Orthopaedics Flashcards

(42 cards)

1
Q

Supracondylar Fracture

A

Distal third of humerus, proximal to trochlea or capitalum

Classification - Gartland
I = undisplaced
II = Angulated (<20 deg) with retained intact posterior cortex
III = Posterior displacement of distal fragments, no cortical contact

Complications
Brachial
Median nerve
Compartment syndrome

Late
Stiff elbow

How well did you know this?
1
Not at all
2
3
4
5
Perfectly
2
Q

Fracture Complications

A

EARLY
Haemorrhagic shock - femur, pelvis, tib/fib
Neurovascular compromise
Skin integrity
Compartment syndrome
Infection - cellulitis, septic joint, osteomyelitis
Ligamentous injury
Complications of surgery
Fat embolism Syndrome

MIDDLE
VTE with immobilisation esp lower limb

LATE
Mal-alignment, mal-union, non-union
Joint stiffness
Joint instability
CRPS
OA
Avascular necrosis - femur, talus, scaphoid, lunate, capitate

How well did you know this?
1
Not at all
2
3
4
5
Perfectly
3
Q

Joint aspiration

A

Indications
Septic arthritis
Gout / Pseudogout
Rheumatological inflammation
Large haematomas

CI
Skin infection over aspiration site
Uncooperative pt
Joint prosthesis
Anticoagulated

How well did you know this?
1
Not at all
2
3
4
5
Perfectly
4
Q

Lis Franc Fracture-Dislocation Injury

A

Most common midfoot fracture
CT scan of foot required
ORIF usually required

Mechanism
High velcocity
Hyper-extension of forefoot on the mid-foot
Fall form horse when rider’s foot trapped in stirup

X-ray
Only 70% sensitive - will need CT foot
Gap sign - visible space between base of 1st and 2nd metatarsals

Classification
Horizontal
- Lateral displacement of 1-5th or 2-5th metatarsals with 1st MTP remaining intact
Partial or Isolated
- 1-2 metatarsals displaced
Divergent
- First MTP moves medially
- Others move laterally

How well did you know this?
1
Not at all
2
3
4
5
Perfectly
5
Q

Compartment Syndrome
Causes

A

Compartment pressure = 0
Delta pressure = DBP - Compartment Pressure
Delta pressure > 30mmHg = risk of compartment syndrome

RF = male < 35,

Sites: tibia, forearm , thigh, hand and foot

Causes:
1. Increased compartment contents
Bleeding - fracture, vasc injury, coagulation disorder
Inc capillary filtration - trauma, burns, repurfusion after injury, intense muscle use (athletes)
Inc capilary pressure - DVT, venous ligation

  1. Decreased compartment volume
    Closure fascial defects
    Excessive traction of fractures
  2. External pressure
    Casts, splints, dressings
    Lying on limbs
  3. Misc
    Muscle hypertrophy, leaky cannulae, popliteal cyst
How well did you know this?
1
Not at all
2
3
4
5
Perfectly
6
Q

Compartment Syndrome
Assessment / Mx

A

Assessment
1. Pain out of proportion to physical findings (POOP to PxF)
2. Deep, burning, unrelenting, difficult to localize pain
3. Increasing need for analgesics
4. Pain on passive stretching of the muscle groups (most sensitive finding b4 ischaemia)
5. Pain with active flexion of the muscle groups
6. Hypoesthesias or paresthesias in the distribution of nerves crossing the compartment
7. Tender / tense of the compartment

Mx
1. Do NOT elevate limb
2. Stryker needle insertion to confirm pressure > 30mmHg
3. Fasciotomy
STAT vs 12 hrs
4. Support BP if hypotensive in trauma
5. Mx complications - rhabdomyolysis, inc K+, lactic acidosis

Methods of measuring compartment pressures:
Stryker needle
Arterial line trasnducer

How well did you know this?
1
Not at all
2
3
4
5
Perfectly
7
Q

Complications of prolonged immobilsation

A

Fracture complications

Immobility
DVT / thrombophlebitis / PE
Decubitus ulcers
Muscle atrophy

Elderly
Pneumonia
UTI
Wound infection
Stress Ulcers
GI bleeding

How well did you know this?
1
Not at all
2
3
4
5
Perfectly
8
Q

Thumb Fractures

A

Bennets - 2 part base of 1st metacarpal

Rolando - 3 or more parts (comminuted) base of 1st metacarpal

Both require ORIF

Complications
Instability => mal union, non-union
Severe OA

How well did you know this?
1
Not at all
2
3
4
5
Perfectly
9
Q

Gamekeepers / Skier’s thumb

A

Ulnar collateral ligament injury

Mechanism: forced abduction of thumb

Signs
* Thenar ecchymosis
* Swelling to ulnar aspect MCP
* Weak/painful pincer grip
* Stress test - CONTRAINDICATED IF FRACTURE - will show opening up of joint space
* Perform stress test in flexion (lax accessory UCL) and extension (outstretched accessory UCL => some stability)

Xray - may show concurrent avulsion fracture DIPJ

Mx
Incomplete rutpture: Thumb spica for 4-8 weeks
Complete rupture : surgical repair

Complications
Stener lesion = avulsed end of the UCL gets caught under the proximal edge of the adductor aponeurosis and folds into itself

Significance = joint instability, chronic pain, chronic dysfunction i.e pincer grip weakness

How well did you know this?
1
Not at all
2
3
4
5
Perfectly
10
Q

Bones at risk of AVN

A
  1. Carpals - scaphoid, lunate
  2. Femoral neck
  3. Foot - Talus, navicular
  4. Mandible
  5. Humerus
How well did you know this?
1
Not at all
2
3
4
5
Perfectly
11
Q

Flexor tenosynovitis

A

Infection of the synovial sheath that surrounds the flexor tendon.
Clinical diagnosis by 4 Kanavel signs.
Rx urgent irrigation and debridement of the flexor tendon sheath + IV antibiotics

Clinical
Pain and swelling (ususally palmar) - delayed presentation
Warmth /redness over digit

Kanavel SIgns
1. Flexed posture of involved digit
2. Tender over flexor tendon sheath
3. Pain with passive extension of digit
4. Fusiform swelling

Mx
Nonoperative (rare)
Hospital admission, IV antibiotics, hand immobilization, observation

Operative
I&D followed by culture-specific IV antibiotics
- Low threshold to operative once suspected (orthopaedic emergency)
- Late presentation
- No improvement w/ 24 hours of non-operative treatment

Complications
- Stiffness
- Tendon or pulley rupture
- Spread of infection
- Loss of soft tissue
- Osteomyelitis

How well did you know this?
1
Not at all
2
3
4
5
Perfectly
12
Q

Kanavel’s signs Flexor tenosynovitis

A
  1. Flexed posture of involved digit
  2. Tender over flexor tendon sheath
  3. Pain with passive extension of digit
  4. Fusiform swelling of affected digit
How well did you know this?
1
Not at all
2
3
4
5
Perfectly
13
Q

Open Fractures

A

Gustilo/Anderson classification
1. G1 - <1cm lac, clean, no skin crush
2. G2 - >1cm lac, minor crush, moderately comminuted #
3. G3 - > 10cm lac + crushing/coontamination
A. + adequate ST coverage
B. - adeqaute ST coverage
C. ascco vasc injury
4. G4 - subtotal or total amputation

Mx
Irrigate / Debride
ADT
IV cephazolin for Gd1+2
IV tazocin for G3/4

Complications
Wound infection
Tetanus
OM
NV injury
Compartment syndrome

How well did you know this?
1
Not at all
2
3
4
5
Perfectly
14
Q

Skin infections + unusual exposures

A

Freshwater - Aeromonus hydrophilia

Salt water - Vibrio

Cat scratch - Bartonella henslae

Cat bite - Pasteurella mutidoca

Dog bite - Capnocytophaga canimosus, Pasteurella canic

Human bite - Eikenella corrodens

How well did you know this?
1
Not at all
2
3
4
5
Perfectly
15
Q

Posterior Shoulder dislocation

A

Uncommon, < 5% dislocations

Mech: trauma, seizure, electricution
Presents with shoulder adducted, internally rotated and elbow flexed

XR:
Light bulb sign
Empty glenoid sign (ant glenoid fossa empty)
+ve rim sign (wide GH space)

Closed reduction technique:
1. Firmly and gently hold upper arm + forearm
2. Further adduct and internally rotate
3. Lift elbow to level of shoulder
4. Externally rotate

Associated Lesions
Common: Reverse Hill-Sachs, Posterior Bankart, Greater and Lesser tuberosity #, posterior glenoid rim #, recurrent dislocation

How well did you know this?
1
Not at all
2
3
4
5
Perfectly
16
Q

Anterior Shoulder Dislocation

A

Common

Mech: anteriorly force on the arm when the shoulder is abducted and externally rotated

XR: Subcoracoid / Subglenoid in 95%, Subclavicular or intrathroacic anterior dislocation of GHJ

Associated lesions:

How well did you know this?
1
Not at all
2
3
4
5
Perfectly
17
Q

Salter Harris Classification

A

Type I and V hard to differentiate as there may nbe no xray changes
Type I - shearing or avulsion type force
Type V - axial loading

18
Q

Upper limb nerv injury Testing

19
Q

Monteggia vs Galeazzi #

A

MUGR

Monteggia - # proximal 1/3 ulna + Dislocation radial head

Galeazzie - # distal 1/3 radius + dislocation DRUJ

20
Q

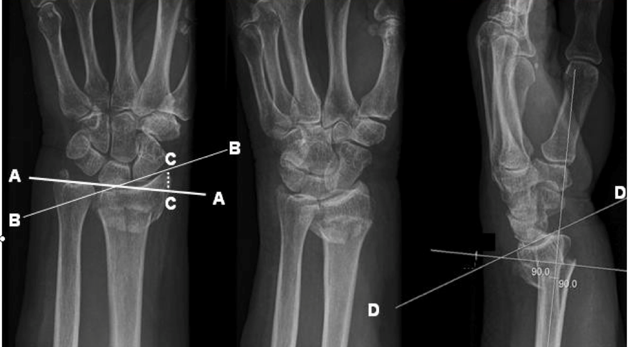
Radial Fracture Reduction Parameters

A

Acceptable parameters for radial Fractures:
* Dorsal tilt < 10 degrees
* Radial shortening (on PA view): loss of >2mm more should be corrected
* Radial shift (on PA view): any shift should be corrected
* Radial inclination (on PA view): <15 degrees
* Volar tilt (on lateral view): <20 degrees (normal volar tilt is 10–25 degrees).
* Dorsal displacement

Lines on XR indicating
Dotted line C - Radial shortening
Line B - radial inclinaiton or ulna tilt
Line D -radial tilt

21
Q

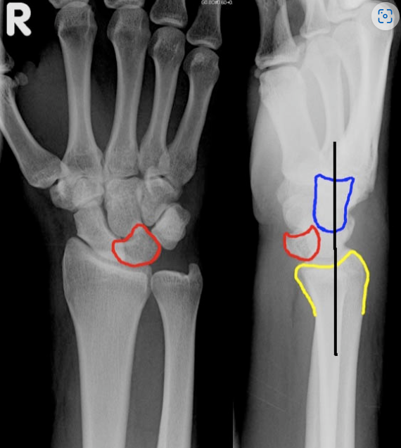
Scapholunate dislocation

A

Scapholunate dissociation, also known as rotary subluxation of the scaphoid, refers to an abnormal orientation of the scaphoid relative to the lunate and implies severe injury to the scapholunate interosseous ligament and other stabilizing ligaments.

Mech: Fall onto outstretched hand

Clincal:
Pain in snuff box / wrist region
Inc pain with dorsiflexion

Xray
Terry Thomas Sign: Widening of Scapholunate distance > 3mm (closed fist AP view)
Signet ring sign:
> 70 degree SL angle due to dorsal tilt of lunate

Mx
CLosed reduction or ORIF

22
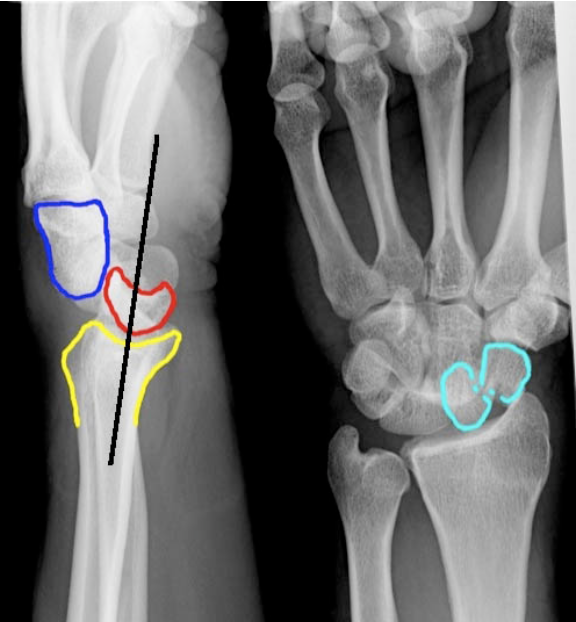
Q

Perilunate dislocation

A

Mech: fall onto hyperextended hand

The four stages of ligamentous injuries in the
wrist are:
* stage I: scapholunate dissociation (less force)
* stage II: perilunate dislocation
* stage III: perilunate dislocation with associated
dislocation/fracture of triquetrum
* stage IV: lunate dislocation.

Xray:
Lateral view - Capitate disloation -> displaced dorsal to lunate
Lunate retains its normal contact with radius
PA view
Capitolunate joint space is obliterated and proximal and distal carpal rows overlap

Clinical:
Wrist swelling and tenderness but gross deformity absent

Mx
Ortho referral for arthroscopy reduction or ORIF

23
Q

Lunate dislocation

A

Lateral view
Lunate is pushed off the radius into the palm (“spilled teacup” sign)
PA view
Lunate has triangular shape (“
piece-of-pie sign
”)

24
Q

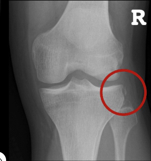
Segond #

A

A Segond fracture = ACL tear

Avulsion fracture on the lateral tibial condyle at the site of attachment of the lateral capsular ligament

25
Ankle Xrays
Joint effusion can be seen anterior and posterior to the lower end of the tibia as a ‘tear drop’ on the lateral view. May suggest a subtle intra-articular fracture such as a fracture of the talar dome. In the . Medial tibio-talar joint space in mortise view not > 4mm. Tibiofibular diastasis = >5mm between medial fibular cortex and posterior edge of lateral tibial groove Bone overlap between the distal tibia and fibula should be at least 10mm.
26
Shoulder relocation techniques
27
Hip relocation techniques
**Allis** - supine pt, hold leg at 90 degrees, traction in line with femur and externally rotate **Bigelow** - supine pt, abduct hip flexed at 90 degrees, traction in line with femur whilst abducting, externally rotating andextending hip **Captain Morgan** - place my knee flexed at 90 under distal knee and then apply downward force at ankle, upward force at knee +/- external rotation **Stimson** - pt prone, knee flexed at 90 degrees and downward traction on calf and hand on ankle to apply internal/external rotation
28
Tennis Elbow (lateral epicondylitis)
Lateral elbow pain O/E Inc pain with forced palmar flexion + pronation
29
Golfer's Elbow
Medial elbow pain O/E
30
Foot pathology
High arched foot + spontaneous lateral ankle pain = subluxation of peroneal tendons Sudden collapse longitudinal arch + heel in valgus = rupture of tibialis posterior tendon
31
Shoulder EXAM
Neer
32
Shoulder Pathology
33
Rotator Cuff
Acute Chronic Little power on abduction Abduct with hunching of shoulder
34
Osteomyelitis organisms
35
Osteomyelitis Antibiotic Options
36
Osteomyelitis Diagnostic Options
In order of diagnostic utility 1. Bone biopsy + positive culture 2. Imagin demonstrating ST infection or bone destruction 3. Clinical signs of exposed bone 4. Chronic wound over surgical site or fracture 5. Labs - +ve cultures, elevated ESR/CRP
37
Knee EXAM
Look: Position - valgus / varus, deformity Effusion, bruising, redness, scars Feel: Warmth, swelling, crepitus, muscle mass, NV status Collateral ligaments Move: Anterior / Posterior Draw Test - Pt supine with knee flexed and foot on bed, anterior and posterior movement of knee in this position Lachmann (ACL) - Flex knee to 20-30 degrees and then draw tibia forward, inc anterior displacement c.f other knee indicated +ve test McMurray (Meniscus) - Pt supine and knee flexed and extended passively - Internal rotation tests lateral meniscus - External rotation tests medial meniscus Apley (Meniscus) - Pt prone and knee flexed to 90 degreeswith downward rotation of tibia on femur - Pressure with lateral rotation = medial meniscal injury - Pressure with medial rotation = lateral meniscal injury
38
Tibial Plateau Fractures
39
Septic Arthritis
40
Gout
41
Hand /Wrist Blocks
Median nerve blocks 5-10ml 1% lignocaine Distal: Injected lateral to palmaris longus and medial to FCR Proximal: Ulnar Distal: Medial to FCU 2-3cm proximal to wrist crease Proximal: behind medial epicondyle at elbow Radial Distal: posterolateral aspect of radius 2-3cm proximal to radial styloid Proximal: ID on USS proximal to radial head on medial border ot supinator (deep to brachioradialis)
42
Ankle / Foot blocks
Tibial Distal: Supplies entire sole except lateral side and heel Infiltrate 1cm lateral/superior to PTA behind medial malleolus perpendicular to posterior aspect of tibia 5-10ml LA Proximal: ID on USS, immeidately superficial (posterior) popliteal vein Infiltrate under USS **Deep peroneal, saphenous, and superficial peroneal** Deep peroneal nerve is between tibialis anterior and extensor hallucis longus tendons Inject directly, then direct laterally, anterior and past extensor hallucis longus to block superficial peroneal nerve Return to midline and direct medially, anterior and medial to tibialis anterior tendon to block saphenous nerve DPN - dorsal web space SPN - majority of dorsum of foot Saphenous - medial ankle and foot