Lab 9 Flashcards

(46 cards)

1
Q

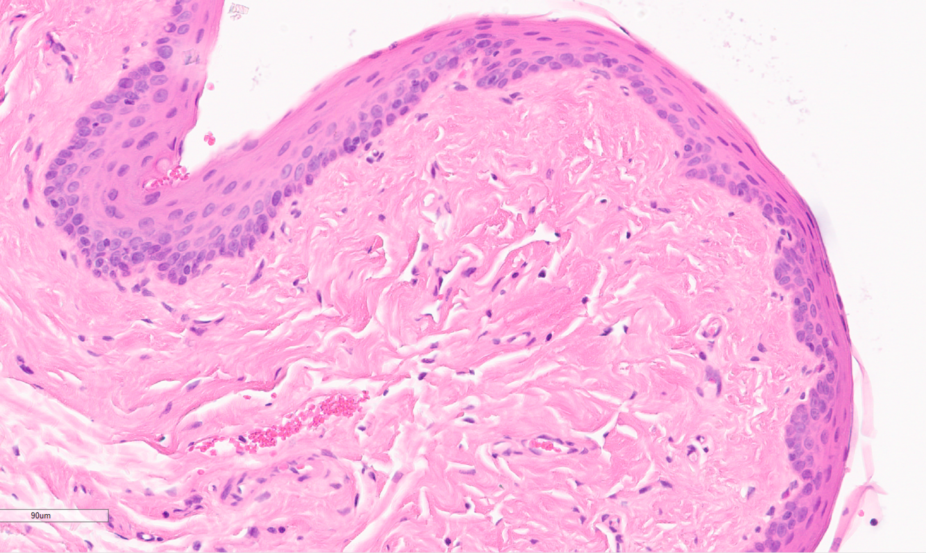
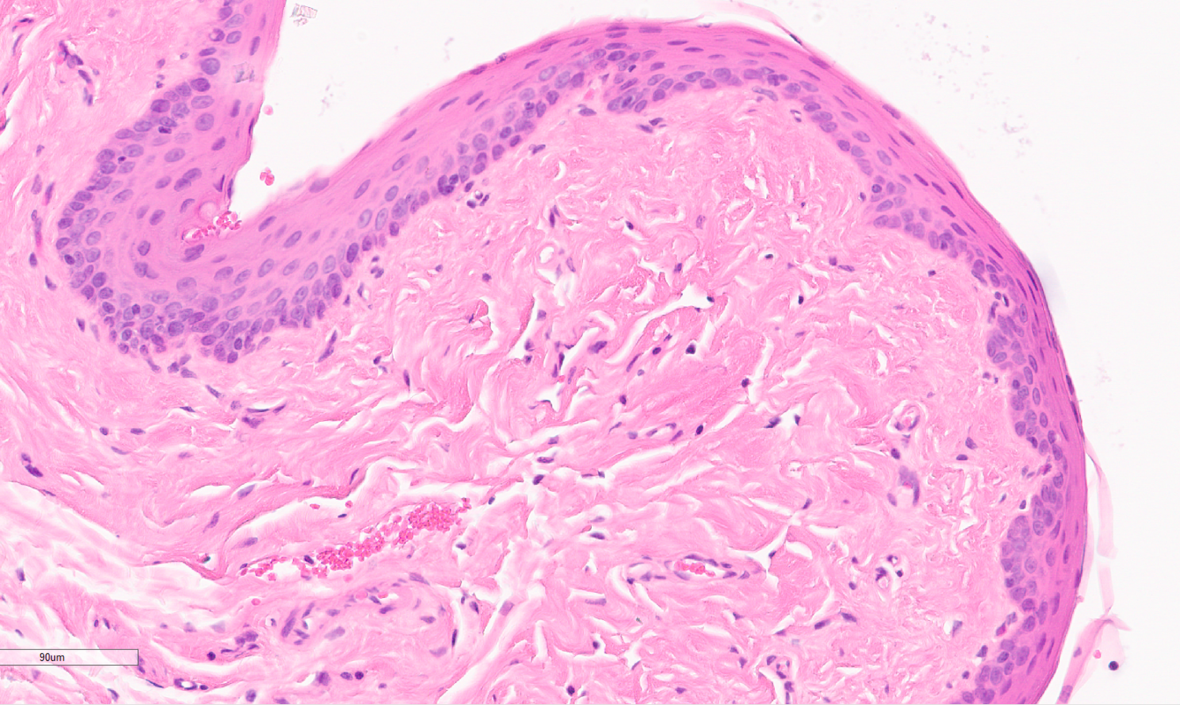
Identify this structure:

A

Viral papilloma

How well did you know this?
1
Not at all
2
3
4
5
Perfectly
2
Q

This is from the skin of the left elbow, provide a morphological diagnosis for this mass.

A

skin mass, left elbow: viral papilloma, exophytic

How well did you know this?
1
Not at all
2
3
4
5
Perfectly
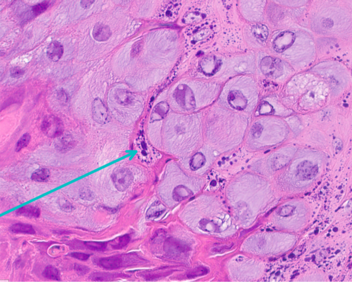
3
Q

Identify this structure:

A

keratin pearl

How well did you know this?
1
Not at all
2
3
4
5
Perfectly
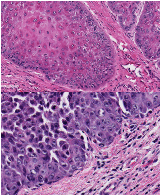
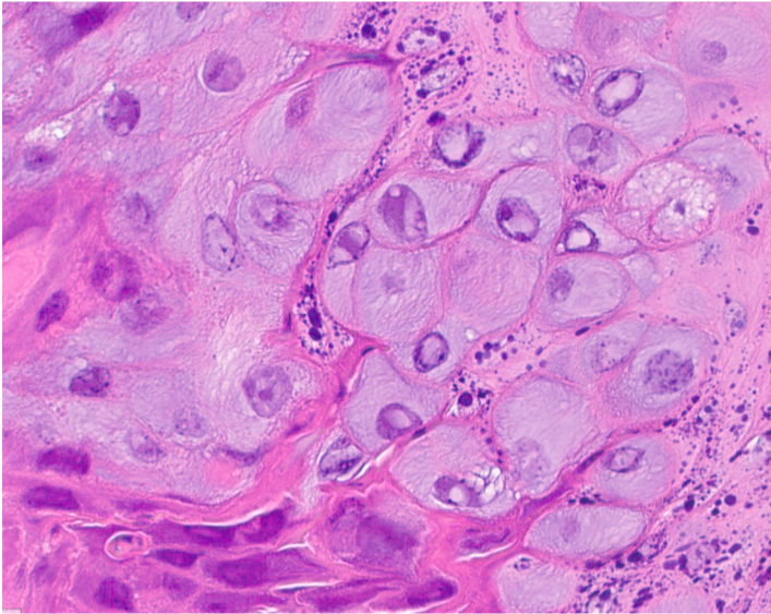
4
Q

This is from the eyelid and ocular bone, provide a histologic morphologic diagnosis. (Note: there is metastasis to the lung)

A

ocular squamous cell carcinoma with local bone invasion and pulmonary metastasis

How well did you know this?
1
Not at all
2
3
4
5
Perfectly
5
Q

Trace the probable route of metastasis from the primary site in the eye to the secondary metastatic sites in the lung.

A

Lymphatic invasion is likely, which would mean invasion by single or clumps of neoplastic squamous cells into the lymphatic vessels within and surrounding the eye. Arrest of these cells in local lymph nodes and regional chains (parotid, retropharyngeal, cervical chain) and progressive movement with the lymph flow to empty into the right lymphatic duct, the thoracic duct, or directly into the vena cava near the thoracic inlet. The neoplastic cells then become blood borne and flow through the cranial vena cava, right atrium, right ventricle, pulmonary arteries and lodge in the small pulmonary arteries and capillaries where clusters of cells may take hold and set up secondary sites.

How well did you know this?
1
Not at all
2
3
4
5
Perfectly
6
Q

Which tissue layers are affected by the neoplasm?

A

mucosal surface, muscle layers, and submucosa

How well did you know this?
1
Not at all
2
3
4
5
Perfectly
7
Q

Is the cell of origin a round cell, epithelial, or mesenchymal population?

A

epithelial - formation of cords, nests by cohesive groups of polygonal cells

How well did you know this?
1
Not at all
2
3
4
5
Perfectly
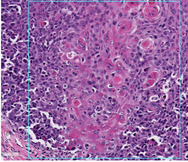
8
Q

This is from a feline larynx, is this benign or malignant and why?

A

malignant, the presence of neoplastic clusters within the blood vessels, severe stromal invasion, lack of differentiation, increased mitotic rate, cellular variability

How well did you know this?
1
Not at all
2
3
4
5
Perfectly
9
Q

Describe this lesion to the lungs.

A

Lungs: Multifocal, small, raised, pale tan to white cavitated masses are scattered diffusely over the surface of all lung lobes. Masses range in size from 1 mm to 5 mm in diameter. On cut surface, the masses pale in color, firm, and extended into the lung parenchyma.

How well did you know this?
1
Not at all
2
3
4
5
Perfectly
10
Q

What are these?

A

multifocal, white, raised, cavitated pulmonary masses

How well did you know this?
1
Not at all
2
3
4
5
Perfectly
11
Q

What is happening here?

A

focal, white to tan mass located on the right medial liver lobe

How well did you know this?
1
Not at all
2
3
4
5
Perfectly
12
Q

Describe what is happening on cut surface.

A

the mass penetrates into the liver parenchyma

How well did you know this?
1
Not at all
2
3
4
5
Perfectly
13
Q

Describe this lesion to the liver.

A

Focally, a circular, white to yellow, firm mass is present in the right medial liver lobe. Smaller, white to yellow nodules surrounded the larger mass. On cut surface, the mass is cream colored, smooth, and extended almost all the way through the liver lobe.

How well did you know this?
1
Not at all
2
3
4
5
Perfectly
14
Q

Provide a morphological diagnosis for the lungs.

A

multifocal, chronic pulmonary masses

How well did you know this?
1
Not at all
2
3
4
5
Perfectly
15
Q

Provide a morphological diagnosis for the liver.

A

multifocal, chronic hepatic masses

How well did you know this?
1
Not at all
2
3
4
5
Perfectly
16
Q

Histologic examination of the hepatic and pulmonary the masses reveals similar findings. Histology shows polygonal (epithelial origin) neoplastic cells arranged in various sized tubules and acini that are somewhat similar to bile duct. There is a high mitotic rate and evidence of neoplastic invasion into blood and lymphatic vessels. If this tumor originated in the liver, what is the main differential for an epithelial tumor originating from the liver that has characteristics of bile ducts?

A

primary cholangiocarcinoma of the liver with secondary metastasis to the lung

How well did you know this?
1
Not at all
2
3
4
5
Perfectly
17
Q

Describe this lesion.

A

Skin and right cranial mammary gland: An ulcerate mass located within the skin associated with the right cranial mammary gland. The mass is firmly adhered to the overlying skin and underlying mammary gland. On cut surface, the mass is mottled pink to tan and has multiple small cavitations and central necrosis.

How well did you know this?
1
Not at all
2
3
4
5
Perfectly
18
Q

Describe this lesion.

A

Lungs: Multifocal firm white nodules that are seen on the surface of all lung lobes. On cut surface, the masses are white and extending into the lung parenchyma.

How well did you know this?
1
Not at all
2
3
4
5
Perfectly
19
Q

Provide a morphological diagnosis for the skin and mammary gland.

A

Skin and mammary gland: chronic focal mammary gland masss with locally extensive ulcerative dermatitis

20
Q

Provide a morphological diagnosis for the lungs.

A

chornic, multifocal pulmonary nodules

21
Q

Histologic examination of the mammary mass and the lungs are similar. Histology reveals lobules and nests of neoplastic epithelial cells with a high mitotic index and marked anisocytosis and anisokaryosis. There are numerous areas of necrosis throughout the mass with heavy infiltrates of neutrophils. What would be a good differential for this neoplasm in the mammary gland? What is the biologic behavior of your differential?

A

the nest a lobules of neoplastic epithelial cells with a high mitotic index and marked anisocytosis and anisokaryosis are consistent with mammary gland carcinoma

22
Q

Histology shows that neoplasm in the mammary gland is the same as the neoplasms found in the lungs. Assuming the neoplasm originated in the mammary gland, propose a pathogenesis for how the neoplasm made its way to the lungs.

A

Original transformed mammary epithelial cells to cellular division, growth, angiogenesis, and formation of a mass to Metastatic cells invade and break through the basement membrane to migration of metastatic cells to veins to invasion or intravasation into a vein to metastatic cells embolus to neoplastic embolus wedges in smaller vessel to extravasion and colonization of a new tissue/organ

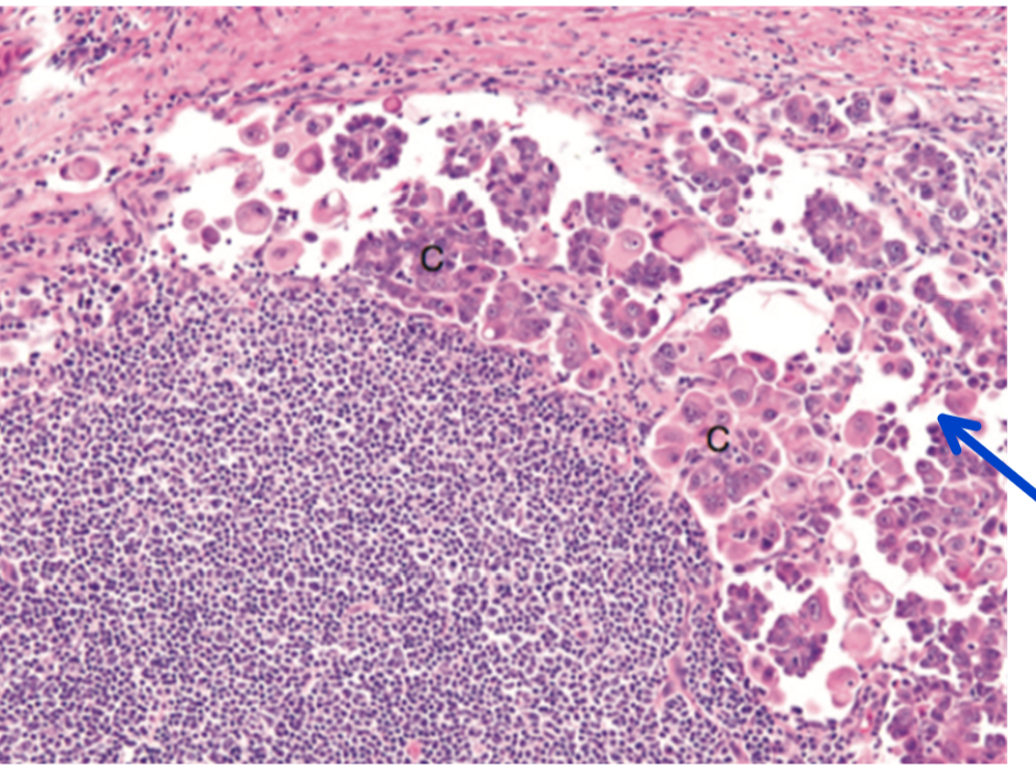
23
Q

Identify this structure:

A

subscapular sinus

24
Q

The lymph nodes associated with this neoplasia have mammary carcinoma cells present, how would these cells get to the lymph node?

A

metastatic cells invade through the mammary gland stroma to the lymphatic vessels to metastatic embolus to neoplastic embolus travels to the draining lymph node through the afferent lymph vessels to neoplastic cells enter the subscapular sinuses and get wedged to neoplastic cells proliferate and efface normal lymph node architecture

25
Describe this lesion.
Mesentery: numerous, yellow, fatty masses are present throughout the mesentary. A focal yellow fatty pedunculated mass originating from the mesentery is seen wrapping around several loops of small intestines
26
Provide a morphological diagnosis for the mesentery.
Mesentery: multifocal, chronic, lipomas with a focal strangulating lipoma
27
Provide a morphological diagnosis for the small intestine.
acute, locally extensive, small intestinal venous infarction due to strangulating lipoma
28
Histology of the mass is shown below. What is the predominate cell type in this neoplasm?
well-differentiated adipocytes
29
Histology of the mass is shown below. What is the biologic behavior of this tumor?
well-differentiated adipocytes are consistent benign lipoma
30
Identify these structures.
multifocal, small multilobulated red, cystic masses located on serosal membranes all over the peritoneal cavity
31
Describe the lesion on the ovary.
the left ovary is markedly enlarged and replaced by a multilobulated red to brown mass.
32
Describe the lesion on the peritoneum and serosal linings.
similar appearing red, multilobulated, cystic masses are disseminated throughout the peritoneum including the omentum, intestinal serosa, mesentery and diaphragm
33
Provide a morphological diagnosis for the left ovary.
focal, chronic, multi-cystic ovarian mass
34
Provide a morphological diagnosis for the peritoneum and serosal lining.
multifocal, chronic, cystic masses
35
Histologic examination of the ovarian mass and the peritoneal masses are similar. Histology reveals neoplastic epithelial cells arranged in papillary and gland- like structures. There is moderate anisocytosis and anisokaryosis with moderate numbers of mitotic figures. If this neoplasm originates from the ovary, what is the primary differential?
Ovary: Primary adenocarcinoma with metastasis to the peritoneum and serosal lining
36
How would the ovarian neoplasm metastasize throughout the peritoneum?
carcinomas originating on the surface of abdominal structures such as the ovary can readily spread over the peritoneal surface through a process known as transcoelomeic spread allowing the neoplasm to break off and seed in the peritoneal cavity
37
This specimen is from a section of the jejunum, describe this lesion.
Focally there is a dilation in the jejunum. The serosa in the area is mildly discolored dark tan. On cut surface the mucosa is 2 times the normal thickness and mildly discolored dark tan. There is an enhanced corrugated appearance to the mucosa.
38
Provide a morphological diagnosis for this lesion.
Small intestine: focal, chronic, circumferential, intestinal mass
39
Histologic examination of the mass reveals sheets of neoplastic round cells similar to lymphoblasts. There is marked anisocytosis and anisokaryosis. The mitotic index in this case is high. What is an appropriate morphologic diagnosis after considering the histologic examination?
the histological examination of this neoplasm is most consistent with malignant enteric lymphoma
40
What is a paraneoplastic syndrome?
paraneoplastic syndrome refers to clinical symptoms exhibited by a patient that are indirectly related to the neoplasm
41
Identify this structure:
focal ulcerated, multilobular, dark red mass that is located on the right auricle
42
Describe the lesion on the heart.
the heart has an ulcerated, multilobular, dark red mass located on the right auricle. On cut surface (not shown in this picture) the mass has a cavitated center that is blood filled. The mass extends through the wall of the right auricle but does not extend into the lumen
43
Describe the lesion on the lungs, liver, and mesentery.
multifocal firm, brown-red masses are seen on the pleural surface of the lungs, the liver, and throughout the mesentery
44
Histological examination of the masses reveals similar findings. All lesions contained poorly demarcated proliferations of endothelial cells forming disorganized vascular channels that are variably filled with hemorrhage and fibrin thrombi. Give an appropriate morphologic diagnosis.
Heart (right auricle): Primary hemangiosarcoma (malignant) of the right auricle with secondary metastasis to the lung, liver, and omentum
45
What are the common sites for hemangiosarcomas?
lung, heart, spleen and skin
46
How does the neoplasm in this case cause hemopericardium?
the weakened stroma of the auricle ruptures, resulting in acute hemorrhage into the pericardial sac. The sudden increase in pressure within the sac causes right-sided heart failure due to diastolic insufficiency (cardiac tamponade)