Lec 3 Flashcards

(14 cards)

1
Q

Acute Inflammation, Chemical Mediators

A

Histamine, prostaglandins, from mast cells

Cytokines from Macs (IL1, TNF, IL6, chemokines)

How well did you know this?
1
Not at all
2
3
4
5
Perfectly
2
Q

Acute Inflammation, Stages

A

-Vasodilatation
-Increased vascular permeability
-Edema
-Leukocyte (esp neuts) recruitment
-Rolling, pavementing, migrating
-Leukocyte activation
-Phagocytosis, killing / degradation

How well did you know this?
1
Not at all
2
3
4
5
Perfectly
3
Q
A

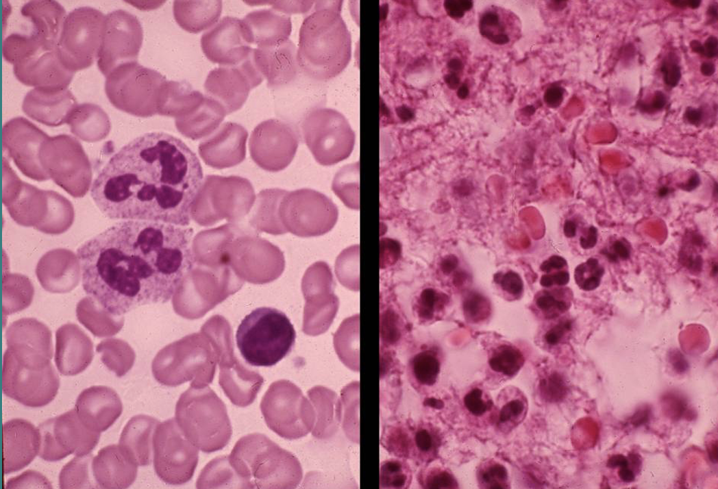
Neutrophils

How well did you know this?
1
Not at all
2
3
4
5
Perfectly
4
Q
A
How well did you know this?
1
Not at all
2
3
4
5
Perfectly
5
Q

Chronic Inflammation

A

Persistent infection

Autoimmune disease

Prolonged exposure to toxin

How well did you know this?
1
Not at all
2
3
4
5
Perfectly
6
Q

Chronic Inflammation, Histopathology

A

Macs, lymphocytes, plasma cells

Granulation tissue, angiogenesis

Scarring fibrosis

How well did you know this?
1
Not at all
2
3
4
5
Perfectly
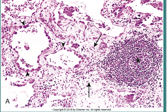
7
Q
A

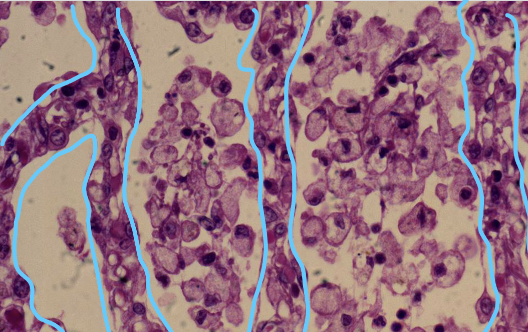
Neutrophils in pulmonary alveolar airspaces, acute bronchopneumonia

How well did you know this?
1
Not at all
2
3
4
5
Perfectly
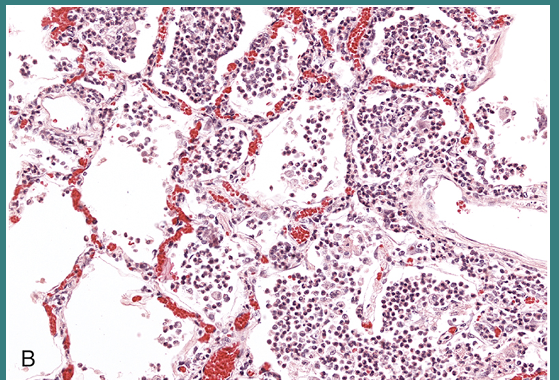
8
Q
A

Interstitial fibrosis and chronic inflammatory cells (lymphocytes), interstitial pneumonia

How well did you know this?
1
Not at all
2
3
4
5
Perfectly
9
Q
A

Chronic Inflammation (lymphocytes and plasma cells)

How well did you know this?
1
Not at all
2
3
4
5
Perfectly
10
Q

Chronic Inf, Chemial Mediators

A

-Activated Macs (IL1, TNF, FGF)

-Activated lymphs (FGF, interferon)

How well did you know this?
1
Not at all
2
3
4
5
Perfectly
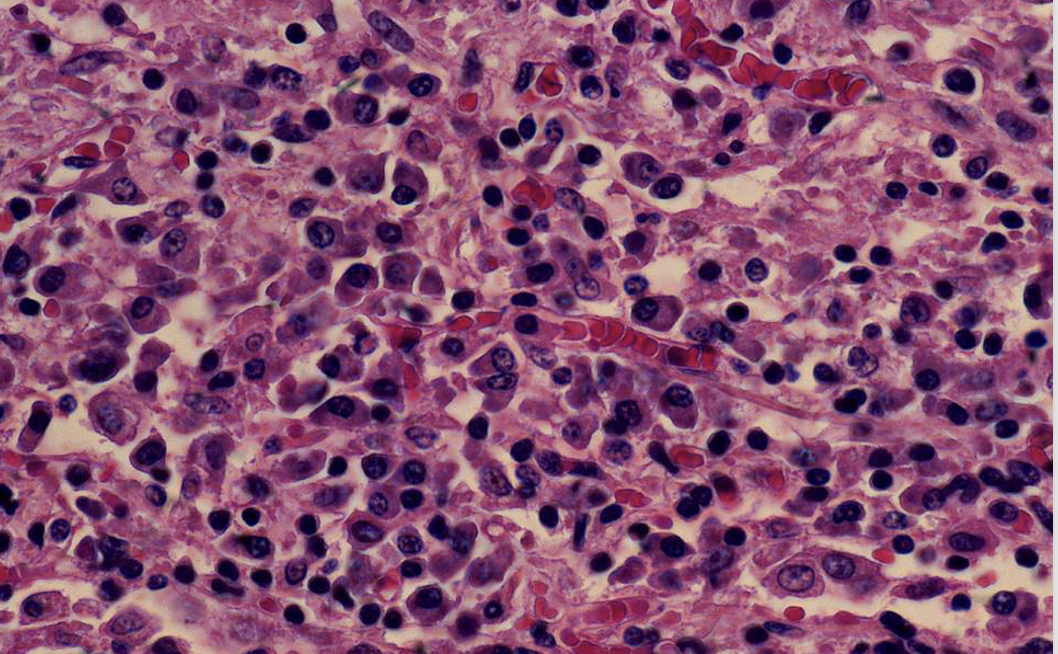
11
Q
A

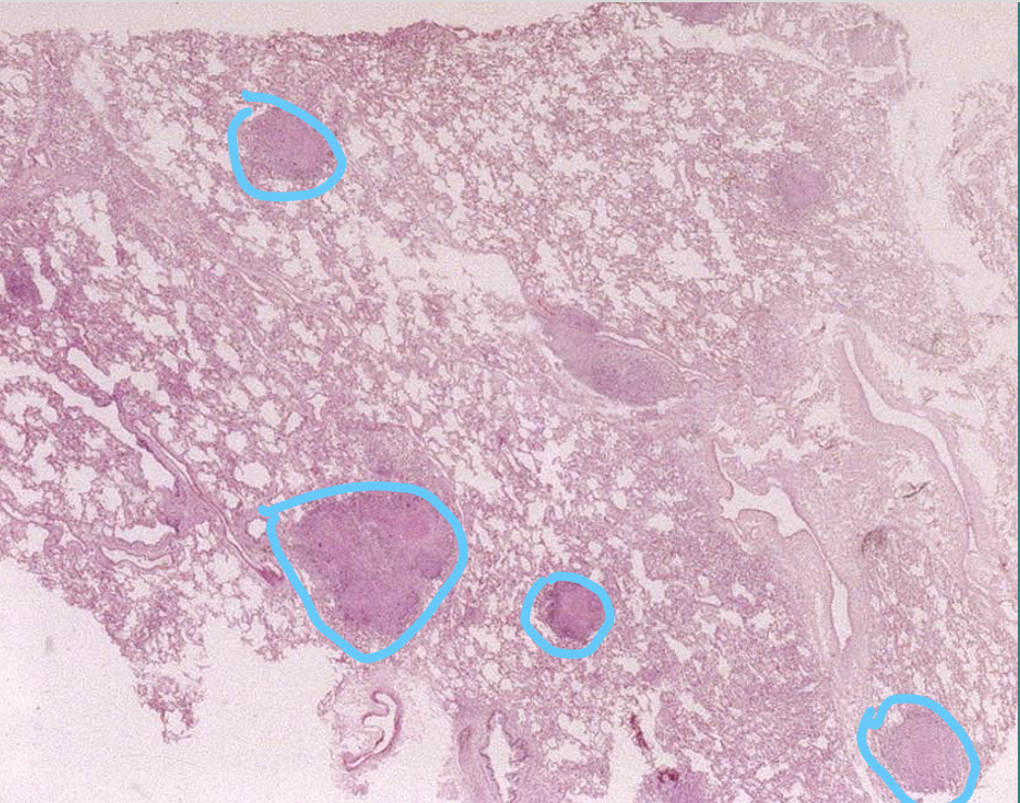
Tuberculous with granulomas

How well did you know this?
1
Not at all
2
3
4
5
Perfectly
12
Q

Wound Healing

A

-Bleeding, clotting, fibrin matrix
-Macs secrete fibroblast growth factor (FGF)
-Fibroblasts make collagenase + remodel
-Angiogenesis granulation tissue
-Fibrous scarring, 1st and 2nd intention

How well did you know this?
1
Not at all
2
3
4
5
Perfectly
13
Q

Growth factors in healing

A

stimulate the function of growth control genes

called proto-oncogenes because mutations in them lead to unrestrained cell proliferation characteristic of cancer (oncogenesis)

How well did you know this?
1
Not at all
2
3
4
5
Perfectly
14
Q
A

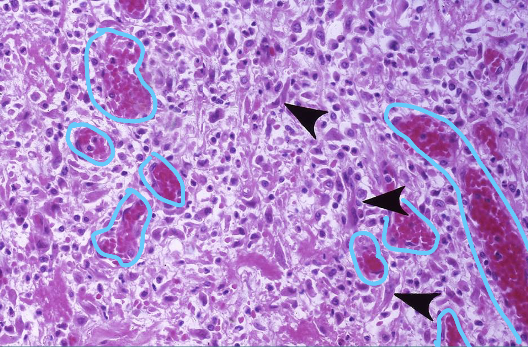
Granulation tissue with proliferating capillaries (circled), and fibroblasts (arrowheads)

How well did you know this?
1
Not at all
2
3
4
5
Perfectly