Ortho Flashcards

(78 cards)

1
Q

name the contraindications to biers block

A

allergy to anaesthetic
BP <200
cuff wont fit eg obese
methaglobulinaemia
uncooperative patient
raynaud/PVD/lymphoedema

How well did you know this?
1
Not at all
2
3
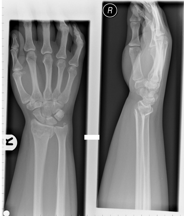
4
5
Perfectly
2
Q

describe fracture

A

Extraarticular distal radius #
25% posterior displacement
45o dorsal angulation
Minimally displaced ulna styloid

How well did you know this?
1
Not at all
2
3
4
5
Perfectly
3
Q

What is a normal retropharyngeal space

A
How well did you know this?
1
Not at all
2
3
4
5
Perfectly
4
Q

describe abnormality

A

comminuted fracture Rt femur
Intertrochanteric fracture
Spiral fracture of proximal femoral shaft with shortening and displacement
(one mark for description – displacement/angulation

How well did you know this?
1
Not at all
2
3
4
5
Perfectly
5
Q

what are the indications for ankle X ray as per OTTAWA guidelines

A
  1. inability to weight bear and immediately and in WR for 4 steps
  2. bone tenderness along distal 6cm of posterior edge of tibia or tip of medial malleolus
  3. OR bone tenderness along distal 6cm of posterior edge of fibula or tip of lateral malleolus
    Bony tenderness at base of 5th,, navicular
How well did you know this?
1
Not at all
2
3
4
5
Perfectly
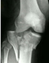
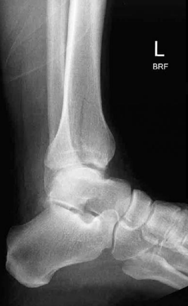
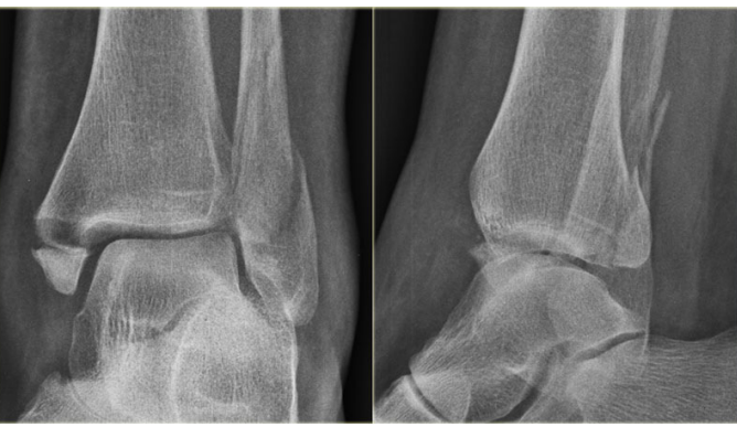
6
Q

abnormality

A

minimally displaced fracture distal tibia with intra articular involvement

How well did you know this?
1
Not at all
2
3
4
5
Perfectly
7
Q

what injuries are associated with fall from height?

A
  1. calcaneous fracture
  2. vertical shear pelvic fracture
  3. T spine fracture
  4. retroperitoneal injuries
  5. intracranial injuries
How well did you know this?
1
Not at all
2
3
4
5
Perfectly
8
Q

list abnormalities
diagnosis
management?

A
  • medial mallolar fracture
  • posterior tibial fracture
  • fibula fracture
  • lateral talar displacement
    *
    unstable tri malleolar fracture*

management
* analgesia - state
* sedation
* below knee backslaab
* elevation
* ortho admit for ORIF

How well did you know this?
1
Not at all
2
3
4
5
Perfectly
9
Q

what are the red flags for back pain?

A
  • under 20 and over 55
  • constant progressive and not relieved by rest
  • IVDU
  • fevers
  • weight loss
  • underlying malignancy
  • immunosupression
  • recent spinal surgery
How well did you know this?
1
Not at all
2
3
4
5
Perfectly
10
Q

yellow flags for back pain recovery

A
  • inappropriate attitude of belief about back pain eg activity is harmful
  • recurring back pain
  • workers comp related
  • poor social support
  • poor coping skills
  • stress related illness
How well did you know this?
1
Not at all
2
3
4
5
Perfectly
11
Q

sources of spinal epidural abscess

A
  • skin or soft tissue
  • IVDU
  • pneumonia
  • UTI
  • bacterial endocarditis
  • iatrogenic eg LP
  • spinal stimulator
  • penetrating injury
    *
How well did you know this?
1
Not at all
2
3
4
5
Perfectly
12
Q

with localised central back pain what are key components of exam and why?

A
  • assess for spinal cord compression - motor and sensory
  • cauda equina eg no anal tone
  • systemic - fever, chills
How well did you know this?
1
Not at all
2
3
4
5
Perfectly
13
Q

what tests may you do in epidural abscess and why

what is the treatment?

A
  • CRP - more sensitive that WCC in early disease
  • blood cultures - identify organism and guide treatment
  • MRI - confirms diagnosis and extent

Treatment:
fluclox 2g QDS plus ceftriaxone 2g IV

OR vancomycin 25mg/kg
gent 5mg/kg

How well did you know this?
1
Not at all
2
3
4
5
Perfectly
14
Q

what organisms are likely causing epiural abscess

A
  • s.aureus
  • s.pyogenes
  • group b strep
  • h. influenzae
  • e.coli
  • klebsiella
  • pseudomonas
How well did you know this?
1
Not at all
2
3
4
5
Perfectly
15
Q

list 5 ways of c spine immobilisation

A
  • hard collar
  • soft collar
  • foam blocks
  • head tape
  • towels
  • vacuum matress
How well did you know this?
1
Not at all
2
3
4
5
Perfectly
16
Q

what are the complications of C-spine immobilisation

A
  • raised ICP
  • reduced access to neck
  • pain from needing to pass urine
  • pressure sores
  • aspiration risk
  • impaired ventolation
  • potential worsening of spinal cord injury
  • increased staffing eg log roll
  • distracts from other injuries
  • poor access in resus
How well did you know this?
1
Not at all
2
3
4
5
Perfectly
17
Q

two significant findings

what are the management priorities?

A
  • grossly deformed swollen left wrist consistent with distal radial +/- ulna fracture
  • dorsal angulation distal radius
  • skin breech and bleeding

**Management **

  1. analgesia
  2. assess for nerve damage
  3. ‘urgent reducion
  4. iv abx
  5. tetanus
  6. POP and post reducion imaging
  7. ortho referral
How well did you know this?
1
Not at all
2
3
4
5
Perfectly
18
Q

what are the early and late complications of distal radial fracture - displaced

A

early
* median nerve injury
* compartment syndrome

Late
* non union
* malunion
* chronic pain
* infection
* arthritis

How well did you know this?
1
Not at all
2
3
4
5
Perfectly
19
Q

examination findings of cauda equina

investigation and treatment?

A

urinary retention
saddle anaesthesia
no anal tone
incontinence
leg weakness
hyporeflexia lower limbs

MRI and surgical decompression

How well did you know this?
1
Not at all
2
3
4
5
Perfectly
20
Q

what are the two most common causes of cauda equina?
Others

A

most common:
large disc prolapse
malignancy

spinal infection
spinal stenosis
spinal trauma
epidural haematoma

How well did you know this?
1
Not at all
2
3
4
5
Perfectly
21
Q

differentials and examination findings for limping child

A
  1. fracture - eg toddler fracture and tender tibia - hx of fall
  2. NAI - multiple bruises of different ages
  3. septic hip - fever, reduced ROM hip
  4. FB foot - visualised
  5. transient synovitis - viral illness
    Perthes
    SUFE
    Juvenile arthritis
How well did you know this?
1
Not at all
2
3
4
5
Perfectly
22
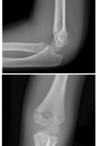
Q

abnormalities

A
  • spiral fracture midshaft ulna
  • ulna fracture is displaced and angulated
  • dislcation proximal radius
How well did you know this?
1
Not at all
2
3
4
5
Perfectly
23
Q

Monteggia and Galazzi

A
How well did you know this?
1
Not at all
2
3
4
5
Perfectly
24
Q

complications and clinical features of monteggia

A
  1. radial nerve injury - wrist drop and parasthesia
  2. compartment syndrome - refractory pain, distal parasthesia
  3. compound - open and bone on view
How well did you know this?
1
Not at all
2
3
4
5
Perfectly
25
describe injury
comminuted, displaced, mid shaft clavicle fracture
26
complications of clavicle fracture
* non union * malunion * vascular injury * infection * skin tenting
27
complications of posterior sternoclavicular dislocation
* subclavian vessel injury * pneumothorax * mediastinal compression * oesophageal injury * brachial plexus injury
28
3 absolute and relative indications for surgical fixation of midshaft clavicle fracture
**Absolute** * open fracture * skin tenting/compromise * subclavian vein/artery compromise * floating shoulder * neurological damage **Relative** * cosmesis * poly trauma * athlete * shortening/comminuted
29
complications of ORIF
* anaesthetic complications * complications of skin incision - scar, infection * malunion * non union * joint infection * chronic pain * neurovascular injury
30
sensory and motor disturbance of common perineal nerve injury what is the common site of injury
**Sensory** * dorsum foot * lateral leg below knee **Motor** * eversion foot * dorsiflexion big toe and foot (get foot drop) injury - fibular head
31
causes of common perineal nerve injury
* high ankle sprain * compression from cast * high knee boots * fibula fracture * habitual leg crossing * knee arthroplasty * MS * diabetes * alcohol
32
what are the features of compartment syndrome
* increasing/refractory pain * loss of pulses * pale limb * parasthesia distal * tense muscle compartments
33
treatment for compartment syndrome
* elevation * remove external compression * analgesia * ortho review for fasciotomy urgently
34
describe x ray in 9 year old what are the immediate management priorities? complications
* elbow dislocation posterior and laterally * small bony fragment on epiphysis - relevant as medial and 9 years old **management** analgesia ?neurovascular compromise any other injuries or NAI **Complications** neurovascular compromise difficult reduction in bone fragment in the way malunion,non union, chronic pain poor function
35
what does the ulna nerve serve in the hand?
flexor carpi ulnaris medial two lumbricals interrosei half FDP
36
what does the median nerve serve in the hand?
half LOAF lateral two lumbricals opponens pollicis abductor pollicis brevis flexor pollicis brevis
37
what are the elbow ossification centres
38
important findings
closed supracondylar fracture fat pad sign, soft tissue swelling
39
what nerves are damaged with supracondylar fractures?
median and ulna
40
7 year old girl with pain. key features?
anterior and posterior fat pads visible cortical disruption of posterior humeral surface at level of olecranon fossa non displaced supracondylar fracture
41
indications for surgical fixation of supracondylar fracture
1. nerve compromise 2. sign of brachial artery damage 3. skin compromise 4. compartment syndome 5. varus/valgus deformity 6. rotational deformity 7. displacement with over 50% loss of articular contact
42
management of supracondylar fracture
1. analgesia - give drugs 2. sling 3. ortho FU
43
44
abnormalities
right posterior elbow dislocation displace fracture radial head
45
what are the classificairons of supracondylar fractures and their significance
**Gartland Classification** 1 - sling 2 - plaster and reduction - immobilization at 90 degress 3 - ORIF
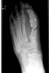
46
abnormalities
Lisfranc widening of space between first and second metatarsal indicating ligamentous injury laterally dislocated base of second transverse first metatarsal
47
what are the complications of a lisfranc
compartment sydrome dorsalis pedis damage - vascular injury Long term pain and loss of function
48
what is the management of a lisfranc
1. analgesia 2. elevation 3. short leg plaster 4. ortho review
49
abnormalities
**1. galaezzi fracture** 2. radial fracture - transverse, displaced medially and dorsally, shortened, volar angulation 3. distal radial ulna dislocation
50
managment for galaezzi fracture
1. analgesia eg 2.5mg iv moprhine 2. reduction 2. above elbow backslab 3. elevation 4. ortho for orif
51
what are the risk factors for gout?
renal failure chemo agents FH loop diuretics high purine food alcohol hyperuracemia
52
treatment options for acute gout
ibuprofen 400mg TDS pred 50mg TDS colchicine 500mcg daily
53
diagnosis list imaging and the complication it would search for
right posterior hip dislocation Imaging; CT - acetabular fracture, femoral head fracture MRI - sciatic nerve injury, labral tear
54
what are the four steps in hip reduction
1. sedate 2. stabilise pelvis 3. hip flexed and adducted 4. provide traction | 1.
55
what is the treatmnt for septic joint
washout in theatre abx after
56
differential categories and example for hot swollen knee
1. septic - gonococchal 2. crystal - gout 3. trauma - fracture 4. degenerative - OA 5. reactive - IBD/SLE 6. inflammatory - SLE
57
five investigations for painful swollen knee and one pro and con for each
58
describe abnormalities
* Tibial plateau fracture * Comminuted * Both lateral and medial condyles involved * Lateral displacement of knee * Head of fibula comminuted fracture
59
lift associated injuries and examinatiom findings for tibial plateau fractures
60
abnormalities
comminuted fracture of patella haemarthrosis
61
what are the indications for surgical fixation of patella fracture?
1. open 2. displaced over 2mm 3. cant straight let raise
62
what are the 'frailty fracture'
1. NOF 2. pelvic 3. forearm 4. c-spine 5. thoracolumnar
63
64
abnormalities
* anterior and inferior dislocation of humeral head * hill sachs * greater tubicle displace laterally
65
how do you confirm anterior shoulder dislocation?
clinically - humeral head palpable in deltopectoral groove Radiologically - axillary view - head anterior to glenoid
66
dianosis and why?
posterior dislocation - lightbulb sign
67
how do you relocate posterior shoulder dislocation? how do you stabilise after
depalma
68
complications of shoulder dislocation
hill sachs glenoid axillary nerve damage recurrent dislocations neurovascular damage sunscapularis avulsion
69
abnormalities how does this usually occur? Complications
Inferior shoulder dislocation** LUXATIO ERECTA** Method 1. sudden forceful hyper abduction 2. direct force on fully abducted arm with extended elbow and pronated forearm(catch ball) complications brachial plexus injury rotator cuff injury axillary artery injury glenoid fracture
70
how do you fix luxatio erecta
* anagelsia (dose * Pre/post neurovascular assessment * Informed consent * Reduction under PS and will require pre-sedation risk assessment, * Mention one techniqu ○ -Axial (in-line) traction OR counter traction ○ -Two step manouvre - Convert to Anterior reduction and reduce with Anterior methods
71
what are the radiographic features of supracondylar fracture
anterior sail sign posterior fat pad supracondylar lucency suggestive of fracture cortical break on anterior surface of lower humueus on lateral view anterior humeral line that does not bisect capitellum
72
wrist pain - what are the relevant findings? short and long term complications of this injury?
peri lunate dislocation scaphoid fracture short term complications: * median nerve injury * pressure necrosis of skin * compartment syndrome * pain * loss of function Long term complications * avascular necrosis scaphoid * carpal instability * chronic pain * OA
73
9 year old FOOSH describe abnormalitis
salter harris 1 distal radius dorsal angulation dorsal displacement epiphysis
74
abnormalities
terry thomas sign - scapholunate dislocation radial and ulna styloid fracture
75
what is this? what are the complications?
Segond fracture - avulsion of lateral proximal tibia Complications: ACL tear
76
management of amputated part
Clean the part: If contaminated, gently brush or wipe the part and rinse with saline if available. Wrap the part: wrap the amputate d part in sterile gauze soaked in saline. Place in a bag with ice slurry: Put the wrapped part in a clean, air-tight bag 1:3 Transportation: Transport the bag with the patient to the nearest appropriate health facility, notifying them as soon as possible. Handover: Upon arrival, immediately hand the amputated part over to the receiving facility staff. X ray part
77
salter harris fractures
78
Maisonnuve fracture