LARINGE Flashcards

(41 cards)

1
Q

¿Cuántos cartílagos laríngeos existen?

A

Siete cartílagos laríngeos.

How well did you know this?
1
Not at all
2
3
4
5
Perfectly
2
Q

¿Cuáles son las funciones principales de la laringe?

A
  • Función fonatoria y respiratoria.
  • Función esfínter durante la deglución para evitar broncoaspiración.
How well did you know this?
1
Not at all
2
3
4
5
Perfectly
3
Q

¿Qué músculo forma la cuerda vocal verdadera?

A

El músculo tiroaritenoideo.

How well did you know this?
1
Not at all
2
3
4
5
Perfectly
4
Q

¿Cuál es la inserción del músculo tiroaritenoideo?

A

Va desde la cara interna del cartílago de la tiroides a la apófisis vocal del cartílago aritenoides

How well did you know this?
1
Not at all
2
3
4
5
Perfectly
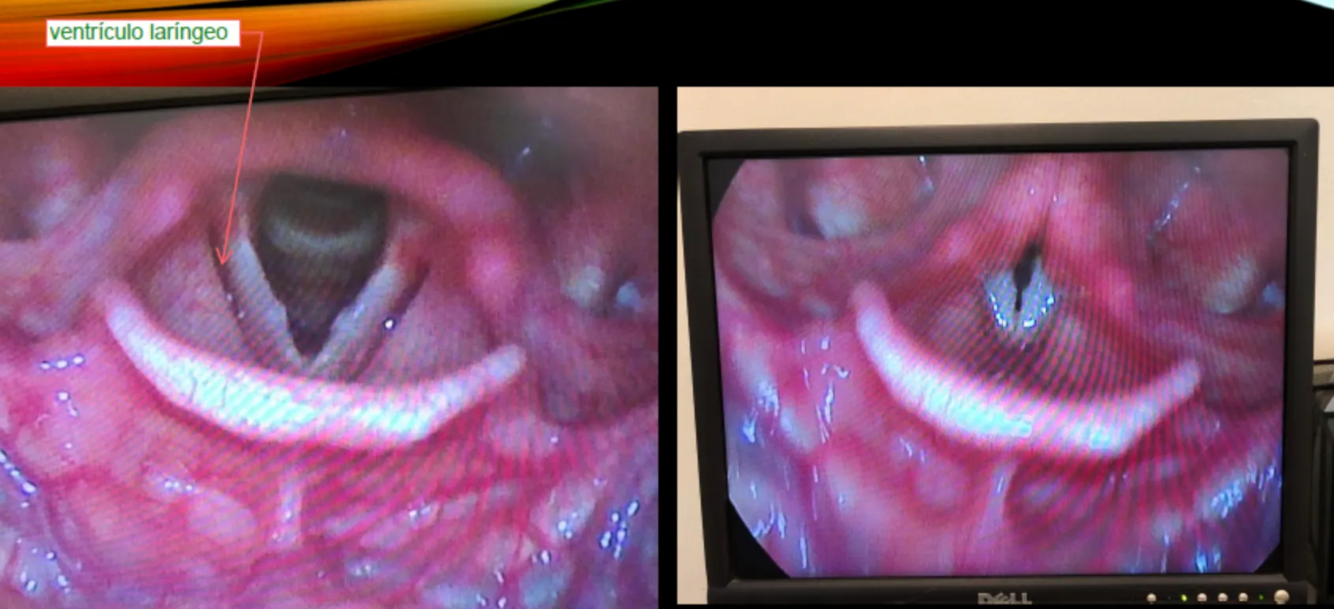
5
Q

¿Qué estructuras componen la supraglotis?

A
  • Epiglotis
  • Vestíbulo laríngeo
  • Cuerda vocal falsa (banda ventricular)
  • Ventrículo laríngeo (espacio virtual)
How well did you know this?
1
Not at all
2
3
4
5
Perfectly
6
Q

¿En qué zonas de la laringe hay mayor probabilidad de malignidad y peor pronóstico?

A

Supraglotis y subglotis.

How well did you know this?
1
Not at all
2
3
4
5
Perfectly
7
Q

¿Qué estructuras se observan en la pieza anatómica de laringe?

A
  • Epiglotis
  • Pliegues ariepiglóticos
  • Cuerdas falsas
  • Cuerdas verdaderas
  • Subglotis
  • Tráquea
How well did you know this?
1
Not at all
2
3
4
5
Perfectly
8
Q

¿Qué nervio inerva la laringe y cuál es su relación anatómica importante?

A
  • Nervio recurrente (rama del vago).
  • En el lado izquierdo pasa bajo el cayado aórtico; en el derecho, bajo la arteria subclavia.
How well did you know this?
1
Not at all
2
3
4
5
Perfectly
9
Q

¿Qué características histológicas tiene el pliegue vocal?

A
  • Epitelio escamoso no queratinizado
  • Espacio de Reinke (colchón gelatinoso para vibración)
How well did you know this?
1
Not at all
2
3
4
5
Perfectly
10
Q

¿Qué métodos endoscópicos permiten observar la laringe?

A

• Flexible: nasofibrolaringoscopio
• Rígido: Telescopio de 70° (mejor visualización)

How well did you know this?
1
Not at all
2
3
4
5
Perfectly
11
Q

¿Qué hallazgos pueden verse en TAC laríngeo?

A
  • A nivel glótico: tejido blando normal o patológico
  • Cartílagos calcificados
  • Estenosis esofágica
How well did you know this?
1
Not at all
2
3
4
5
Perfectly
12
Q

¿Para qué sirve la luz estroboscópica en laringoscopia?

A

Permite visualizar la ola vibratoria de las cuerdas vocales sobre el espacio de Reinke.

How well did you know this?
1
Not at all
2
3
4
5
Perfectly
13
Q

¿Qué son los nódulos vocales?

A

Lesiones fonotraumáticas bilaterales por abuso vocal; lesiones epiteliales planas con fibrosis (“callosidades”).

How well did you know this?
1
Not at all
2
3
4
5
Perfectly
14
Q

¿Cuál es la clínica de los nódulos vocales?

A
  • Voz áspera constante
  • Empeora durante el día
  • Profesionales de la voz (cantantes, locutores, maestros)
  • Se identifica el ventrículo laríngeo entre cuerdas falsas y verdaderas (espacio oscuro entre las cuerdas)
How well did you know this?
1
Not at all
2
3
4
5
Perfectly
15
Q

¿Cómo se forman los pólipos vocales?

A

Lesión fonotraumática aguda → ruptura vascular → hematoma → coágulo → pólipo (años).

How well did you know this?
1
Not at all
2
3
4
5
Perfectly
16
Q

¿Qué patrón de presentación tienen los pólipos?

A

Usualmente unilateral, pediculados, vascularizados (rojo/violáceo).

How well did you know this?
1
Not at all
2
3
4
5
Perfectly
17
Q

¿Cómo afecta el pólipo a la voz?
¿Cómo cambia el tiempo fonatorio?

A

Voz bitonal y fatiga vocal (por fuga de aire al no cerrar glotis).
Tiempo fonatorio:
- Normal: 14-15s
- Con pólipo: 7-8s

18
Q

¿Qué es el edema de Reinke?

A

Inflamación del espacio de Reinke, aspecto hialino, bilateral, asociado a mujeres > 40 años, tabaquismo, alcohol, obesidad y abuso vocal.

19
Q

Clínica de edema de Reinke

A
  • Voz áspera
  • Fatiga vocal
  • Voz masculinizada
20
Q

¿Cómo se trata nódulo/pólipo/edema de Reinke?

A

Incisión epitelial longitudinal + aspiración del contenido.

21
Q

¿Qué es la papilomatosis laríngea?

A

Lesiones pseudotumorales por VPH, localizadas o difusas.

22
Q

FORMAS DE PAPILOMATOSIS LARÍNGEA

¿Qué diferencias hay entre la forma infantil y adulta?

A
  • Infantil: recurrente, mal pronóstico, frecuentemente requiere traqueostomía.
  • Adulto: transmisión sexual.
23
Q

Síntomas de papilomatosis laríngea

A
  • Disfonía
  • Progresión a disnea
24
Q

¿Cuál es el tratamiento de la papilomatosis laríngea?

A

Quirúrgico; en estudio uso de cidofovir.
- Tubo endolaríngeo debe ir en comisura posterior y ser resistente a temperatura (por láser)

25
¿Qué es la laringomalacia y cómo se presenta?
Patología congénita más frecuente; **estridor inspiratorio** desde el nacimiento + llanto normal - Puede o no tener cianosis
26
¿Cuáles son las causas anatómicas de la laringomalacia?
* Epiglotis en omega (**más común**) * Repliegues aritenoepiglóticos cortos * Aritenoides prominentes | DEBE RESOLVERSE ANTES DE LOS 2 AÑOS
27
¿Cuál es la causa más común de parálisis unilateral de cuerdas vocales?
Lesión **iatrogénica** por cirugía de tiroides (más común) o tumor.
28
¿Qué ocurre en la parálisis bilateral?
* Etapa inmediata: parálisis en abducción * Etapa tardía: aducción → cierre glótico Emergencia respiratoria: si las cuerdas quedan en la línea media → el px no respira
29
# fisiopato importante (parálisis) ¿Por qué la posición final tiende a ser de cierre glótico?
Porque el nervio laríngeo recurrente tiene 4 veces más fibras **aductoras** que abductoras.
30
¿Cómo es la microcirugía endolaríngea para tratar estas lesiones?
* Se hace en quirófano con anestesia general * Tubo más delgado * Colocado en comisura posterior * Bisturí frío o láser (tubo resistente a calor) * Uso de microscopio y pinzas largas
31
¿Qué es la corditis?
* Inflamación de las cuerdas vocales * Inflamación aguda catarral o por abuso vocal. * Dura alrededor de 2 semanas.
32
¿Cuál es la causa de epiglotitis aguda y por qué es grave?
**Hemophilus influenzae**; evolución rápida con **disnea severa y tiraje.** - **Emergencia**. Manejo: esteroide y antibiótico
33
¿Qué es la laringitis subglótica?
- Viral - Edema subglótico - Disnea progresiva + **voz normal** Si progresa → **crup verdadero (laringotraqueítis)**
34
Clínica del crup.
Viral, tos metálica **“de perro/foca”**.
35
¿Quiénes son los pacientes típicos con cáncer glótico?
Adultos mayores fumadores, alcohólicos, con reflujo.
36
Describe T1–T4 del cáncer de laringe.
* T1: limitado a epitelio, movilidad conservada * T2: invade Reinke y supraglótis/subglotis * T3: invade músculo, fijación de cuerda * T4: fuera de laringe
37
¿Qué significan N1-3 y M0-M1?
N1: ganglio <3 cm N2: 3–6 cm N3: >6 cm M0: no metástasis M1: sí hay
38
¿Cuál es el tratamiento según estadio?
* I-II: cirugía conservadora o radioterapia * III-IV: laringectomía total o quimiorradioterapia
39
¿Qué indica aclaramiento laríngeo crónico?
**Reflujo laríngeo crónico** → laringitis posterior → aritenoides inflamados. "sensación de algo atorado"
40
# reflujo laríngeo ¿Qué causa a los granulomas laríngeos en **comisura posterior**?
* Reflujo no tratado * Puede confundirse por granuloma por TB extrapulmonar
41
Los tumores supraglóticos y subglóticos tienen peor pronóstico V/F
VERDADERO