Lecture 14 Flashcards

(21 cards)

1
Q

What are the characteristics of fibrocartilagenous embolism?

A

-ischemia of spinal cord
-caused by vascular occlusion with fibrocartilage
-neurons die due to lack of oxygen and glucose stemming from decreased blood flow

How well did you know this?
1
Not at all
2
3
4
5
Perfectly
2
Q

What is the most likely source of the fibrocartilage seen in fibrocartilagenous embolism?

A

intervertebral disc

How well did you know this?
1
Not at all
2
3
4
5
Perfectly
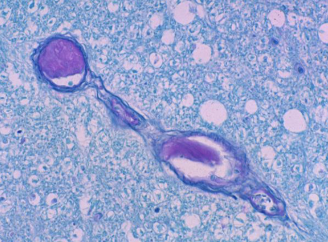
3
Q

What is shown in this image?

A

fibrocartilage occluding vessels of spinal cord

How well did you know this?
1
Not at all
2
3
4
5
Perfectly
4
Q

How do the intervertebral discs typically receive nutrition?

A

from the vertebral end plates

How well did you know this?
1
Not at all
2
3
4
5
Perfectly
5
Q

What is the typical presentation for fibrocartilagenous embolism?

A

-large to giant breed dogs
-schnauzers and shelties
-rare in cats

How well did you know this?
1
Not at all
2
3
4
5
Perfectly
6
Q

What are the clinical signs of fibrocartilagenous embolism?

A

-sudden onset
-often associated with activity; not major trauma
-non-progressive
-deficits may be asymmetrical; worse on one side bc each side of spinal cord has an artery
-not painful

How well did you know this?
1
Not at all
2
3
4
5
Perfectly
7
Q

How is fibrocartilagenous embolism diagnosed?

A

-signalment
-onset
-focal, non-painful spinal lesion
-excluding other causes

How well did you know this?
1
Not at all
2
3
4
5
Perfectly
8
Q

Why are radiographs NOT used in FCE diagnosis?

A

patients will have normal spinal radiographs AND myelogram; only affects spinal cord, not the bone

How well did you know this?
1
Not at all
2
3
4
5
Perfectly
9
Q

What signs of FCE can be seen on MRI?

A

swelling and edema of spinal cord

How well did you know this?
1
Not at all
2
3
4
5
Perfectly
10
Q

What is the treatment and prognosis for FCE?

A

-nursing care and physical therapy
-no good method for dissolving or removing fibrocartilage
-nearly 85% of dogs improve spontaneously over 2 to 4 weeks

How well did you know this?
1
Not at all
2
3
4
5
Perfectly
11
Q

What is a saddle thrombus?

A

aortic embolism at the distal aortic trifurcation

How well did you know this?
1
Not at all
2
3
4
5
Perfectly
12
Q

Why are saddle thrombus cases often thought to be neuro. cases?

A

loss of blood flow and oxygen supply to the muscle and nerves in hind limbs can mimic neuro. signs

How well did you know this?
1
Not at all
2
3
4
5
Perfectly
13
Q

What causes aortic embolism?

A

secondary to cardiomyopathy; myocardial hypertrophy and atrial thrombus

How well did you know this?
1
Not at all
2
3
4
5
Perfectly
14
Q

What are the clinical signs of aortic embolism?

A

-acute onset
-paraparesis/paraplegia
-firm, painful muscles
-weak/absent reflexes
-weak/absent femoral pulses
-murmur, gallop rhythm, and/or pulmonary edema

How well did you know this?
1
Not at all
2
3
4
5
Perfectly
15
Q

How is aortic embolism diagnosed?

A

typically based on clinical features

How well did you know this?
1
Not at all
2
3
4
5
Perfectly
16
Q

What are the differentials for paraparesis in cats?

A

-aortic embolism
-spinal trauma
-spinal lymphoma
-FIP
-other causes of myelitis

17
Q

What are the chest rad. findings in cats with aortic embolism?

A

-cardiomegaly
-pulmonary edema

18
Q

What are the echocardiogram findings in cats with aortic embolism?

A

-myocardial hypertrophy
-decreased contractility
-thrombus

19
Q

What is the treatment for aortic embolism?

A

-clot dissolution with t-pa or streptokinase
-heparin, clopidogrel, or aspirin to prevent further thrombosis
-nursing care
-treatment of underlying heart disease

20
Q

What is the prognosis for aortic embolism?

A

-about 50% improve within several weeks
-recurrence is common (50%)
-can develop hemorrhage and die from bleeding

21
Q

Which diseases/injuries can mimic spinal cord disease?

A

-hip dysplasia
-bilateral CCL rupture (will still have proprioception)
-pelvic fractures
-polyarthritis
-prostatitis