Lab 5 Flashcards

(77 cards)

1
Q

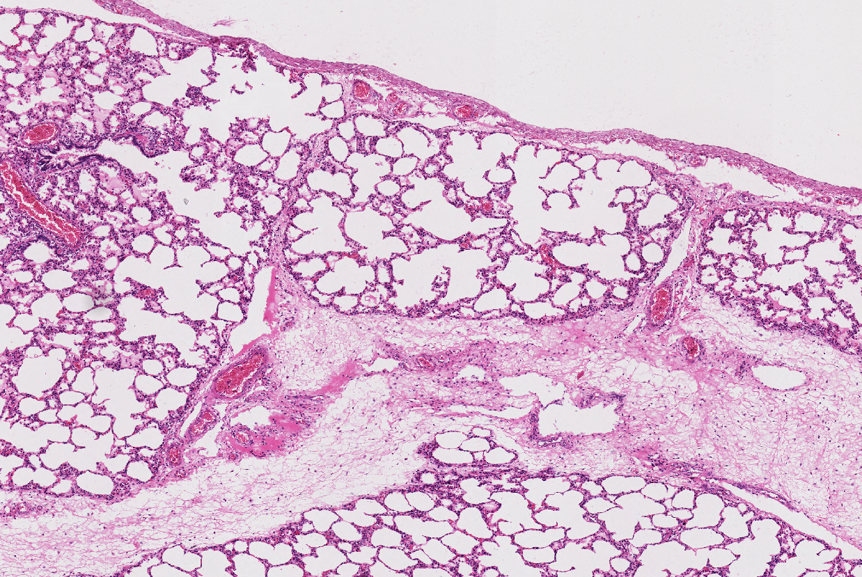
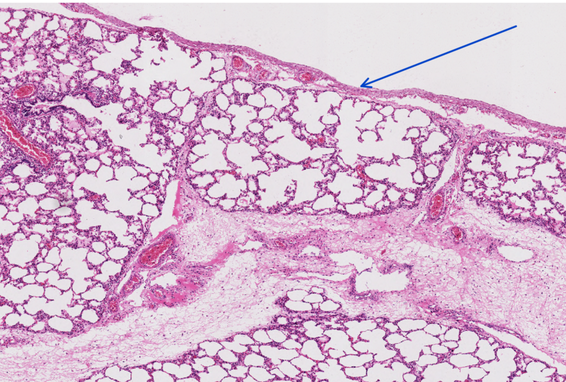
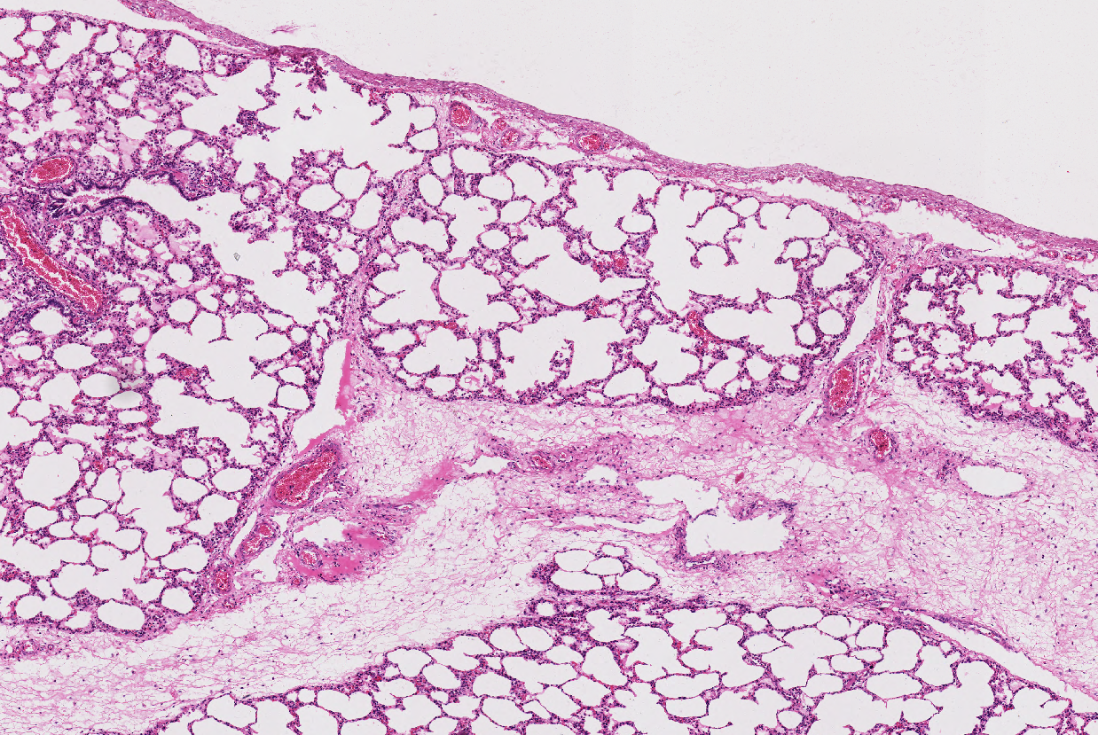
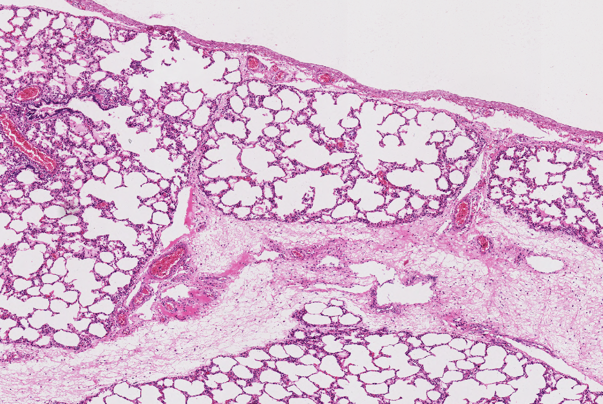
This is a slide from the lung of a pig, what is the pale pink material in alveoli?

A

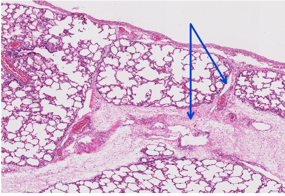
edema fluid with an increase in protein

How well did you know this?
1
Not at all
2
3
4
5
Perfectly
2
Q

This is a slide from the lung of a pig, what are the dilated clear spaces in this picture?

A

lymphatics filled with and expanded by edema

How well did you know this?
1
Not at all
2
3
4
5
Perfectly
3
Q

This is a slide from the lung of a pig, what could cause this lesion?

A

a lesion of the left AV valve, or something wrong with the muscle of the left ventricle

How well did you know this?
1
Not at all
2
3
4
5
Perfectly
4
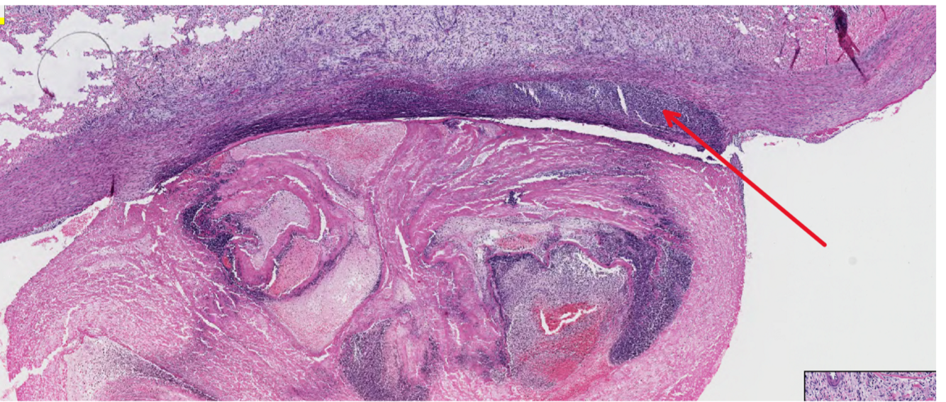
Q

This is a slide from the lung of a pig, what do you think the lung would look like grossly?

A

diffusely dark red with foamy pink material found in the lumen of the bronchi

How well did you know this?
1
Not at all
2
3
4
5
Perfectly
5
Q

This is a slide from the lung of a pig, what would the histomorphologic diagnosis?

A

moderate diffuse pulmonary congestion and edema

How well did you know this?
1
Not at all
2
3
4
5
Perfectly
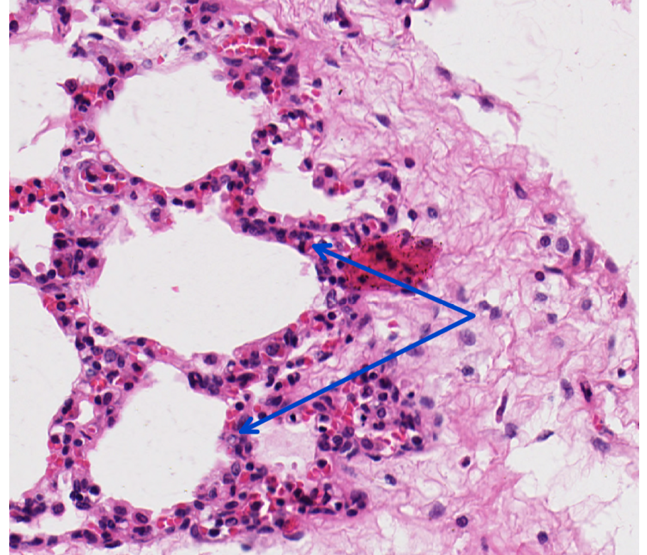
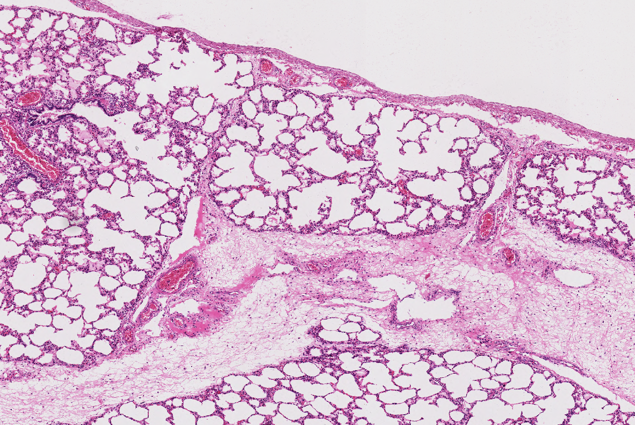
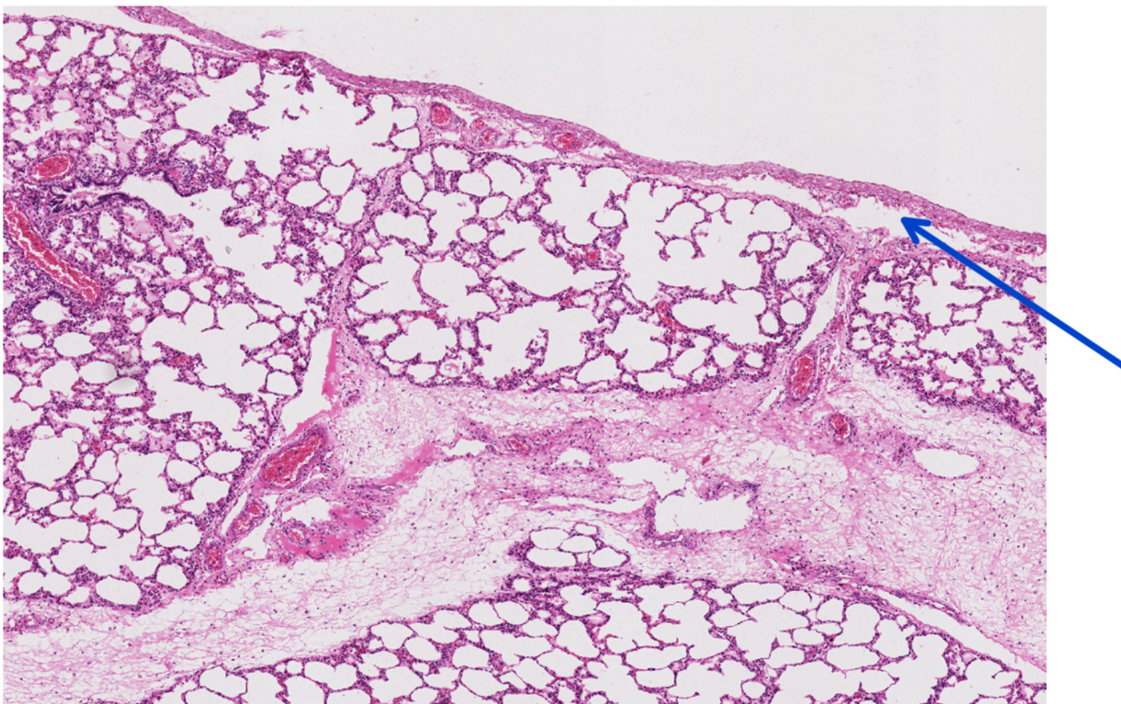
6
Q

This is a slide from a lung, identify this structure:

A

pleura

How well did you know this?
1
Not at all
2
3
4
5
Perfectly
7
Q

This is a slide from a lung, identify this structure:

A

subpleural lymphatics

How well did you know this?
1
Not at all
2
3
4
5
Perfectly
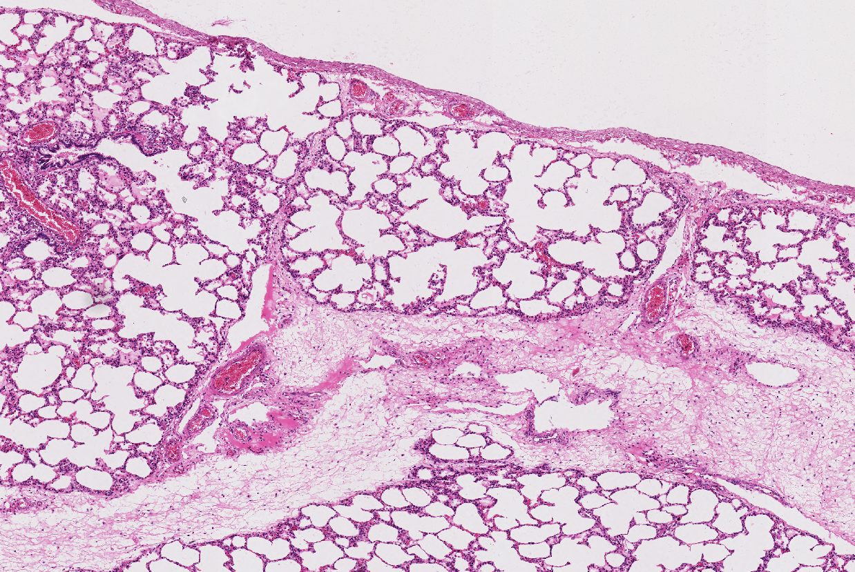
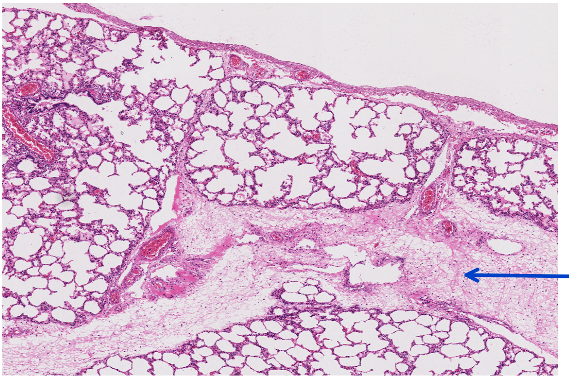
8
Q

This is a slide from a lung, identify this structure:

A

interlobar lymphatics

How well did you know this?
1
Not at all
2
3
4
5
Perfectly
9
Q

This is a slide from a lung, identify this structure:

A

lymphatic with edema

How well did you know this?
1
Not at all
2
3
4
5
Perfectly
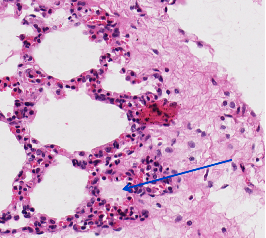
10
Q

This is a slide from a lung, identify this structure:

A

alveolar hyperemia

How well did you know this?
1
Not at all
2
3
4
5
Perfectly
11
Q

This is a slide from a lung, identify this structure:

A

alveolar edema (with increased protein)

How well did you know this?
1
Not at all
2
3
4
5
Perfectly
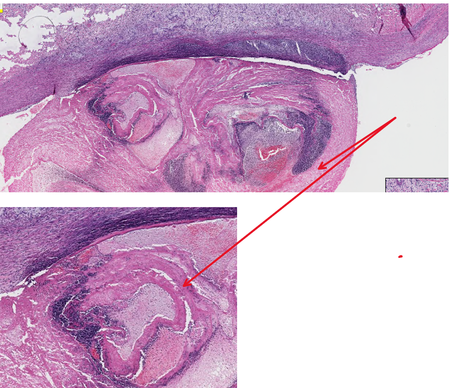
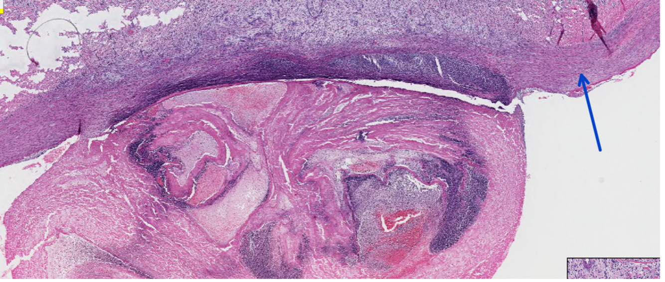
12
Q

This is a slide from a canine artery, dentify this structure:

A

artery wall

How well did you know this?
1
Not at all
2
3
4
5
Perfectly
13
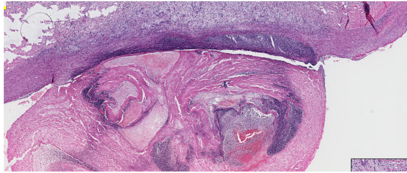
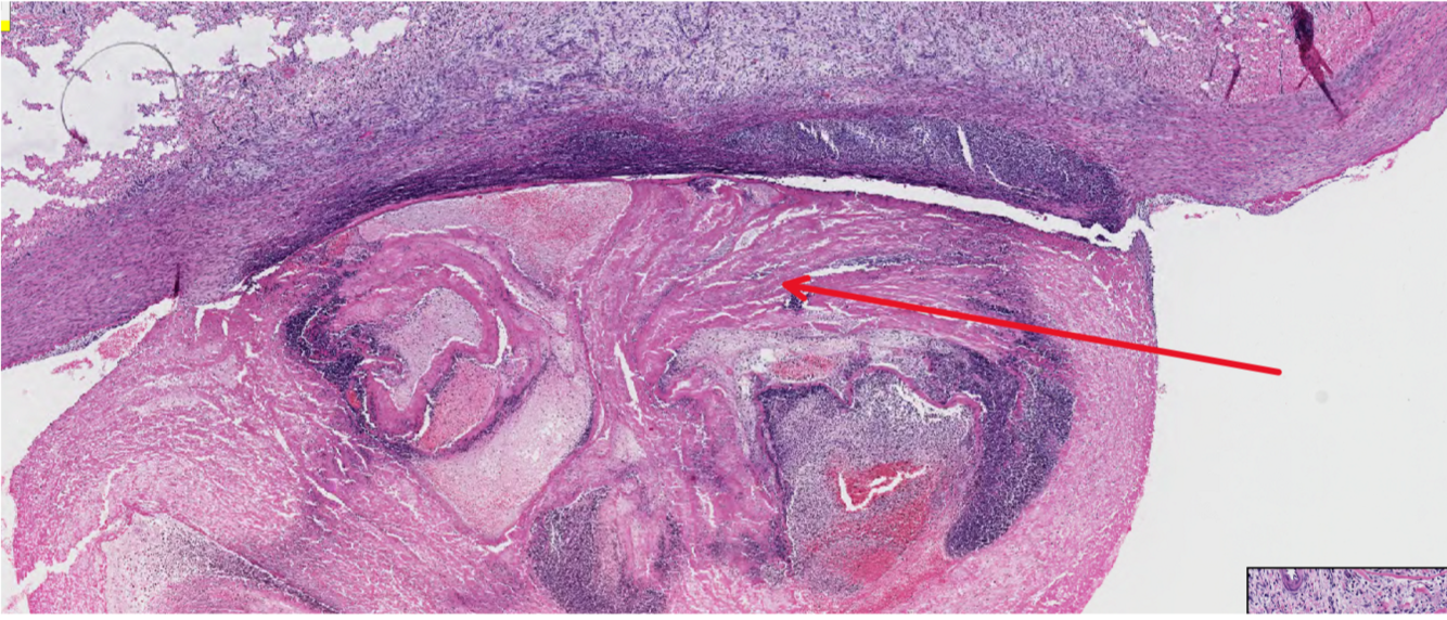
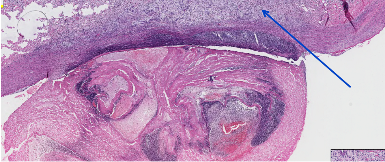
Q

This is a slide from a canine artery, identify this structure:

A

granulation tissue

How well did you know this?
1
Not at all
2
3
4
5
Perfectly
14
Q

How would you name this arterial lesion?

A

arterial thrombus (chronic) with chronic arteritis

How well did you know this?
1
Not at all
2
3
4
5
Perfectly
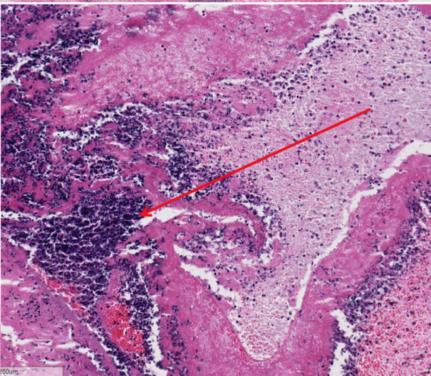
15
Q

Identify this structure:

A

arteritis

How well did you know this?
1
Not at all
2
3
4
5
Perfectly
16
Q

Identify this structure:

A

lines of Zahn

How well did you know this?
1
Not at all
2
3
4
5
Perfectly
17
Q

Identify this structure:

A

fibrin

How well did you know this?
1
Not at all
2
3
4
5
Perfectly
18
Q

Identify this structure:

A

leukocytes from blood

How well did you know this?
1
Not at all
2
3
4
5
Perfectly
19
Q

What is the term for free blood in the tissue?

A

hemorrhage

How well did you know this?
1
Not at all
2
3
4
5
Perfectly
20
Q

When hemorrhage forms swelling, what is it called?

A

a hematoma

How well did you know this?
1
Not at all
2
3
4
5
Perfectly
21
Q

This is a slide from a nasal mass in a horse, what is the term for the intracellular yellow to brown granular pigment?

A

hemosiderin

How well did you know this?
1
Not at all
2
3
4
5
Perfectly
22
Q

This is a slide from a nasal mass in a horse, where does the intracellular yellow to brown granular pigment come from?

A

phagocytosis of free red blood cell sby macrophages resulted in the breakdown of hemoglobin

How well did you know this?
1
Not at all
2
3
4
5
Perfectly
23
Q

This is a slide from a nasal mass in a horse, what is the term for the yellow pigment?

A

local bilirubin

How well did you know this?
1
Not at all
2
3
4
5
Perfectly
24
Q

Identify this structure:

A

nasal epithelium

How well did you know this?
1
Not at all
2
3
4
5
Perfectly
25
Identify this structure:
fibrosis - from granulation tissue
26
Identify this structure:
hemorrhage resulting in a mass
27
Identify this structure:
hemosiderin containing macrophages
28
Identify this structure:
hematoidin
29
Identify this structure:
hemosiderin in macrophages
30
Identify this structure:
stratified squamous epithelium - squamous metaplasia
31
Identify this structure:
hemosiderin
32
Identify this structure:
large irregular plaques and patches
33
Identify this structure:
multifocal round to irregular dark red to purple macules and papules
34
On cut surface, how would you describe this structure?
the dark red to purple discoloration extends through the epidermis and dermis
35
What is the skin lesion in this picture examples of?
infarcts
36
What is an infarct?
a focus of necrosis that results from ischemia or blockage of blood flow
37
What is happening here?
Intussessception
38
Identify this structure:
Orad segment of the intestine
39
Name this lesion:
focal, acute, severe intussusception with venous congestion and infarction
40
What is an intussusception?
An intussusception is a lesion in the intestines that is characterized by proximal segment of the intestine telescoping or inverting into a distal segment of intestine
41
The slowing and stagnation of blood flow results in increased hydrostatic pressure and decreased tissue oxygenation (ischemia). What are two sequelae you would expect?
edema and necrosis would be expected
42
What is located here?
fibrin thrombus
43
Describe the endothelial and intimal surface here.
it is shaggy and colored tan to brown
44
What has happened to the vessel wall here?
it is thickened
45
How would you classify this lesion?
cranial mesenteric arteritis
46
What secondary lesion could have developed in association to arteritis?
the disruption of the vascular wall can lead to thrombus formation
47
What is the clear glistening fluid on cut surface in this picture?
edema
48
Name this lesion:
Acute, locally extensive, subcutaneous edema
49
What 4 mechanisms can account for this lesion?
increased microvascular permeability, increased intravascular hydrostatic pressure, decreased intravascular osmotic pressure, decreased lymphatic drainage
50
Is this lesion consistent with a vaccine reaction?
yes, the release of inflammatory molecules results in vasodilation, endothelial contraction, and increased vascular permeability
51
What would account for the edema in this case?
increased microvascular permeability
52
The lesion is on the cranial right lung lobe and the vessels are twisted around the mainstem, name this lesion:
acute, focal, cranial right lung lobe torsion
53
The color change to dark red or purple in the affected lung lobe is due to increase blood in the tissue. Is this an active or passive process?
passive
54
This is from a lung, Identify this structure:
bronchi
55
This is tissue from a lung, Identify this structure:
pulmonary arterial wall
56
Name this lesion:
acute, focal, severe pulmonary thromboembolus
57
What are the mechanisms for thrombus formation?
endothelial injury, abnormal blood flow, hypercoagulability
58
What is an arterial thrombus composed of?
plateletes and fibrin
59
What is the color that an arterial thrombus typically has?
tan to grey
60
How do arterial thrombi grow?
downstream from their attaachment side resulting in a tail that is not attached to the vessel wall
61
What is a venous thrombus composed of?
large numbers of red blood cells
62
What is the color that a venous thrombous typically has?
dark red
63
How do venous thrombi grow?
upstream of the site of initiation and take form of the vessels they are in
64
What is this zone of dark red?
hemorrhage
65
Name this lesion:
multifocal, acute, severe renal infarction
66
White infarcts are always what?
arterial
67
What color do arterial infarcts turn due to necrotic tissue break down and hemorrhage occuring?
red
68
What does venous obstruction result in?
stagnation of blood flow and reduction or loss of venous return
69
Grossly, what color are venous infarcts normally and why?
red due to back flow and accumulation of blood in the infarcted area
70
What are the three main ways a thrombus can form?
abnormal blood flow, endothelial damage, hypercoagulability
71
What can abnormal blood flow be caused by?
heart worm disease, cardiomyopathies, or cardiac valcular deformities
72
What can cause endothelial damage?
protein losing enteropathies or nephropathis or hyperadrenocortism
73
What can cause hypercoagulability?
bacteria, viruses, fungi, toxins, decreased clotting factors, liver failure, or anything that causes DIC
74
What is shown here?
ecchymotic hemorrhage
75
What is shown here?
subcutaneous hemorrhage
76
What are the 4 main patterns of hemorrhage?
petechiae, ecchymoses, purpura, suffusive (paint brush)
77
What can cause hemorrhage?
endothelium/vessel structure, platelets, coagulation factors