Lab 8 Flashcards

(41 cards)

1
Q

What is the function of granulation tissue?

A

granulation tissue is repair tissue. It serves to fill in defects left by wounds and can also initiate a wall around an irritant that cannot otherwise be eliminated

How well did you know this?
1
Not at all
2
3
4
5
Perfectly
2
Q

What does granulation tissue eventually turn into to produce scarring?

A

fibrous connective tissue

How well did you know this?
1
Not at all
2
3
4
5
Perfectly
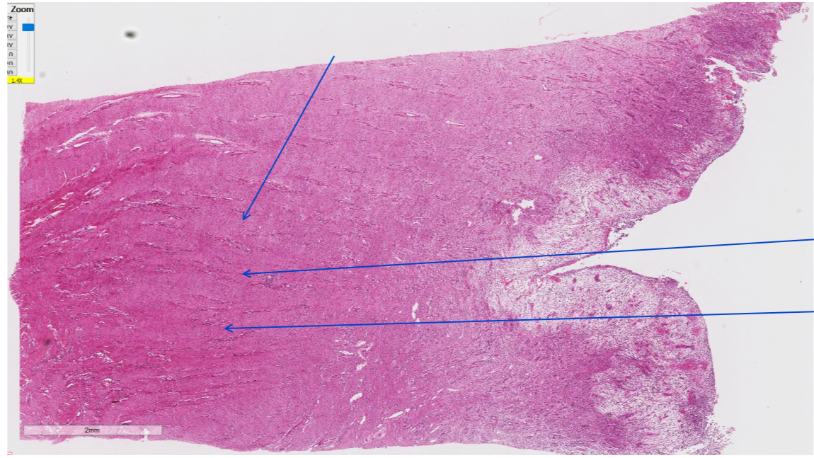
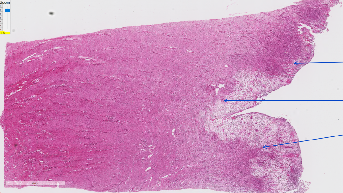
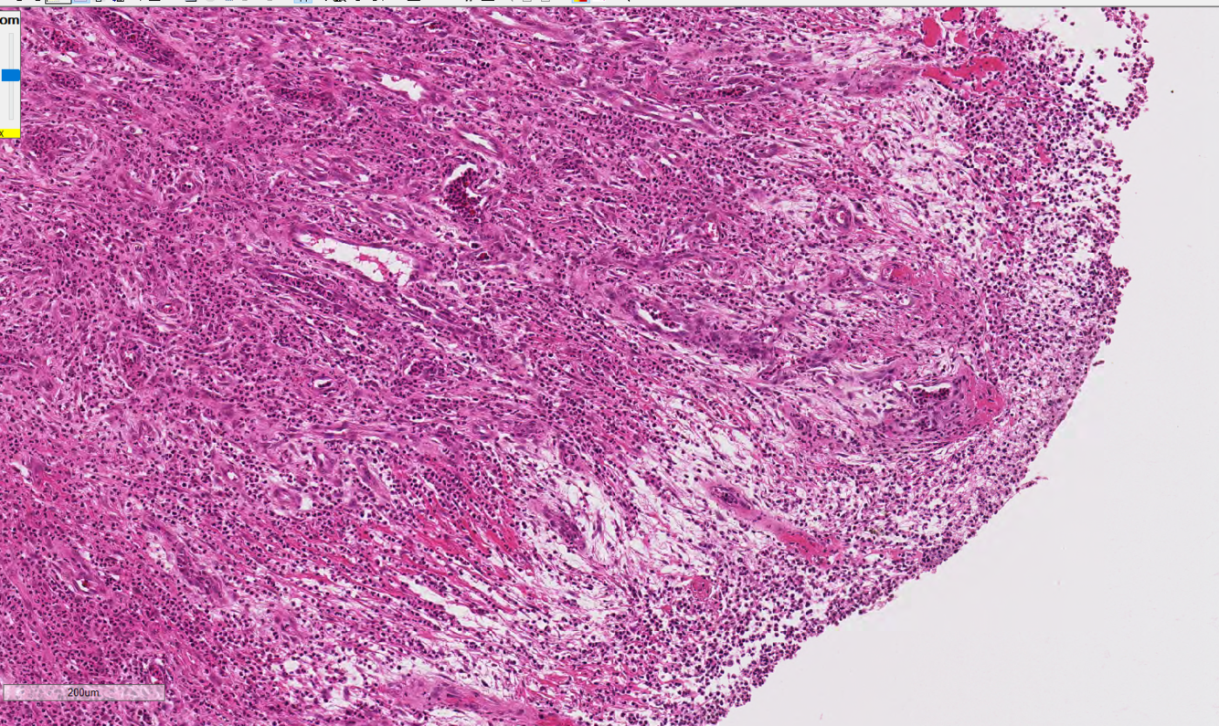
3
Q

This tissue is composed of well vascularized fibrous connected tissue infiltrated with large numbers of nuetrophils and granulation tissue. Provide a histopathologic diagnosis.

A

granulation tissue with acute inflammation at the surface

How well did you know this?
1
Not at all
2
3
4
5
Perfectly
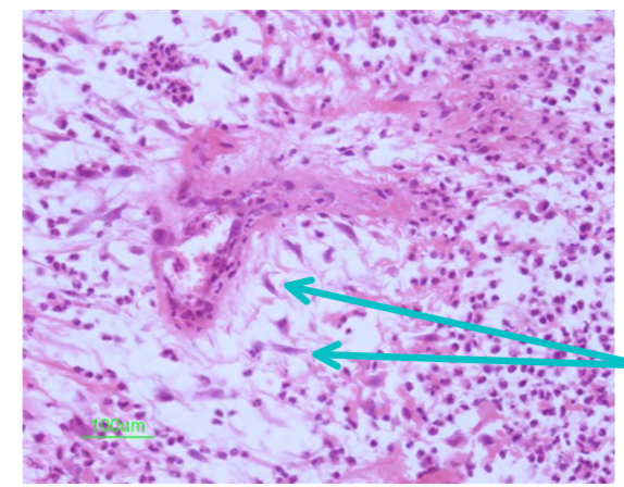
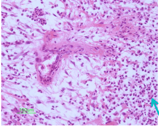
4
Q

What type of tissue is located here?

A

proliferating granulation tissue

How well did you know this?
1
Not at all
2
3
4
5
Perfectly
5
Q

What type of tissue is located here?

A

more mature granulation tissue

How well did you know this?
1
Not at all
2
3
4
5
Perfectly
6
Q

Identify this structure:

A

capillary buds located within granulation tissue

How well did you know this?
1
Not at all
2
3
4
5
Perfectly
7
Q

Identify this structure:

A

loosely arranged fibroblasts

How well did you know this?
1
Not at all
2
3
4
5
Perfectly
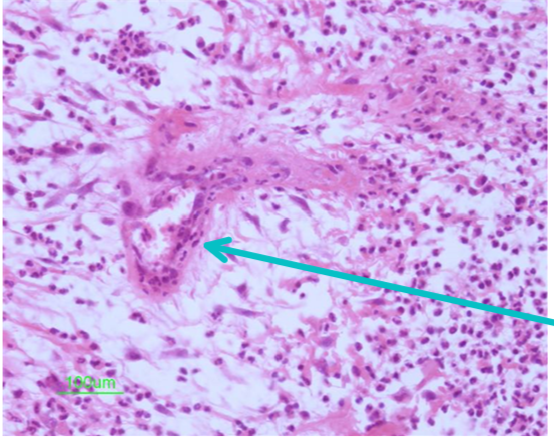
8
Q

Identify this structure:

A

polymorpho nuclear neutrophils (pmns)

How well did you know this?
1
Not at all
2
3
4
5
Perfectly
9
Q

What is a mast cell?

A

a connective tissue cell of bone marrow origin that is typically found adjacent to blood vessels

How well did you know this?
1
Not at all
2
3
4
5
Perfectly
10
Q

What is a mast cell important in?

A

mediating in inflammation because they contain vasoactive amines such as histamine and heparin

How well did you know this?
1
Not at all
2
3
4
5
Perfectly
11
Q

What does metachromasia mean?

A

that a substance stains a different color than the color of the stan

How well did you know this?
1
Not at all
2
3
4
5
Perfectly
12
Q

Describe this lesion.

A

There is a focal, exophytic and friable black mass cranial to the tip of the tail. On cut surface, the mass extends into the underlying musculature. There are multiple smaller, variably- sized and variably shaped masses with similar features located throughout the body (e.g. within liver, kidney, serosa of intestine and mesentery).

How well did you know this?
1
Not at all
2
3
4
5
Perfectly
13
Q

There are secondary sites for this lesion throughout the body, provide a morphological diagnosis for this lesion.

A

Skin: malignant melanoma with distant metastasis

How well did you know this?
1
Not at all
2
3
4
5
Perfectly
14
Q

What is the most likely cell type involved with this neoplasm?

A

melanocyte

How well did you know this?
1
Not at all
2
3
4
5
Perfectly
15
Q

What is the name of the benign version of a neoplasm involving melanocytes?

A

benign melanoma or melanocytoma

How well did you know this?
1
Not at all
2
3
4
5
Perfectly
16
Q

What is the name of the malignant version of a neoplasm involving a melanocyte?

A

malignant melanoma

How well did you know this?
1
Not at all
2
3
4
5
Perfectly
17
Q

Describe this lesion.

A

There is locally extensive, poorly demarcated, firm, mass effacing the proximal tibia and expanding surrounding tissues of the stifle joint. The tibial epiphysis and proximal physis are hemorrhagic, with medullary trabecular lysis and cortical thinning. Thin spicules of bone radiate perpendicularly from the proximal tibial cortex, blending into the firm, fibrous proliferation of tissue around the stifle joint.

18
Q

What is happening to the medulla here?

A

it is lytic and hemorrhagic

19
Q

What is occuring here?

A

speculated boney proliferation extending from the periosteum into the surrounding soft tissue

20
Q

What is occuring here?

A

thinning and lysis of the cortical bone

21
Q

What is the morphological diagnosis of this neoplasm?

A

proximal tibia: neoplastic mass, focal, infiltrative

22
Q

Histologic examination of the lesion shows that the mass is composed of spindles cells (mesenchymal cells) resembling osteoblasts that surround osteoid matrix. The spindle cells have a high mitotic rate are seen invading and replacing normal medulla and cortical bone. Provide a morphologic diagnosis based on this information.

A

proximal tibia: osteosarcoma, primary site

23
Q

Is this lesion normal wound healing (i.e. a fracture callus) or is it a neoplastic process?

A

it is a neoplasm that suggests malignancy due to the infiltrative nature, advanced destruction of normal tissues, and high mitotic rate

24
Q

Describe this lesion.

A

Ribs: There are irregular bony proliferations protruding internally and externally on the following ribs: The majority of the bony protrusions are ventral and near the costochondral junction.

25
What is occuring here?
a cartilaginous cap from the rib mass that is continuous with the cortical bone
26
What is occuring here?
an irregular, smooth boney proliferation located at the costochonral junction
27
Provide a gross morphological diagnosis for this lesion.
Ribs: multifocal, chronic, and boney proliferations
28
Histologic examination showed that the masses are continuous with the cortical bone. They consist of well- organized caps of hyaline cartilage that is undergoing endochondral ossification at the base of the mass. No mitoses or destruction of the cortex/medulla are seen. Provide a histological morphologic diagnosis for this lesion.
multifocal, chronic, osteochondromas
29
Is this lesion benign or a malignant lesion and why?
it is benign known as osteochondromatosis, it is not considered a true neoplasm but is most likely the result of dysplasia
30
Describe this lesion.
Ribs: Focally and midway between the costocondral junction and head of the 9th rib, there is a smooth, firm mass that is attached to the rib. On cut surface, there is a small, thin fracture line transversing the cortex and medulla of the rib. The fracture is bridged on each side by white, firm tissue that is slightly less rigid than the surround normal bone (fracture callus).
31
What is the morphological diagnosis of this neoplasm?
focal, transverse, chronic rib fracture with callus formation
32
What are the possible differentials for this lesion?
fracture callus, osteosarcoma, and chondrosarcoma
33
Describe this lesion.
At the distal end of the left medial lobe there is a firm, round, multi-lobulated mass. On cut surface the mass extends into the parenchyma and is mottled red and tan is slightly friable and contains multiple cysts that vary in size.
34
What are the differentials for a nodular lesion in the liver?
hyperplasia, abcess, neoplasm, and granuloma
35
Describe this lesion.
A firm multi-lobulated light tan to pink mass was present on mid-line, just cranial to and surrounding the pericardial sac and heart. The mass displaces the lung lobes caudodorsally and the trachea dorsally. On cut surface the mass was also light tan to pink.
36
What is this?
a large, pale, multilobulated cranial mediastinal mass that surrounds the pericardium/heart and displaces the trachea and lungs dorsally
37
Provide a gross morphological diagnosis for this lesion.
cranial mediastinal neoplasm
38
Histologic examination revealed sheets of small to intermediate sized round cells that have replaced the normal thymic architecture. The round cells have a high mitotic index and there are multiple areas of necrosis. Provide a morphologic diagnosis.
Thorax: cranial mediastinal lymphocytic neoplasm (likely malignant lymphoma)
39
At the time of necropsy, there was over 150 mL of serosanguinous fluid in the thorax cavity (hydrothorax). Describe how the respiratory distress and hydrothorax developed in this cat?
The lymphoma most likely grew large enough to obstruct lymphatic flow, compressed the trachea, and compressed the heart and lungs. The obstruction of the lymphatic vessels most likely resulted in the hydrothorax
40
Describe this lesion.
Right forelimb, coronary band: On the lateral aspect of the right front coronary band, there was a large, firm, lobulated, raised, mottled dark red to tan, soft tissue mass (consistent with exuberant granulation tissue). On cut surface the mass was solid, mottled dark red to tan, contained areas of mineralization and extended to the dorsal aspect of P3.
41
The histoologic appearance of this mass shows well vascularized fibrous connected tissue infiltrated with large numbers of nuetrophils and granulation tissue. Provide a histopathologic diagnosis.
Right forelimb, coronary band: chronic, focal, severe exuberant granulation tissue (proud flesh)