocarcinoma.
34
Carcinosarcoma (Malignant Mixed Müllerian Tumor) * Endometrial biopsy specimens can present a difficult diagnostic challenge in the diagnosis of mixed tumor types depending on what has been sampled by the clinician. Sometimes the carcinoma might be the only area sampled. In other scenarios, only sarcomatous elements may be sampled. It is necessary to submit and examine all biopsy material fully to have the best opportunity to make the correct diagnosis; in some cases, this will be impossible because of sampling error. * Mixed müllerian neoplasms are composed of neoplastic epithelium and neoplastic mesenchymal elements. Tumors in this family are represented by benign and malignant components. Carcinosarcomas are composed of both malignant epithelium and malignant mesenchyme. * Carcinosarcomas are composed of obvious carcinoma, which may be squamous, endometrial, mucinous, serous, clear cell, or undifferentiated, with a sarcomatous component that may be homologous or heterologous. When undifferentiated elements are present, it can be difficult to tell whether the undifferentiated areas are carcinoma or sarcoma. Keratin stains are often not helpful because they can stain the sarcomatous elements as well as the carcinomatous elements. These undifferentiated elements have led some experts to consider these tumors as metaplastic carcinomas. * Although tumors were separated into heterologous and homologous carcinosarcomas in the past, there are few data to suggest this distinction is useful. * Although features of the stromal component of the tumors, including mitotic index, presence and type of heterologous elements, and grade, have no predictive value of the presence of metastasis on presentation, high-grade, serous, and clear cell carcinoma histology can be predictive of the presence of metastasis on presentation.
35
Pap test in pregnancy
Pap test in pregnancy * a shift towards lower maturation (atrophic) suggests progesterone deficiency and may indicate intrauterine fetal demise or infection * corpus luteum of pregnancy and the placenta produce progesterone, resulting in a predominance of intermediate squamous cells * Cytolysis may be marked due to lactobacilli * “Navicular” cells are boat-shaped intermediate cells containing abundant glycogen. This is not a specific finding in pregnancy. Navicular cells also may be seen during administration of progesterone or androgen-containing hormones. * Postpartum smears show a predominantly atrophic pattern in approximately one-third of nonlactating and two-thirds of lactating mothers.
36
Embryonal Carcinoma of the Ovary * Embryonal carcinomas are composed histologically of disorganized sheets of large primitive cells that may form papillae. The nuclei often contain large, prominent nucleoli. Mitotic activity is brisk, and necrosis is commonly seen. * Embryonal carcinoma as a pure ovarian neoplasm is rare. It is more commonly seen as a component of mixed germ cell tumor. * OCT 4 is a transcription factor that regulates and maintains pluripotency in embryonic germ and stem cells. It is highly sensitive and specific for embryonal carcinoma as well as dysgerminoma/seminoma. It has a nuclear immunohistochemical staining pattern. * CD30 staining is common in embryonal carcinoma, although it should not be used as the sole diagnostic marker. It has a membranous staining pattern. * Most embryonal carcinomas demonstrate positivity for CD30, OCT 4, cytokeratin AE1/AE3, and AFP. CD117, epithelial membrane antigen (EMA), and CD45 are consistently negative.
39
Breast Cancer—Her2/neu * Amplification of the HER2/Neu (ERBB2) gene, with associated HER2 protein overexpression and constitutive activation of its tyrosine kinase activity, is more frequent in ER/PR-negative breast cancers and is an independent indicator of poor prognosis. * More importantly, ERBB2 is a target of, and ERBB2 amplification is a marker of, sensitivity to treatment with trastuzumab (Herceptin). In addition, the small tyrosine kinase inhibitor (TKI) lapatinib, and the new anti-HER2 antibody, pertuzumab, which targets a different HER2 epitope, have been shown to be effective in HER2 amplified breast cancer. The latter has been shown to improve progression-free survival rate by almost 50% in patients with advanced breast cancer, when added to docetaxel and trastuzumab. * Although semiquantitative immunohistochemical tests for protein expression, such as Herceptest, are convenient, variability of antigen preservation and retrieval, as well as interobserver variability in interpretation, make immunohistochemistry a less reliable predictor of response than FISH. The American Society of Clinical Oncology and College of American Pathologists have issued guidelines for evaluating the HER2 status of breast tumors. * Resistance to trastuzumab is poorly understood, and many mechanisms may be involved, including loss of the ERBB2 external domain, overexpression of MUC4, increased transcription of ERBB2, and bypassing EGFR signaling by activation of downstream pathways, especially the PI3-kinase/mTOR pathway, including activating PIK3CA mutations and loss of PTEN. * One means of overcoming resistance is treatment with mTOR pathway inhibitors, such as everolimus. Although modest responses have been shown in pretreated patients, clinical trials to evaluate the drug in combination with chemotherapy and trastuzumab are underway. * Trastuzumab has also been shown to be active in HER2 amplified/overexpressing adenocarcinoma of the stomach and distal esophagus. The criteria for immunohistochemical and FISH evaluation from the ToGA trial that showed this benefit differed from the CAP/ASCO criteria, although a recent publication from Memorial Sloan Kettering shows that the CAP/ASCO criteria may be adequate.
40
GRANULOSA CELL TUMOR, stains
GRANULOSA CELL TUMOR * Inhibin * Calretinin * Vimentin * WT1 * CD 99 * S100 * CD56 * SF1 (steroidogenic factor) * FOXL2 gene abnormality on xsome 3