Lec 2 Flashcards

(20 cards)

1
Q

Greek for corpse

A

Necros

How well did you know this?
1
Not at all
2
3
4
5
Perfectly
2
Q

Life

A

characterized by active metabolism (chemical changes converting nutriment to energy and living tissue)

How well did you know this?
1
Not at all
2
3
4
5
Perfectly
3
Q

Death

A

when biochemistry becomes just chemistry, and entropy prevails unchecked

How well did you know this?
1
Not at all
2
3
4
5
Perfectly
4
Q

Coagulative

A

caused by Ischemia/Infarcts

How well did you know this?
1
Not at all
2
3
4
5
Perfectly
5
Q

Liquifactive

A

Focal bacteria infections – abscesses

How well did you know this?
1
Not at all
2
3
4
5
Perfectly
6
Q

Fibrinoid

A

AgAbC complexes, radiation

How well did you know this?
1
Not at all
2
3
4
5
Perfectly
7
Q

Caseous

A

Tuberculosis

How well did you know this?
1
Not at all
2
3
4
5
Perfectly
8
Q

Common Events in Cell Injury and Death from Diverse Causes

A
  1. Mitochondrial membrane dysfunction
  2. Plasma membrane dysfunction
  3. Lysosomal membrane dysfunction
How well did you know this?
1
Not at all
2
3
4
5
Perfectly
9
Q
A

Yellow - acute MI (necrosis)
Blue - old MI (fibrous scar = white)

How well did you know this?
1
Not at all
2
3
4
5
Perfectly
10
Q
A

Left = normal heart muscle

Center = red dead myocardium

Right = acute inflammation neutrophils

How well did you know this?
1
Not at all
2
3
4
5
Perfectly
11
Q

Apoptosis

A

When a cell is deprived of growth factors or its DNA or proteins are damaged beyond repair, the cell kills itself by activating enzymes that degrade its own DNA and constituent protein
-cleaned up by macrophages, no inflammation (no neutrophils) results

How well did you know this?
1
Not at all
2
3
4
5
Perfectly
12
Q
A

Normal EM of myocardium mitochondria (M)

black dots = glycogen granules

How well did you know this?
1
Not at all
2
3
4
5
Perfectly
13
Q
A

Reversible damage-glycogen depletion and swollen mitochondria

How well did you know this?
1
Not at all
2
3
4
5
Perfectly
14
Q
A

Irreversible calcium deposition

How well did you know this?
1
Not at all
2
3
4
5
Perfectly
15
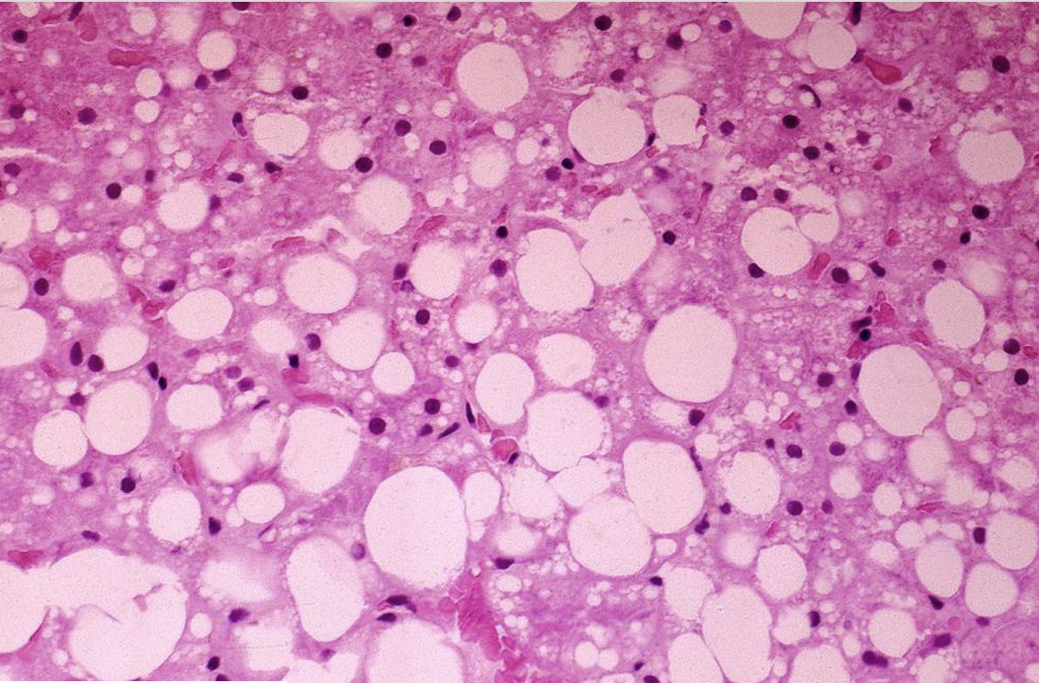
Q
A

Fatty liver, yellow and swollen

How well did you know this?
1
Not at all
2
3
4
5
Perfectly
16
Q
A

Acute fatty change
-accumulation of triglycerides in fatty liver (alcohol effects)

17
Q
A

Non lactating breast, lobules and ducts without acini

18
Q
A

Lactating breast with normal hyperplasia

19
Q
A

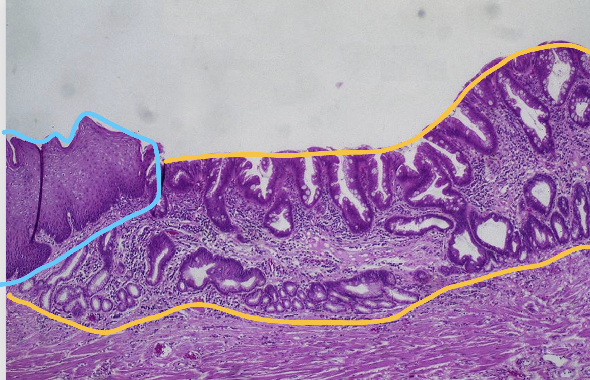
Normal esophagus squamous mucosa (blue)

intestinal metaplasia of lower esophagus (yellow)

adenocarcinoma (red)

20
Q
A

Squamous mucosa of esophagus - BLUE

Intestinal metaplasia - YELLOW