EM Flashcards

(9 cards)

1
Q

PRIMER FOR DIAGNOSTIC CELLULAR ORGANELLES

A

PRIMER FOR DIAGNOSTIC CELLULAR ORGANELLES

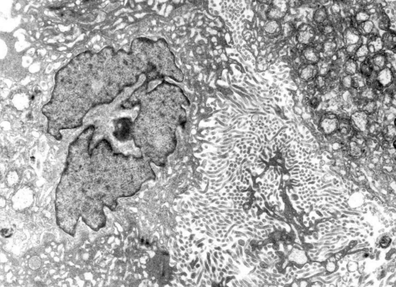
  • MICROVILLI
  • INTER/INTRA-CELLULAR LUMENS
  • SECRETORY PRODUCTS
    • GLYCOCALYX
    • MUCIN
    • GLYCOGEN
    • NEUROSECRETORY GRANULES
    • LIPID
    • MELANOSOMES
  • INTERCELLULAR JUNCTIONS
  • CYTOSKELETON:
    • THIN FILAMENTS (6-8 nm) - ACTIN
    • INTERMEDIATE FILAMENTS (9-11 nm) - KERATIN, VIMENTIN, DESMIN, GFAP, NEUROFILAMENT
    • THICK FILAMENTS (12-15 nm) - MYOSIN
    • MICROTUBULES
  • BASAL LAMINA
How well did you know this?
1
Not at all
2
3
4
5
Perfectly
2
Q

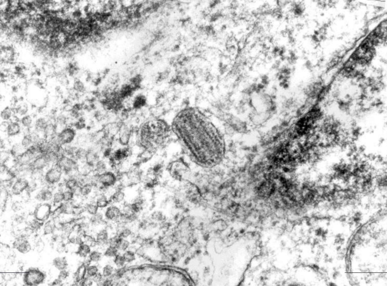
MESOTHELIOMA

A

MESOTHELIOMA

  • DIAGNOSTIC CRITERIA:
    • LONG THIN MICROVILLI
    • LENGTH:DIAMETER RATIO 10:1
How well did you know this?
1
Not at all
2
3
4
5
Perfectly
3
Q
A

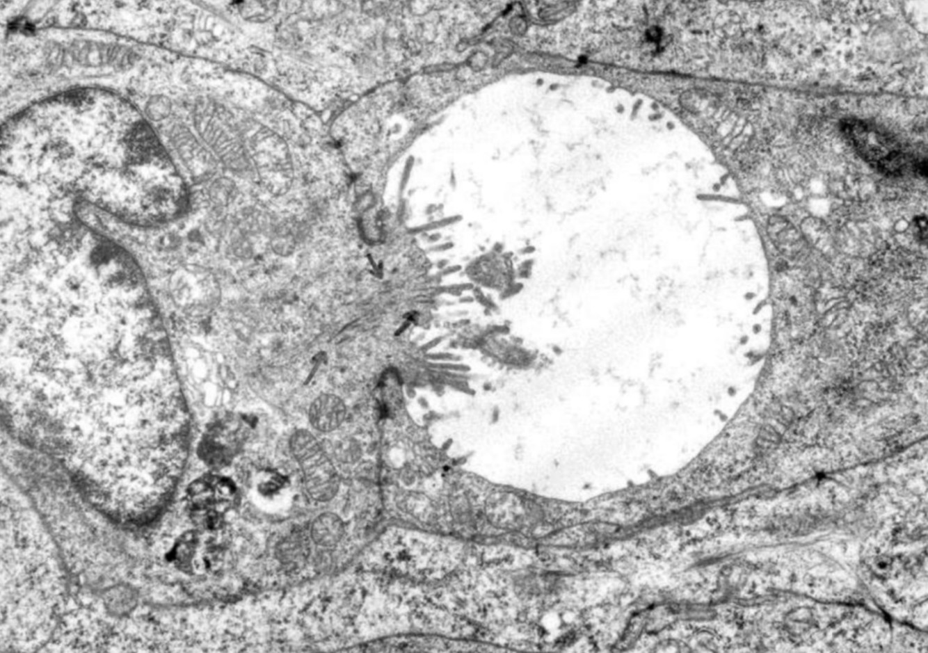
NEUROENDOCRINE NEOPLASMS

  • NUMEROUS DENSE CORE GRANULES
How well did you know this?
1
Not at all
2
3
4
5
Perfectly
4
Q
A

Mucin

How well did you know this?
1
Not at all
2
3
4
5
Perfectly
5
Q
A

Melanosomes

How well did you know this?
1
Not at all
2
3
4
5
Perfectly
6
Q
A

Melanoma

How well did you know this?
1
Not at all
2
3
4
5
Perfectly
7
Q
A

Adenocarcinoma

How well did you know this?
1
Not at all
2
3
4
5
Perfectly
8
Q
A

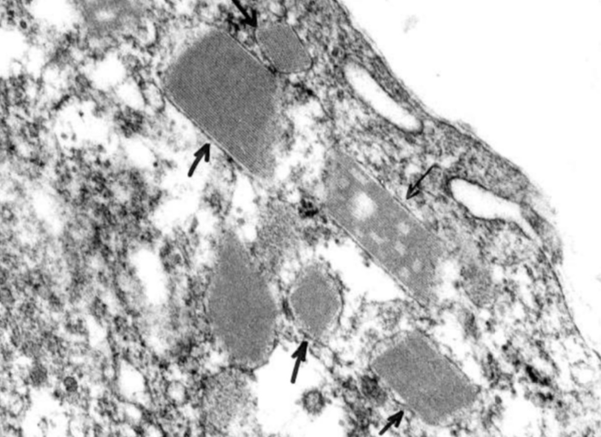
ALVEOLAR SOFT PART SARCOMA

  • DISTINCTIVE LARGE POLYGONAL/RHOMBOID CRYSTALS
How well did you know this?
1
Not at all
2
3
4
5
Perfectly
9
Q
A
How well did you know this?
1
Not at all
2
3
4
5
Perfectly