Lecture 10 Flashcards

(35 cards)

1
Q

What is block vertebra?

A

-partial or complete fusion of two adjacent vertebral bodies
-typically an incidental finding

How well did you know this?
1
Not at all
2
3
4
5
Perfectly
2
Q

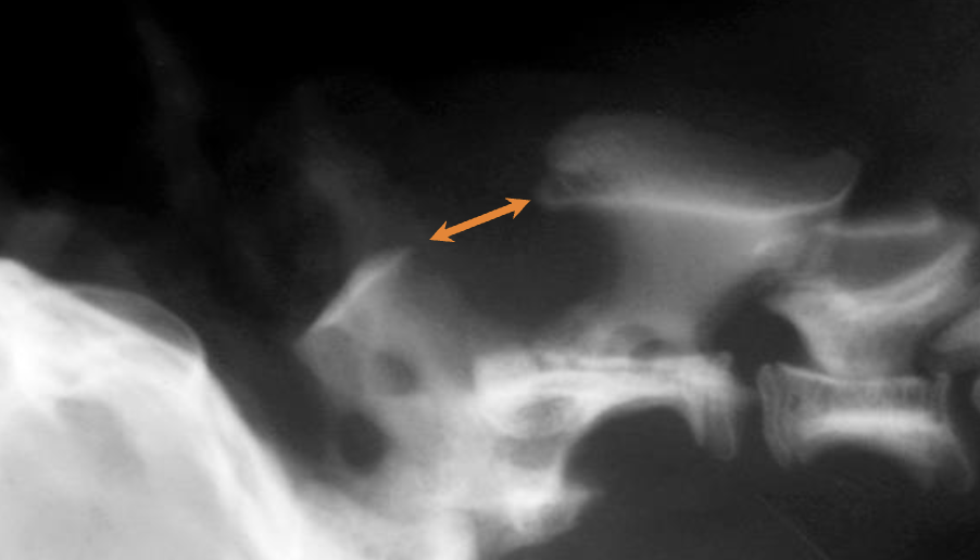
What are the characteristics of hemivertebra?

A

-failure of vertebral body to form completely
-can be incidental in minor cases
-can cause compression of spinal cord in severe cases
-bred for in breeds with screw tails
-causes paraparesis and incontinence at young age
-diagnosed with radiographs and advanced imaging

How well did you know this?
1
Not at all
2
3
4
5
Perfectly
3
Q

What is shown in this image?

A

hemivertebra

How well did you know this?
1
Not at all
2
3
4
5
Perfectly
4
Q

What is spina bifida?

A

failure of the neural tube to close or formation of cleft

How well did you know this?
1
Not at all
2
3
4
5
Perfectly
5
Q

How does a meningocele differ from a myelomeningocele?

A

-meningocele is an outpouching of meninges and CSF following spina bifida
-myelomeningocele is an outpouching of spinal cord, meninges, and CSF following spina bifida

How well did you know this?
1
Not at all
2
3
4
5
Perfectly
6
Q

What are the clinical signs of spina bifida?

A

-young age at onset/presentation
-commonly english bulldogs and manx cats
-variable neuro. deficits; often paresis or ataxia

How well did you know this?
1
Not at all
2
3
4
5
Perfectly
7
Q

What are the characteristics of sacrocaudal dysgenesis with spina bifida?

A

-agenesis of caudal/sacral vertebrae
-autosomal dominant trait in manx cats
-usually not treatable

How well did you know this?
1
Not at all
2
3
4
5
Perfectly
8
Q

What are the neurologic deficits seen in sacrocaudal dysgenesis with spina bifida?

A

-paraparesis or paraplegia
-urinary and/or fecal incontinence
-loss of tone, reflexes, and nociception in anal and perineal area (megacolon, atonic bladder)

How well did you know this?
1
Not at all
2
3
4
5
Perfectly
9
Q

How is spina bifida diagnosed and treated?

A

-diagnosed via imaging
-treated surgically

How well did you know this?
1
Not at all
2
3
4
5
Perfectly
10
Q

What are the characteristics of myelodysplasia of weimaraners?

A

-aka spinal dysraphism
-spinal cord does not form correctly
-inherited, co-dominant lethal gene
-NKX2-8 gene on chromosome 8

How well did you know this?
1
Not at all
2
3
4
5
Perfectly
11
Q

What are the clinical signs of myelodysplasia of weimaraners?

A

-4 to 6 weeks old at onset
-non-progressive paraparesis
-non-painful
-no spinal hyperesthesia
-“bunny hopping”

How well did you know this?
1
Not at all
2
3
4
5
Perfectly
12
Q

What is the prognosis for myelodysplasia of weimaraners?

A

no treatment; recommend aggressive physical therapy or euthanasia

How well did you know this?
1
Not at all
2
3
4
5
Perfectly
13
Q

What are the characteristics of atlantoaxial subluxation?

A

-dorsal displacement of cranial aspect of body of axis into vertebral canal due to lack of dens
-thought to be related to degeneration of dens or aplasia/hypoplasia of dens
-ligaments that typically stabilize the joint attach to the dens

How well did you know this?
1
Not at all
2
3
4
5
Perfectly
14
Q

Which ligaments are involved in stabilizing the AA joint?

A

-nuchal ligament
-atlanto-axial ligament
-alar and apical ligaments
-transverse ligament

How well did you know this?
1
Not at all
2
3
4
5
Perfectly
15
Q

What is the signalment and history for AA subluxation?

A

-young animals; typically 6 to 19 months
-toy or miniature breeds
-acute or chronic presentation

How well did you know this?
1
Not at all
2
3
4
5
Perfectly
16
Q

What are the clinical signs of AA subluxation?

A

-cervical hyperesthesia
-mild tetraparesis with ataxia up to tetraplegia
-normal to exaggerated spinal reflexes
-respiratory paresis

17
Q

Why is it important to AVOID ventroflexion in patients with a suspected AA subluxation?

A

ventroflexion can worsen the subluxation and potentially lead to death

18
Q

What is shown in this image?

A

AA joint with normal space between C1 and C2

19
Q

What is shown in this image?

A

AA subluxation and increased space between C1 and C2

20
Q

What are the medical treatment steps for AA subluxation?

A

-cage rest for 6 to 8 weeks
-external coaptation (bandaging or brace) with good nursing care

21
Q

What is the surgical approach for AA subluxation?

A

ventral fixation with screws and bone cement

22
Q

What are the characteristics of multiple cartilaginous exostoses?

A

-various species possible; dogs more common
-benign proliferation of bone at metaphyseal region in young animals
-enlarge during growth; stop at skeletal maturity
-no breed or sex predilection
-clinical patients treated with surgical excision

23
Q

What is shown in this image?

A

multiple cartilaginous exostoses

24
Q

What is shown in these images?

A

multiple cartilaginous exostoses with a nodule pushing down onto the spinal cord

25
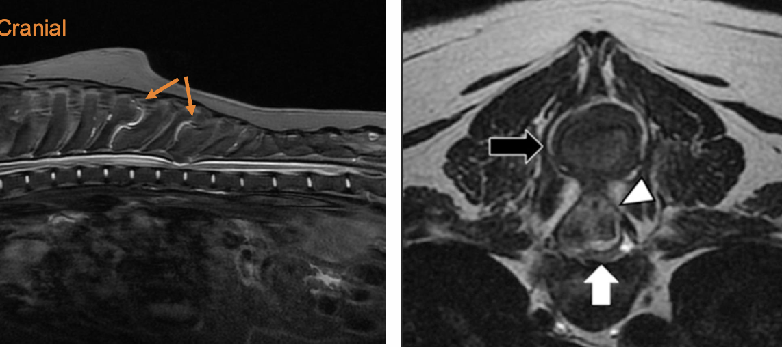
What are the characteristics of caudal occipital malformation syndrome (COMS)?
-aka chiari-like malformation -skull shape is too small to fit all of the brain matter
26
What is syringomelia?
fluid cavity within spinal cord parenchyma
27
What are the components of COMS?
-hypoplasia/dysplasia of occipital bone results in crowding of caudal fossa -compression of cerebellum +/- herniation via foramen magnum -syringomyelia formation due to pressure build up and fluid accumulation -medullary kinking/elevation of medulla from ventral surface of skull at cervicomedullary junction -ventriculomegaly from pressure build up
28
Which breed most commonly presents with COMS?
cavalier king charles spaniels; nearly all individuals have some degree of COMS
29
What are the clinical signs of COMS?
*variable age at onset; typically by 4 years *neuropathic pain -vocalization -spinal hyperesthesia -phantom scratching -sleep disturbances *cervical myelopathy -proprioceptive deficits -LMN deficits to thoracic limbs -paresis and/or ataxia *cerebellovestibular and/or brainstem dysfunction *scoliosis/cervical torticollis
30
What is shown in these images?
A and B: normal MRI C: cerebellar herniation, smaller occiput, kinking of medulla (COMS) D: severe case of COMS
31
What are the three categories of medications used in medical management of COMS?
-analgesics -medications that reduce CSF production -corticosteroids
32
When should surgery be considered in COMS patients?
-patients that suffer from adverse drug effects -patients with neurologic signs that progress despite medical management -syringomyelia greater than 3 mm in diameter
33
What is the surgical procedure done to treat COMS?
-foramen magnum decompression; removal of portion of back of skull and portion of C1 -possible cranioplasty to protect now-exposed tissues
34
What is the prognosis for COMS with medical management?
-temporary improvement in many cases short-term -lack of information on long-term prognosis
35
What is the prognosis for COMS with surgical management?
-80-94% improvement in clinical signs/pain in the short-term -25-47% relapse rate in the long-term when decompression alone is performed