Lab 10 Flashcards

(40 cards)

1
Q

Describe this lesion.

A

There are multifocal to coalescing circular raised tan firm papules. The papules have a slightly raised perifphery with a depressed centrally ulcerated area and are occasionally covered with friable yellow to tan material

How well did you know this?
1
Not at all
2
3
4
5
Perfectly
2
Q

Provide a morphological diagnosis for this lesion

A

chronic, multifocal, proliferative or papular dermititis with ulceration and crust formation

How well did you know this?
1
Not at all
2
3
4
5
Perfectly
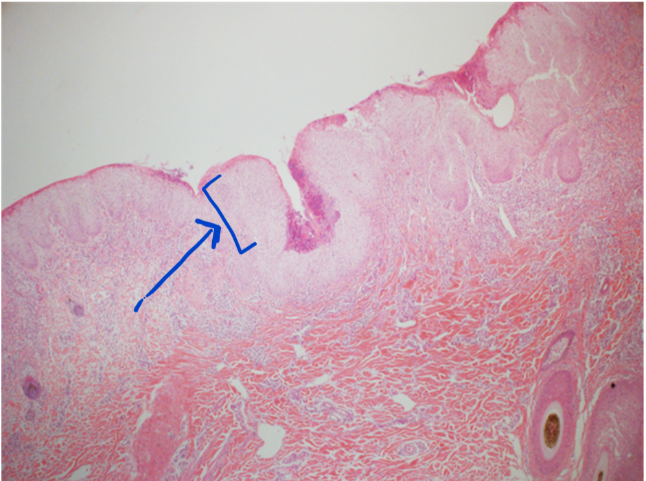
3
Q

What is the term for the process that is occuring here?

A

acanthosis - the pathologic thickening of the skin

How well did you know this?
1
Not at all
2
3
4
5
Perfectly
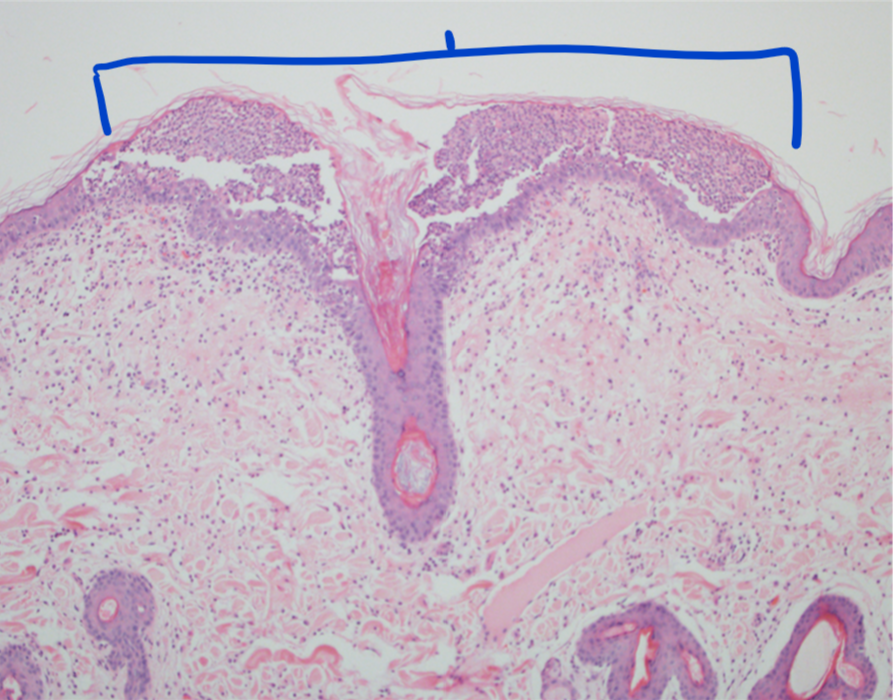
4
Q

What is this structure and what is it filled with?

A

epidermal pustule filled with neutrophils

How well did you know this?
1
Not at all
2
3
4
5
Perfectly
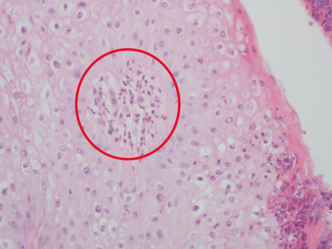
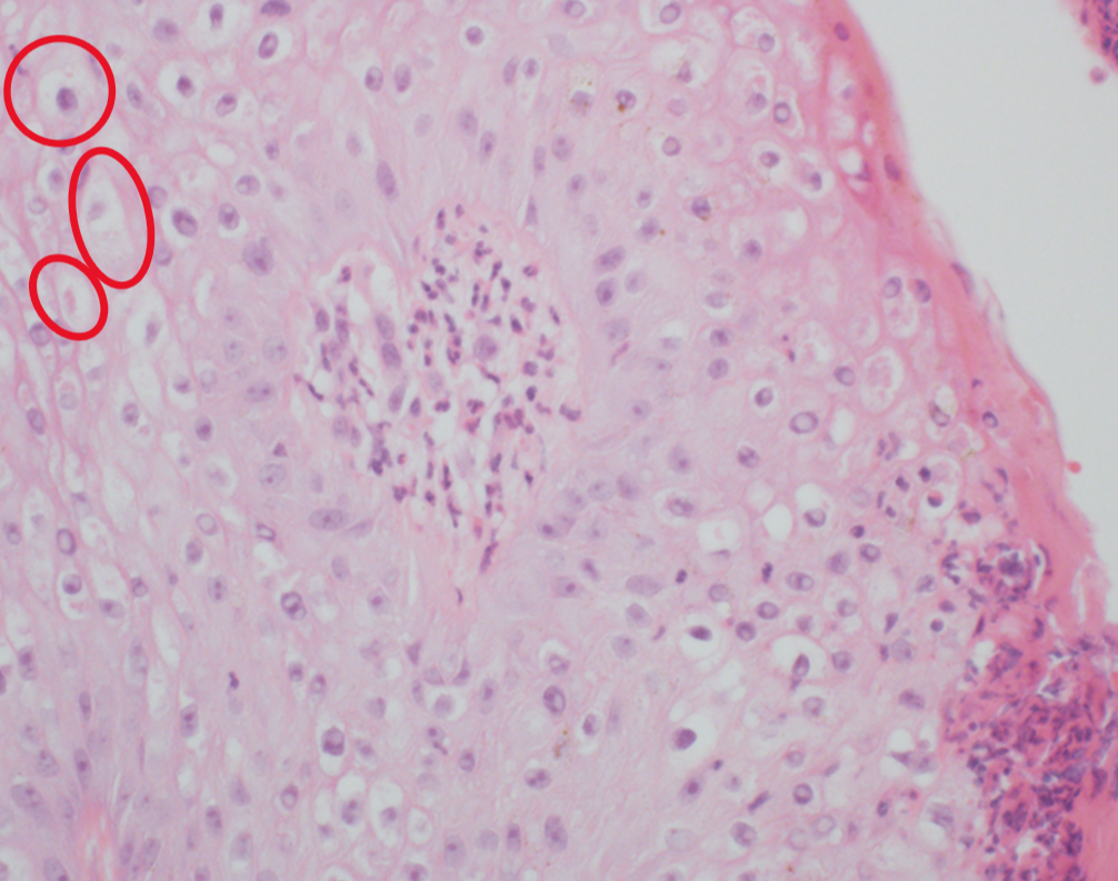
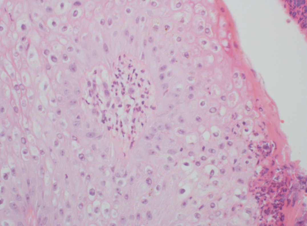
5
Q

Name the changes seen in the epithelial pictures in this slide.

A

balloning degeneration

How well did you know this?
1
Not at all
2
3
4
5
Perfectly
6
Q

What is occuring to these structures?

A

viral inclusion

How well did you know this?
1
Not at all
2
3
4
5
Perfectly
7
Q

What is the most likely infectious agent causing these lesions?,

A

swine pox

How well did you know this?
1
Not at all
2
3
4
5
Perfectly
8
Q

What is the pathogenesis of this lesion?

A

Swine pox enters the skin via abrasions, the virus infects the epidermal cells causing ballooning degeneration, subsequent vesicle and puslule formation and cell death. The vesicles and pustules eventually rupture, ulcerate, and form crusts and scabs like in this case. Chronically, there will be epithelial hyperplasia and either healying by epithelialization or fibrosis

How well did you know this?
1
Not at all
2
3
4
5
Perfectly
9
Q

Up until what age is the morbidity rate in pigs with swine pox high?

A

4 months

How well did you know this?
1
Not at all
2
3
4
5
Perfectly
10
Q

Describe this lesion.

A

The skin over the snout, around the eyes, and behid the ears is thickened, erythematous, and covered by variable amounts of yellow-brown, greasy exudate.

How well did you know this?
1
Not at all
2
3
4
5
Perfectly
11
Q

Provide a morphological diagnosis for this lesion.

A

severe, acute, purulent/pustular (exudative) dermatitis with multifocal ulcerations

How well did you know this?
1
Not at all
2
3
4
5
Perfectly
12
Q

What is the causative agent of greasy pig?

A

Staphylococcus hyicus

How well did you know this?
1
Not at all
2
3
4
5
Perfectly
13
Q

What is the pathogenesis of this lesion?

A

colonization of the bacteria causes damage to the epithelium and initiation of the inflammatory process which leads to formation of vesicular and pustular dermatitis which causes rupture of the pustules and vesicles to release serum and purulent exudate on to the exterior surface of the epidermis which causes crusting and ulcerations

How well did you know this?
1
Not at all
2
3
4
5
Perfectly
14
Q

This lesion is from the ventral abdomen in a patient that presented with chronic laminitis. Describe the lesion.

A

there is an area of skin consisting of well-demarcated multiple coalescing raised, round nodules to plaques. The lesioned area is markedly thickened, raised, and hairless with multifocal red to dark red ulcerations

How well did you know this?
1
Not at all
2
3
4
5
Perfectly
15
Q

Provide a morphological diagnosis for this lesion.

A

ventral abdominal skin: chronic, multifocal to coalescing, proliferative dermatitis with alopecia and multifocal ulcers

How well did you know this?
1
Not at all
2
3
4
5
Perfectly
16
Q

What term can be used to describe the pathalogic changes in this region?

A

hyperkeratosis (with crust)

How well did you know this?
1
Not at all
2
3
4
5
Perfectly
17
Q

What term can be used to describe the pathalogic changes in this region?

18
Q

What structure is this?

19
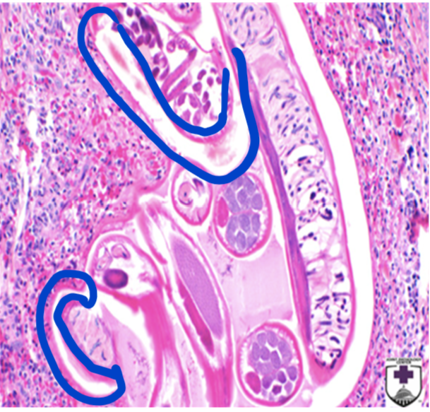
Q

What structure is this?

20
Q

The etiologic agent responsible for this dermatitis is stephanofilaria stilesis. How is this parasite transmitted?

A

the horn fly - it ingests the microflaria and undergoes additional development when within the fly

21
Q

What are these?

A

adult larvae within hair follicles

22
Q

Describe this lesion.

A

mottled hypomelanotic epithelium of the nasal planum is multifocally eroded, ulcerated with crustine. Few tan papules are are also present. On cut surface, the thickness of the epidermis is increased. The muzzle is alopecic with hyperpigmented epidermis and multifocal crusting

23
Q

Provide a morphological diagnosis for this lesion.

A

Muzzle, skin: chronic, multifocal, pustular and ulcerative, dermatitis with crusting

24
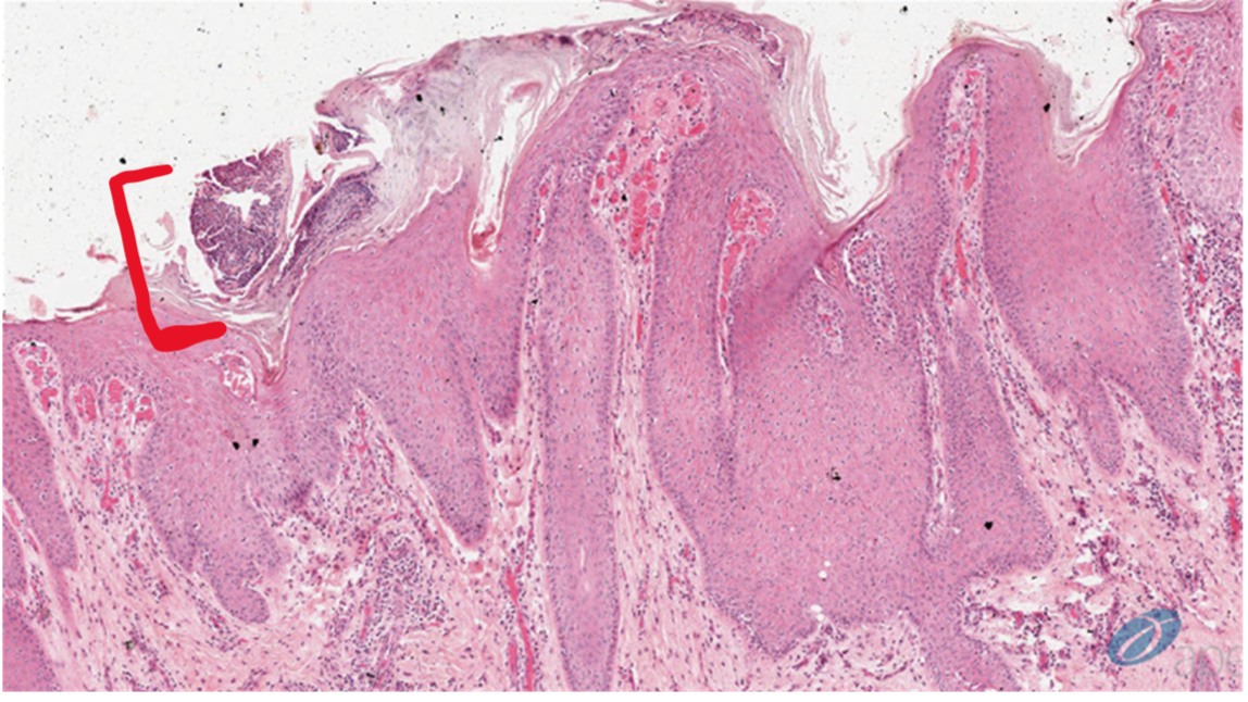
Q

What is the pathologic epidermal structure filled with neutrophils as seen in this picture?

A

subcorneal pustule

25
What are these cells called and where are they located?
acantholytic cells in the epidermis
26
What is the material overlying the epidermis here?
serocellular crust or crust
27
What is occuring to the epidermis here?
acanthosis
28
What is this lesion called?
epidermal ulcer - the is discontinuity of the epidermis
29
Provide a pathogenesis for this lesion.
Pemphigus - which is an autoimmune disease where autoantibodies against desmosomal adhesion molecules induce detachment of keratinocytes, forming acantholytic cells and allowing detachment of the stratum corneum. Secondary activation of complement and release of keratinocyte cytokines is thought to contribute to this pathology.
30
Describe this lesion.
multifocally, the skin sections are characterized by purple roughly rhomboid discolorations containing areas of central pallor
31
Provide a morphological diagnosis for this lesion.
skin: dermal infarctions, multifocal to coalescing, acute
32
Histology showed necrotizing vasculitis in the dermis. Which infectous agent is likely to cause these lesions?
Erysipelothrix rhusiopathiae
33
Provide a pathogenesis for this lesion.
Bloodborne erysipelothrix damages endothelium, causing swelling and promoting vasculitis. Subsequent thrombosis manifests grossly as the rhomboid areas of infarction in the skin supplied by the affected vessel
34
What is a common name for this disease?
diamond skin disease
35
Describe this lesion.
The skin is hairless and covered by thick scales divided into plates by deep fissures that represent normal cleavage planes of the skin. The tight inelastic skin is everted at the mucocutaneous junctions, and the ears are usually smaller than normal
36
What is the name of this condition?
Harlequin ichthyosis
37
What kind of lesion is this?
a severe autosomal recessive congenital disorder that is characterized by generalized severe plate-like scaling at birth and clinically a high mortality rate
38
Describe this lesion.
The hard and soft palates of the oral cavity are malformed with a central linear defect between the right and left palatine shelves. The gap between the shelves spans the entire length of the hard and soft palate
39
What is the name of this condition?
palatoschisis
40
How does this lesion relate to the increased respiratory rate, cough, and dyspnea seen in this calf at the time of presentation?
it likely would develop aspiration pneumonia - during suckling, milk would go up into the nasal cavity and the material would likely enter the lungs and the calf would develop bronchopneumonia