Skin Flashcards

(23 cards)

1
Q
A

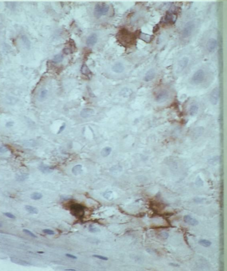
Langerhans’ Cells in epidermis, labeled brown

How well did you know this?
1
Not at all
2
3
4
5
Perfectly
2
Q

ACUTE ECZEMATOUS

A

Gr. boiling over

-Allergic contact (poison ivy)
-Atopic
-Drug related
-Photo
-Primary irritant

How well did you know this?
1
Not at all
2
3
4
5
Perfectly
3
Q
A

Acute Eczematous Dermatitis
Erythmetous: papulovesicular oozing and crusted

How well did you know this?
1
Not at all
2
3
4
5
Perfectly
4
Q

PATHOGENESIS OF ALLERGIC CONTACT DERMATITIS

A
  1. Exposure to poison ivy = altered self proteins
  2. Langerhans cells migrate to lymph nodes
  3. Ag to T-lymph, tells them to hate, wait re-exposure
  4. T-cells migrate to epidermis, release cytokines
  5. Cytokines/lymp mediate damage to epidermis
How well did you know this?
1
Not at all
2
3
4
5
Perfectly
5
Q
A

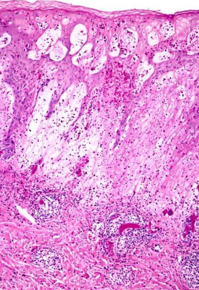
Acute Eczematous Dermatitis
Edema/fluid, splays apart keratinocytes → spongiotic dermatitis

How well did you know this?
1
Not at all
2
3
4
5
Perfectly
6
Q

PSORIASIS

A

Gr. the itch

  1. 1-2% of US population
  2. Immunologic disease
  3. Sensitized dermal CD4+ T-cells and epidermal CD8+ T-cells
  4. Secrete cytokines and growth factors
  5. Keratinocyte hyperproliferation → acanthosis and parakeratosis

PITAH

How well did you know this?
1
Not at all
2
3
4
5
Perfectly
7
Q
A

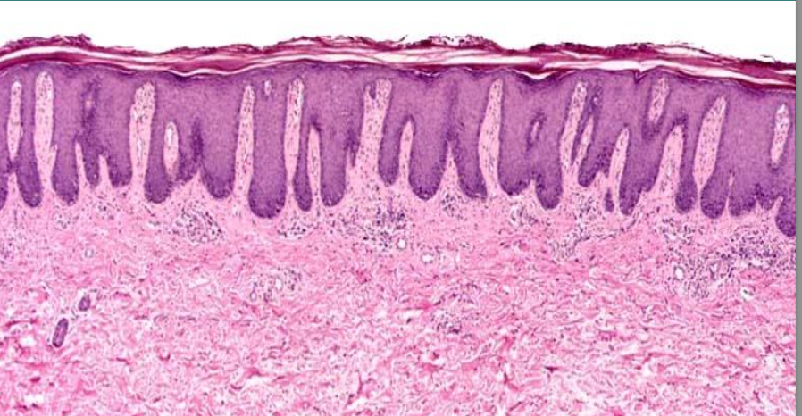
Psoriasis

How well did you know this?
1
Not at all
2
3
4
5
Perfectly
8
Q
A

Psoriasis: acanthosis and parakeratosis

How well did you know this?
1
Not at all
2
3
4
5
Perfectly
9
Q

SEBORRHEIC KERATOSIS

A

Latin, tallow
* Very common in middle-aged and elderly (skin barnacles)
* Activating mutation in fibroblast growth factor receptor
* Never become malignant

SB FBGF

How well did you know this?
1
Not at all
2
3
4
5
Perfectly
10
Q
A

Seborrheic Keratosis

How well did you know this?
1
Not at all
2
3
4
5
Perfectly
11
Q

VERRUCA

A

Latin, wart
* Caused by HPV virus
* Distinct low risk types that cannot become malignant
* Undulant epidermal hyperplasia and
koilocytosis (Gr: koilo = hollow)

How well did you know this?
1
Not at all
2
3
4
5
Perfectly
12
Q
A

Verruca

How well did you know this?
1
Not at all
2
3
4
5
Perfectly
13
Q

ACTINIC (SUN RELATED) KERATOSIS

A
  • May regress, be stable, or progress to squamous cell ca
  • Basal cell hyperplasia
  • Cytologic atypia
  • Parakeratosis and hyperkeratosis
  • Dermal solar elastosis
  • Topical freezing or chemotherapy
How well did you know this?
1
Not at all
2
3
4
5
Perfectly
14
Q
A

Actinic Keratosis

How well did you know this?
1
Not at all
2
3
4
5
Perfectly
15
Q

BASAL CELL CARCINOMA

A
  • The most common human cancer
  • Slowly growing, rarely metastasizes
  • Chronic sun exposure, lightly pigmented people
  • Dysregulated sonic hedgehog or PTCH pathway
  • PTCH functions as a classic tumor suppressor
How well did you know this?
1
Not at all
2
3
4
5
Perfectly
16
Q
A

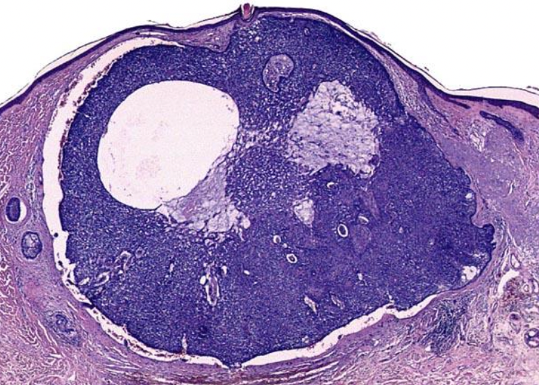
Basal Cell Carcinoma

17
Q
A

Basal Cell Carcinoma

18
Q

SQUAMOUS CELL CARCINOMA

A
  • Sun exposure, older people, but also burns and ulcers
  • Organ transplant recipients/immune suppression
  • Less than 5% have metastases at diagnosis,
    especially if from actinic keratosis
  • Much less aggressive than mucosal squamous cell ca
19
Q
A

Squamous Cell Carcinoma

20
Q
A

Squamous Cell Carcinoma

21
Q

MELANOMA

A
  • Sunlight (New Zealand – Australia – transported Irish)
  • Usually de novo but sometimes pre-existing nevus
  • Radial and vertical growth
  • Probability of metastases predicted by depth of invasion
  • Red hair, fair skin, easy freckling, the Weasleys
  • Activating mutations in proto-oncogenes and tumor
    suppressor genes
  • Melanocytes gone bad
  • ABCD rules
22
Q
23
Q