27 F in CHF. Diagnosis?

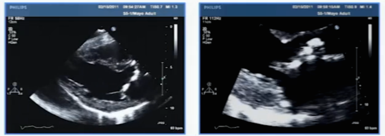
eosinophilic endomyocardial dz. contrast to look for LV apical thrombis. MV posterior leaflet covered with gook.

dx?

carcinoid
regional WMA in unusual distribution, heart block, Sudden death. Diagnosis?
sarcoid
main echo finding in severe hypothyroidism?
large pericardial effusion
if you see a thick IAS (that is not dumbell shaped like lipomatous hypertrophy), what is the diagnosis?

Amyloid
diagnosis?

radiation (look for ANTERIOR MAC)
(also look for aorto-mitral curtain brightness)
what echo finding mimics rheumatic valve dz?
drug-induced valvular dz
pt w/ h/o migraines and echo w/ severe MR, TR, AI and thickened valves that look rheeumatic. Diagnosis?
ergotamine induced valve dz