Lec 4 Flashcards

(21 cards)

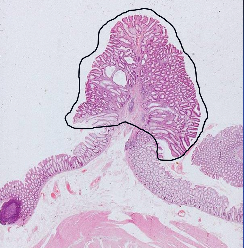
1
Q
A

Benign pedunculated adenomatous polyp and surrounding colonic mucosa

How well did you know this?
1
Not at all
2
3
4
5
Perfectly
2
Q
A

Benign adenomatous polyp with normal surrounding colonic histology

How well did you know this?
1
Not at all
2
3
4
5
Perfectly
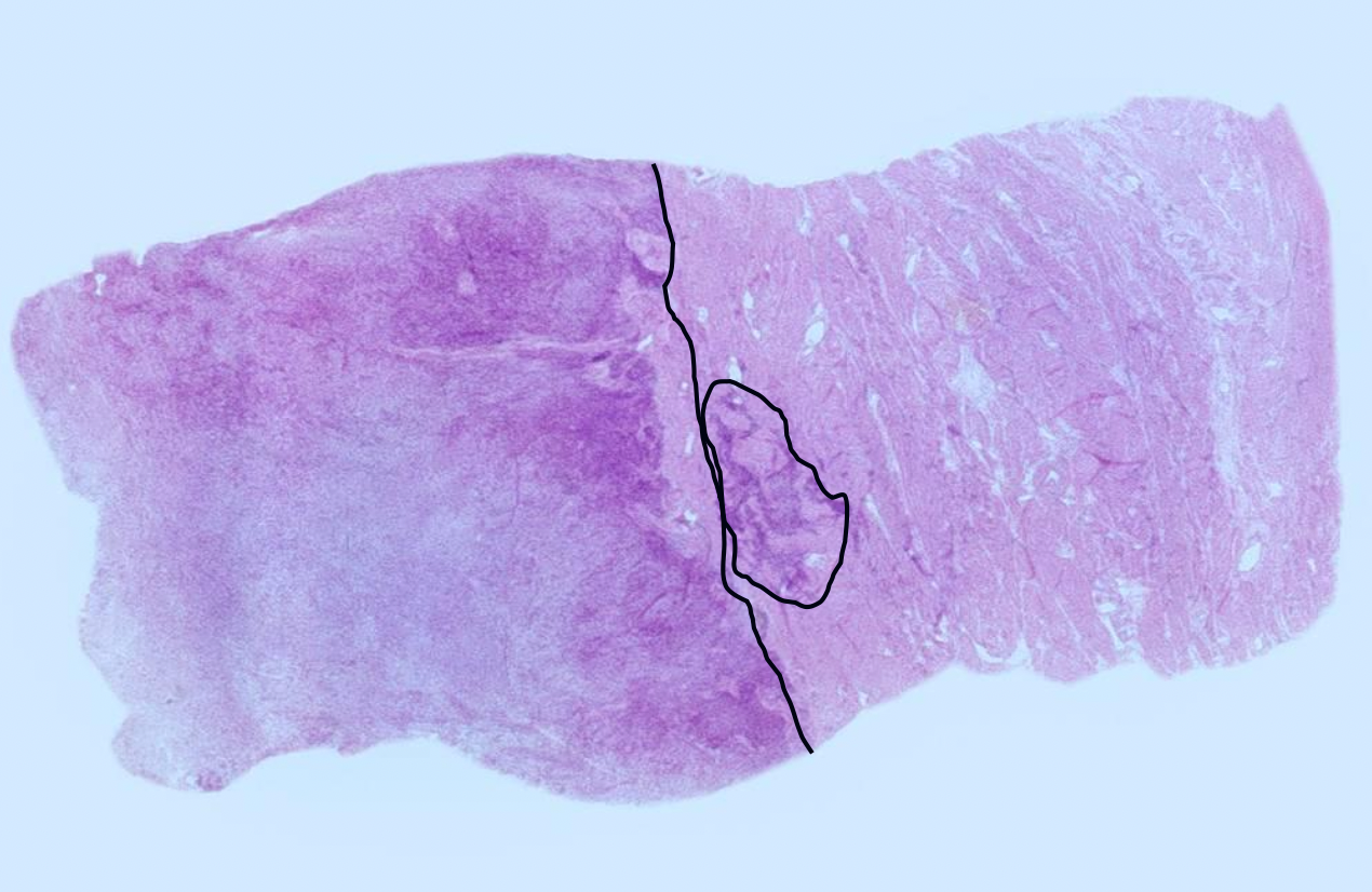
3
Q
A

Adenocarcinoma of colon

How well did you know this?
1
Not at all
2
3
4
5
Perfectly
4
Q
A

Adenocarcinoma of colon and adjacent normal colonic histology

How well did you know this?
1
Not at all
2
3
4
5
Perfectly
5
Q
A

Lieomyoma in wall of uterus with surrounding normal myometrium

How well did you know this?
1
Not at all
2
3
4
5
Perfectly
6
Q
A

Liemyosarcoma invading wall of myometrium

How well did you know this?
1
Not at all
2
3
4
5
Perfectly
7
Q

Stem cells as the origin of cancer

A

-Skin: keratinocyte, sebaceous cells, hair, sweat gland
-Lung: Mucous cell, ciliated cell, neuroendocrine cell
-Colon: mucous cell, neuroendocrine cell
-Bone Marrow: red cell, granulocyte, platelet, lymphocyte, stromal cell

How well did you know this?
1
Not at all
2
3
4
5
Perfectly
8
Q

Mutation Types

A

Gene
-replacement of one nucleotides or addition/deletion of nucleotide

Chromosome
-change in # or structure of chromosomes

How well did you know this?
1
Not at all
2
3
4
5
Perfectly
9
Q

Oncogenes

A

-promotes abnormal cell growth/division when mutated

gain a function mutation on gene level

copy # gain or amplification on chromosome level

How well did you know this?
1
Not at all
2
3
4
5
Perfectly
10
Q

Tumor suppressor genes

A

inhibit growth and division or induce genetic instability when mutated

loss of function (gene)

copy # loss or deletion (chromosome)

How well did you know this?
1
Not at all
2
3
4
5
Perfectly
11
Q

Upstream vs Downstream

A
How well did you know this?
1
Not at all
2
3
4
5
Perfectly
12
Q

Cancer in Men

A
How well did you know this?
1
Not at all
2
3
4
5
Perfectly
13
Q
A

Bronchogenic lung cancer invading pulmonary parenchyma

How well did you know this?
1
Not at all
2
3
4
5
Perfectly
14
Q

Cancer in Women

A
How well did you know this?
1
Not at all
2
3
4
5
Perfectly
15
Q

Preneoplastic Predispositions

A
How well did you know this?
1
Not at all
2
3
4
5
Perfectly
16
Q
A

Cirrhotic liver with secondary hepatocellular carcinoma

17
Q
A

Intestinal metaplasia and esophagus cancer at gastroesophageal junction

18
Q

Grading and Staging

19
Q
A

Abnormal Pap smear with severely dysplastic squamous mucosa cells

20
Q
A

Metastatic cancer to lung

21
Q
A

Metastatic cancer to liver