GI Flashcards

(62 cards)

1
Q

Cancer of the Mouth and Tongue

A

-Squamous cell carcinoma
-50% 5 yr survival
-Tobacco, alcohol
-India, betel nut chewing
-HPV variance

How well did you know this?
1
Not at all
2
3
4
5
Perfectly
2
Q

GERD

A

-Recurrent heartburn
-Idiopathic
-Eos, hyperplasia, papillae
-Bleeding, stricture, Barrett’s

How well did you know this?
1
Not at all
2
3
4
5
Perfectly
3
Q

Esophageal Lacerations

A

-Mallory, weiss tears
-Longitudinal at GE junction
-Alcoholics with retching
-Spontaneous, usually heals

How well did you know this?
1
Not at all
2
3
4
5
Perfectly
4
Q

Esophageal Varices

A

-Cirrhosis, portal HTN
-Portal systemic venous shunting
-Submucosal varies
-Rupture, high mortality, half of cirrhotic deaths

How well did you know this?
1
Not at all
2
3
4
5
Perfectly
5
Q
A

Esophageal Varices

How well did you know this?
1
Not at all
2
3
4
5
Perfectly
6
Q

Barrett Esophagus

A

-Intestinal metaplasia of lower esophagus
-GE reflux
-Dysplasia to neoplasia
-Most do not go to cancer

MELGER DN

How well did you know this?
1
Not at all
2
3
4
5
Perfectly
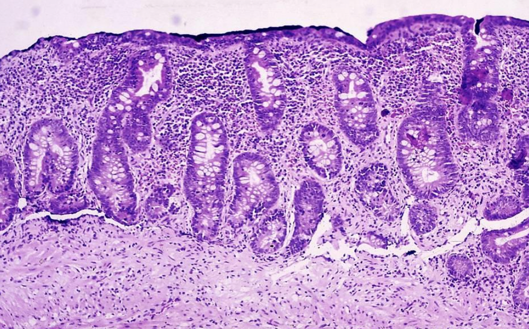
7
Q
A

Barrett’s + Cancer
-metaplasia and esophagus cancer at GE junction

How well did you know this?
1
Not at all
2
3
4
5
Perfectly
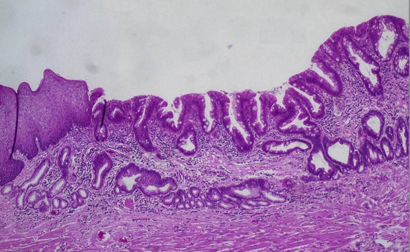
8
Q
A

Barrett’s - Normal squamous mucosa of esophagus (blue) and intestinal metaplasia (yellow)

How well did you know this?
1
Not at all
2
3
4
5
Perfectly
9
Q

Esphagous Cancer

A

Adenocarcinoma
-Five year survival rate, 25%
-Most common in US, 1-2% of ca deaths
-Preceding Barrett
ABU

Squamous cell carcinoma
-Most common worldwide, 20% of deaths, five year rate = 6%
-Dysplasia to neoplasia
-Smoke, drink, diet
SSWDN

How well did you know this?
1
Not at all
2
3
4
5
Perfectly
10
Q

Chronic Gastritis

A
  • Lamina propia lymphs and plasma cells
  • Intestinal metaplasia
  • H pylori, 50% prevalence after 50 yrs
  • Autoimmune ~ 10%, anti-parietal cells abs, intestinal metaplasia
How well did you know this?
1
Not at all
2
3
4
5
Perfectly
11
Q

Peptic Ulcers

A
  • Acidic peptic juices exposure
  • Duodenum and stomach, 4:1
  • Breach through muscularis mucosa
  • H. pylori ~ 80% duodenal, ~70% gastric
  • USA lifetime risk 10%
  • NSAID, aspirin, smoke, alcohol
How well did you know this?
1
Not at all
2
3
4
5
Perfectly
12
Q
A

Ulcer

How well did you know this?
1
Not at all
2
3
4
5
Perfectly
13
Q
A

Ulcer

How well did you know this?
1
Not at all
2
3
4
5
Perfectly
14
Q

Stomach Cancer

A

2nd cause of ca deaths worldwide
-high incidence in Japan and Korea
-2% of US ca deaths
-intestinal and diffuse forms of adenocarcinoma
-H pylori and EBV risk factors
-5% gastric lymphomas, 2nd to EBV

JK HEL

How well did you know this?
1
Not at all
2
3
4
5
Perfectly
15
Q
A

Gastric Adenocarcinomas – intestinal and linitis plastic types

How well did you know this?
1
Not at all
2
3
4
5
Perfectly
16
Q

Pathology of the Intestines: 4 mechanisms of diarrhea

A

Greek “flowing through”

  1. Secretory – isotonic fluid secreted eg. Vibrio cholerae
  2. Osmotic – secondary to intraluminal solutes eg. Lactase deficiency
  3. Exudative – sloughed purulent bloody shit eg. Viruses/Bacteria/IBD
  4. Malabsorptive – unabsorbed nutrients causing increased osmolarity eg. Celiac disease
How well did you know this?
1
Not at all
2
3
4
5
Perfectly
17
Q

Infectious enterocolitis, diarrheal diseases

A

3 mil deaths worldwide
*1.5 diarrheal ep / per / yr
*small intestine or colon

Rotavirus, E coli, S aureus, Salmonella, Shigella, V cholerea

E histolytica, Giardia, Cryptosporidiosis

How well did you know this?
1
Not at all
2
3
4
5
Perfectly
18
Q
A

Pseudomembranous Colitis

How well did you know this?
1
Not at all
2
3
4
5
Perfectly
19
Q

Celiac Disease

A
  • Gluten-sensitive enteropathy
  • Immunologic response to protein gliadin in gluten in wheat, oats, barley, and rye
  • Flattening of mucosal villi in jejunum
  • Consequent malabsorption and diarrhea

GG FAMD

How well did you know this?
1
Not at all
2
3
4
5
Perfectly
20
Q
A

Left: normal

Right: Celiac disease

How well did you know this?
1
Not at all
2
3
4
5
Perfectly
21
Q

Crohn’s Disease

A

– US, UK, Scandinavia, esp. Jewish
– Recurrent diarrhea, +/- bloody
– Ileum +/- colon
– Skip lesions, crypt abscesses, ulcerations, fissures
– Transmural, Granulomatous in 50%, fistulae – 5X increased risk of colon ca

How well did you know this?
1
Not at all
2
3
4
5
Perfectly
22
Q
A

Crohn’s Disease

How well did you know this?
1
Not at all
2
3
4
5
Perfectly
23
Q
A

Celiac Disease with loss of finger-like villi

How well did you know this?
1
Not at all
2
3
4
5
Perfectly
24
Q
A

Crohn’s Disease with full thickness edema and inflammation

How well did you know this?
1
Not at all
2
3
4
5
Perfectly
25
Crohn’s Disease with granulomatous inflammation
26
Ulcerative Colitis
– US and Western countries, whites – Recurrent bloody diarrhea – Starts in rectum, extends proximally continuously – Mucosa and submucosa only, superficial – Crypt abscesses, lymphs in lamina propria – Pseudopolyps – Duration and extent determine increased risk of colon ca, up to 25% at 30 years
27
Ulcerative Colitis
28
Ulcerative Colitis
29
Neutrophils in colonic crypts
30
Crypt Abscesses
31
Ischemic bowel disease
– Transmural infarction * Acute occlusion of mesenteric vessel * Atherosclerosis, thrombosis, embolism * Venous thrombosis, hypercoagulable states * 90% mortality, gangrene – Mucosal or mural infarction * Atherosclerotic stenosis * Multifocal lesions * Cardiac failure, shock * May heal
32
Ischemic Bowel
33
Ischemic Bowel with transmural acute hemorrhagic necrosis
34
Ischemic Colon with patchy multifocal mucosal necrosis (greenish areas)
35
Colonic Diverticulosis
– Prevalence ~50% after age 60 – Low fiber diets, exaggerated peristalsis – Herniations of mucosa and submucosa through sites of penetrating vessels – Sigmoid colon – Asymptomatic or pain, bleeding, and pericolonic abscesses
36
Colonic Diverticulosis, out-pocketed diverticuli circled
37
Colorectal Adenomas
38
Sessile polyp
39
Familial Polyposis
40
Colon Cancer
* Colorectal ca is 2nd cancer killer in US * 5% of Americans get it * 40% with colorectal ca die of it * 134,000 cases/yr, 55,000 deaths * Peak incidence 60-70 years * Stage at dx is a matter of life and death
41
Colorectal Adenocarcinoma
* Common in Western world * 30x less common in India, Africa, S. America * Dietary factors = karmic debt from meat * Ca risk directly related to # of adenomas
42
Molecular Genetic Pathways of Colon Cancer
* Adenoma – carcinoma sequence – 2 hit loss of APC tumor suppressor gene – As in FAP – Beta-catenin not degraded, to nucleus * DNA mismatch repair gene mutations – Hypermutable state – Repetitive DNA sequences called microsatellites – Sessile serrated adenoma, or no precurser
43
Colon Cancer
44
Colon Cancer
45
Alcoholic Liver Disease
* >60% of chronic liver disease in US * 45% of cirrhotic deaths * >10 million American alcoholics * But, <20% develop cirrhosis
46
Non-Alcoholic Fatty Liver Disease (NAFLD)
* Can mimic entire spectrum of Alcoholic Liver Disease * But is less likely to progress to cirrhosis * NAFLD can progress to NASH * Accounts for 10% of “cryptogenic cirrhosis”
47
Alcoholic Liver Disease
* Hepatic Steatosis (fatty liver) * Alcoholic hepatitis 10-35% – Neutrophils – Alcoholic hyalin (Mallory bodies) * Alcoholic cirrhosis 8-20% – Sinusoid fibrosis – Regenerative nodules
48
Fatty Liver, swollen and yellow
49
Fatty Liver, hepatocytes look like adipocytes (fat cells)
50
Cirrhosis with hundred of regenerative nodules
51
Viral Hepatitis
infection of the liver caused by a group of viruses with particular affinity for liver: HAV, HBV, HCV, HDV, and HEV * Cellular swelling / Ballooning degeneration * Apoptosis * Lobular disarray * Lymphocytes, esp portal triads * Chronic persistent or active to cirrhosis
52
Viral hepatitis B, lymphocytes in portal triad
53
Viral hepatitis C, lymphocytes in portal triad
54
Hepatitis A Virus (HAV)
* Benign, self limited “infectious” hepatitis * No chronic hepatitis, no carrier state * Epidemics, oral fecal * RNA virus, T-cell mediated damage
55
Hepatitis B Virus (HBV)
* DNA virus, hepatocyte damage by T- lymphs * Global problem, 400 million * Asia and Western Pacific * Blood, body fluids, vertical, needles, sex * Vaccination prevents
56
Hepatitis C Virus (HCV)
* 3-4 million in US * Transfusions and drug abuse needles * High rate of progression to chronic and cirrhosis * HCV + alcohol very often = cirrhosis * RNA virus, related to yellow fever * Acute phase usually asymptomatic
57
Hepatocellular Carcinoma
* Associated with HBV, HCV, cirrhosis, aflatoxin * In US, 90% with cirrhosis, older pts. * Worldwide, 50% without cirrhosis, 20-40 yrs * Hemochromatosis to cirrhosis to cancer
58
**Cirrhosis and Hepatocellular Cancer**
59
Acute Pancreatitis
-alcohol, gallstones, can be drugs/infection/trauma -epigastric pain, nausea, vomit -autodigestion, activation of pancreatic enzymes, inflammatory mediators
60
Complications of Acute Pancreatitis
Shock ARDS Renal failure Hyperglycemia Hypocalcemia DIC Fat necrosis Anemia Vomit Infection Ascites Pseudocyst
61
Chronic Pancreatitis
ALCOHOL -can be hereditary, fibrosis main sx chronic pain, diabetes, steatorrhea avoid alcohol, narcotics, supplement pancreatic enzymes -changes in ducts
62
Most pancreatic cancer arises from
the pancreatic ducts -4th cancer RF smoking, pancreatitis