Trauma Flashcards

(60 cards)

1
Q

blunt force trauma with active intra abdominal bleed

A
How well did you know this?
1
Not at all
2
3
4
5
Perfectly
2
Q

blunt force trauma with intra abdominal bleed
Pros and cons

A
How well did you know this?
1
Not at all
2
3
4
5
Perfectly
3
Q
A
How well did you know this?
1
Not at all
2
3
4
5
Perfectly
4
Q

what are the contraindications for FAST scan in trauma?

A
  • presence of more critical problem eg airway obstruction
  • clear indication for emergency laparotomy eg penetrating trauma with shocked patient
How well did you know this?
1
Not at all
2
3
4
5
Perfectly
5
Q

What are the classical CT findings with a seatbelt sign?

A

perforation with leakage of contrast
mural haematoma/thickening
abdo bowel wall enhancement (ischaemia)
fat stranding

How well did you know this?
1
Not at all
2
3
4
5
Perfectly
6
Q

what are the complications of a traumatic renal injury

A

hypertension
haemorrhagic shock
death
abscess
delayed bleeding

How well did you know this?
1
Not at all
2
3
4
5
Perfectly
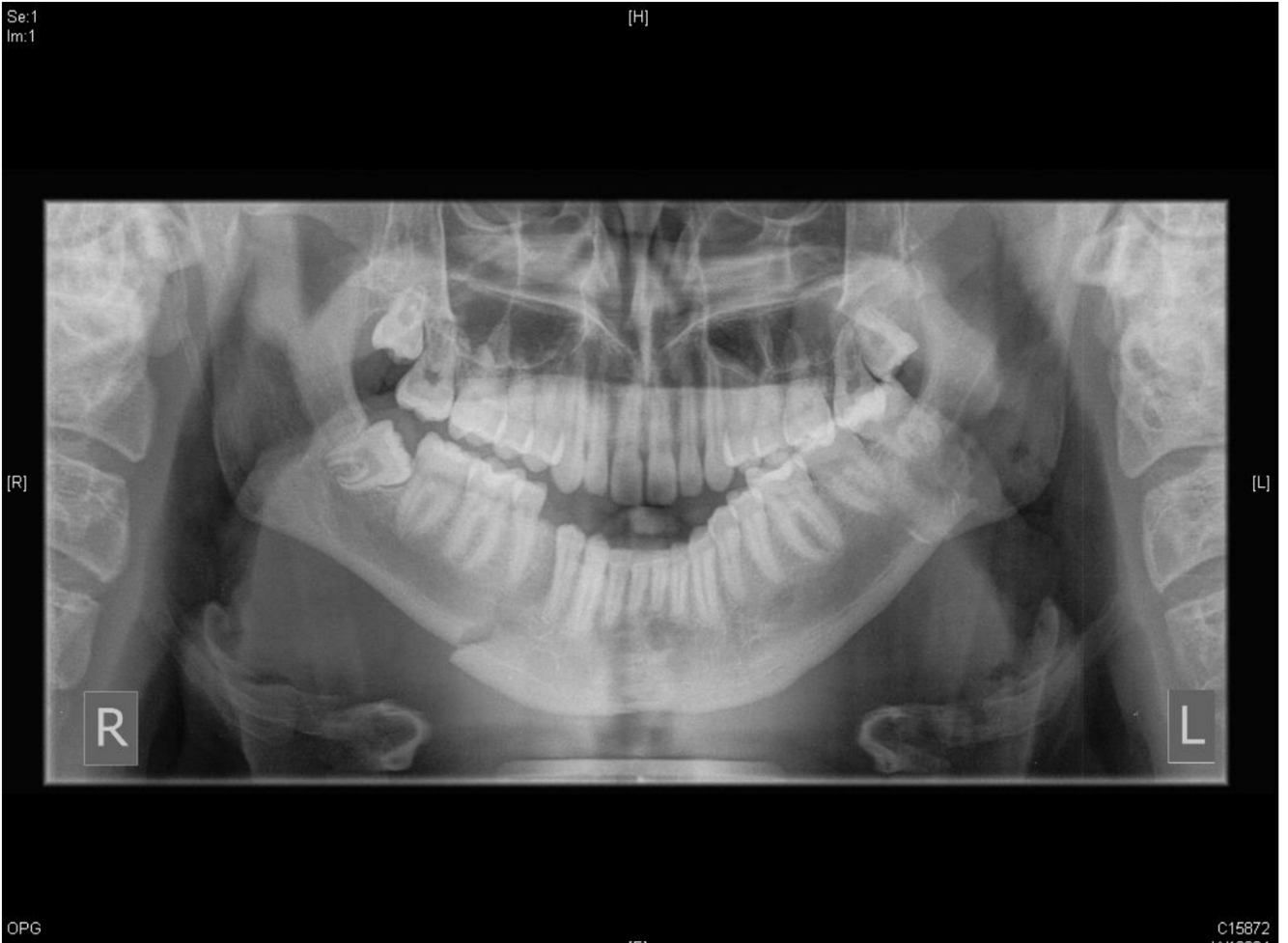
7
Q

abnormalities

A
  1. teeth malocclusion
  2. fracture body of manible
How well did you know this?
1
Not at all
2
3
4
5
Perfectly
8
Q

what needs to be documented with a mandible fracture

A
  1. degree of mouth opening
  2. missing/occlusion of teeth
  3. ?open fracture to mouth
  4. ?haematoma to floor of mouth
  5. brusing/bleeding
  6. other injuries
  7. ?inferior alveolar nerve parasthesia
How well did you know this?
1
Not at all
2
3
4
5
Perfectly
9
Q

how do you manage mandible fracture in ED?

A
  1. ADT
  2. abx eg cefzolin 2g IV OD
  3. analgesia - be specific
  4. NBM and iv fluids
  5. mouth washes - QID hydrogen peroxide
How well did you know this?
1
Not at all
2
3
4
5
Perfectly
10
Q

?facial burn
what clinical signs must you look for?

A
  1. facial or oral burns
  2. singed nasal hair
  3. swollen lips
  4. singed eyebrows or lashes
  5. oedema - facia;
  6. tachypnoea
  7. wheeze
  8. stridor
How well did you know this?
1
Not at all
2
3
4
5
Perfectly
11
Q

what are the five different depths of burns?

A
  • Epidermal
    • Superficial dermal
    • Mid dermal
    • Deep dermal
    • Full thickness
How well did you know this?
1
Not at all
2
3
4
5
Perfectly
12
Q

whar are the criteria for transferring to specialist burns unit?

A
  1. mid to deep dermal burns over 10% TBSA
  2. Full thickness over 5% TBSA
  3. burns to face/feet/hands/genitalia or major joints
  4. chemical burns
  5. electrical burns eg lightning
  6. burns with associated inhalation
  7. burns with significant other trauma
  8. pregnancy with cutaneous burns
  9. any mid - deep over 5% in kids
  10. burns at extremes of age
  11. NAI
  12. significant co-morbidities eg diabetes
How well did you know this?
1
Not at all
2
3
4
5
Perfectly
13
Q

what is the immediate plan for central cord syndrome

A

C spine. MRI. Neurosurg

How well did you know this?
1
Not at all
2
3
4
5
Perfectly
14
Q

what are the common causes of central cord syndrome?

A
  1. Trauma
  2. tumour - hyperextended
  3. Spondylosis
How well did you know this?
1
Not at all
2
3
4
5
Perfectly
15
Q

what are the indications for thoracotomy in ED?

A

Thorocotomy

  1. penetrating chest trauma within 10 mins arrest
  2. severe shoick with signs of tamponade
  3. blunt thoracic trauma within 5 minutes arrest
How well did you know this?
1
Not at all
2
3
4
5
Perfectly
16
Q
A
How well did you know this?
1
Not at all
2
3
4
5
Perfectly
17
Q

how do you improve oxygenation in trauma and bilateral significant pneumothoraces?

A

bilateral thoracotomy
increase fio2
increase peep

How well did you know this?
1
Not at all
2
3
4
5
Perfectly
18
Q

management prioritoes

A
How well did you know this?
1
Not at all
2
3
4
5
Perfectly
19
Q

how could you anaethetise teeth?

A
  • infra orbital or mental nerve block
  • local infiltration - supraperiostial infiltration with 2ml lidocaine into deepest part of sulcus formed by trauma
How well did you know this?
1
Not at all
2
3
4
5
Perfectly
20
Q

delay to dentist - describe ED management

A
  • Ideally need OPG to assess fracture of alveolar bone
  • Local anaesthetic analgesia
  • Reinsert tooth into normal position
  • Splint to adjacent teeth with Glass Ionomer Cement (GIC). If no GIC available need
    alternate splint – e.g. “blue tac” and a mouth guard
  • Cover exposed fracture surface (dentine) with GIC
  • If no GIC available needs relatively urgent (< 24h) f/u with dentist
  • Will need splinting for 2-4 weeks
  • adt
  • abx
How well did you know this?
1
Not at all
2
3
4
5
Perfectly
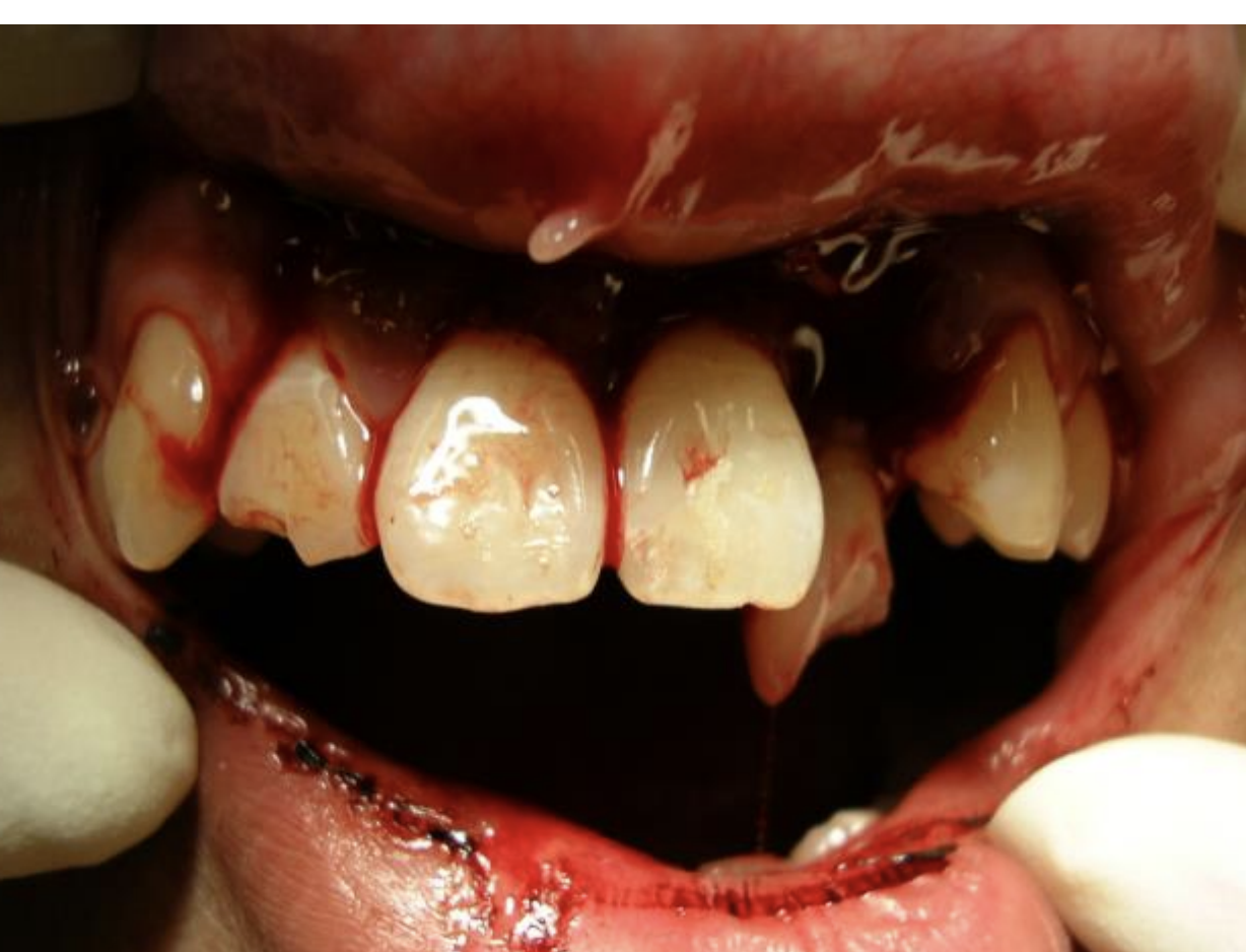
21
Q

what are the adverse events associated with severe dental injury

A
  • dental abscess
  • pulp necrosis
  • root resorption
  • need for root canal
  • tooth colour change
How well did you know this?
1
Not at all
2
3
4
5
Perfectly
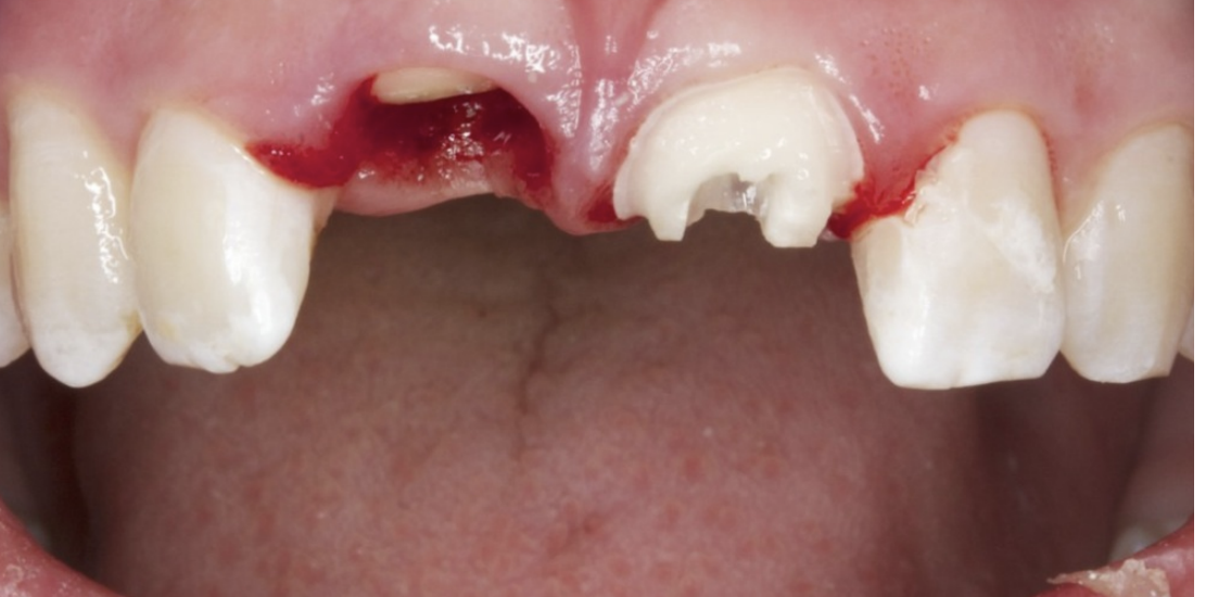
22
Q

abnormalities

A
  • right maxillary intrusion and luxation
  • left maxillary horizontal fracture involving pulp
How well did you know this?
1
Not at all
2
3
4
5
Perfectly
23
Q
A
How well did you know this?
1
Not at all
2
3
4
5
Perfectly
24
Q

fall with trauma and bleeding with hypotension.
four causes and ways to confirm the cause hypotension in resus room

A
  1. haemothorax - CXR
  2. tension pneumothorax - clinical exam
  3. tamponade - efast
  4. intraperitoneal haemorrhage - efast
  5. long bone fracture - x ray
  6. pelvic fracture. x ray
How well did you know this?
1
Not at all
2
3
4
5
Perfectly
25
what are the common components of a massive haemorrhage pack
* PRBC * FFP * Platelets * cryoprecipitate * TXA * calcium gluconate
26
trauma with hypotension but normal scans. what is the other cause?
neurogenic shock supine hypotension in pregnancy
27
what are the early complications of head injury and their signs
28
what are the high risk features on canadian head CT tool
VAGABOND Vomiting more than twice Amenesia - retrograde over 30 mins GCS less then 15 two hours post Age over 65 Base skull fracture Open or suspected depressed skull fracture Negative neuro signs eg weakness, numbness Dangerous mechanism eg struck by vehicle
29
how do you minimise chance of coagulopathy post trauma
1. normothermia 2. correct any acidosis 3. 1:1:1 blood resus 4. Rotem to target 5. calcium
30
Neurogenic v spinal shock definitions
31
what are the management priorties for neurogenic shock
32
33
describe injury
Penetrating injury with ?knitting needle to right lower anterior chest (?9th-11th interspace), line of nipple – knitting needle in situ, appears to be at right angle to chest wall, with foreign material at entry point Unable to assess depth Child appears comfortable, not distressed, co-operative and well perfused Chest appears equally expanded right vs left (IV access in right cubital fossa)
34
complications of this injury
pneumothorax tension pneumothorax haemothorax hepatic injury vascular injury bowel injury infection
35
how do you conduct wound irrigation
* local with lidocaine * wash with normal saline with pressure * 100-300ml
36
what is delayed primary closure? what wounds are candidates for delayed primary closure? How do you do delayed primary closure
left open and surgically closed a few days later - allows for drainage and monitor for infection bite wounds heavily contaminated late presentation Process: irrigated and debrided packed with saline gauze and dressed return in 4/5 days and close if not infected
37
when do you give abx prophylaxis in wounds?
bites heavily containated seawater deeper structures delated presentation penetrating wounds
38
Detail the main differences between research evidence behind the PECARN, CHALICE and CATCH clinical decision rules.
* C and C are rule in, pecarn rule out * Pecarn has highest sensitivity and prospectively validated
39
key things to explain in parent demanding CT head
* Not required as per best evidence * CTB performed to diagnose injury that requires neurosurgical intervention * Concussion managed conservatively * Risk of radiation: lifetime cancer mortality risk from a single head CT 1 year background radiation * Risk related to sedation if required
40
pregnancy and MVA what ar the pregancy specific trauma conditions you want to excluce
1. fetal distress 2. placental abruption 3. amniotic fluid embolism 4. uterine rupture 5. laceration of placenta 6. premature labour 7. premature rupture of membranes 8. fetomaternal haemorrhage 9. direct fetal injury
41
what x ray featurs suggest inferior orbital wall fracture
air fluid level in maxillary sinus orbital emphysema teardrop sign - herniation of fat inferiorly
42
with trauma, what are the causes of optic neuropathy
1. compressive optic neuropathy eg haemorrhage, foreign body 2. optic nerve sheath haematoma 3. optic nerve head avulsion 4. optic nerve laceration
43
patient is GCS 15 wth no motor function below C5. wht are the managmenet priorities
* Manage ventilatory failure - Control of airway with intubation using MILS as ventilatory failure likely given * BP management - high risk of hypotension from neurogenic shock * Maintain spinal immobilisation * Assess and manage concurrent injuries (eg chest, abdo, pelvis, limb fractures) * Temperature control * Refer to spinal team for definitive management once other injuries excluded
44
what are the potential complications of resuscitave thoracotomy
* Coronary artery injury/ligation * Phrenic Nerve laceration * Diaphragmatic injury * Chest wall vascular injury (intercostals, internal mammary) * Infection * Health care worker body fluid exposure
45
what is the triad of death in trauma
coagulopathy hypothermia acidosis
46
47
MVA initial priorities
primary and seconday survery analgesia pressure dressing to miminise haeatoma imaging for bony and vascular injury
48
what are the potential consequences of rapid release of prolonged crush injury? How could you mitigate this
1. washout of 'bad blood' - cold, acidotic and K ridden 2. arrhythmias Mitigate: IV access and saline pre load IV bicarb IV calcium
49
how do you measure compatment pressures? What figure suggests CS?
* Stryker needle and insert into muscle of concern post prepping skin * Clinical suspicion trumps measurement Over 35mmHg
50
what is the Nexus criteria to clinically rule out c spine fracgure
* No midline tenderness * No neurological abnormalities * No distracting injury * Not intoxicated * No altered consciousness
51
abnormalities
* Soft tissue swelling in front of C6/7 * Antero-superior corner fracture C7 * Disruption of posterior spinal line * Widening between spinous processes C6 – C7
52
what are the C-spine lines
53
Myotomes
54
classify pelvic injury what is the classification system
antero posterior classification system Young-Burgess
55
list complications, assessment findings and management of associared pelvic fractures
56
classify injury and why
**vertical shear:** * Superior and inferior pubi rami fracture * fracture left iliac wing
57
abnormalities
Pubic diastasis Widened R Sacro-Iliac Joint Widened L Sacro-Iliac Joint
58
what is the treament for open book pelvic fracture
pelvic binder to close pelvic diastasis +/- IR for vascular injury
59
Spinal fractures
60
PE PERC