Joint/Bone Flashcards

(22 cards)

1
Q

Osteoarthritis

A
  • Unbalanced articular cartilage degradation and replacement
  • Degenerative joint disease
  • Aging wear and tear or secondary to trauma
  • Articular cartilage fibrillation and cracking
  • Eburnation (ivory bone)
  • Subchondral cysts
  • Osteophytes (bony outgrowths)
How well did you know this?
1
Not at all
2
3
4
5
Perfectly
2
Q
A

Cartilage fibrillation and cracking

How well did you know this?
1
Not at all
2
3
4
5
Perfectly
3
Q

Rheumatoid Arthritis

A

Immunologically mediated
-T cells/MACs = cytokines/TNF
-Proliferation of synovium and fibroblasts
-B cells make RF

How well did you know this?
1
Not at all
2
3
4
5
Perfectly
4
Q
A

Rheumatoid Arthritis with ulnar deviations

How well did you know this?
1
Not at all
2
3
4
5
Perfectly
5
Q

Gout

A

-Hyperuricemia, then monosodium urate crystals deposited in joints
-Neuts and Macs
-Gouty tophi form, granuloma crystals

How well did you know this?
1
Not at all
2
3
4
5
Perfectly
6
Q
A

Gout

How well did you know this?
1
Not at all
2
3
4
5
Perfectly
7
Q
A

Gouty tophus, granuloma-like

How well did you know this?
1
Not at all
2
3
4
5
Perfectly
8
Q

Osteoporosis

A
  • Reduced bone mass, decrease
    -0.7% per year after 30
  • Senile and post-menopausal forms
  • Diminished osteoblastic gusto
  • Thinner and fewer trabeculae in cancellous bone
    – Especially vertebral bodies and femeral neck
    – Resulting compression and hip fractures
How well did you know this?
1
Not at all
2
3
4
5
Perfectly
9
Q
A

Osteoporosis

How well did you know this?
1
Not at all
2
3
4
5
Perfectly
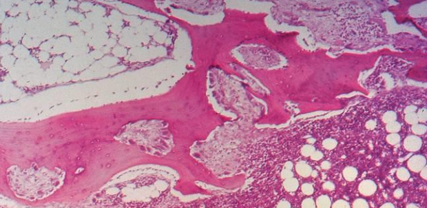
10
Q
A

Normal vs. Osteoporosis

How well did you know this?
1
Not at all
2
3
4
5
Perfectly
11
Q

Hyperparathyroidism

A

-Primary: adenoma or hyperplasia
-Secondary: renal failure
-Increased PTH = unabated osteoclast activity
-Brown tumor of bone/osteitis

How well did you know this?
1
Not at all
2
3
4
5
Perfectly
12
Q
A

Hyperparathyroidism with multiple osteoclasts dissolving bone to release calcium

How well did you know this?
1
Not at all
2
3
4
5
Perfectly
13
Q
A

Hyperparathyroidism with multiple osteoclasts dissolving bone to release calcium

How well did you know this?
1
Not at all
2
3
4
5
Perfectly
14
Q
A

Osteosarcoma

How well did you know this?
1
Not at all
2
3
4
5
Perfectly
15
Q
A

Osteosarcoma

How well did you know this?
1
Not at all
2
3
4
5
Perfectly
16
Q
17
Q

Chondrosarcoma

A
  • 1/2 as frequent as osteosarcoma
  • 40-60 year old pts
  • Pelvis shoulders, ribs
  • Grade matters
    *low 85% survival rate
    *high 43% survival rate
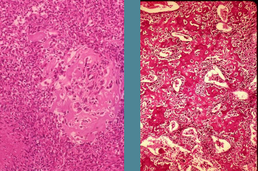
18
Q
A

Chondrosarcoma

19
Q
A

Chondrosarcoma, low grade on left, high grade on right

20
Q

Multiple Myeloma

A
  • Cancer in the bone, but not of the bone
  • 15% of deaths from tumors of WBCs
  • Clonal proliferation of post-follicular center B cells, i.e. plasma cells
21
Q
A

Multiple Myeloma with lytic lesions in skull

22
Q
A

Multiple Myeloma with malignant proliferation of plasma cells