Lab 7 Flashcards

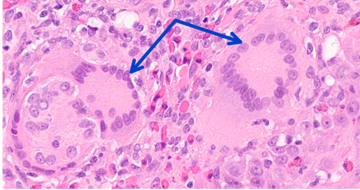
(47 cards)

1
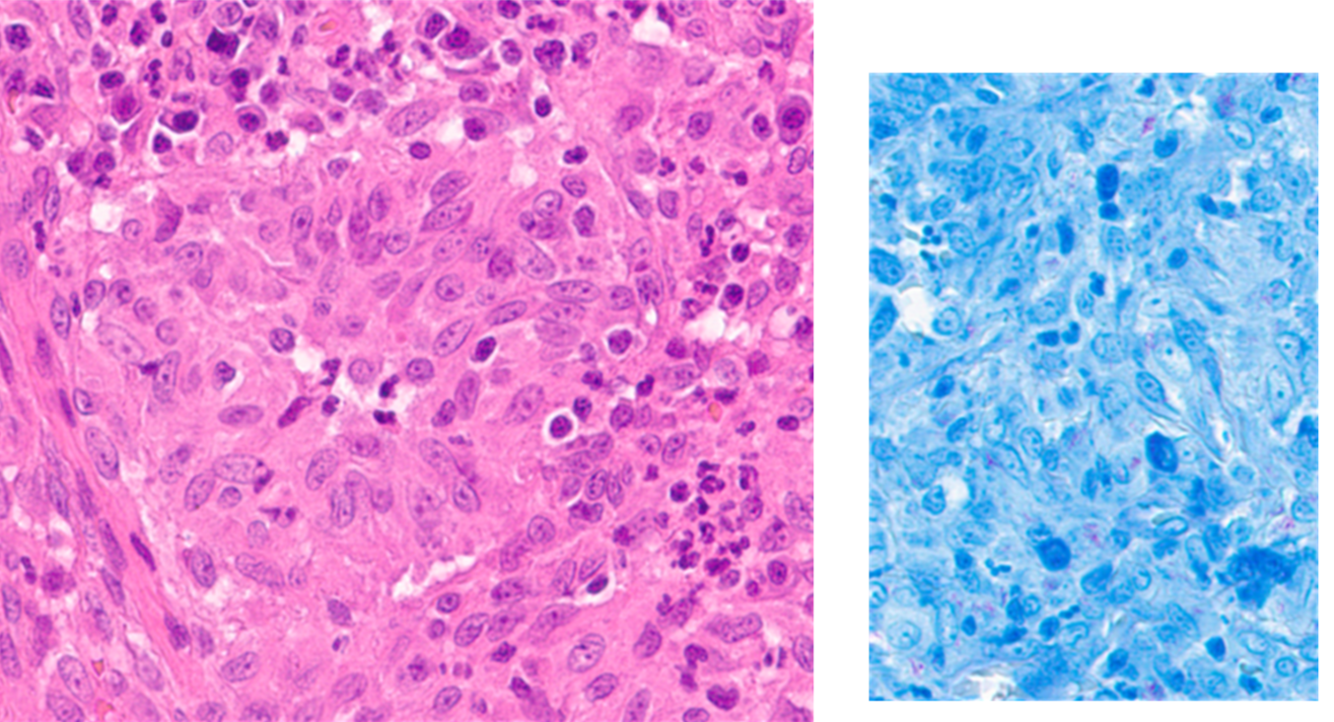
Q

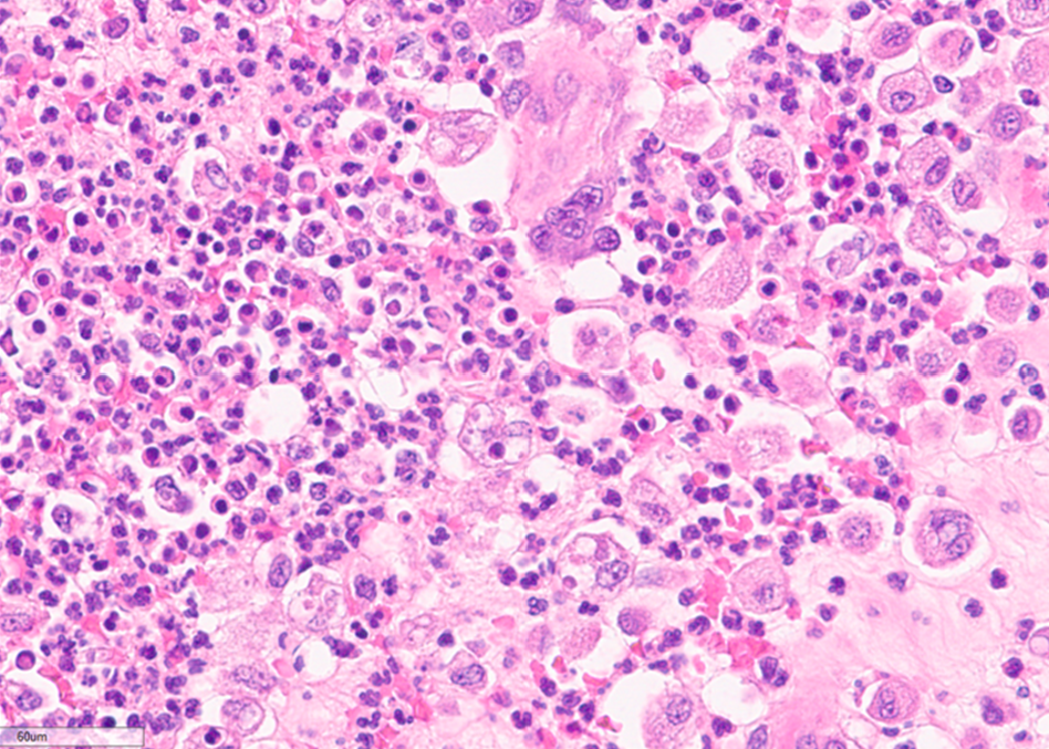
Identify this structure:

A

granuloma

How well did you know this?
1
Not at all
2
3
4
5
Perfectly
2
Q

Identify this structure:

A

fibrous ring

How well did you know this?
1
Not at all
2
3
4
5
Perfectly
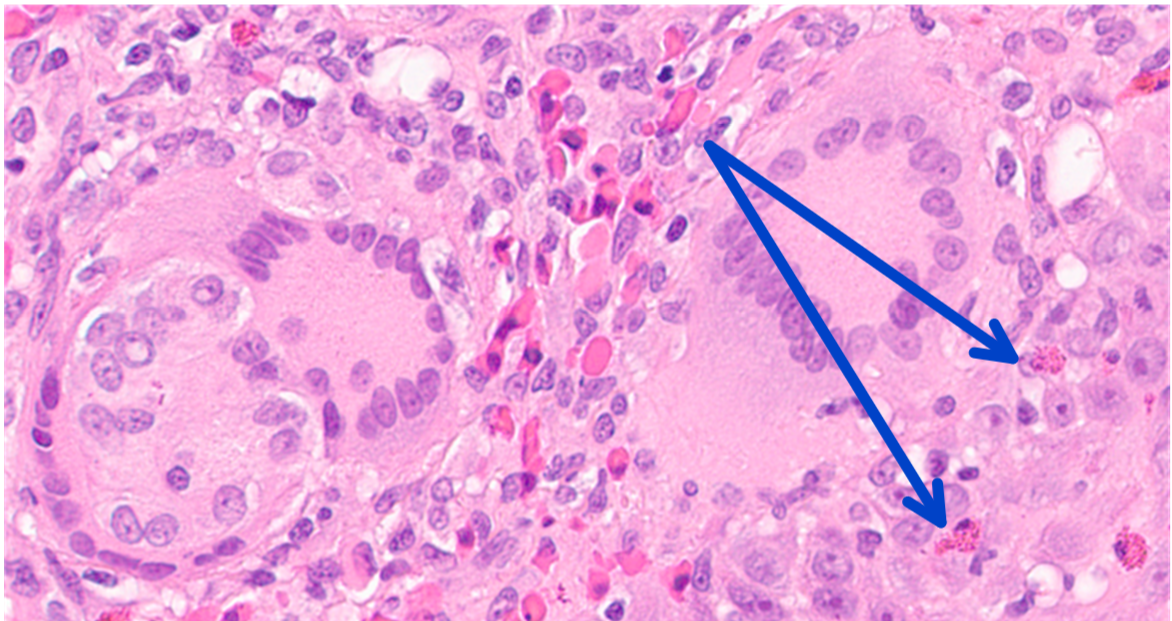
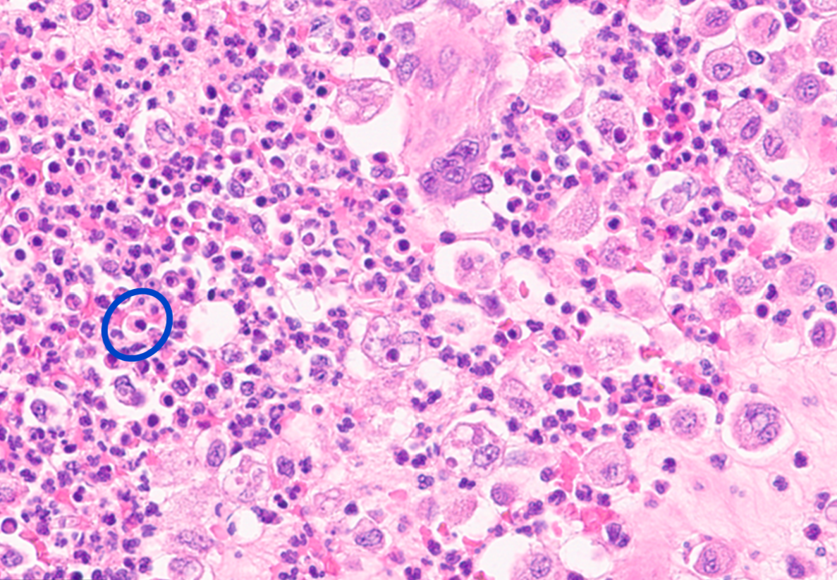
3
Q

Identify this structure:

A

macrophages

How well did you know this?
1
Not at all
2
3
4
5
Perfectly
4
Q

Why do fungal agents cause a granulomatous reaction?

A

fungi have complex call walls that are not easily killed by the killing mechanisms of neutrophils and tend to persist and require macrophages to kill them

How well did you know this?
1
Not at all
2
3
4
5
Perfectly
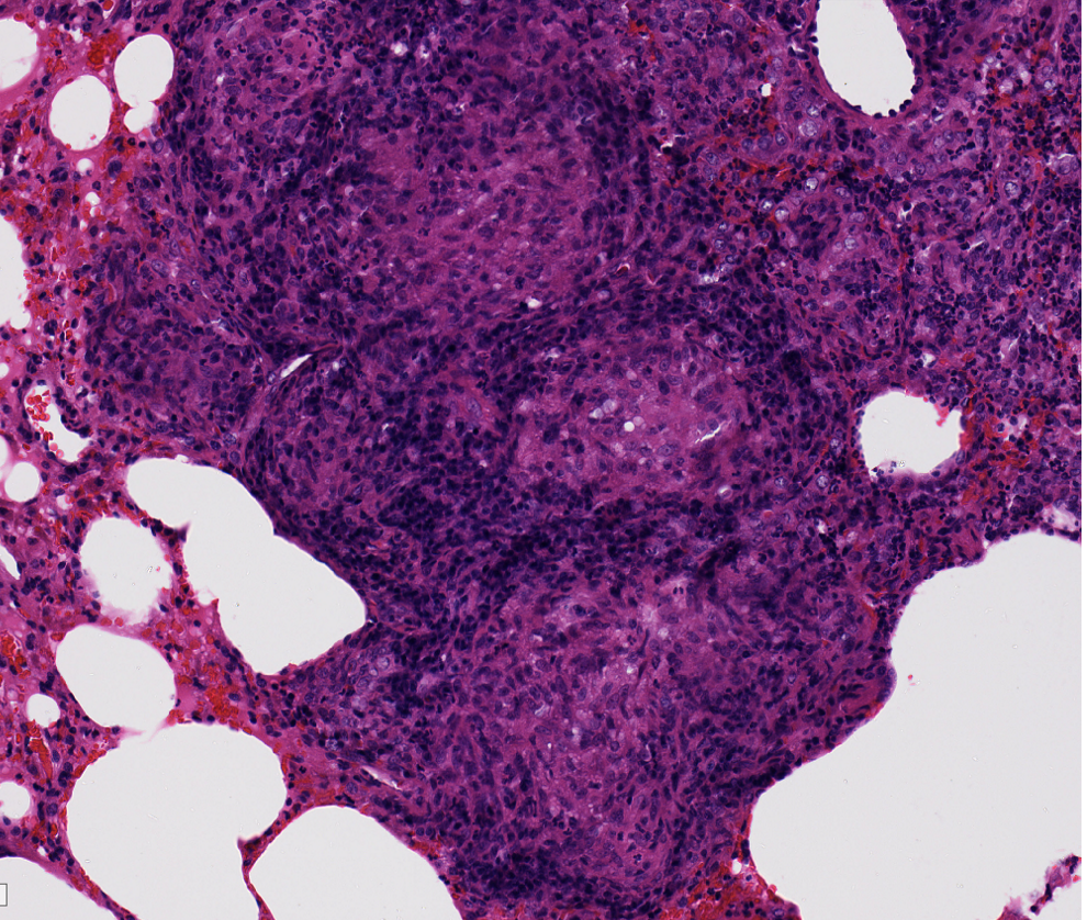
5
Q

What is the histomorphologic diagnosis of this lesion?

A

severe chronic widely disseminated pyogranulomatous pneumonia

How well did you know this?
1
Not at all
2
3
4
5
Perfectly
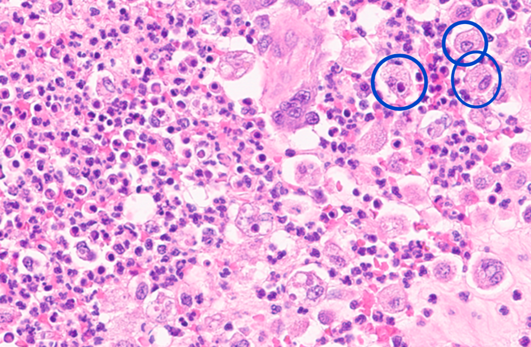
6
Q

Identify this structure:

A

multinucleated giant cells

How well did you know this?
1
Not at all
2
3
4
5
Perfectly
7
Q

Identify this structure:

A

heterophils

How well did you know this?
1
Not at all
2
3
4
5
Perfectly
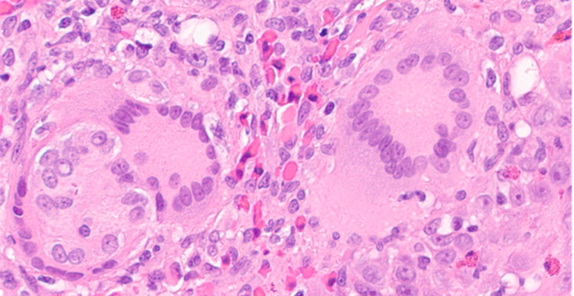
8
Q

What type of inflammation is present in this skin mass from the turtle?

A

heterophilic and granulomatous inflammation

How well did you know this?
1
Not at all
2
3
4
5
Perfectly
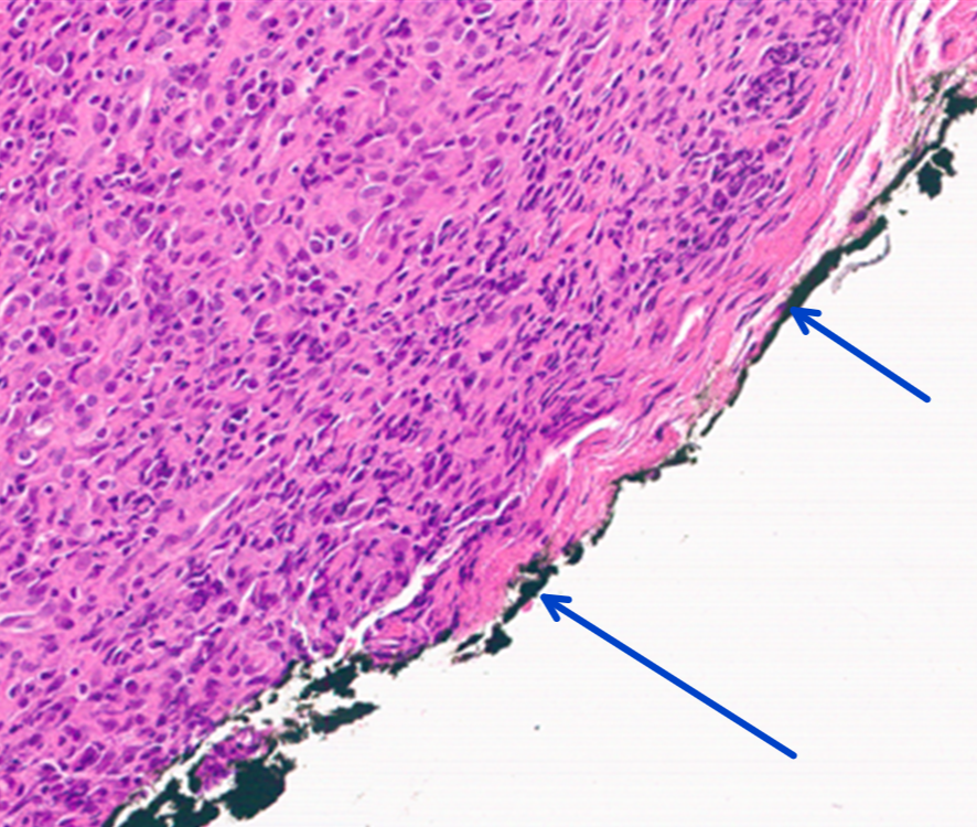
9
Q

What is this dark staining?

A

surgical margins

How well did you know this?
1
Not at all
2
3
4
5
Perfectly
10
Q

This is a skin mass from a Lab. What cell type are present in this lesion?

A

macrophages, neutrophils centrally, lymphocytes and plasma cells peripherally

How well did you know this?
1
Not at all
2
3
4
5
Perfectly
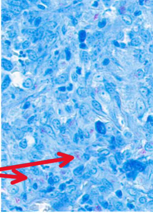
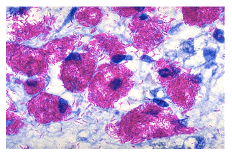
11
Q

Identify this structure:

A

acid-fast bacteria

How well did you know this?
1
Not at all
2
3
4
5
Perfectly
12
Q

Identify this structure:

A

neutrophils

How well did you know this?
1
Not at all
2
3
4
5
Perfectly
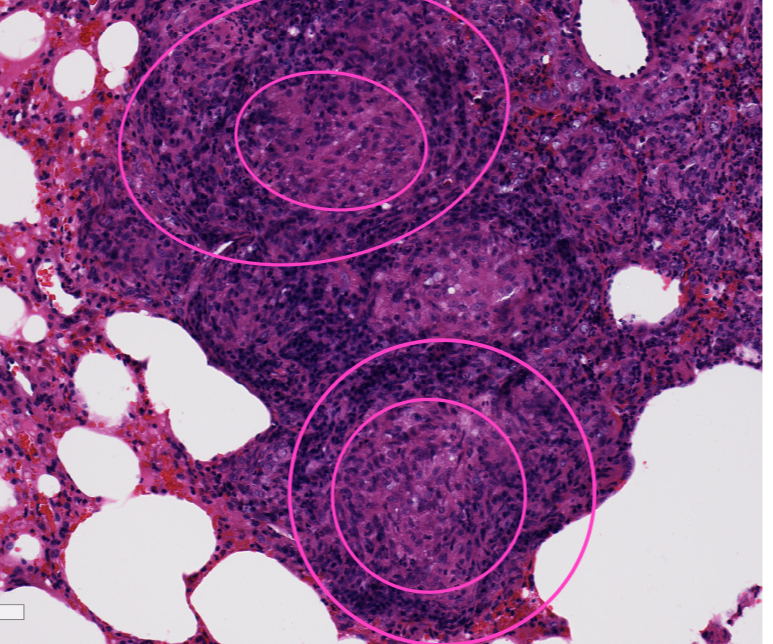
13
Q

This is from a skin mass of a golden.What is the morphological diagnosis for this lesion?

A

granlomatous or pyogranulomatous dermatitis, focal, chronic, with intramacrophagic acid-fast bacteria

How well did you know this?
1
Not at all
2
3
4
5
Perfectly
14
Q

Identify this structure:

A

plasma cell

How well did you know this?
1
Not at all
2
3
4
5
Perfectly
15
Q

Identify this structure:

A

macrophages

How well did you know this?
1
Not at all
2
3
4
5
Perfectly
16
Q

Identify this structure:

A

neutrophils

How well did you know this?
1
Not at all
2
3
4
5
Perfectly
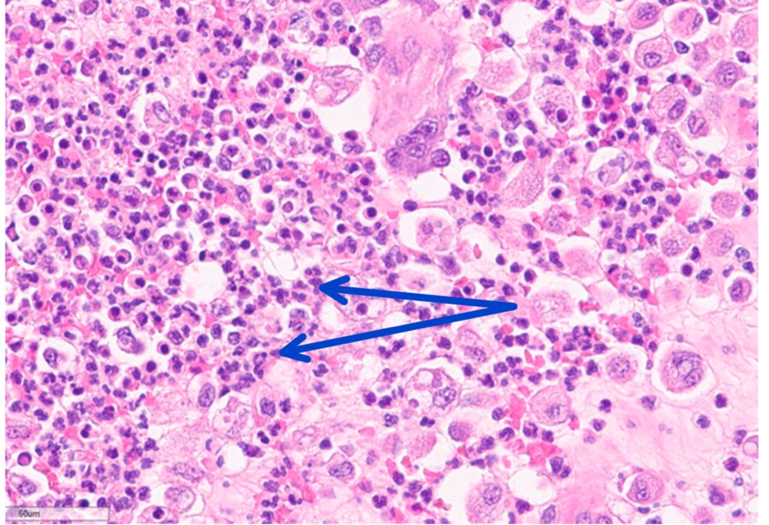
17
Q

Given the population of inflammatory cells here, what type of inflammatory exudate is this?

A

pyogranulonatous, or purulent and histiocytic

How well did you know this?
1
Not at all
2
3
4
5
Perfectly
18
Q

Provide a morphologic diagnosis for this lesion:

A

chronic, diffuse, severe, granulomatous ileitis

How well did you know this?
1
Not at all
2
3
4
5
Perfectly
19
Q

Histologically, what cells are seen in granulomatous inflammation?

A

predominately macrophages and fewer epitheliod macrophages and multinucleated cells

20
Q

What is a diffuse granuloma also known as?

21
Q

Grossly, what do nodular granulomas look like?

A

gray to white, round to oval, firm to hard, and well demarcated

22
Q

Grossly, what do tuberculoid granulomas look like?

A

well delineated, confined distribution, commonly have a fibrous component

23
Q

An acid-fast stain was performed on this slide from the intestine of a cow, what sort of pathogen is seen taking up stain in the slide?

A

acid-fast bacteria specifically M. avium in this lesion

24
Q

What is this?

A

a fibrous tag

25
What are these raised edges?
nodules
26
What is the yellow-ish material?
caseous necrosis
27
Provide a morphologic diagnosis for this lesion:
chronic, severe, bilateral cranioventral bronchopneumonia with multifocal abcesses, caseating granulomas, and extensive fibrous adhesions
28
What about this lesion indicates that it is chronic?
fibrous tags, fibrous connective tissue, caseous necrosis (chronic lesion with macrophages and neutrophils)
29
What is the difference between fibrous tags and fibrin?
fibrin is white to tan, stringy material that is easily peeled off fibrous tags are tough, not easily broken down, and are adherent
30
What are fibrous tags made of?
fibroblasts and collagen fibers
31
What type of granulomatous inflammation is seen in this lesion?
nodular or tuberculoid type granulomatous inflammation
32
What type of material is this?
friable caseous exudate
33
Provide a morphologic diagnosis for this lesion:
chronic, multifocal, pyogranulomatous, caseous lymphadenitis
34
What bacterial organism could cause this lesion in a sheep?
corynebacterium pseudotuberculosis
35
List the events that need occur in order for a lesion to become chronic:
presence of an injurous substance persisting in the tissues, sustained tissue injury, parenchymal cell death with stromal and basement membrane damage, cellular infiltrates change from neutrophils to macrophages or lymphocytes, variable degrees of fibrosis are present
36
Provide a morphologic diagnosis for this lesion:
chronic, focal, proliferative, severe laminitis
37
Is this a chronic or an acute lesion?
chronic
38
What mechanism causes the lamellar wedge in this lesion?
irregular hyperplasia of the epidermal lamellae
39
Provide a morphologic diagnosis for this lesion:
chronic, focal, severe exuberant granulation tissue
40
What is granulation tissue?
a fibrovascular tissue that is produced by the body to fill in spaces or defects
41
How long does it take for granulation tissue to form?
1-2 weeks
42
Provide a morphologic diagnosis for this lesion:
chronic, diffuse, severe, epicarditis and pericarditis
43
At the time of necropsy, there was purulent fluid contained within the pericardial space. What is the significance of the clinical finding of purulent fluid?
the presence of purulent fluid indicates that neutrophils are still being actibely recruited to the site, which means the inciting cause is likely ongoing
44
How are the gross lesions connected to the ventral pitting edema?
. Ventral pitting edema is likely due to progressive right heart failure. Because the right ventricular muscle mass is smaller, the pressure from the pericardial fluid affects the right side of the heart before the left. Decreased output causes expansion of the venous capacitance vessels-increased hydrostatic pressure.
45
What are these?
multifocal tan, firm nodules
46
Provide a morphologic diagnosis for this lesion:
chronic, multifocal, moderate hepatic abcesses
47
What are the potential differentials for the nodules in the liver?
hyperplasia, abcess, neoplasia, granuloma