Diagnosis?

Unicuspid AV
most common cusps to fuse in BAV?
R & L
Diagnosis of this descending Ao doppler?

Coarctation
is family screening needed for BAV?
yes
Quadricuspid AV leds to more AI or AS?
AI
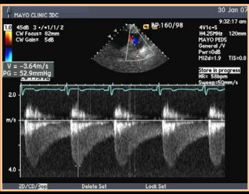
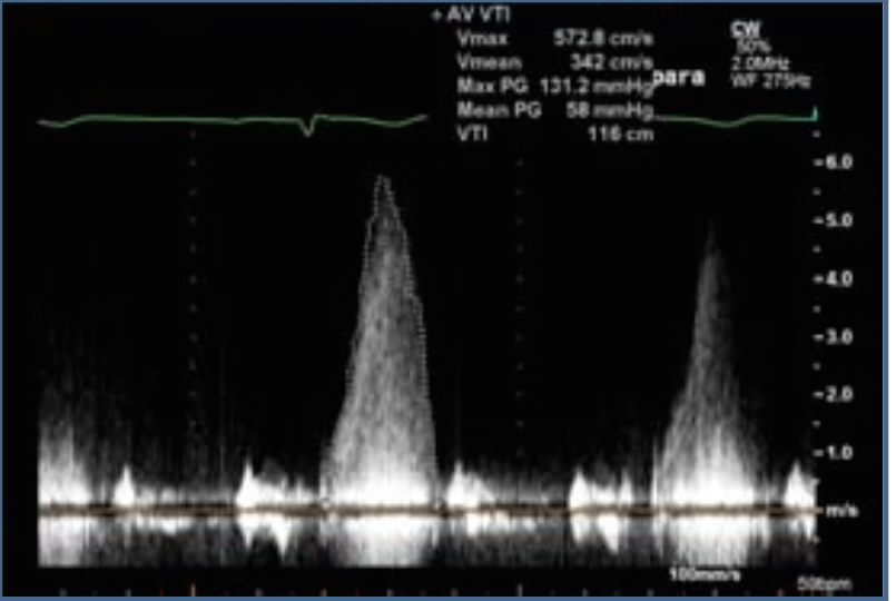
AVA, Mean Grad, velocity associated with severe AS?
<1cm2
>40
>4m/s
if your peak velocity across AV is 4m/s but your AVA is 1.5cm2, is it mod or sev AS?
severe. Go with velocity>4m/s.
what syndrome is supra-valvular AS associated with?
Williams-Beuren Syndrome (look for hypercalcemia w/ elfin facies)
what is 90% of subvalvular AS caused by?
Discrete fibrous mem
VC width indicating severe AR?
>6mm
RVol, RF, ERO for moderate AS
RVol 30-59 cc
RF 30-49%
ERO .1-.29 cm2
PHT indicating severe AR
<250 ms
if you place PW sample in flow convergence area (too close to AV), what happens to your calculation of AVA?
overestimates AVA
(PW will show super-high velocities, and it’ll be so close to AV that you’ll see the AV opening/closing)
Eq’n for AS dimensionless index and vaue indicating severe AS?
LVOT TVI/AV TVI
<0.25
in a dobutamine study, how much should SV increase by? name 4 other endpoints
20%
AVA<1
MG>30
SV plateaus
dobutamine @ 20
Diagnosis across LVOT

HCM