Lab 11 Flashcards

(45 cards)

1
Q

What are the gross features of calcinosis circumscripta?

A

Pale tan to white colored plaques, papules, or nodules that could be ulcerated (not in this case) and alopecic. On cut surface, there is a multilobulated mass that is composed of tan to white, firm, and gritty material.

How well did you know this?
1
Not at all
2
3
4
5
Perfectly
2
Q

What is the prognosis for this dog? Will surgical excision of the mass be curative?

A

The prognosis is very good, surgical excision of the mass can be curative

How well did you know this?
1
Not at all
2
3
4
5
Perfectly
3
Q

Is the mineral in this case the result of dystrophic or metastatic mineralization?

A

dystrophiic

How well did you know this?
1
Not at all
2
3
4
5
Perfectly
4
Q

What is a malignant melanoma?

A

a neoplasm composed of melanocytes

How well did you know this?
1
Not at all
2
3
4
5
Perfectly
5
Q

What is a benign melanocyte tumor called?

A

melanocytoma

How well did you know this?
1
Not at all
2
3
4
5
Perfectly
6
Q

What are the gross features of a melanoma?

A

melanomas are normally dark black to brown, raised, papular to nodular lesions that are contained in the dermis and epidermis. Some melanomas are pedunculated or papillomatous in shape

How well did you know this?
1
Not at all
2
3
4
5
Perfectly
7
Q

What is the biologic behavior of malignant melanoma?

A

they are locally invasive neoplasms that can metastasize to distinct locations

How well did you know this?
1
Not at all
2
3
4
5
Perfectly
8
Q

Will surgical excision of this mass be curative?

A

unlikely, there is a chance that the neoplasm could reoccur at the surgical site or there is a risk of potential metastasis to the regional lymph nodes

How well did you know this?
1
Not at all
2
3
4
5
Perfectly
9
Q

What are the gross features of a subcutaneous lipoma?

A

limpoma grossly appear as single to multiple, freely movable, well-circumscribed, dome-shaped to multilobulated, soft to firm, subcutaneous masses

How well did you know this?
1
Not at all
2
3
4
5
Perfectly
10
Q

Will surgical excision of this mass be curative?

A

yes

How well did you know this?
1
Not at all
2
3
4
5
Perfectly
11
Q

What is a hamartoma?

A

a non-neoplastic, tumor-like lesion that are characterized by excessive disorganized mature tissue that is in the appropriate native location

How well did you know this?
1
Not at all
2
3
4
5
Perfectly
12
Q

What are the gross features of this follicular hamartoma?

A

Follicular hamartomas present as plaques or nodules that have thick, brush like hairs protruding from the both the epidermal surface and into the dermis. The epidermis and dermis are usually thickened.

How well did you know this?
1
Not at all
2
3
4
5
Perfectly
13
Q

What is the prognosis for this dog? Will surgical excision of the mass be curative?

A

The prognosis is good for this patient. Follicular hamartomas are benign lesions and surgical removal is considered curative.

How well did you know this?
1
Not at all
2
3
4
5
Perfectly
14
Q

Describe this lesion.

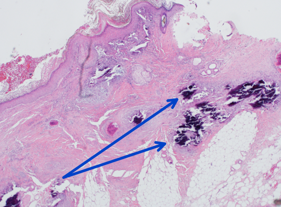
A

there are multifocal, white to tan, firm plaques within the epidermis/dermis on the dorsal aspect of the neck. On cut surface the plaques are firm and gritty. The plaques are diffusely pale in color

How well did you know this?
1
Not at all
2
3
4
5
Perfectly
15
Q

Provide a morphological diagnosis for this lesion.

A

Skin: chronic, multifocal to coalescing, dermal calcificaiton

How well did you know this?
1
Not at all
2
3
4
5
Perfectly
16
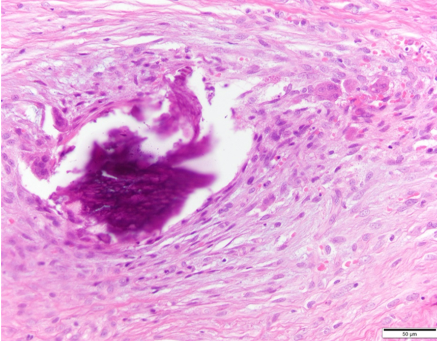
Q

What is this basophilic material?

A

mineral

How well did you know this?
1
Not at all
2
3
4
5
Perfectly
17
Q

A large number of macrophages, epithelioid macrophages, and multinucleated giant cells surround the foci. What would be a good morphologic diagnosis considering the inflammation?

A

chronic granulomatous dermatitis with dystrophic mineralization

How well did you know this?
1
Not at all
2
3
4
5
Perfectly
18
Q

How does chronic use of prednisone in this patient relate to the gross findings?

A

Chronic administration of prednisone can cause iatrogenic Cushing’s (hyperadrenocortisim) disease. Hyperadrenocortism can cause dermal atrophy/ thinning and mineralization.

How well did you know this?
1
Not at all
2
3
4
5
Perfectly
19
Q

Will this lesion resolve after discontinuing the prednisone treatment?

A

The lesions can resolve if the prednisone is stopped. It could take a while for the mineral to be reabsorbed. The mineral might never be removed if there is extensive dermal fibrosis.

20
Q

Describe this lesion.

A

bilaterally, there are 12x12x10 areas on the ventral trunk that lack hair (alopecia), on cut surface, the skin subjectibely feels and appears thin

21
Q

Provide a morphological diagnosis for this lesion.

A

Skin: chronic, bilaterally symmetric, alopecia

22
Q

Histology reveals that the epidermis is only one cell layer thick. Is this too thick or too thin? What do you call the change seen in the histology slide?

A

the skin is too thin - epidermal atrophy

23
Q

What are some differentials for this lesion?

A

hypothyroidism, hyperadrenocortism, hyperestrogenemia, hypersomatotropism, alopecia, and seasonal flank alopecia

24
Q

Describe this lesion.

A

multifocal to coalescing areas of the skin contain thick, friable, tan crusts that enmesh and mat the hair coat. When the crusts are removed, there is a mild amount of a thick, yellow exudate and multifocal uclceration. On cut surface the epidermis and dermis appear subjectively thickened

25
Provide a morphological diagnosis for this lesion.
Skin: chronic, multifocal to coalescing, hyperkeratoic and proliferative, dermatitis with crusting and alopecia
26
Histology reveals acanthosis, hyperkeratosis, serocellular debris, and neutrophils admixed with numerous colonies of chaining bacteria. The histology is consistent with a disease known as rain rot. What is the causative agent of rain rot?
gram positive bacteria called dermatophilus congolenis - found in the soil and can cause disease in horses, cattle, and sheep
27
What is the portal entry for this infectious agent and what factors might predispose a horse to this disease?
The portal of entry is direct introduction of the bacteria into the epidermis. The bacteria can be introduced to the skin via skin trauma, ecotparasites, or prolong wetting.
28
Describe this lesion.
the left atrioventricular valve is circumferentially covered by a large, multilobulated or vegetative, friable tan mass. The mass protrudes into the lumen of the left atrium and is firmly attached to the valve surface
29
Provide a morphological diagnosis for this lesion.
heart, left atrioventricular valve: chronic, focal to locally extensive, vegetative vulvular endocarditis
30
The mass extending from the left atrioventricular valve and endocardium is composed of fibrin, inflammatory cells, and bacterial colonies. What is a term that can be used to describe this lesion?
bacterial vegetative endocarditis
31
What is this?
granulation tissue at the base of the mass
32
Is this lesion considered acute or chronic?
chronic due to the fibrosis and granulation tissue
33
How does this lesion affect blood flow?
It interferes with valve closure and causes turbulence, this can lead to left sided heart failure and pulmonary edema. This lesion can also expose the heart to the coagulation cascade and formation of thrombi
34
Name two secondary lesions that can occur as a result of this heart lesion.
pulmonary adema due to left-sided heart failire and bacterial thromboemboli which can cause infarction in other tissues
35
The pathogenesis for this lesion are not known. However, what are two factors that would predispose this animal to this lesion?
Factor 1 is the animal has to have some sort of intracardiac defect or trauma that results in damage to the endothelial surface of the valve. Factor 2 is that the animal has a preexisting infection in extracardiac tissue
36
Describe this lesion.
the left and right atrioventricular valves contain multiple smooth, firm, tan to yellow nodules which markedly deform leaflet morphology
37
Provide a morphological diagnosis for this lesion.
Heart, left and right atrioventricular valves: chronic, moderate to severe, endocardiosis
38
How does this lesion affect blood flow?
inadequate closure of the valve leaflets during systole, valvular regurgitation or backflow, eventually eccentric hypertrophy. Other possible issues: left-sided heart failure and pulmonary edema, right-sided heart failure and ascites, hepatic congestion, and subcutaneous edema, and finally thrombus formation
39
How does the respiratory distress in this case relate to the heart lesion?
left-sided heart failure from this lesion can lead to pulmonary edema which explains the respiratory distress
40
Describe this lesion.
multifocally round to irregular, grey, patches of thickened, alopecic skin with crust around the ears, eyes, and ventral portion of the neck
41
There are clear lines running along the cortex of the hair shaft. These lines are fungal structures. What are those structures called?
fungal hyphae
42
Large number of neutrophils and macrophages are seen within the lumen of the hair follicles and within the dermis. What is inflammation of the hair follicle called?
folliculitis
43
Numerous small basophilic fungal structures surround or are within the medullary cavity of the hair shaft. What are these fungal organisms called?
fungal arthrospores
44
Numerous hair shafts are no longer contained within the hair follicle and are now freely located within the dermis. The free hair shafts are causing severe pyogranulomatous inflammation. What term can be used to describe this lesion?
furunculosis
45
Given the histologic findings and the presence of a fungal organism, what is the most likely differential in this case?
dermatophytosis - ring worm