Lab 6 Flashcards

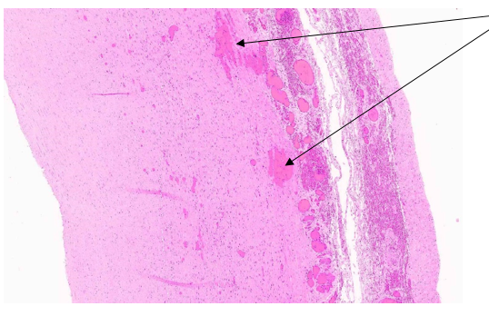
(89 cards)

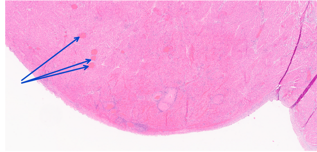
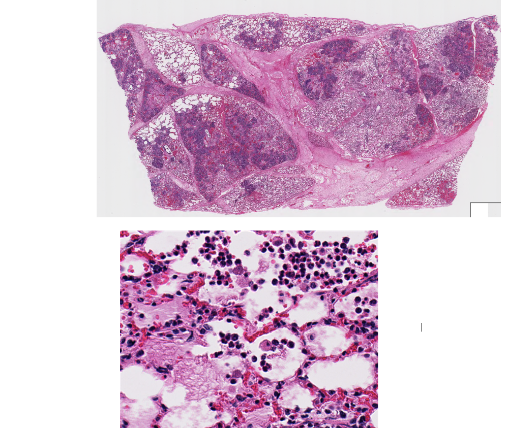
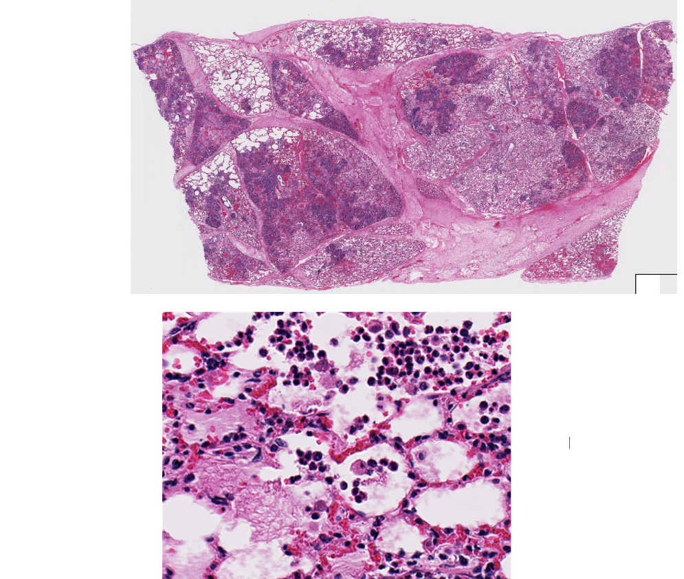
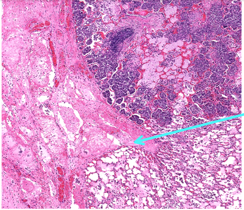
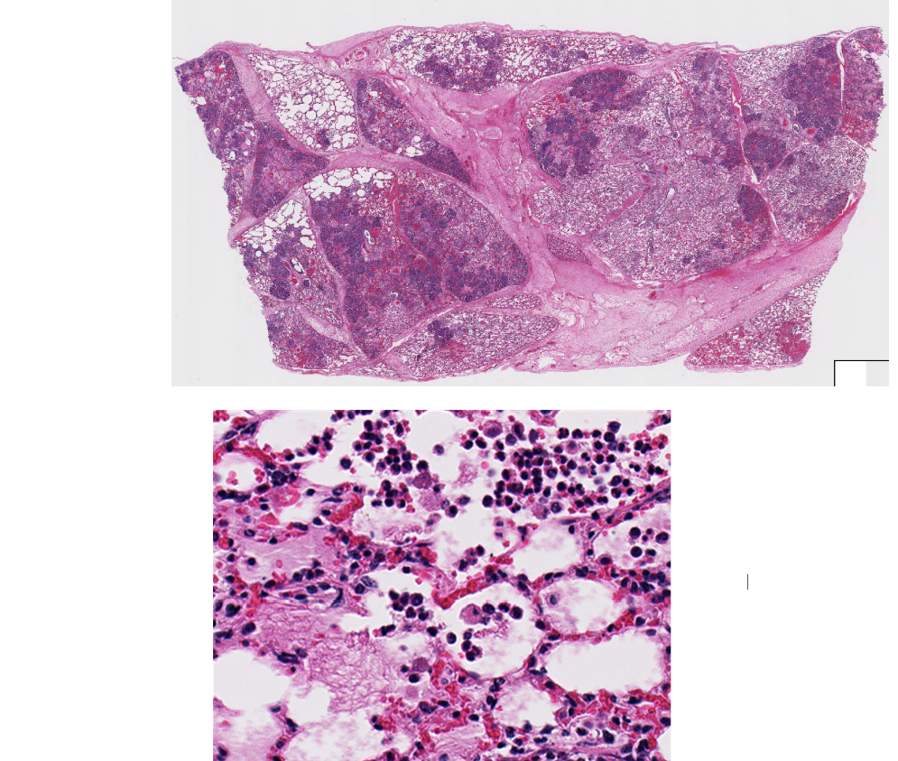
1
Q

Can fibrin thrombi form in septal lymphatics?

A

yes, because lymphatics drain lymph and clogging them causes net accumulation of more fluid exudate

How well did you know this?
1
Not at all
2
3
4
5
Perfectly
2
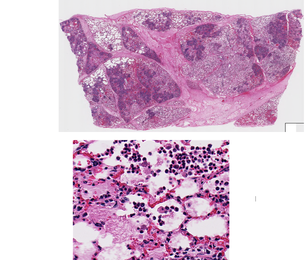
Q

This is a slide from a bovine lung.What would the cellular exudate be composed of in this lesion?

A

macrophages, neutrophils, and necrotic alveolar epithelium

How well did you know this?
1
Not at all
2
3
4
5
Perfectly
3
Q

This is from a bovine lung. What is the histomorphologic diagnosis for this lesion?

A

acute fibrinopurulent bronchopneumonia

How well did you know this?
1
Not at all
2
3
4
5
Perfectly
4
Q

Why would this lesion be acute?

A

because the exudate is predominantly neutrophils and fibrin

How well did you know this?
1
Not at all
2
3
4
5
Perfectly
5
Q

Why would this lesion be diffuse?

A

because most of the section is affected

How well did you know this?
1
Not at all
2
3
4
5
Perfectly
6
Q

Why would this lesion be fibrinopurulent?

A

because of the nature of the exudate

How well did you know this?
1
Not at all
2
3
4
5
Perfectly
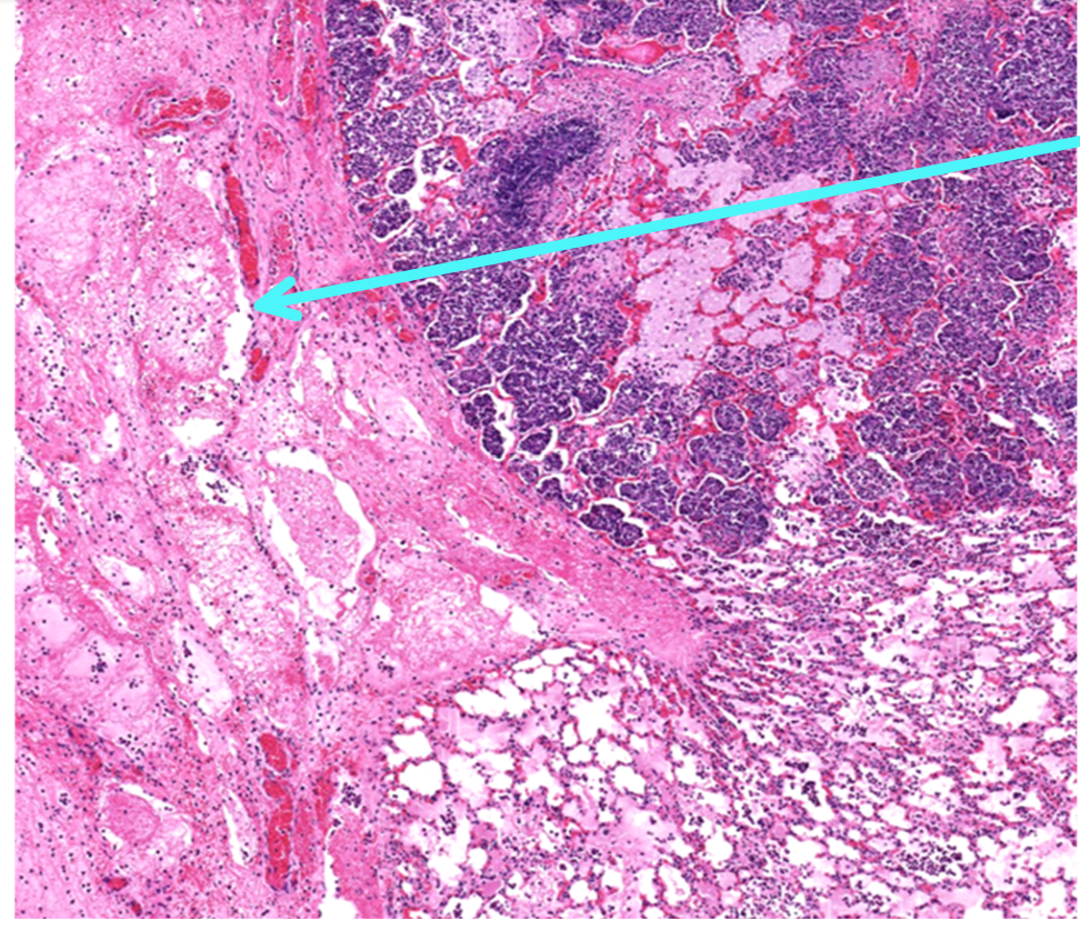
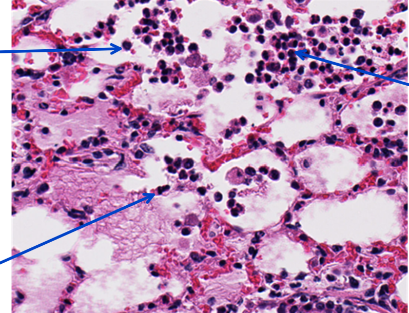
7
Q

Identify this structure:

A

neutrophils

How well did you know this?
1
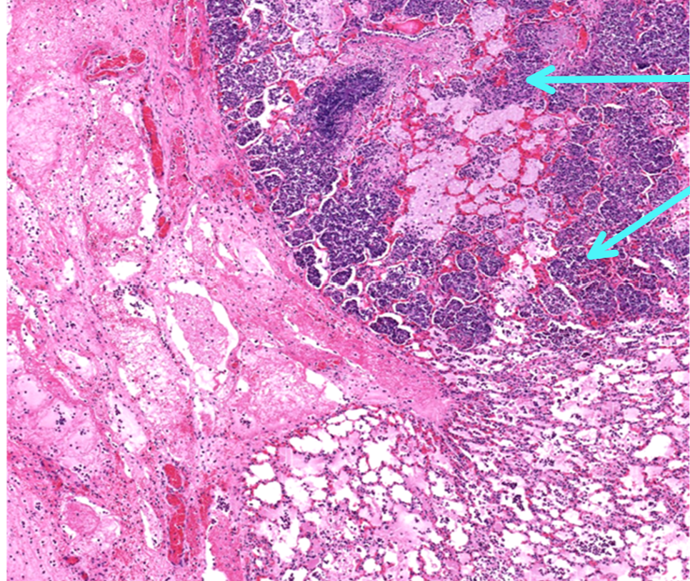
Not at all
2
3
4
5
Perfectly
8
Q

Identify this structure:

A

fibrin

How well did you know this?
1
Not at all
2
3
4
5
Perfectly
9
Q

Identify this structure:

A

interlobular lymphatics with fibrin and hemorrhage

How well did you know this?
1
Not at all
2
3
4
5
Perfectly
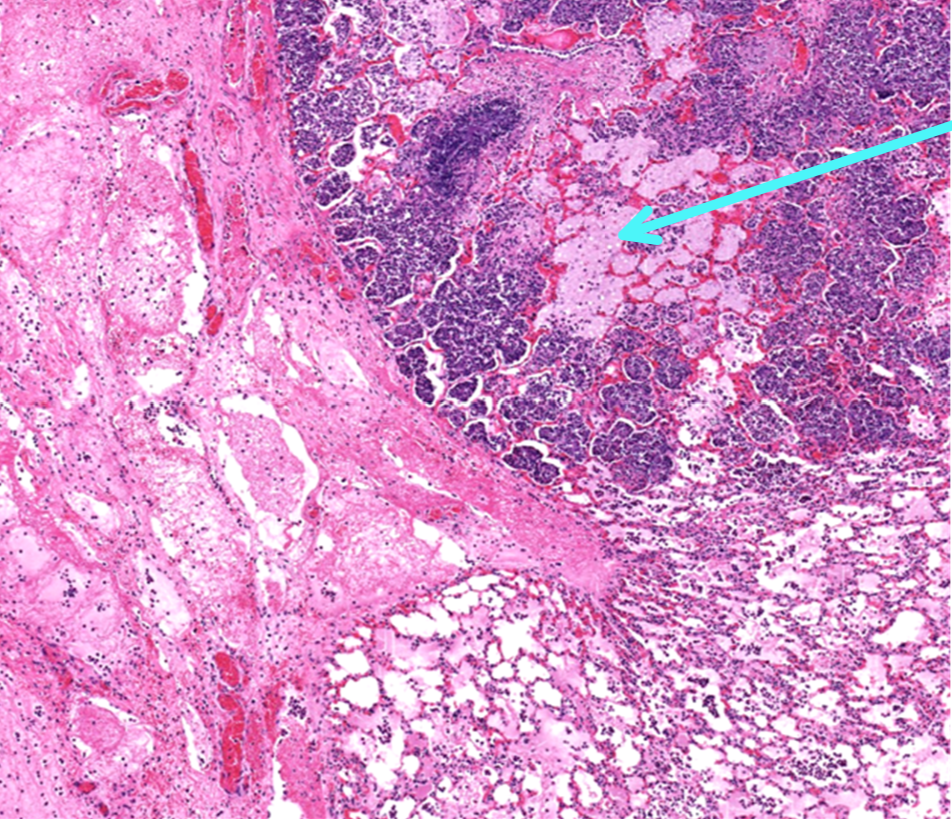
10
Q

Identify this structure:

A

fibrin thrombi

How well did you know this?
1
Not at all
2
3
4
5
Perfectly
11
Q

Identify this structure:

A

neutrophils

How well did you know this?
1
Not at all
2
3
4
5
Perfectly
12
Q

Identify this structure:

A

fibrin

How well did you know this?
1
Not at all
2
3
4
5
Perfectly
13
Q

What are these cells and what does this imply about the duration?

A

neutrophils which suggests acute inflammation

How well did you know this?
1
Not at all
2
3
4
5
Perfectly
14
Q

There are bacterial colonies trapped and proliferating within the capillaries, are they post mortem or are they important in the pathogenesis of the lesions?

A

they are likely antemortem bacteria because they are surrounded by an inflammatory response

How well did you know this?
1
Not at all
2
3
4
5
Perfectly
15
Q

What would you term the process of bacteria entering in the blood?

A

bacteremia or septicemia

How well did you know this?
1
Not at all
2
3
4
5
Perfectly
16
Q

What is the difference between bacteremia and septicemia?

A

bacteremia can happen without having overt disease, septicemia implies that a severe clinical illness is present

How well did you know this?
1
Not at all
2
3
4
5
Perfectly
17
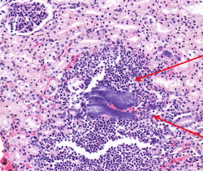
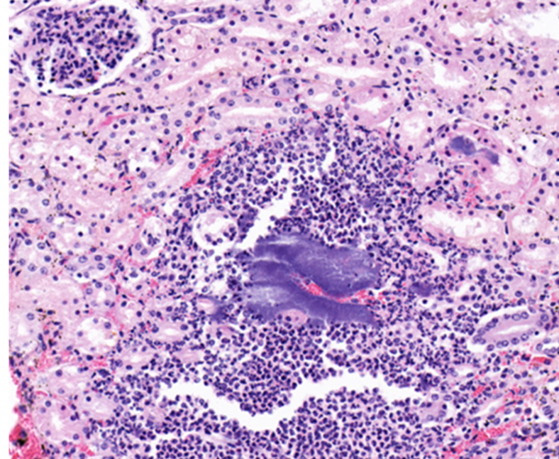
Q

What would the morphologic diagnosis for this lesion?

A

acute purulent glomerulonephritis with bacterial colonies

How well did you know this?
1
Not at all
2
3
4
5
Perfectly
18
Q

Identify this structure:

A

bacterial colonies

How well did you know this?
1
Not at all
2
3
4
5
Perfectly
19
Q

What is this an area of?

A

congestion

How well did you know this?
1
Not at all
2
3
4
5
Perfectly
20
Q

What is this?

A

fibinous thrombosis

How well did you know this?
1
Not at all
2
3
4
5
Perfectly
21
Q

This is from the heart of a calf, identify this structure:

A

bacterial septic emboli

How well did you know this?
1
Not at all
2
3
4
5
Perfectly
22
Q

What is occuring here?

A

periaortic hemorrhage

How well did you know this?
1
Not at all
2
3
4
5
Perfectly
23
Q

This is from the umbilicus of a cat, identify this structure:

A

artery wall

How well did you know this?
1
Not at all
2
3
4
5
Perfectly
24
Q

This is from the umbilicus of a calf, What is occuring here?

A

luminal thrombus

How well did you know this?
1
Not at all
2
3
4
5
Perfectly
25
Identify this structure:
lines of Zahn
26
What is this?
fibrin
27
What is the pattern of distribution for this lesion?
focal
28
What is the pattern of distribution for this lesion?
multifocal
29
What is the pattern of distribution for this lesion?
locally extensive
30
What is the pattern of distribution for this lesion?
diffuse
31
What is the pattern of distribution for this lesion?
multifocal to coalescing
32
Describe this lesion:
multifocal areas of ecchymosis and ulceration throughout the small intestinal tract, erythemic large colon, mildly distended cecum
33
What are these?
multifocal areas of red to purple discoloration (hemorrhage) and ulceration of the intestinal mucosa
34
What are these?
purulent exudate; multifocal areas of the mucosa are covered by a tan to yellow, viscous fluid
35
What is the medical term used to describe inflammation in the small intestines?
enteritis
36
Name this lesion.
acute, multifocal, severe, ulcerative, necropurulent enteritis
37
What is an exudate?
fluid, cells, or debris from blood vessels that deposited in or on other tissues
38
What color is exudate commonly?
opaque
39
What should the specific gravity for exudate be?
greater than 1.020
40
How much protein is usually in viscous fluids that contain exudate?
more than 3 grams of protein
41
How many leukocytes are usually in viscous fluids that contain exudate?
1500 leukocytes
42
These intestinal lesions are due to an acute process. What sort of cells and protein would you expect to find in the tissue and in the exudate?
plasma, complement, fibrinogen, and neutrophils
43
What is happening to these gyri?
edema; they are flattened and wider than normal
44
What is happening here?
vascular engorgement and hyperemia
45
What is this?
tan to yellow, viscous fluid within the meninges
46
What is this?
tan to yellow, stringy friable material - fibrin
47
What are the medical terms used to describe inflammation of the meninges and ventricles of the brain?
meningitis and ventriculitis
48
What is the morphological diagnosis for the lesion to the brain?
acute, diffuse, severe cerebral and cerebellar edema with fibrinous ventriculatis
49
What is the morphological diagnosis for the lesion to the meninges?
acute, diffuse, severe fibrinopurulent meningitis
50
Why are the sulci not clearly seen in this case?
because there is fibrinous exudate within the meninges
51
What is the exudate in this case composed of?
fluid, fibrin, other plasma proteins, and some neutrophils
52
The meninges are diffuse bright red with prominent blood vessels. Why do think the meningeal vessels are engorged with blood?
active hyperemia - bacteria ilicit an inflammatory response which lead to vasodilation to increase blood flow to the blood vessels
53
What is the pathogenesis for this lesion?
decreased immunity and increased susceptibility leads to exposure to bacteria which leads to septicemia which leads to hematogenous spread to the meninges which leads to colonization which leads to initiation of the acute inflammatory response which leads to meningitis
54
What is this?
edema
55
What are 4 causes of a lesion like this?
increased microvascular permeability, increased intravascular hydrostatic pressure, decreased intravascular osmotic pressure, decreased lymphatic drainage
56
Explain the lesion for this urethra:
locally extensive area of the urethral lumen contains a tan, friable material admixed with purulent exudate, black to purple discoloration and multifocal ulceration in the urethral mucosa, edema, hemorrhage and hyperemia in the soft tissue
57
Explain the lesion for this urinary bladder:
multifocal hemorrhages on the mucosal surface of the bladder that extends to the serousal surface, multifocal edematous and friable bladder wall, calculi in the bladder
58
What is this?
hemorrhage of the urethral mucosa
59
What is this?
viscous exudate
60
What is this?
hemorrhage with some tan to yellow exudate
61
What term is used to describe inflammation of the bladder?
cystitis
62
What term is used to describe inflammation of the urethra?
urethritis
63
What is the morphological diagnosis for the lesion of the urethra?
acute, locally extensive, severe fibrinonecrotic urethritis
64
What is the morphological diagnosis for the lesion of the bladder?
acute, locally extensive, severe necrohemorrhagic cystitis
65
What is the shaggy, friable, tan material within the lumen of the urethra?
fibrin
66
What type of inflammatory cells do you expect to be in the urethra in this case?
neutrophils
67
What is occuring here?
hemorrhage extending from the cortex to the medulla
68
What is occuring to the renal pelvis here?
it is dilated
69
What is the pleural surface of this lung covered in?
fibrin
70
What is the morphologic diagnosis for this lung?
acute, diffuse, severe fibrinous pleuritis
71
How did this material (fibrin) get to the lung?
endothelial damage allows for large molecular weight plasma protein to leak into the tissues, fibrinogen leaks out of the capillaries and post capillary venules during the fluidic phase of accute inflammation and it polymerizes to fibrin
72
What is the medical term used to describe a pleural space that is filled with fibropurulent fluid?
pyothorax
73
What is this material that is covering the parietal and visceral pericardium?
fibrin
74
What causes this bright red coloration in the visceral pericardium?
hyperemia
75
What is this?
fibrin
76
What is the term used for inflammation of the pericardium?
pericarditis
77
What is the term used for inflammation of the pleura?
pleuritis
78
What is the term used for inflammation of the peritoneum?
peritonitis
79
Provide a morphological diagnosis for this lesion:
diffuse, severe fibrinous pericarditis and pleuritis
80
What is the most likely cause for fibrinous inflammation of serous membranes?
infectious microbes
81
What is polyserositis?
inflammation of multible serousal membranes
82
How would you classify these multifocal areas of reddish discoloration?
hyperemia
83
What is this?
yellow, thick exudate
84
What are terms used to describe inflammation of the synovial membrane?
synovitis
85
What are terms used to describe inflammation of the joint?
arthritis
86
What is this?
purulent exudate
87
Name this lesion.
pyometra
88
What is the morphological diagnosis for this lesion?
acute, diffuse, severe puruent endometritis
89
What type of inflammation is seen in this lesion?
purulent inflammation