PAH Flashcards

(148 cards)

1
Q

contraindications to chest drain for pneumpthorax

A

coaguoapthy - meds
thrombocytopenia
goals of care not for interverntion
active metastatic malgnancy
refusal

How well did you know this?
1
Not at all
2
3
4
5
Perfectly
2
Q

biochemical effects insulin OD

A

hypokalamiea
hypomag
hypophos

How well did you know this?
1
Not at all
2
3
4
5
Perfectly
3
Q

effects hypothermia

A
How well did you know this?
1
Not at all
2
3
4
5
Perfectly
4
Q

classifications of frostbite

A
How well did you know this?
1
Not at all
2
3
4
5
Perfectly
5
Q

frostbite treatment

A

immerse in 40-42 circulating water until part is erythematous

How well did you know this?
1
Not at all
2
3
4
5
Perfectly
6
Q

benefit NGT over IV rehydration

A

avoids negative IVC eg pain, time
demonstrates gut function toimprove confidence at discharge
no risk accendtal IV boluses

How well did you know this?
1
Not at all
2
3
4
5
Perfectly
7
Q

what may suggest delrium in confused patient

A

abnormal vital signs eg fever
acute onset
distratable
fluctaitn
recent infections
visual hallucinations

How well did you know this?
1
Not at all
2
3
4
5
Perfectly
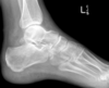
8
Q
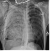
A

pneumothorax
rib fracture
veil sign

How well did you know this?
1
Not at all
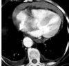
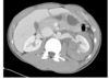
2
3
4
5
Perfectly
9
Q

benefits CT in rib fracture

A

mediastinal injury
clarify sixe pneumothorax
size of haemothorax
vascualr injury
radiological flail
spinous fractures
source of injury

How well did you know this?
1
Not at all
2
3
4
5
Perfectly
10
Q

Meningitis treatment adult

A
How well did you know this?
1
Not at all
2
3
4
5
Perfectly
11
Q

Extra tests in confirmed meningitis

A
How well did you know this?
1
Not at all
2
3
4
5
Perfectly
12
Q

Gustilo grade for open fractures

A
How well did you know this?
1
Not at all
2
3
4
5
Perfectly
13
Q

Triggers for autonomic dysreflexia and treatment

A
How well did you know this?
1
Not at all
2
3
4
5
Perfectly
14
Q

Complications autonomic dysreflexia

A

Seizures
ICH
pulmonary oedema
Renal failure

How well did you know this?
1
Not at all
2
3
4
5
Perfectly
15
Q

Limitations RCTa

A

High cost and labour intensive
Limited generalisability as strict study criteria
Bias - if not double blinded
Hard to assess long term effects
Difficult to assess rare harms

How well did you know this?
1
Not at all
2
3
4
5
Perfectly
16
Q

Define power

A

The ability of a study to detect a difference between two groups

How well did you know this?
1
Not at all
2
3
4
5
Perfectly
17
Q

What are Measures of association between studies

A

Odds ratio
Relative risk reduction
Absolute risk reduction
Number needed to treat
Number needed to harm

How well did you know this?
1
Not at all
2
3
4
5
Perfectly
18
Q

suitable for clot retrieval

A

NIHSS over 6
good QOL
small clot, large penumbra
proximal

How well did you know this?
1
Not at all
2
3
4
5
Perfectly
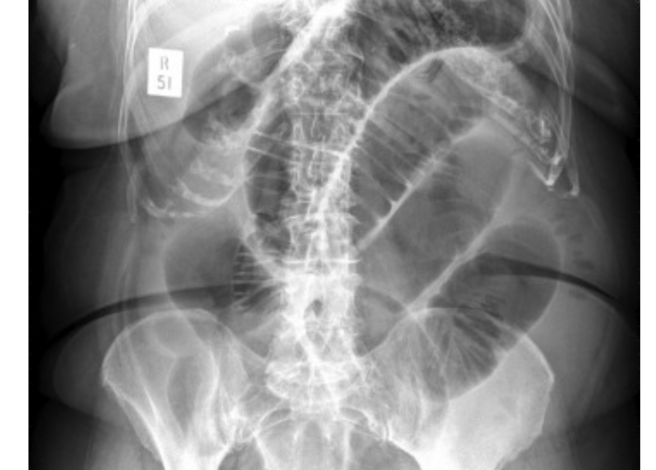
19
Q
A

SBO

How well did you know this?
1
Not at all
2
3
4
5
Perfectly
20
Q

further investigations for bowel obstruction

A
How well did you know this?
1
Not at all
2
3
4
5
Perfectly
21
Q

NB AAA in abdo

A

renal involvement in the answers
contrast - pre or post for management
morbirty more pre renal - clamping

How well did you know this?
1
Not at all
2
3
4
5
Perfectly
22
Q

water infections

A

vibrio

How well did you know this?
1
Not at all
2
3
4
5
Perfectly
23
Q

medical causes of priapism

A
How well did you know this?
1
Not at all
2
3
4
5
Perfectly
24
Q

low flow v high flow priapism

A
How well did you know this?
1
Not at all
2
3
4
5
Perfectly
25
contraindications TXA in trauma
allergy over 3 hours procoagulant
26
mag dose eclampsia
4g then 5mmol/hr
27
investigtions in hepatic encephalopathy
28
drugs NMS
droperidol metoclorpamde haloperidol clozapine
29
issues with simultanous ET and ICC
tension - skilled operator, rapid decmoresison seve hypoxia - bag throgh apneia, hypotension - ionotropes
30
steps in ICC
31
negative outcomes of ramping
32
clinical features PD peritonitis
33
managing aortic stenosis for procedural sedation
34
strenghts and weakness retrospective
34
types of control groups
placebo - no treatment active - alternative treatment dose comparison - different doses historical - compare with group who revieced care prii
35
Definition. Key stat
36
rush protocol
look for causes of shock
37
key question in haemophilia hx
* do they have home management plan - already administered factor replacement * prophylxis * severity * weight - for dosing * central access
38
things damaged in tibial plaetur fracture treatment
MCL menisci hinged knee brace
39
needlestick questions
plus mental health meds
40
bifascicular block treatment
1s degree LBBB Atropine pacemaker
41
different drugs for bradycardia and why
42
treatment of hyperthermic seizing patient
43
reasons to go to CT with positive fast
proxomity of scanner theatre prepaeness ability ro resus at scanner respone to fluds is fast scan stable? other injuries
44
complications intercostal chest drain
45
REMEMBER Q WAVES old inferior, new anterior
46
laryngosasm point
larsons point
47
48
define odds ratio
the ratio of the probability of an event occruing and the probability of it never occuring
49
define relative risk
risk of an event in expermintal group divded by risk in control group
50
risk factors renal stones
FH hypecalciuria - hyperpara/immobile hyperuricosuria - gout excess diet sodium low volume urine
51
what is the initial management of a preggo collapse in PEA
52
PID tx
CAM
53
renal laceration
54
cyanotic v acyanotic
cyanotic are the Ts
55
treatnebt cyanotic heart diseaae
56
signs of base of skull fracture
rcoon eyes battles sign CSF leak haempttympanum
57
joint pain differnetials
58
manging amputation site
elevate irrigate damp gauce control haemorrhage eg pressure or torniquet
59
complications traumatic amputation
rhabdo compartmetb syndrome coagulopathy ft embolism infection
60
conjugated v unconjugated bilirubin
61
drug causes haemolytic anaemia
dapsone, lidocaine, NSAIDS, peniciilin, paracatacol, levodpa
62
untreated paraphimosos
glands necrosis
63
causes of heart failure in pregnancy
peripartum cardiolyptahty pre eclampsia massive PE sepsis pitatry apoplexy MI tocyolytic pulmoanry oedema
64
diagnosing peripartum cardiomyopathy
1 month before and 5 after no other cause
65
adjustments for ALS in pregnancy
CPR in left lateral manual uterine displacment to relieve aortocaval compression hands higher on sternum IV access above diaphragm early intubation
66
GHB physcial signs
fluctiation conscioussness bradycardia misosis myoclonus salivation
67
causes PEA and US
tampomade - effison PE - mcconels tension - lung clsing ectopic - free fluid hypovolamiea sepsis trauma
68
disaster triage categories
69
non drug causes acute psychosis
epilesy stroke neurosyphills viral encephalitis hypo or hyperthydid wilsons b12 deficiency
70
criteria to hold under MHA
* mentail ilness * beuse of this needs treatment to prevent hrm to them or thenelvs * they will get treatment under act * no less restrictive
71
HOCM murmur
high pitch cres-decres mid systlic increase valsalva loudes left sternal
72
what is electrical storm
three or more episodes VT of VF n 24 hours
73
structual causes electrical storm
MI non ischaemic cardiomyopathy sarcoid amyloud ARVD chagas
74
reversible causes elctrical storm
hypoK hypoMag throtoxicosis fever alcohol binge MI heart failure exaceration QT prolongation
75
drug treatment for electrical storm
amioderone lidocaine sedation to decrease sympathetic drie
76
complicatioons sympathometic
hyperthemia - rhabdo, DIC, ARDS, seizure Dissection, MI Aspirtion neumonia colonic or mesentric ischamia CVA.deliriu
77
risk factors ecercise induced hyponaetermia
over 4 hours female low BMI NSAID use extreme temps inexperenced high fluid intake
78
preggo d dimer VQ CTPA doppler advang and disad
79
tox causes methemeglobulinaaemia
recretional amy nitrate nitires dapson chloroquinine prilocaine
80
steps in transcutaneous pacing
81
steps in ascitic tap
82
meta analysis
quantititave, formal epidemooigcla study deison to look at data from a number of studies on the same subject to look at trends and risk factors
83
research methedologies
case report case series experimental observational meta anaysos
84
ACAG, anterior uveitis, conjuct acuirt pupils conjunc a.chamber pressure
85
Absolute v relative risk
Absolute risk is the raw probability of an event occurring within a specific group, while relative risk compares the risk between two groups by showing how much more or less likely the event is for one group compared to the other
86
Systemic review v meta analysis
A systematic review uses a structured method to find, appraise, and synthesize all relevant research on a topic, while a meta-analysis is a statistical technique that can be used within a systematic review to quantitatively combine the results from multiple studies to produce a single, more precise estimate. Therefore, all meta-analyses are based on a systematic review, but not all systematic reviews include a meta-analysis
87
sequelae MI
heart block ventricular arryhtmias left free wall ruture LV aneurysm dresslers mitra valve regurg from cord tenon rupture
88
risk factors ectopic
IUD over 35 tubal surgery endometriosis assisted fertility PID
89
US findings ectopic
empty uterus free fluid in pelvis complex adnexal mass hyperechogenorix tubal ring
90
causes large joint effusion
91
reason to CT with suspected pyelo
single kidney immunocompromised declining renal function septic history of calculi failed outpatient management
92
types of bias that can affect study results
* recall bias - bias on self reporting * observier bias - researchers see effect they want * performance bias - unequal treatment to each group * interviewe bias - way questions are asked distots answers * selection bias * publication bias - only positive rsults get publised * response bias - give inaccurte info * research bias * regression to mean - over time characteristic regresses to pupulation mean
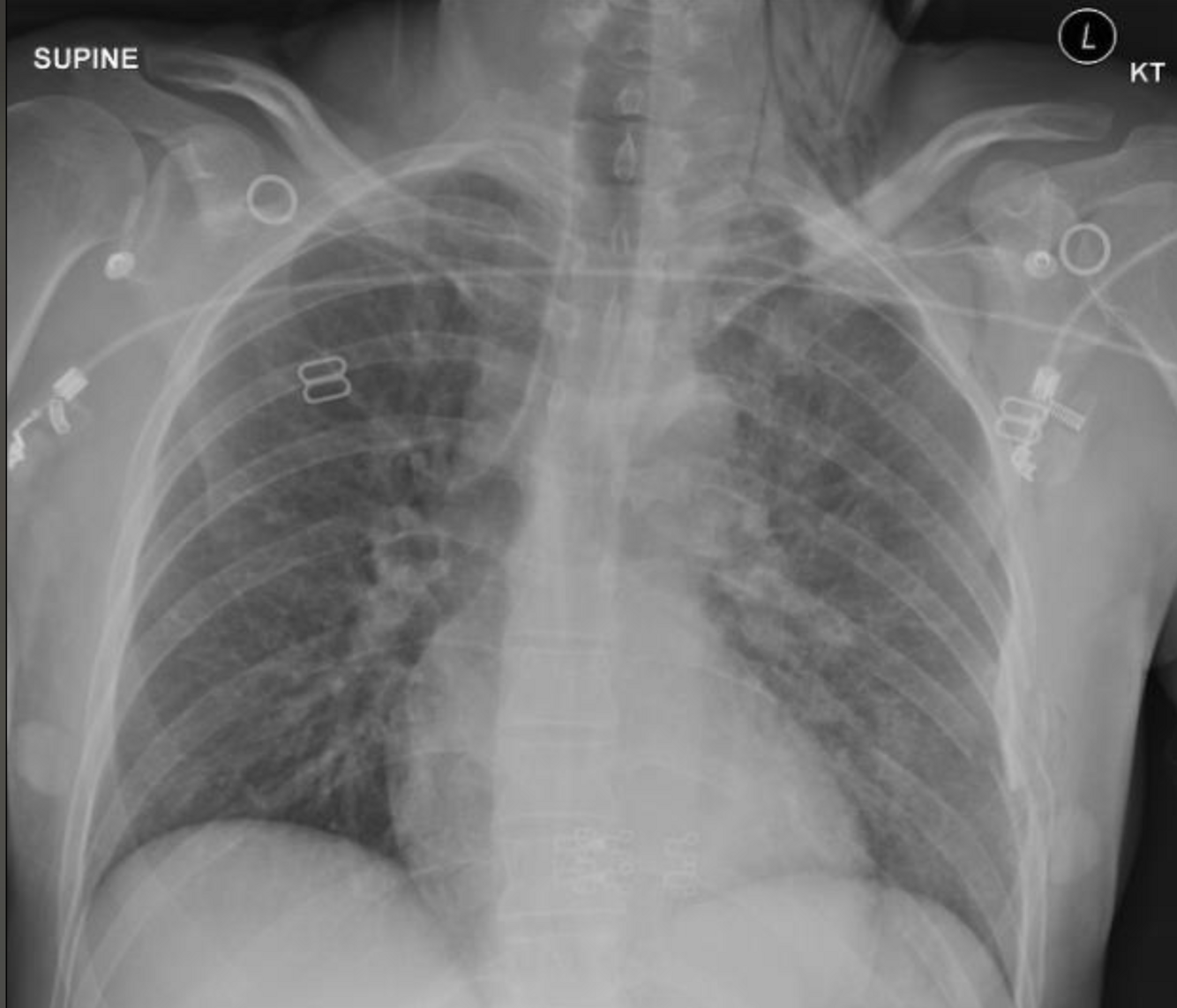
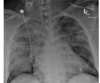
93
bilateral pneumothoracis right heamothroax deep sulcus sign right
94
pyleo causes
proteus klebsiella e.coli group b strep
95
incubation dengue p.falciparum
3-14 days 6-30
96
signs of raised ICP
cushings reduced GCS seizure blown pupil agitation
97
risk factors mesenteric arterial occlusion
AF hypetension vasculitides left sided valvular disease CCF
98
causes macrocytic anaemia
hypothyroid b12/folate deficiency liver disase alcohol abuse chemo heamolysis eg IVDU
99
causes peripheral vertigo
100
101
prolonged QT
102
treatment witnessed tdP
30:2 mag stacked shocks
103
complications progressive otitis externa
nectorizing otitis external mastoiditis meningitis CN palsy cerebral abscess
104
fracture managment
calcaneal fracture below knee back slab, padded heel, non WB
105
fall from height fracturs
lumbar spine cervical spine pelvic fratures tibial pleatau calcaneal
106
post hanging - what is this and why
neurogenic pulmonary oedema widespread right pathcy opacification left upper patch b lines
107
key points in family discussion with sick patient
what they know whats happened prognosis social support background on patient what happnes next
108
normal/ARDS/COPD vent settings
109
indications for intubating in seizing chilld
prolonged hypoxia bleeding from oral trauma and aspiration hypercapnoiea vomiting raised ICP
110
extra treatments for seizing child
keppra/pheny/pheno abx - infective dextrose - hypo dex - lesion
111
sequelea siezues
hypoxic brain injury ICH rhabdo injuries - dislocations/fracrures oral trauma neurogenic pulmonary odema
112
what to remember with stem like this
alcoholic ketoacidosos
113
what is this
haemopericardium
114
component of abstract
title participants interventions randomizaton outcomes results funding
115
thyroid storm treament
116
extra invesitgations large haemothorax
117
massive harmothorax
over 1500ml or 200ml + for four hours
118
inferior needing urgent perusion third degree junctional escape
119
infectious causes erythema multiforme non infections
mycoplame herpes simplex covid flu ebv leukemia/lymphoma IBD Vaccinations drugs - glizclazie, penicllins, oral hypoglycaemia
120
extra renal manifestations of PCKD
berry aneyrusms cyts other organs eg liver pancreas abdominal wall hernias MV prolapse AR dilatation
121
PCKD and flank pain causes
122
exam findings hypothermia
reduced GCS no shivering bradypnoea bradycardia dminished reflexes pulmonary pedema fixed dilated pupils
123
124
injuries associated with chance
pancreatic contusion duodenal lacerarion aortic injury mesenteric injury
125
126
flutter regular flutter waves
127
things to consider when writing roster
shifts to be filled leve requests number full time trainess sick allocations exam/training requriemntes contractual requirements eg days off fair distribution
128
epidemiological differences DKA and HHS
HHS: higher mortality more common type 2 older patients
129
biochemical differences HHS and DKA
marked hyperglycames in HHS, DKA varialve Acidosis less HHS ketosis less HHS osmolality higher HHS renal impairment more hhs
130
common precipirantes for DKA/HHS
infection/sepsis new diagnosis non compliance wrong meds
131
when is APGAR scoring done
1 and 5
132
time critical nasal FB
button battery
133
chronic nasal FB presentation
unilateral discharge foul smelling snoring
134
definition massive haemoptysis
150ml in 24 hours
135
risk factors still birth
hypetension diabetes BMI over 25 illict drug use IUGR previous still birth abdo traua domestic violence placental abuption placental previea post dates - over 41 weeks
136
examination findings pregnancy abdomen to assess feta wellbeing
height for dates HR via doppler movement uterine tone peritonism PV bleeding PV fluid loss
137
normal as not in labour
138
how to perform root cause analysis
identify incident select people to investiate gather data determine chonology identify problems recommensations and action plan
139
CT v MRI
140
kochers for septic arhtiries
141
treatment for carcinoid bowel cancer type
ocretotide small bowel neuroendocrine
142
risk factors compartment
more muscly less flexible high energy injury coagulapahty anabolic steroids
143
indicaitons urgent fasciotomy comparment
vascualr compromose neuro dysginction pressure over 30mmhg rhabdo
144
complications compartment
gangrene - amoutatuin ischaemic contracture and loss of funcion rabdo and renal failure
145
features lateral medullary
146
147
arrythmias in dig overdose digifab dose
atrial flutter with slow ventriculr rate slow AF bidirectional VT/polymorhpic reverse tick sign any AV block 5-10 vials