typical temporal resolution of M-Mode?
1000-2000 frames/sec
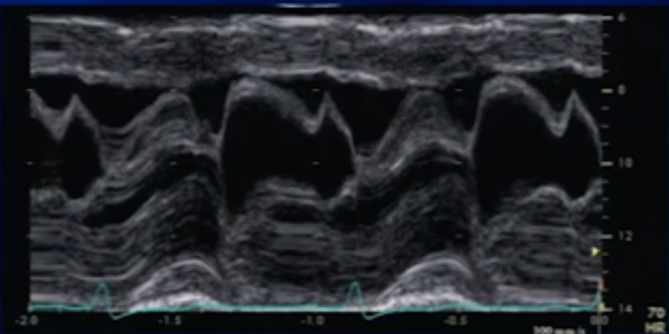
Describe each letter of this MV M-Mode

E- early diastole/rapid filling
A- atrial contraction
F- diastasis onset
C- Closure of MV
D- Opening of MV
Diagnosis?

SAM
Diagnosis?

SAM
name 2 factors that make gradient worse in SAM
1) Earlier time to onset of septal contact by MV
2) Duration of SAM-Septal contact
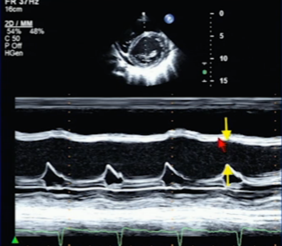
Diagnosis

MVP ( >3mm systolic bowing BELOW the C-D line)
Diagnosis?

MVP
Diagnosis

MS
(reduced/loss of the E-F slope of MV M-mode and fish mouth/diastolic anterior motion of posterior leaflet)
Diagnosis?

MS
(reduced/loss of the E-F slope of MV M-mode and fish mouth/diastolic anterior motion of posterior leaflet)
Diagnosis?

Atrial Myxoma
Diagnosis?

Afib
Diagnosis?

AR (LV dilated, fluttering of MV’s anterior leaflet (without loss of A wave like in afib) = austin flint)
Diagnosis?

Bicuspid AV

Diagnosis

Early Systolic Closure of AV from low SV (e.g. low LVEF, significant MR)- notice tapering of AV leaflet

M-Mode of AV showing tapered (not parallel) leaflets, early systolic closure w/ limited AV opening. Diagnosis?
Decreased stroke volume
M-mode of AV w/ thickened leaflets and eccentric closure
Bicuspid AV
M-mode of AV with normal AV opening–> early systolic closure–> fluttering leaflets
Subaortic AS
M-mode of AV showing normal AV opening–> fluttering leaflet- -> mid-systolic closure
HCM/dynamic obstruction
M-mode of AV showing limited AV opening, thick leaflets, central/normal closure
Valvular AS
Name the 3 M-mode findings for PV

Normal/PH/PS
Diagnosis?

DCM
(Large E-point Septal Separation (EPSS))
E-point Septal Separation above which is abnormal (suggesting DCM). When is EPSS not valid?
>10mm
not valid with valvular dz like MS/AR.
Diagnosis?

Constrictive Pericarditis (left shift of interventricular septum during inspiration)
Diagnosis?

Tamponade
(interventricular interdependence, see how the septum moves away from RV and dips towards LV on inspiration)