Neuro Flashcards

(47 cards)

1
Q

Focal Traumatic Brain Injuries

A

-falls, assaults
-epidural hematomas
-subdural hematomas
-contusions
-coup, contracoup

How well did you know this?
1
Not at all
2
3
4
5
Perfectly
2
Q
A

Hematoma

How well did you know this?
1
Not at all
2
3
4
5
Perfectly
3
Q
A

Subdural hematoma

How well did you know this?
1
Not at all
2
3
4
5
Perfectly
4
Q
A

Epidural hematoma

How well did you know this?
1
Not at all
2
3
4
5
Perfectly
5
Q
A

Contracoup contusions

How well did you know this?
1
Not at all
2
3
4
5
Perfectly
6
Q
A

Petechial hemorrhages in white matter

How well did you know this?
1
Not at all
2
3
4
5
Perfectly
7
Q
A

Germinal matrix hemorrhage

How well did you know this?
1
Not at all
2
3
4
5
Perfectly
8
Q
A

Germinal matrix hemorrhage

How well did you know this?
1
Not at all
2
3
4
5
Perfectly
9
Q

CNS Infections

A
  • Bacterial
  • Fungal
  • Viral
  • Protozoan
  • Parasitic
How well did you know this?
1
Not at all
2
3
4
5
Perfectly
10
Q

CNS Bacterial Infections

A

-meningitis
-abcesses

How well did you know this?
1
Not at all
2
3
4
5
Perfectly
11
Q
A

Bacterial meningitis

How well did you know this?
1
Not at all
2
3
4
5
Perfectly
12
Q
A

Abcesses

How well did you know this?
1
Not at all
2
3
4
5
Perfectly
13
Q
A

Abcess

How well did you know this?
1
Not at all
2
3
4
5
Perfectly
14
Q

CNS Fungal Infections

A

-meningitis, yeasts
-vaculitis, hyphae

How well did you know this?
1
Not at all
2
3
4
5
Perfectly
15
Q
A

Basilar fibrosing granulomatous meningitis

How well did you know this?
1
Not at all
2
3
4
5
Perfectly
16
Q
A

Granulomatous meningitis

How well did you know this?
1
Not at all
2
3
4
5
Perfectly
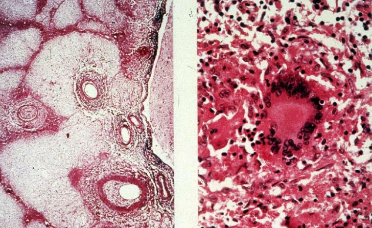
17
Q
A

Aspergillosis fungal vasculitis, thrombosis, hemorrhagic infarction and abscesses

How well did you know this?
1
Not at all
2
3
4
5
Perfectly
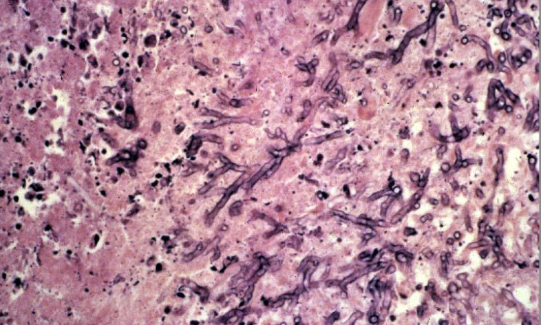
18
Q
A

Aspergillosis vasculitis with hyphae

How well did you know this?
1
Not at all
2
3
4
5
Perfectly
19
Q

CNS Viral Infections

A

-meningitis, mumps, entero, coxsackie, HIV
-encephalitis, HSV, CMV
-myelitis, polio
-varicella/herpes

19
Q
A

Viral encephalitis

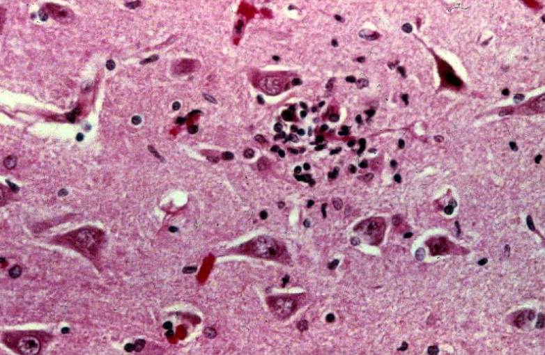
20
Q
A

Viral encephalitis

20
Q
A

Viral encephalitis

21
Q
A

HSV 1 Encephalitis

22
Q

CNS Protozoan Infections

A

-toxoplasmosis
-amebae

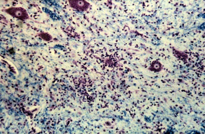
23
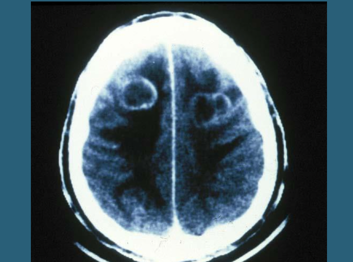
toxoplasmosis
24
toxoplasmosis
25
CNS parasite, neurocysticercosis
26
Brain Tumors
-intrinsic: in/of brain -extrinsic: in brain but not of the brain, meningiomas/metastases
27
Astrocytoma
28
Oligodendroglioma
29
Glioblastoma
30
Glioblastoma
31
GBM with butterfly appearance
32
Extrinsic Brain Tumors
meningioma metastatic carcinoma -lung, breast, melanoma
33
Meningioma
34
Neurodegenerative Diseases
-alzheimer -parkinson -als -huntington
35
Alzheimer Disease
-age associated dementia -plagues of amyloid -tangles of tau
36
Alz Disease
37
Tangles and plaques of AD
38
Parkinson Disease
rigidity, bradykinesia, masked facies, tremor
39
ALS
-amy sclerosis -moto neuron disease
40
ALS
41
ALS
42
Huntington Disease
* Autosomal dominant * Bad Huntington gene * CAG triplet repeats * Polyglutamine inserts * Caudate and putamen atrophy * Chorea and dementia
43
Huntington's
44
Multiple Sclerosis
* Autoimmune demyelinating disease * Remitting – relapsing course * Lesions disseminated in space and time
45
MS