Pulmonary Flashcards

(4 cards)

1
Q
A

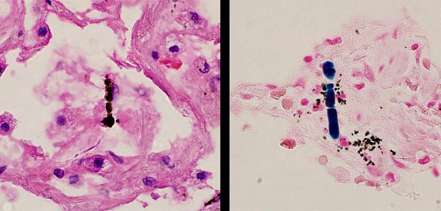
The material shown in the figure is an asbestos fiber that has been coated with iron (ferruginous body). The beaded appearance is due to the layering of an iron rich coating around the relatively thin, needle like fiber. Such a finding is indicative of prior asbestos exposure but does not indicate that the decedent has an occupational lung disease (asbestosis) or mesothelioma.

How well did you know this?
1
Not at all
2
3
4
5
Perfectly
2
Q
A

The images show a pleural surface darkened with pigment in a grid-like pattern that appears to be interspersed throughout the lung on cross section. Histology shows a collagenous nodule with abundant entrapped black dust (coal dust macule). Taken together, these findings are diagnostic of coal worker’s pneumoconiosis. Smoking related changes may appear somewhat similar with the exception of the macules. Silicosis may form collagenous nodules but they should not contain the amount of pigment seen here, berylliosis typically shows granulomatous inflammation, and the hallmark features of asbestosis are interstitial fibrosis in a particular pattern and the presence of asbestos fibers/ferruginous bodies.

How well did you know this?
1
Not at all
2
3
4
5
Perfectly
3
Q
A

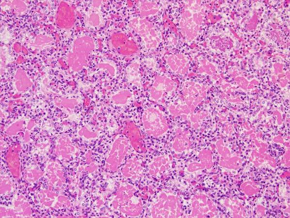
The image shows diffuse deposition of pink proteinaceous fluid within the alveoli that stained positive for PAS, which is indicative of pulmonary alveolar proteinosis (PAP). While the acquired form of PAP is much more common and is essentially a disease of adults, PAP may also present as a congenital form (as in this case) or as a secondary form. Secondary PAP generally occurs in young infants within the first few months of life and is frequently associated with infections, such as cytomegalovirus, complicating an immunocompromised state.

How well did you know this?
1
Not at all
2
3
4
5
Perfectly
4
Q
A
How well did you know this?
1
Not at all
2
3
4
5
Perfectly