Lecture 7 Flashcards

(22 cards)

1
Q

What are the characteristics of the intercapital ligament?

A

-seen from T1 to T10
-connects the two rib bones at each vertebrae
-provides support and limits disc dz in this region

How well did you know this?
1
Not at all
2
3
4
5
Perfectly
2
Q

What are the general characteristics of disc degeneration?

A

-discs are supposed to be soft and flexible to allow for motion and absorb stress
-if discs become less flexible, stress can be more focused and cause greater wear and tear in one area
-most discs extrude because they first degenerate

How well did you know this?
1
Not at all
2
3
4
5
Perfectly
3
Q

What are the characteristics of cartilaginous degeneration?

A

-aka Hansen type 1
-seen in chondrodystrophic breeds
-acute extrusion
-caused by an extra copy of fibroblast growth factor 4 gene
-disc is replaced with cartilage that can later calcify

How well did you know this?
1
Not at all
2
3
4
5
Perfectly
4
Q

What are the characteristics of fibrous degeneration?

A

-aka Hansen type 2
-seen in older, large breed dogs
-chronic protrusion
-aging degeneration of disc causes disc to dry out and be replaced with fibrous tissue

How well did you know this?
1
Not at all
2
3
4
5
Perfectly
5
Q

What are the possible changes that can occur at the level of the spinal cord?

A

-mechanical/compression of cord
-ischemia
-edema
-hemorrhage
-free radical damage

How well did you know this?
1
Not at all
2
3
4
5
Perfectly
6
Q

What determines the severity of neurological deficits in disc disease?

A

-volume of disc material
-rate of extrusion
-duration of compression

How well did you know this?
1
Not at all
2
3
4
5
Perfectly
7
Q

What are the characteristics of acute, compressive extrusions?

A

-seen in chondrodystrophic breeds
-3 to 6 years old
-acute onset
-linked to genetic mutation

How well did you know this?
1
Not at all
2
3
4
5
Perfectly
8
Q

What are the characteristics of chronic protrusions?

A

-large breed dogs
-older than 6 years old
-chronic onset

How well did you know this?
1
Not at all
2
3
4
5
Perfectly
9
Q

What are the characteristics of acute non-compressive nucleus pulposus extrusion?

A

-normal, non-degenerated disc
-annulus tears without previous degeneration
-nucleus pulposus violently strikes cord to cause contusion
-does not cause persistent compression of cord
-surgery will not help these cases

How well did you know this?
1
Not at all
2
3
4
5
Perfectly
10
Q

Which discs most commonly experience extrusion in the thoracolumbar region?

A

-T12 to T13
-T13 to L1

How well did you know this?
1
Not at all
2
3
4
5
Perfectly
11
Q

Which disc most commonly experiences extrusion in the cervical region?

A

C2 to C3

How well did you know this?
1
Not at all
2
3
4
5
Perfectly
12
Q

What are the clinical signs seen in disc disease cases, from least to most severe?

A

-pain
-ambulatory paresis
-non-ambulatory paresis
-paralysis
-paralysis with loss of deep pain
-ascending-descending myelomalacia

How well did you know this?
1
Not at all
2
3
4
5
Perfectly
13
Q

What are the clinical signs seen in patients with thoracolumbar disc extrusion?

A

-back pain (nerve root stretched or compressed)
-hump back posture
-tense abdomen
-reluctant to get up on back legs or move around
-back legs affected while front legs normal
-intact spinal reflexes

How well did you know this?
1
Not at all
2
3
4
5
Perfectly
14
Q

What are the clinical signs seen in patients with cervical disc extrusion?

A

-neck pain
-thoracic limb lameness/root signature; pain down into legs due to spinal lesion
-tetraparesis or tetraplegia
-respiratory weakness

How well did you know this?
1
Not at all
2
3
4
5
Perfectly
15
Q

Why are radiographs not the imaging modality of choice for disc disease?

A

-they are not very sensitive or specific for disc extrusion
-lesions on plain films may not be consistent with clinical findings
-not enough information for surgical planning

How well did you know this?
1
Not at all
2
3
4
5
Perfectly
16
Q

What are these arrows identifying in this radiograph (clockwise from the top)?

A

top: spinous process
next: articular facets
middle: intervertebral foramen
next: disc space
bottom: transverse process

17
Q

What are the abnormalities shown in this radiograph?

A

-articular joint space is closer together
-vertebrae are closer together (smaller disc space)
-intervertebral foramen is smaller

18
Q

What is the abnormality shown in this radiograph?

A

calcified disc material in the intervertebral foramen

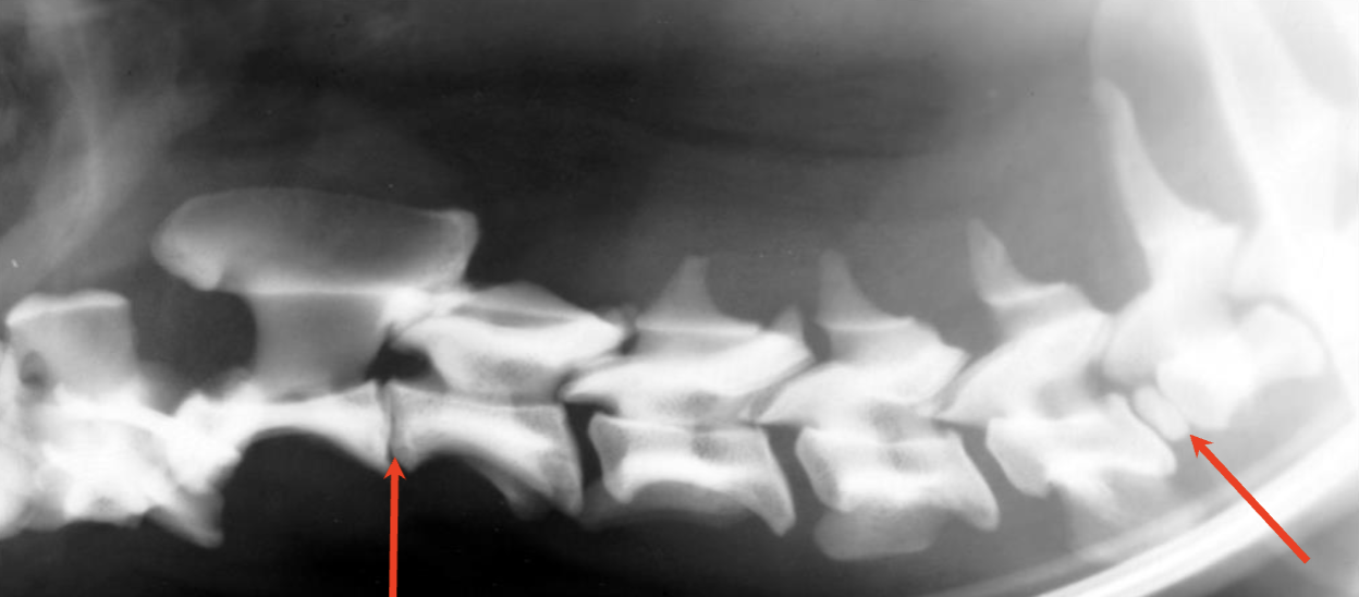
19
Q

What are the abnormalities shown in this radiograph?

A

left arrow: narrowed disc space between C2 and C3
right arrow: calcified disc between C6 and C7

20
Q

What are the characteristics of myelography?

A

-injection of contrast material into subarachnoid space
-highlights extradural compression dorsal to disc space
-not common anymore; irritating to spinal cord and can cause seizures

21
Q

What is shown in these images?

A

left: normal CT
right: calcified disc material in vertebral foramen

22
Q

What is shown in this image?

A

MRI identifying disc protrusion/displacement of spinal cord