TEE Flashcards

(2 cards)

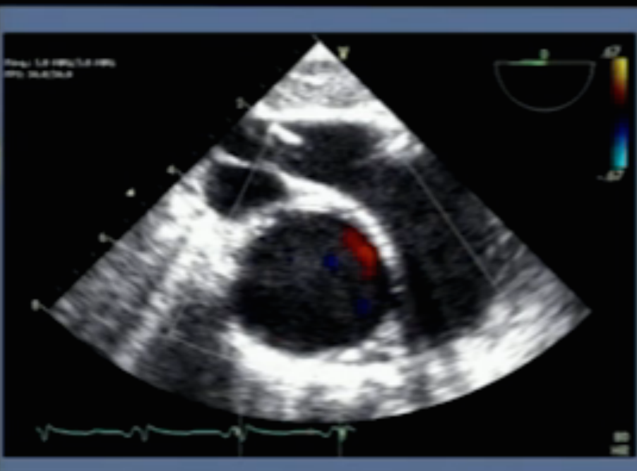
1
Q

what are arrows pointing to?

A

blue = eustachian valve (large = chiari network), yellow = crista terminalis

How well did you know this?
1
Not at all
2
3
4
5
Perfectly
2
Q

name the structures in this TEE view (HE)

A

Ao, SVC, Main PA, RPA (hugging Ao), LPA

How well did you know this?
1
Not at all
2
3
4
5
Perfectly