figado Flashcards

(42 cards)

1
Q

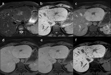
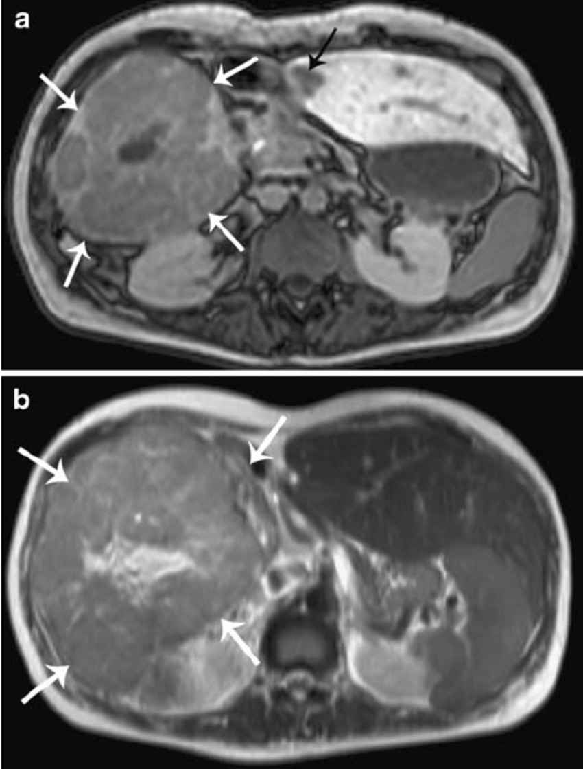
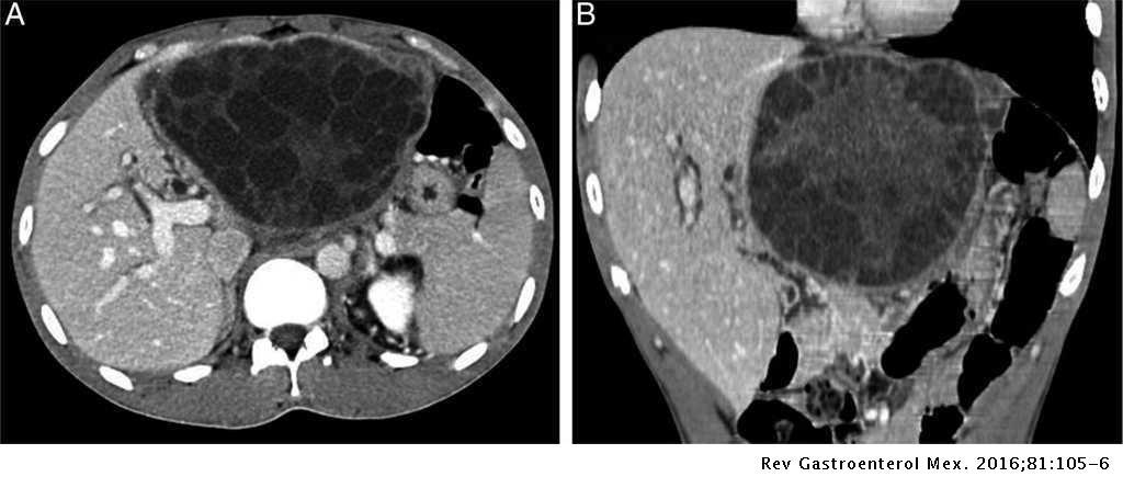
hemangioma
- achado na tc
- cd

A

hemangioma: mais comum, hiperproliferação vascular
us com lesão homogêna e hipoecóica

tc: enchimento precoce da perifeira padrão centripeto wash-in (globuliforme). Na fase tardia, lesão hiperintensa (no adenoma é hipodensa)

T1: hipointenso
T2: hiperintenso em relação ao parênquima hepático, mas menos intenso que o liquor
T1 com gadolíneo: realce periférico nodular descontínuo que progride de forma centrípeta nas imagens tardias
T1 com contraste hepatoespecífico: apresentam uma ampla gama de aparências, tornando esse método menos útil.
Na fase hepatoespecífica, pode apresentar pseudo-washout (aumento da captaçaõ de contraste pelo parênquima hepático adjacente)

Em geral, conduta conservadora, porém pode ser necessário abordagem se sangramento espontâneo, compressão sintomatica do tgi, ou coagulopatia por consumo (sind de kassabach-merrit)
Us de 12/12m se lesão > 5cm (hemangioma gigante)
Pode fazer angioembolização como manejo pre op em lesões > 10cm

How well did you know this?
1
Not at all
2
3
4
5
Perfectly
2
Q

HNF (hiperplasia nodular focal)
- achado na imagem
- cd

A

2 mais comum
crescimento segmentar do fígado hiperproliferação hepatocitária benigna (secundário a presença de artéria anômala ?)

pode ter associação com outras mal formações vasculares multiplas, como hemangiomas, astrocitomas, teleangiectasias, displasias de artérias sistêmicas, atresia de veia porta

lesão única, pequena, acomete mais mulheres em idade reprodutiva, sem relação com uso de ACO, baixo risco de malignização

lesão hipervascularizada hipercaptante e presença de cicatriz central (achado presente em 40%)

Não tem canaliculos biliares - > hiperrealce na fase hepatobiliar (na RM com primovist)

cd: conservadora, exceto se sintomáticos ou duvida diagnostica

How well did you know this?
1
Not at all
2
3
4
5
Perfectly
3
Q

Adenoma hepatico
- achados
- cd

A

prolifereção begnica dos hepatócitos com perda de funcionalidade dos mesmos e que apresenta importante influência do uso de contraceptivos e suplementação hormonal com anabolizantes

possui risco de maglinização, principalmente quando > 5cm ou presença de mutação betacatenina

assintomatico, mas pode crescer gerando dor abdominal e empachamento ou romper (abdome agudo hemorrágico)

TC: lesão heterogênea, hipervascularizada, geralmente com conteúdo gorduroso no seu interior.

RNM com contraste hepatoespecífico (primovist): padrão ouro

tecido nao funcionante (ausencia de cel de kupffer) nao capta o contraste

tto inicial: suspensao de ACO

cirurgia: mutacao betacatenina, adenoma no sexo masculino, > 5cm + sexo feminino, ou crescimento do tumor apos suspensão do ACO

How well did you know this?
1
Not at all
2
3
4
5
Perfectly
4
Q

abscesso piogenico x abscesso amebiano

A

piogenico
- > 50a
- ambos gêneros
- leucocitose com desvio à E
- hiperbilirrubinemia
- litíase ou diabetes

amebiano
- adultos jovens
- homens
- sem desvio à E
- normobilirrubinemia
- exposição a regiões de recursos limitados

How well did you know this?
1
Not at all
2
3
4
5
Perfectly
5
Q

Adenomas hepáticos
- tipos
- clinicamente

A

Composto por hepatócitos atípicos, mas sem displasia, disposto em placas espessas, com conteúdo variável de glicogênio e lipídeos.

Relação com ACO, anabolizante, obesidade e sind metabólica

Lesão com maior risco de sangramento.

A ausência de tecido hepático normal diferencia-se de outras lesões, como a HNF, que possui ductos biliares e tecido fibroso organizados ao redor de uma cicatriz central

Tipos
1) HNF1alfa mutado/esteatótico: associado a esteatose hepática, tipicamente indolente e de baixo risco e complicações. Histologia: esteatose difusa sem anormalidades citológicas ou infiltrados inflamatórios. Na RM apresenta realce somente na fase arterial.

2) inflamatório: exibe dilatação sinusóide, infiltrado inflamatório, tortuosidade vascular e propensão a sangramentos. Na RM apresenta intenso realce arterial, persistindo até na fase tardia.

3) beta catenina mutada, mais comum em homens, e uso de anabolizantes. Apresenta atipia celular, colestase e formação pseudoglandular. Alto risco de transformação maligna (éxon 3). Sem padrão de imagem específico.

4) sonic-hedgehog: associação importante com sangramento e rotura. Sem padrão de imagem específico

Quadro: dor em hcd por necrose ou sangramento intralesional

Lesões > 5cm têm risco aumentado de sangramento e transformação maligna

RM com contraste hepatoespecifico é o método mais sensível e específico.
Lesões hipervasculares e heterogêneas.

Em homem sempre opera pq tem relação com betacatenina.

Se mulher com desejo de engravidar, indicado abordagem (não invasivo, se possível), se tamanho > 2cm

Manejo > sangramentos
- suporte
- Radiologia intevencionista (arteriografia com embolização)
- Repetir imagem em 3 a 6 meses (após reabsorver hematoma)
- Cx se adenoma residual ou seguimento se ausência

How well did you know this?
1
Not at all
2
3
4
5
Perfectly
6
Q

fígado
- anatomia
- relações

A

Ligamento falciforme: prende o fígado à parede anterior do abdome. Separa os lobos direito e esquerdo.

Ligamento coronário: forma-se pela reflexão do peritônio originado do diafragma sobre a face posterior do lobo direito.

Ligamentos triangulares: são dois, o ligamento triangular esquerdo e o direito. O ligamento triangular esquerdo é uma lâmina dupla de peritônio que se estende sobre a margem superior do lobo esquerdo. Já o ligamento triangular direito é uma estrutura no ápice da área nua (não recoberta por peritônio) do fígado.

Omento menor: é uma prega peritoneal que vai da curvatura menor do estômago e porção proximal do duodeno até a face inferior do fígado.

Ligamento redondo (teres): é a ligação venosa obliterada da veia umbilical que era aberta durante a vida fetal.

Ligamento venoso: remanescente do canal de arantius (ducto venoso), que transporta sangue oxigenado da veia umbilical esquerda através da veia porta esquerda até o átrio direito durante a vida fetal.
O ligamento de Arantius geralmente se insere na veia hepática esquerda ou no sulco entre as veias hepáticas média e esquerda. O ligamento pode ser isolado, puxado para cima e para a esquerda, e utilizado para separar as veias quando é necessário controlar a veia hepática esquerda.

Espaço de Couinaud: Um espaço avascular que serve como referência anatômica durante a cirurgia hepática. Hanging liver

Porta hepatis or transverse fissure of the liver is a short but deep fissure, about 5 cm long, extending transversely beneath the left portion of the right lobe of the liver, nearer its posterior surface than its anterior border.

Fissura de ganz ou sulco de rouviere

R4U line

Veia de makuuchi = veia hepatica direita acessória

Linha cantlie: cisura portal principal, também conhecida como linha de Cantlie, que corresponde a uma linha que, originando-se no ponto médio do leito vesicular, anteriormente, dirige-se posteriormente, ao longo da face ântero-superior do fígado, à face lateral esquerda da veia cava na sua porção supra-hepática. Na intimidade do parênquica corresponde a veia hepática média.

  • Segmento I = setor dorsal ou segmento dorsal ou lobo de Spiegel ou lobo caudado
  • Segmento II = setor lateral
  • Segmento III = porção medial do setor medial
  • Segmento IV = porção lateral do setor medial. IV b = lobo quadrado
  • Segmento V = porção inferior do setor anterior
  • Segmento VI = porção inferior do setor posterior
  • Segmento VII = porção superior do setor posterior
  • Segmento VIII = porção superior do setor anterior

Composição da bile: rica em K e HCO3-

How well did you know this?
1
Not at all
2
3
4
5
Perfectly
7
Q

Carcinoma Hepatocelular

A

principal tu maligno primário do fígado. ( o segundo é colangio)

FR: cirrose. Hep B pode causar sem cirrose. deficiencia de alfa-1-antitripsina, acão de carcinógenos externos (aflatoxinas, pesticidas, tabagismo)

Prevenção primária
- conscientização de riscos de etilismo, vacinação HBV, obesidade, se infecção viral presente

Prevenção secundária
- Cirróticos Child A e B
- Child C, apenas se listáveis para Tx hepático
- Infecção HBV
- História familiar de CHC
– Homens asiáticos > 40 anos
– Mulheres asiáticos > 50 anos
– Africanos / Afro-americanos
– Hepatite ativa (elevação tgo/tgp, PCR > 100 mil cópias)
- US abdome superior 6/6 meses + AFP (>= 20 ng/mL)
– valores > 400 é praticamente confirmatório em pacientes de alto risco
– > 1000 = não elegível a TX
- se achado +:
– nodulos < 1cm: US em 3 meses
– > 1cm: TC/RM

Imagem
- lesão hipervascular com washout na fase venosa
- hiperatenuação periférica nas fases venosa e tardia (capsula/pseudocapsula)
- RM: T1 iso ou hipointenso | T2 hiperintenso | Washout na fase venosa
- LI-RADS (avalia probabilidade de CHC)
– 0 = Nao categorizável - repetir até 3m
– 1 = 100% benigno
– 2 = provavelmente benigno
– 3 = intermediário
– 4 = provável CHC
– 5 = 100% CHC
- mestástase extra hepaticas (pulmao, linfonodos abdominais, ossos e adrenais)
– tc torax ou COC Tc-99m

Estadiamento do Barcelona Clinic Liver Cancer
- Estágio muito precoce (0): nodulo unico, <=2cm, CHILD A, ECOG 0 -> ablação ou ressecção

  • Estágio precoce (A): nódulo único ou <= 3 nódulos <=3cm, Child A-B, ECOG 0
    – solitário = ressecção, se favorável, ou quimioembolizacao, ablação ou tx
    – 2 a 3 nodulos: tx ou quimioembolizacao ou ablacao2

Estágio intermediário (B): multinodular, child A/B, ECOG 0
- quimioembolizacao (sobrevida > 30m)
– alguns pacientes com ótima resposta à TACE podem se tornar resgatáveis (downstaging)
- QT primeira linha (Atezolizumab + Bevacizumab) ou Durvalumab + Tremelimumab»_space; sobrevida 17m

Estágio avançado (C): invasão portal, N1, M1, Child A/B, ECOG 1/2
- QT primeira linha. Avaliar risco de pontencial de sangramento. Se não for possível, sorafenib. Falha terapeutica: regorafenib, carbozantinib > Sobrevida 8 a 12 meses

Estágio terminal (D): Child C, ECOG 3
- paliação > sobrevida < 3 meses

Tratamento da ressecção cirurgica
- bom candidato a ciurgia: CHILD A, MELD <=8, ausencia de hipertensão portal (EDA sem varizes, sem circ colat visível aos exames de imagem), ausencia de coagulopatia (INR normal, plaq > 100 mil)
- idealmente ressecções regradas (sabemos que isso nem sempre é possível)
- fígado remanescente adequado (teoria 40%, prática 50%)
- PVE + TACE para condicionamento para cirurgia

Ablação por radiofrequencia/microwave
- potencial curativo
- lesões < 3cm sem invasõa macrovascular
- lesões distantes da via biliar principal

Radioterapia
- dosimetria e calculo refinado de campo diminui risco de toxicidade
- TARE (transarterial radioembolization) - Yttrium 90 para lesão única < 8 cm

Transplante hepático (doador cadáver)
- critérios de milão
– 1 nódulo até 5cm
– até 3 nódulos até 3 cm
– desconsidera nódulos < 2cm
- MELD
– AFP > 1000 dropout pode chegar até a 40% em um ano
– entra na fila 20
– 3 meses: 24
– 6 meses: 29

How well did you know this?
1
Not at all
2
3
4
5
Perfectly
8
Q

Carcinoma fibrolamelar

A

jovens sem cirrose (20-40 anos)
não expressa AFP
H = F

imagem
- lesão heterogênea, hipervascular com cicatriz central, com washout, sem realce tardio
– bx necessária para diferenciação com HNF
– calcificações são comuns na cicatriz central

Por ausencia de hepatopatia, pacientes possuem menos limitantes para o tratamento cirurgico, pode fazer uma hepatectomia direita, por ex

How well did you know this?
1
Not at all
2
3
4
5
Perfectly
9
Q

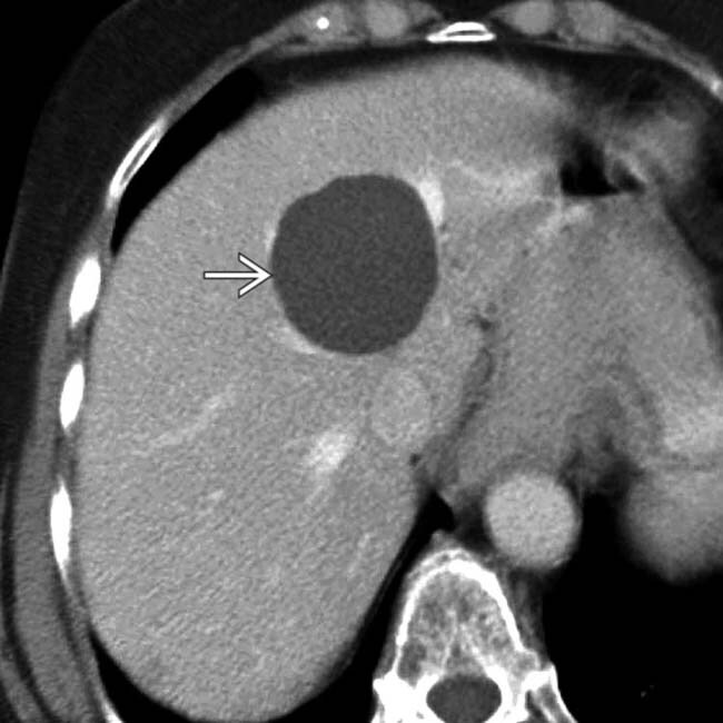
Cisto hepático simples
- tratamento

A

Cistos congênitos (cistos simples): mais comum em mulheres, 40 - 70 anos

Cistos adquiridos (Cisto hidático, pós traumático e inflamatórios): homens, 30-50 anos

Grupo heterogêneos de doenças

1) Cisto simples:
- congênitos e assintomáticos
- epitélio ductal que não se comunica com a árvore biliar
- maioria incidental
- de crescimento lento
- em geral, assintomaticos, mas pode gerar efeito de massa.
- em tamanhos muitos grandes, podem romper e gerar hemorragia, rotura e obstrução biliar
- Dx:
– US (S e E > 90%): anecoicos, sem septos, bordas finas, avascular ao doppler
– TC: bem delimitada, hipodenso (-10UH), sem realce em fases contrastadas
– RM: T1 baixo sinal e homogeneo; T1 C+ sem realce; T2 hipersinal
-Acompanhar: se > 4cm;
-TTO: se sintomáticos.
– Aspiração e/ou injeção de agente esclerosante (PAIR)
– CX vlp destelhamento, excisão, hepatec

How well did you know this?
1
Not at all
2
3
4
5
Perfectly
10
Q

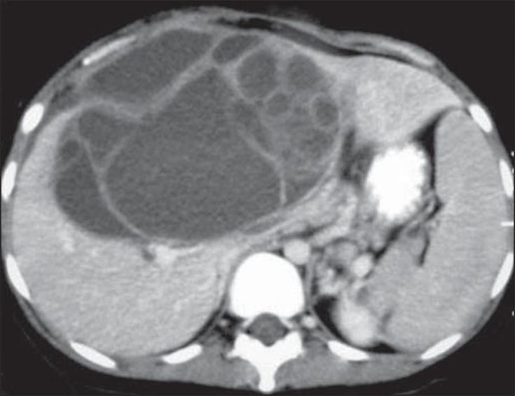
Cisto hidátido hepático

A

Cistos congênitos (cistos simples): mais comum em mulheres, 40 - 70 anos

Cistos adquiridos (Cisto hidático, pós traumático e inflamatórios): homens, 30-50 anos

2) Cisto hidático
- associado a infecção por Echinococcus (E. granulosos é o mais prevalente no Br), que é um platelminto cestódeo da família das tênias
- Cão é o hospedeiro definitivo. Ovelhas (principal), gado, cavalor, porcos são os intermediários. Homem é o hosp intermediário acidental.
- Fígado é o orgão mais comumente acotimedo, depois pulmão e cérebro
- Acometimento subclínico durante anos
- FR: morador de área rural, região endêmica
- Dor em HCD é o sintoma mais comum
- Ruptura do cisto pode gerar anafilaxia
- Dx: teste sorológico com ELISA (baixa acurácia)
- US específico 90%
- TC e RM são úteis para confirmar dx: calcificações, cistos filhos e cistos extrahepáticos
- TTO:
– derivado imidazólico (albendazol, mebendazol) prolongado
– PAIR (puncture, aspiration, injection, re-aspiration): eficaz se lesões precoces com septos finos
– cx com cautela devido ao risco de anafilaxia: destelhamento, pericistectomia, hepatectomia

How well did you know this?
1
Not at all
2
3
4
5
Perfectly
11
Q

Cisto adenoma biliar

A
  • Cisto benigno com risco de malignização (até 30%)
  • deriva dos ductos biliares (ductos embrionários não involuídos ou ductos aberrantes)
  • feminino 9:1, 45 anos
  • em geral, assintomático
  • histopatologico: cisto multiloculado com conteúdo mucinoso, devidido por septos / paredes espessadas, com tamanho variado
  • OMS considera duas apresentaçãoes
    – Neoplasia Cística Mucinosa (estroma ovariano)
    – IPMN-B (neoplasia intraductal papilar da via biliar; comunica com a via biliar)
  • acomete normalmente lobo esquerdo (seg IV)
  • Tc: septos com realce ao contraste, pode ter calficacao, mais hiperdenso que o fígado (conteúdo mucinoso)
  • RM + colangio: vê comunicacao com a via biliar
  • CEA/CA19.9: valor normal nao exclui
  • TTO
    – ressecção completa, se possível
    – ressecção poupadora de parênquima com ablação de parede residual do cisto
How well did you know this?
1
Not at all
2
3
4
5
Perfectly
12
Q

Doença policística hepática

A
  • multiplos cistos hepáticos simples
  • associação com doença renal policística (50%)
  • > 60 anos, ligerida predominânica feminina (quanto mais gestações e ações estrogênicas maior o risco)
  • extensão da doença não tem correlação com função hepática
  • pode haver elevação de enzimas hepaticas e canaliculares
  • pode complicar com sangramento, roturna, compressão da via biliar
  • US é capaz de dx na maioria dos casos
  • classificação de gigot
    – tipo1: pouco cistos volumosos > 7cm, focais. tto = destelhamento + omentoplastia
    – tipo 2: multiplos cistos peq a médios. tto = ressecções + destelhamento, se cabível
    – tipo 3: parênquima tomado por cistos. tto = critério especial para tx hepático

tto
- supressão das terapias hormonais
- analogos de somatostatina e inib da mTor (everolimus)
- cirurgia, conforme classif de gigot

How well did you know this?
1
Not at all
2
3
4
5
Perfectly
13
Q

Metástases hepáticas do câncer colorretal (MHCCR)

fundamentos

A

opera ou qt primeiro?
- Escore de Fong ( lesão multinodular ou critérios prognósticos negativo > 2 = QT)
– >= 2 nódulos hepáticos (principal)
– CEA > 200
– N+ no tu 1a
– Nódulo > 5cm
– Doença sincrônica (ILD < 12 meses)

Ressecção deve almejar R0 e parênquima hepático remanescente
- parênquima saudável 20-30%
- expostos a QT / esteasose-esteatohepatite 30-40%
- cirrótico 40-50%

Para pacientes com remanescentes limítrofes, táticas para hipertrofia do mesmo
- ligadura da v. porta
- embolização porta (inflow) com +/- deprivação hepática (outflow - emboliza a drenagem)
- hepatectomia em 2 tempos
- ALPSS (associating liver partition and portal vein ligation for staged hepatectomy)

Terapias ablativas: preferencialmente em lesões profundas e pequenas (< 3cm), distante da via biliar principal

Candidatos a cirurgia:
- ressecção R0 parênquima
- fígado remanescente adequado
- margem > 1 cm é buscado, mas margem > 1mmsão suficientes
- R1 vascular: ressecção margina do tumor em contato com estruturas vasculares traria benefício a sobrevida

How well did you know this?
1
Not at all
2
3
4
5
Perfectly
14
Q

MHCCR: manejo da doença sincrônica

A

Abordagem clássica: tu 1a -> Qt -> fígado
- doença colonica sintomática com necessidade de abordagem imediata

Abordagem simultânea: tu 1a + fígado -> Qt
- quando lesão colonica e hepática são manejáveis de maneira simultânea sem grande morbidade

Abordagem reversa (liver first): Qt -> fígado -> tu 1a
- aborda o sítio que define prognóstico oncológico (fígado no limite da ressecabilidase, risco de rápida progressão)
- tu 1a controlável sem que exista necessidade de resseccao num primeiro tempo
- reto extraperitoneal: acaba sendo o principal cenário para abordagem reversa

How well did you know this?
1
Not at all
2
3
4
5
Perfectly
15
Q

Transplante hepático para MHCCR

A

Critérios de inclusão rigorosos
- doença hepática irressecavel estável (>1 ano)
- sem doença extra hepática
- boa resposta a qt
- cea < 80
- nódulo maior < 5,5 cm

Critérios de oslo (pior prognóstico)
- tu > 5,5 cm
- cea > 80
- intervalo entre resseccao e transplante < 2 anos
- progressão da doença em vigência de quimioterapia

How well did you know this?
1
Not at all
2
3
4
5
Perfectly
16
Q

Alfa feto proteínas no CHC está relacionado com:

A

Maior risco de recidiva após o tratamento, independente do tamanho da lesão

How well did you know this?
1
Not at all
2
3
4
5
Perfectly
16
Q

Contra indicações ao tx hepatico

A

Abstinência alcoolica < 6 meses
Infecção ativa por Hep B e C
Paciente com AIDS
Doença de Chagas
Doença extra-hepática descompensada
Neoplasia extra-hepática
Idade > 65 (relativo)

16
Q

Etiologias do CHC

A

HCV 50%
Idiopatico 19%
Alcool 8%
HCV + Alcool 6%
NASH 6%
Falência hepática aguda 3%
HBV 2%
Criptogênico 2%
Colestático 1%

16
Q

Indicações de tx hepático

A

Child B ou C
MELD > 15 // PELD
HCC dentro de critério (independente do child)
Insuf hepatica fulminante

16
Q

PELD e MELD

A

São scores de sobrevida de 3 meses

MELD: bilirrubina, INR, creat. Em 2019, incluiu o Na.
PELD: billirrubina, INR, albumina (pediatrico)

16
Q

Critérios de irressecabilidade de CHC

A

MELD > 10
CHILD B ou C
Na < 135
Ressecção de mais 2 segmentos
Tu múltiplos (mais de 1 nódulo em segmentos distintos)
Hipertensão portal
Ascite refratária: dieta pobre em sal, tratamento clínico otimizado, paracentese frequentes, Na urinária < 80mEq/24h

16
Q

Hepatite fulminante

A

destruição rápida e maciça e progressiva dos hepatócitos

etiologia: viral, autoimune e medicamentosa

quadro: icterícia, discrasia, hipotensão refratária a dva, encefelopatia/edema cerebral (amonia), IRA

Critérios de Clichy
- Fator V < 30%, se > 30 anos
- Fator V < 20%, se < 20 anos
- Encefalopatia grau III/IV

Critérios de O’Grade - Kings College
* paracetamol
- Ph < 7,3 ou todos os critérios a seguir: RNI > 6,5 + Cr > 3,5 + Encefalopatia III/IV
* Não paracetamol
- RNI > 6,5 ou 3-5critérios a seguir: < 10 anos ou > 40 anos + hepatite não A/B + icterícia > 7 dias antes da EH + RNI > 3,5 + Bilirrubina > 17,5

Intoxicação por paracetamol
- dose toxica adulto 7,5g | Dano hepático após consumo 5g | Dose letal 15g
- antídotos: carvão ativado até 30 minutos | N acetilcisteina atk 150mg/kg + 50mg/kg 4/4h

Nos pacientes com hepatite fulminante entra priorizado na fila do transplante hepático, abrangencia nacional

16
Q

Técnicas cirurgias do tx hepático

A

Fase quente: inicio da cirurgia ate a PCR
Fase fria: Após a PCR. É o início do tempo de isquemia fria. Quanto menor o tempo, menor dano hepático. 0 a 4 graus celsius -> reduz lise de hepatócitos
Tempo de isquemia quente/morna: inicia no momento em que o fígado sai do gelo e entra na cavidade do receptor. Ideal menor que 1 hora

Tempo de isquemia total: TIF + TIQ. ideal até 12h

Hepatectomia convencional
- cava retrohepática sai com o fígado
- menor tempo de hepatectomia
- 4 anastomoses: 1 cava supra ; 2 cava infra ; 3 veia porta ; 4 hepática
- maior tempo de isquemia quente
- bypass ou retorno venoso interrompido

Técnica piggyback
- fígado sai “sem a cava”
- 3 anastomoses: 1 cava supra ; 2 porta ; 3 a hepática
- menor tempo de isquemia quente
- melhor hemodinâmica

16
Q

Imunossupressão no tx

A

Inibidores de calineurina
- interrompem ativação dos Linf T
- ciclosporina
- nefrotoxicos (dose dependente)
- hiperglicêmicos
- desencade quadros neurologicos

Tacrolimos (FK)
- mais potente
- inibe IL
- até 3 meses do tx. NS 7-10/8-12

Inibidores da síntese de purinas
- inib linf T e B
- inibe formação de cels T citotoxicas
- MIcofenolato de sódio
- leucopenia, panticopenia
- alterações do TGI -> diarreia, nausea e vomitos

Inibidores mTOR
- everolimus, severolimus
- menor nefrotoxiciade que o tacrolimus
- anti-neoangiontenica
- NS dependente
- retardo da ciatrização

TX recente (até 3 mese)
- corticoide + FK (NS 7-10/8-12) + MMF

TX tardio
- esquema duplo ou unico -> FK (NS baixo/individualizado) + MMF

16
Complicações do tx hepatico - relacionadas ao enxerto
até 14 dias: não funcionamento do enxerto / Disfunção primário do enxerto tto: re tx Definições - função hepática incompatível com a vida com necessidade de retransplante ou evolução ao óbito do paciente antes do sétimo dia - AST ou ALT > 1500 UI/L em dois exames consecutivos nas primeiras 72h, com evolução para óbito do receptor ou retransplante - ALT + AST / 2 > 986 no segundo dia, com evolução para óbito do receptor ou retransplante até o sétimo dia
16
COmplicações do tx hepático - relacionadas a cirurgia
Trombose da artéria hepática - aumento súbito de enzimas hepáticas - dx por exame de imagem (doppler, tc, arteriografia) - tto: reTx. até 14PO, Meld 40. apartir 15PO, Meld 29. Fistula biliar - complicações precoce - dx: colangiografia ou colangioRM - tto com clinico com cpre ou tto cirúrgico Estenose biliar - complicação mais tardia - dx: colangiografia ou colangioRM - tto clínico com CPRE
16
Complicações relacionadas a imunossupressão
Rejeição hiperaguda: Ac pré-formados. Assocaiação com incompatibilidade ABO. Tto é Re-TX Rejeição aguda mediada por Linf T: é a mais frequente, ocorrendo nos primeiros meses. Responde bem a imunossupressão. Reieição aguda mediada por Ac ou rejeição humoral: Ac contra Ag do doador presentes no enxerto. Menos frequente e associada a altos títulos de Ac específicos Rejeição crônica: fibrose progressiva e perda de função do enxerto. Pode resultar em episódios repetidos de rejeição aguda ou de um episódio grave de rejeição humoral. É menos comum, mas em geral irreversível. - rejeição celular - Linfócito T Infecções oportunistas - HSV, CMV, toxo, monilíase, tb, criptococose, aspergilose Neoplasias em longo prazo - CEC e CBC
16
Critérios especiais para lista de tx hepático
1) ascite refratária -> meld 29 direto 2) HCC 3) Down staging 4) Encefalopatia de repetição 5) Prurido intratável 6) Colangite repetição 7) Carcinoma fibrolamelar irressecável 8) Metástase de tu neuroendócrino irressecável, com primário já ressecado e sem doençe extra hepática 9) Sínd Hepatopulmonar (PaO2 < 60mmHg) 10) Adenomatose múltipla irressecável * Listagem -> meld 20 3 meses -> meld 24 6 meses -> meld 29
16
Principais causas do piora do MELD
Carcinoma hepatocelular Infecção Trombose de veia porta Progressão da doença hepática
16
Rastreamento CHC
Rastrea com AFP + US 6/6m Se Hep B: - Homens acima 40 anos - Mulheres acima 50 anos - Paciente negros com > 20 anos no momento do dx, de HF + p/ CHC Se Hep C: - todos pacientes com fibrose III
16
Sindrome Alagille - doença - quadro
- doença autossômica dominante que pode causar hepatopatia crônica na infância - escassez de ductos biliares intrahepáticos - quadro clínico: prurido intenso + xantomas + criança irritável
16
Colangite esclerosante primária - fisiopatogenia - padrão de acometimento - associação - Dx - TTO
- doença progressiva, com progressão geralmente lenta, que leva à inflamação, fibrose e consequente estenose de vias biliares - acomete os segmentos intra e extra-hepáticos, sendo o tipo mais comum o que acomete os ductos intra e extra-hepáticos simultaneamente - associação com RCU - DX: áreas de dilatação e estenoses nas vias biliares (aspecto de colar de contas) - TTO: -- ácido ursodesoxicólico é uma droga colerética e imunomoduladora. Quando usada por no mínimo 6 meses, é uma opção para suporte clínico do paciente (não altera sobrevida). -- tx hepático em casos quando insuf hepápica
16
Colangite esclerosante secundária - 10 causas
1) Colangite associada ao IgG4 (relacionada com pancreatite auto imune): é a manifestação extrapancreática mais comum da doença relacionada ao IgG4. Em pacientes com colangite esclerosante, deve-se sempre dosar o IgG4 para investigação da doença. O tratamento é feito com corticoide. 2) Imunodeficiência familial ou de causa não definida 3) Colangiopatia associada ao HIV (CMV/Cryptosporidium/idiopática) 4) Colangite bacteriana crônica; 5) Colangiopatia isquêmica (pós-transplante hepático/vasculite) 6) Fibrose cística 7) Colangiocarcinoma 8) Coledocolitíase 9) Metástases hepáticas difusas 10) Colangite eosinofilica
16
Colangite biliar primária (CBP) - fisiopatogenia - histologia - dx - clínica - tto
- doença hepática colestática autoimune mediada por linfócitos T que causa inflamação crônica e destruição progressiva dos ductos biliares interlobulares de pequeno e médio calibre - colangite crônica não supurativa e destrutiva, que envolve os ductos biliares interlobulares de 40-80μm de diâmetro associada à presença de infiltrado inflamatório portal com redução de ductos biliares. - Dx: presença dos autoanticorpos AMA e ANA, das lesões dos ductos biliares e de testes bioquímicos, como a elevação de FA e GGT + hiperpigmentação, icterícia, xantomas, xantelasmas, dermatografismo, e infecções fúngicas dos pés ou unhas - TTO: ácido ursodeoxicólico (melhora da função hepática e canaliculares), colestiramina (controla prurido), rifampicina (controla prurido), tx hepática (fase final)
16
hemangioendotelioma epitelioide - etiologia - tto
tumor maligno raro de baixa agressividade, com associação a estrógenos acometimento pode ser nodular (trata como nodulectomia) ou difuso (trata como tx hepático)
16
Escore de Fong (MHCCR)
-- >= 2 nódulos hepáticos (principal) -- CEA > 200 -- N+ no tu 1a -- Nódulo > 5cm -- Doença sincrônica (ILD < 12 meses) Se <= 2pts: cirurgia up front Se > 2pts: Qt periop +/- nodulectomia/hepatectomia, se boa resposta
16
Tríade hepatopulmonar
Doença hepatica crônica + dilatação vascular intrapulmonar + hipoexia Fibrose hepática -> hipertensão portal -> fluxo hepatofugal/ circ colaterais -> aumento do conteúdo venoso e venodilatação -> aumento SRAA -> ascite/sind hepatorrenal (diminuicao do vol circ na a. aferente e levando a ira pre-renal) + sind hepatopulmonar (vasodilatacao vascular intrapulmonar, levando a shunt arteria-veia pulmonar, sangue hipoxemico)
16
Quais são os segmentos laparoscópicos do fígado
2, 3, 4b, 5 e 6 são segmentos de ressecção segura e factível via vlp atualmente, a segmentectomias laterais esquerda (2 e 3) a vlp é seu padrão ouro devido a sua segurança e fácil realização
16
Hipertensão portal - definição - mensuração - etiologias
É quando o gradiente de pressão venosa da veia porta e das veias hepáticas > 5mmHg. Este gradiente é aferido pela cateterização da veia hepática por punção da veia jugular interna (pode ser pela femoral também) pré hepática: trombose da veia esplênica intra hepática: cirosse pós hepática: Insuficiência cardíaca D, sind budd-chiari
16
Sind figado azul associado a qual droga
oxaliplatina (oclusão veno oclusiva sinusoidal)
16
Irinotecano provoca qual alteração hepática
Esteatose ou esteatohepatite
17
Manejo da ascite por cirrose
Restrição de Na < 88meq ou < 2g/dia Dose de espirolactona 400mg/dia Dose de furosemida 160mg/dia Paracentese (de repetição) se com tudo isso, e paciente com sódio urinário < 80 meq/d, pode listar com tx hepático (já entra com meld-na 29)