General Surgery Flashcards

(27 cards)

1
Q

Diagnosis?
Why?

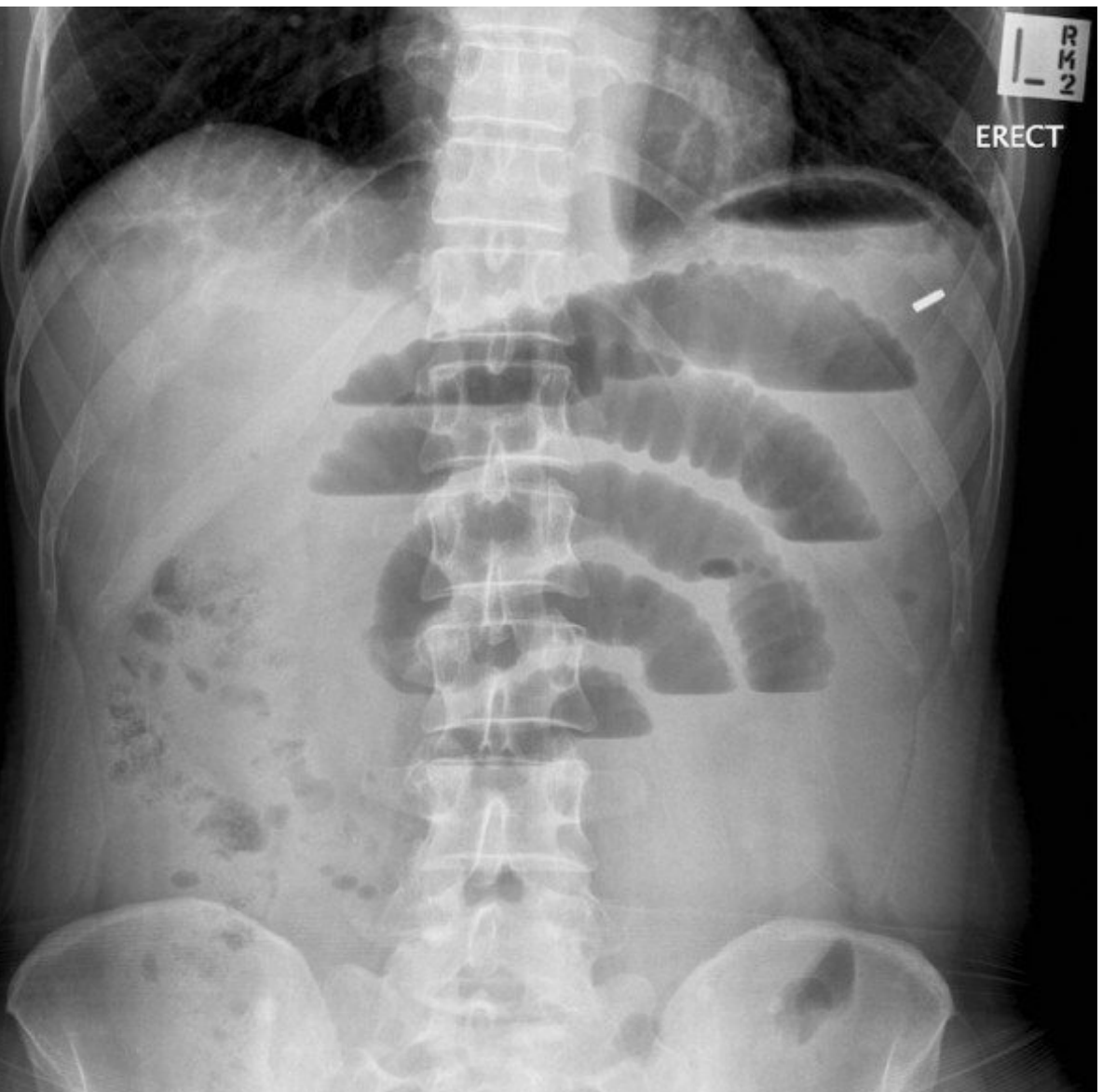
A

SBO

  1. dilated loops of bowel
  2. multiple fluid levels
  3. small bowel - central/3mm/valvular coneventes
How well did you know this?
1
Not at all
2
3
4
5
Perfectly
2
Q

what are the common causes of SBO obstruction and their examination findings?

A
  • adhesions - old scars
  • hernias - hernia on exam
  • malignancy - systemic sx
How well did you know this?
1
Not at all
2
3
4
5
Perfectly
3
Q

what are the metabolic complications of SBO and why?

A
  • metabolic alkalosis - loss of HCL from vomming
  • hypoK - vomiting
  • hypoNa - 3rd spacing to gut
  • lactic acidosis - from iscahemia and hypoperfusion
How well did you know this?
1
Not at all
2
3
4
5
Perfectly
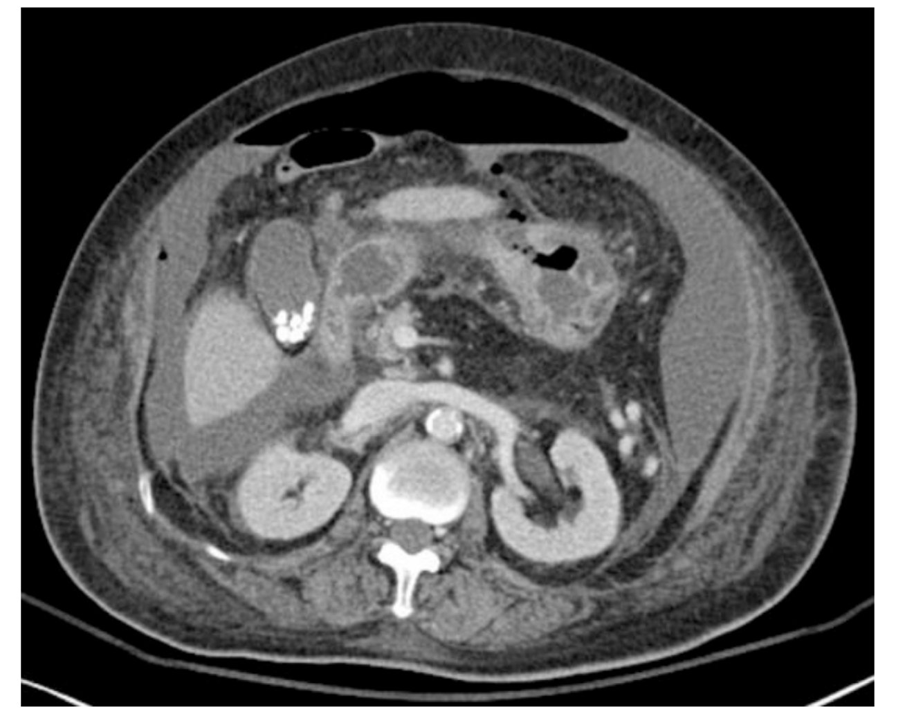
4
Q

abdo pain and guarding:
What ate the abnormalities?

Diagnosis?

A

IP free fluid
IP free air
fat stranding around stomach
gallstones
thick walled stomach

diagnosis
Perforated peptic ulcer

How well did you know this?
1
Not at all
2
3
4
5
Perfectly
5
Q

what is the initial management of perforated abdominal viscous?

A

IV fluid - bolus and aim over 100
Anagelsea eg fent
IV abx
urgent surgical input

How well did you know this?
1
Not at all
2
3
4
5
Perfectly
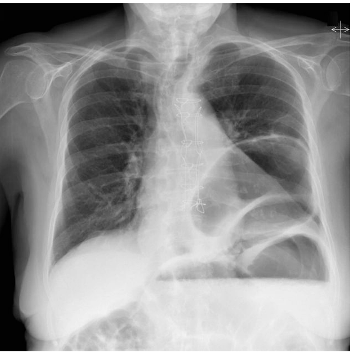
6
Q

diagnosis?

3 positive and two neg findings

A

gastric volvulus

Pos:
* hiatus hernia
* multiple bowel loops in intrathoraic region
* air fluid in lower loop suggesting obstruciton
* mediastinal shift

Neg
* no pneumothorax
* no free air under diaphragm

How well did you know this?
1
Not at all
2
3
4
5
Perfectly
7
Q

what clinical features of history and exam make appendicitis more likely in a child?

A

RIF pain
pain migrating to RIF
pain less than 3 days
anorexia
pain on coughing/moving/hopping

How well did you know this?
1
Not at all
2
3
4
5
Perfectly
8
Q

with suspected appendicits in child what tests could you do to rule out other things?

A

urine - UTI
US - mesenteric adenitis
CXR - LRTI
lipase - pancreatitis
glucose - DM

How well did you know this?
1
Not at all
2
3
4
5
Perfectly
9
Q

what is the maintennce fluid for kids?

A

normal saline plus 5% dextrose

4:2:1

  • For the first 10 kilograms (3-10 kg) — 4 ml/kg/h.
  • For the next 10 kilograms (11-20 kg) — 2 ml/kg/h.
  • For weights above 20 kilograms — 1 ml/kg/h
How well did you know this?
1
Not at all
2
3
4
5
Perfectly
10
Q

what are the management options for sigmoid volvulus?

A
  1. PR deflation eg sigmoidoscope
  2. percutaneous deflation
  3. laparatomy
How well did you know this?
1
Not at all
2
3
4
5
Perfectly
10
Q

interpretation of wound

A

midline laparatomy wound with significant dehiscence

How well did you know this?
1
Not at all
2
3
4
5
Perfectly
11
Q

list three patient and surgical factors that could contribute to post op wound dehiscence

A

Patient
* Smoker
* steroid use
* obesity
* immunocompromised
* diabetic
* poor self care
* over 65
* anaemia

Surgical
too much wound tension
inappropriate sutures
inappropriate technique
haematoma at site
FB
non sterile procedure

How well did you know this?
1
Not at all
2
3
4
5
Perfectly
12
Q

what are the advantages and disadvantages of common methods of wound closure in ED

A
How well did you know this?
1
Not at all
2
3
4
5
Perfectly
13
Q

what are the two most common causes of pancreatitis

A

GS
Alcohol

GETSMASHED

How well did you know this?
1
Not at all
2
3
4
5
Perfectly
14
Q

what are the local and systemic compliations of pancreatitis?

A

Local
* pancreatic pseudocyst
* abscess
* ileus
* splenic vein thrombosis
* chronic pancreatitis
* duodenal obstruction

Systemic
* Shock
* ARDS
* hypocalcaemia
* metaolic acidosis
* pleural effusion
* multi organ failure

How well did you know this?
1
Not at all
2
3
4
5
Perfectly
15
Q

what CT featues of pancreatitis are associated with severe disease?

A

focal or diffuse enlargement
fat stranding
single or multiple fluid collections
necrosis

16
Q
  1. Diagnosis?
  2. Imprtant investigations?
  3. Management
A
  1. Ascending cholangitis
  2. LFTs,lipase, cultures, US
  3. IV abx (cef 1g BD), fluid(NaCl 1l 4/24), surgical opinion, analgesia( paracetamol, fentanul or bupe)
17
Q

two positives and two negatives?

A

Positives
* dilated small bowel loops
* thumbprinting

Negatives
* no fecal loading
* no free air
* no rigleers sign

18
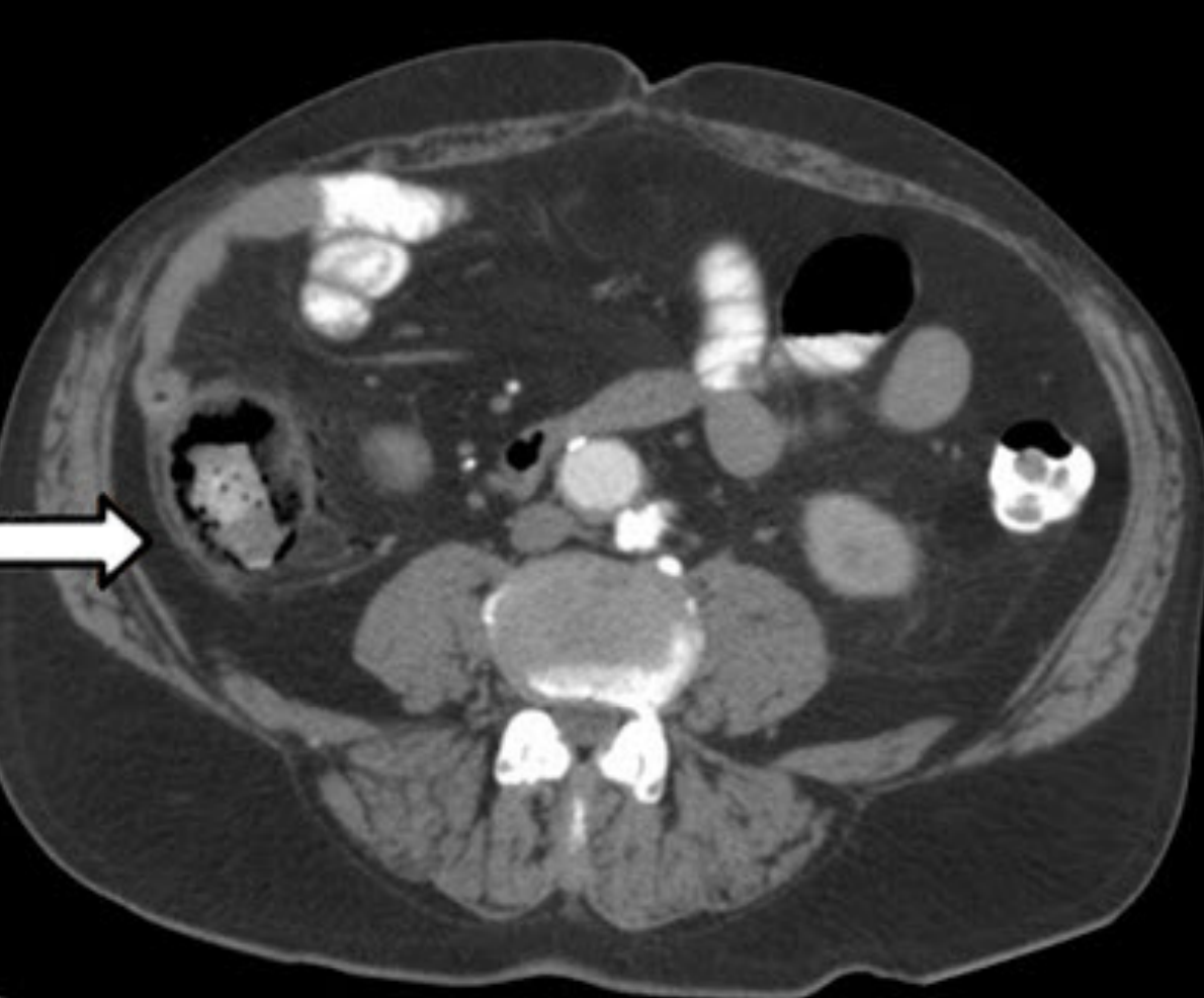
Q

What is this?

A

Pneumatosis intestinalis (presence of gas within wall of bowel)

19
Q

what can cause pneumatosis intestinalis?

A

submucosal cysts
infective enteritis
coeliac
COPD
AIDS
sarcoid
post chemo

20
Q

what could indicate a bad prognosis in mesenteric infarct/bowel ischaemia

A

metabolic acidosis
bloody diarrheoa
portal venous gas
thickened bowel wall on imaging

21
Q

if a patient is NBM what are the analgesia options in ED?

A

ketamine 0.2mg/kg
fentanyl 25mcg aliquts
IV panadol
PR indomethacin

22
Q

what are the complications of SBO with management principles?

A

perforation - abx and surgery
hypovoaemia - fluid replacement
hypok - replacement
aspiration - cxr

23
Q

3 year old in abdo pain
describe abnormalities and diagnosis

A

dilated bowel loop with telescoping

Intersusscpetion

24
what is the management of intersussception?
* Analgesia - IV morphine 1mg aliquots or fentanyl * IV fluid - 20ml/kg aiming for pulse under 120 * urgent surgical paeds referral
25
what are the mangement options for intersusscpetion and when would you use them?
gas insufflation PR - first line when uncomplicated Surgical - if first line fails or complicated eg perforation
26
what are the complications of intersussception?
perforation sepsis intestinal ischaemia