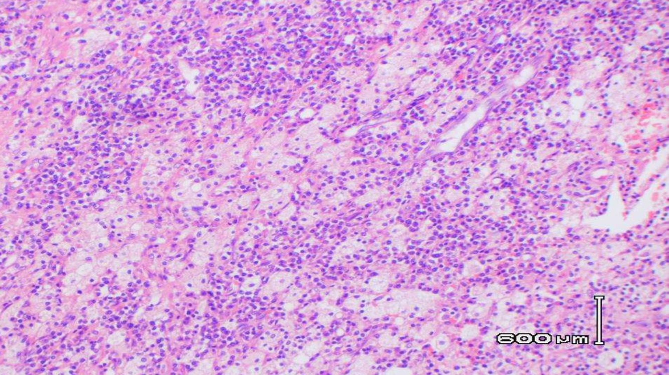
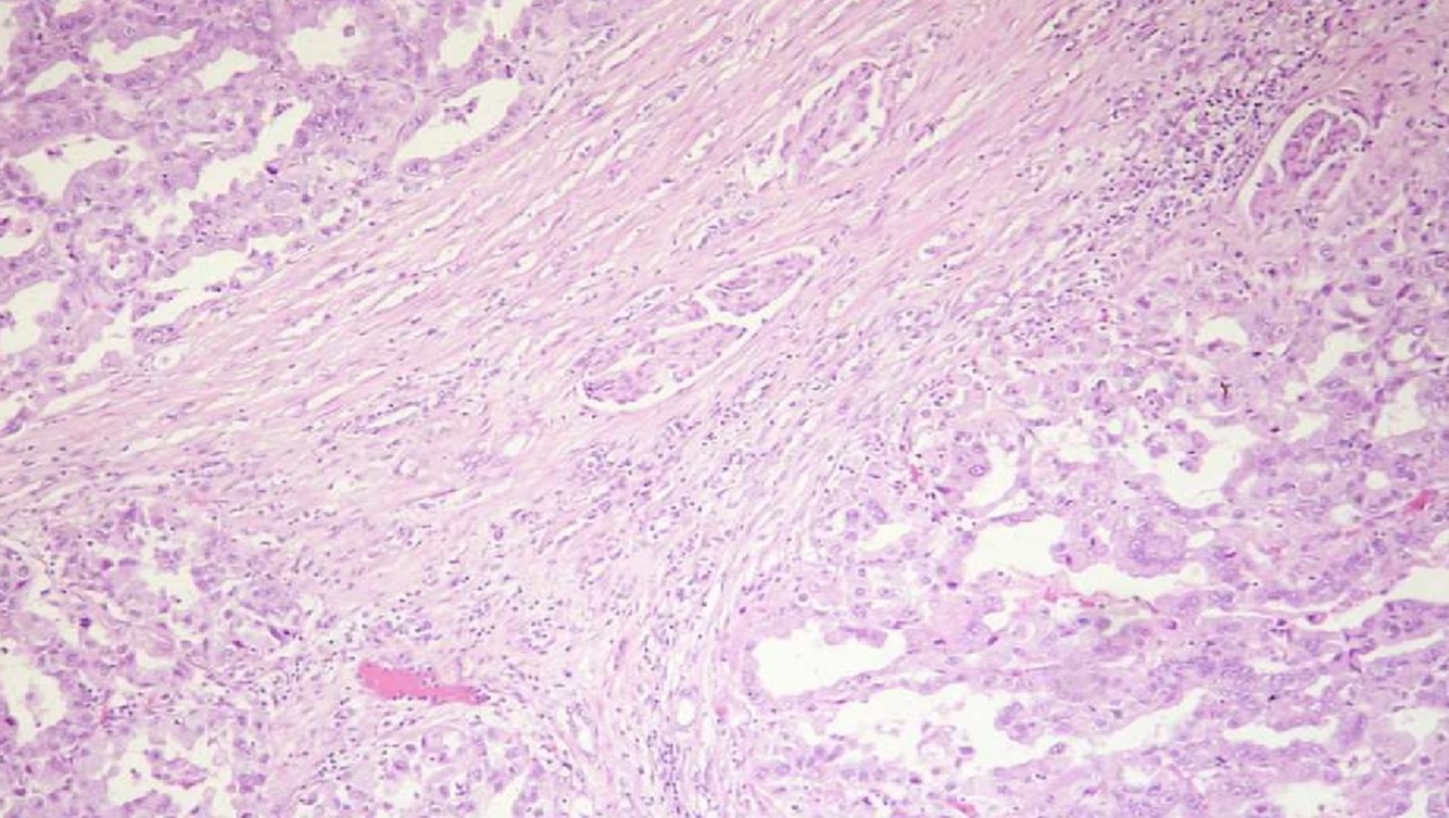
Diagnosis?
A/W?
Organisms?
Presentation?

XANTHOGRANULOMATOUS PYELONEPHRITIS

Diagnosis?
Age?
2 syndromes?

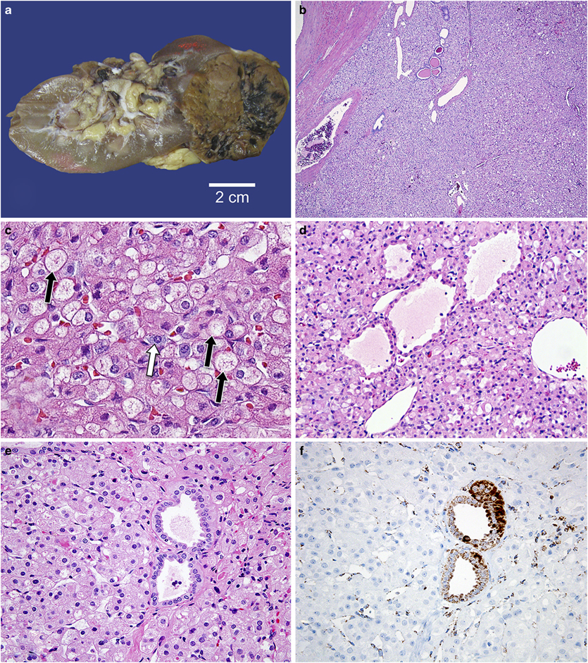
BILATERAL DIFFUSE CYSTIC KIDNEY DISEASE
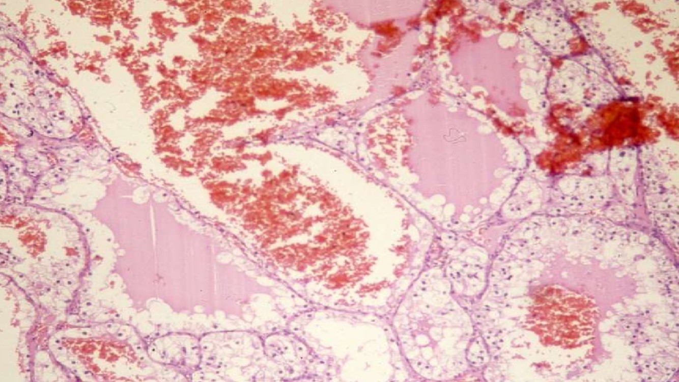
Diagnosis?
Presentation?
Age?
Prognosis?

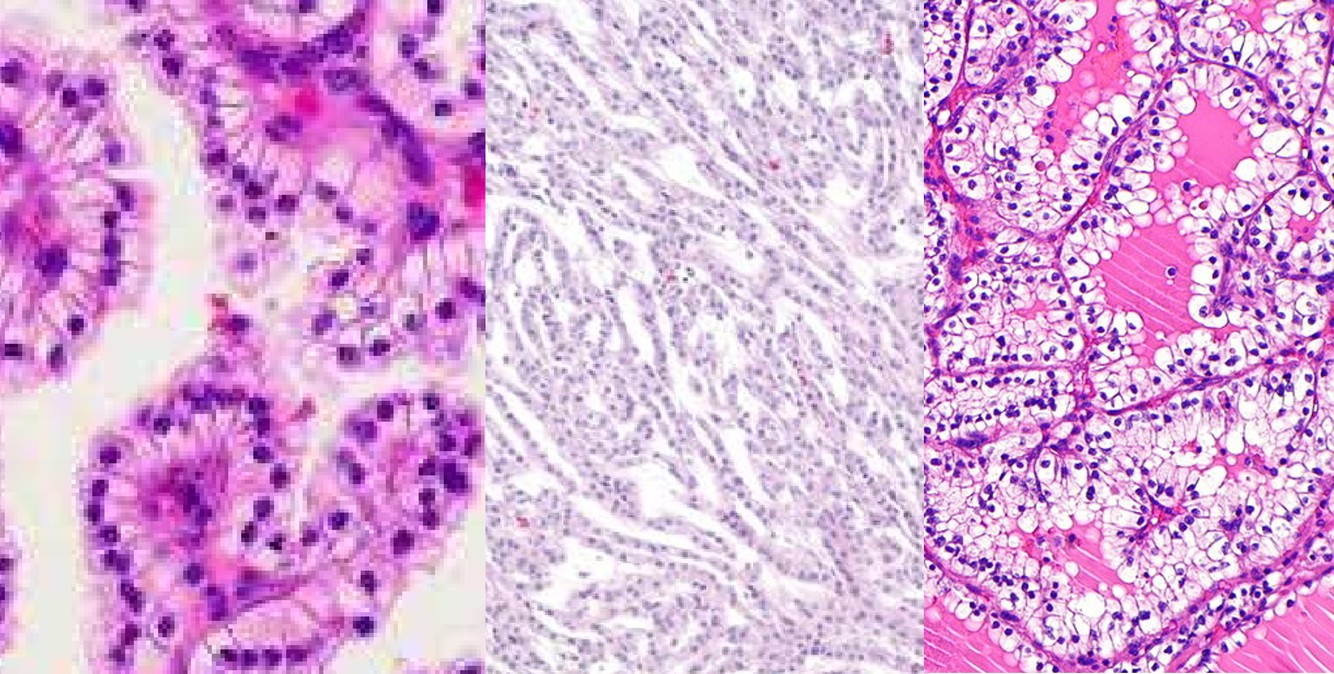
CYSTIC NEPHROMA

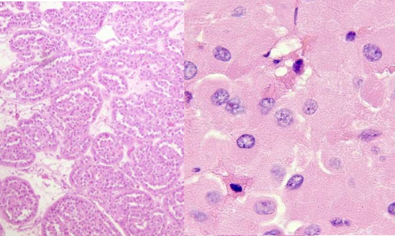
Diagnosis?
Presentation?
Prognosis?

MULTILOCULAR CYSTIC RCC

Diagnosis?
Gross/Microscopic criteria?
Stains?

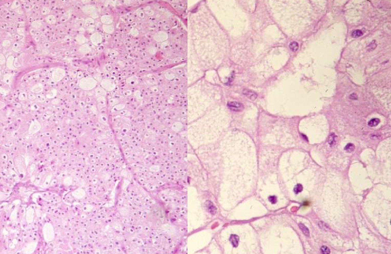
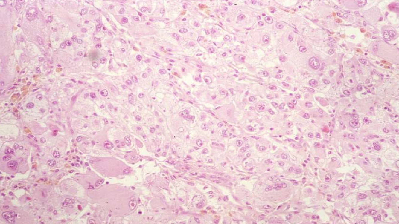
RENAL ONCOCYTOMA

Diagnosis?
Gross/Microscopic?
Staining?
Syndrome?

CHROMOPHOBE RCC

6 Renal Syndroms?
Birt Hogg Dubé
Birt Hogg Dubé
von Hippel Lindau
von Hippel Lindau
Hereditaary leiomyomatosis and renal cell carcinoma
Hereditaary leiomyomatosis and renal cell carcinoma
Hereditary papillary RCC
Hereditary papillary RCC
Constitutional chromosome 3 translocation
Constitutional chromosome 3 translocation

Succinate dehydrogenase deficiency
9 Types of RCC?
+/- 10th?
9 Types of RCC
Diagnosis?
Prognosis?
Associated with?
Stains?

Clear Cell Papillary Renal Cell Carcinoma
Type?
Cytogenetics?

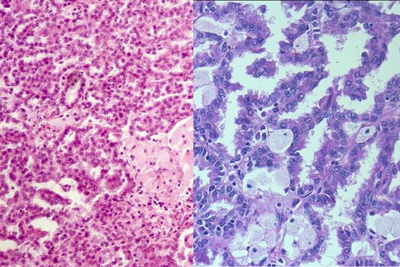
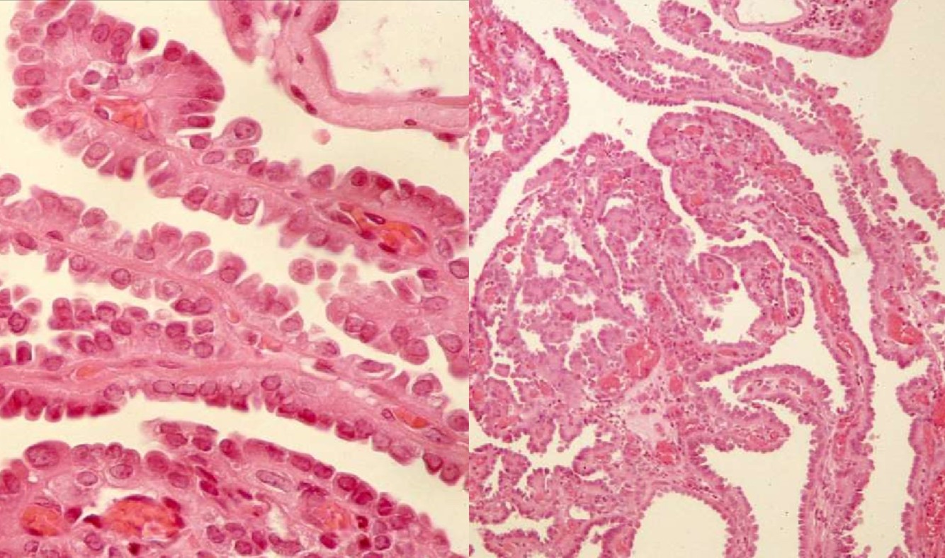
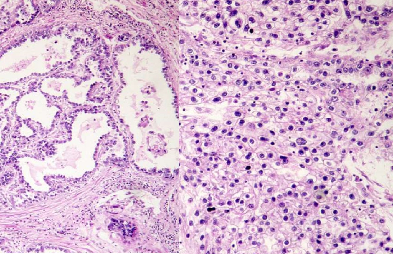
PAPILLARY RCC
Differential Diagnosis?

SARCOMATOID DDx:
Diagnosis?
AKA?
Prognosis?
Stains?

COLLECTING DUCT CARCINOMA
3 Renal tumors with desmoplasia?
3 Renal tumors with desmoplasia
Diagnosis?
Associated with?
Prognosis?

MEDULLARY CARCINOMA
Diagnosis?
Associated with?
Stains?

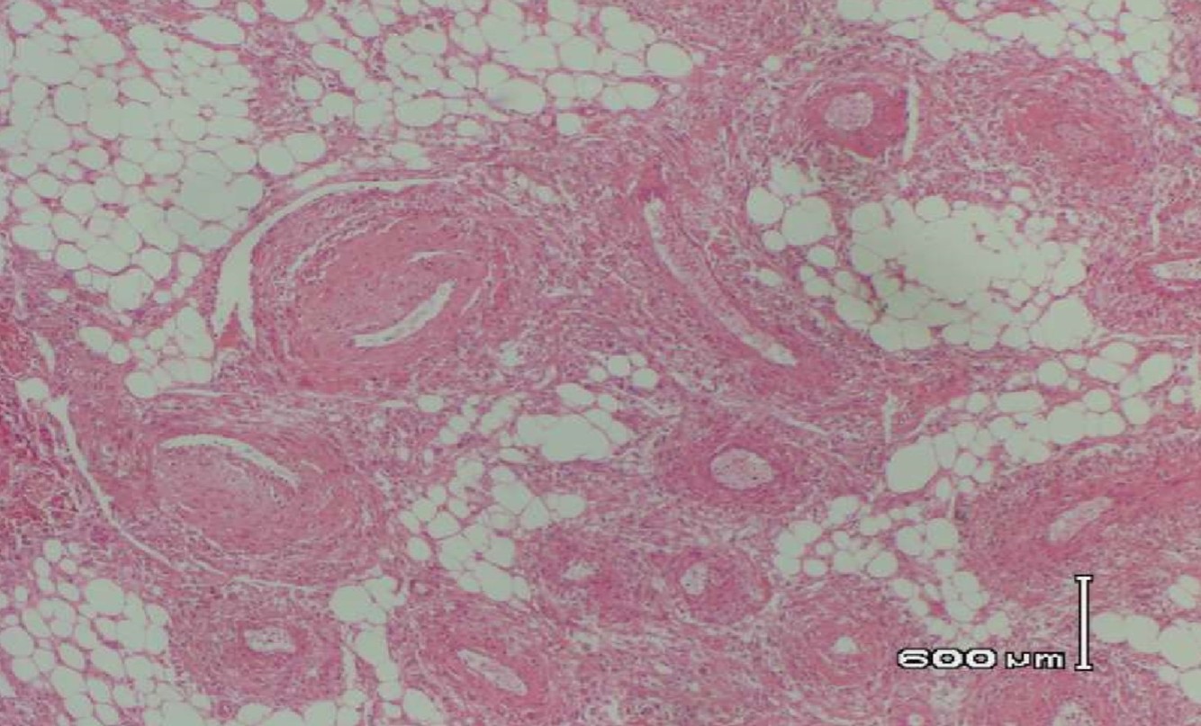
ANGIOMYOLIPOMA

Diagnosis?
Risks?

EPITHELIOID ANGIOMYOLIPOMA RISK ASSESMENT
Diagnosis?
Associated with?
Stains?

NEPHROGENIC ADENOMA
Diagnosis?
Location?
Stains?

CLEAR CELL CARCINOMA OF GU TRACT