how many contiguous segments of endocardial border need to be NOT visualized to use contrast?
2
does contrast help in avoiding apical foreshortening?
yes
does contrast help in locating optimal post-exercise images?
yes
if you see contrast swirling, what do you do?
decrease Mechanical Index
do microbubbles have a linear or nonlinear rsponse to U/S?
nonlinear
eq’n fro M.I.
MI = Peak Acoustic Negative Pressure/sq. rt. freq
if you see contrast light up LV apex with ATTENUATION of rest of LV, what to do?
transiently inc MI and inject contrast softer and slower
what is an optimal range for mechanical index?
.1-.3
do PFO’s put patient at increased risk of contrast related adverse events?
no
what can contrast help with when looking at lateral wall for ischemia?
differentiate pap muscle vs lateral wall
protocol for contrast use in lactating woman?
use it, discard breast milk for short period of time after
is inter-reader variability similar /w contrast echo and MRI?
yes
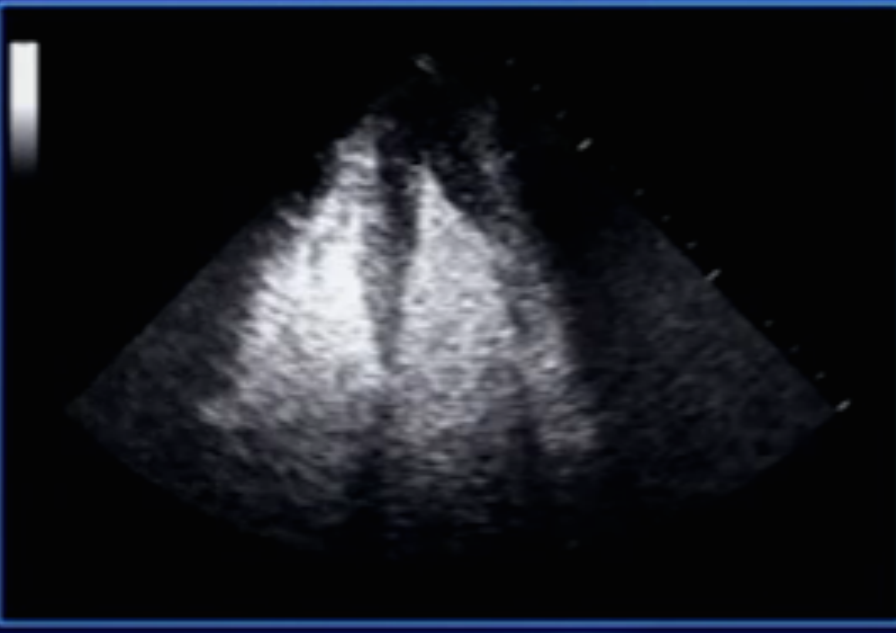
what do you do when you see this?

INCREASE M.I., push slower/less
Diagnosis?

Apical HOCM (Spade shaped ventricle)