4 bugs typically associated with SBE + 2 if BCX peristently +
staph aureus, strep viridans, bovis enteroccocci, HACEK + staph epi, GN bacilli
most common and least common condition predisposing to SBE?
MR- most common
MS- least common

what % of prosthetic valve endocarditis has NO vegetations?
30%
what causes non-bacterial endocarditis
SLE/Libman-Sacks/APLA syndrome
what side of the AV are lambl’s excrescence and papillary fibroelastoma seen?
aortic
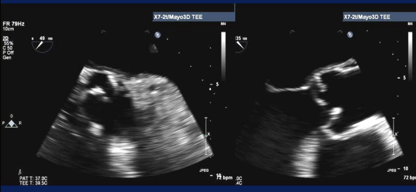
Diagnosis

Papillary Fibroelastoma
what side of AV and MV do vegetations usually form?
Atrial side of MV, LV side of AV (due to mild eddy flow regurgitation)
Diagnosis and Rx? (ON BOARD EXAM)

early closure of MV from severe AI (from SBE)- RX = emergent surgery

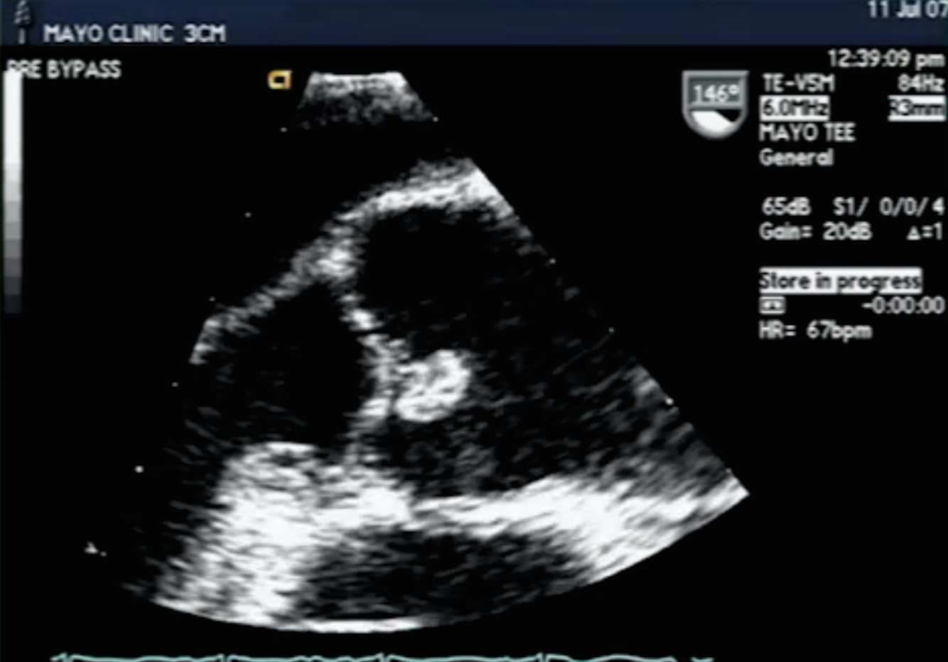
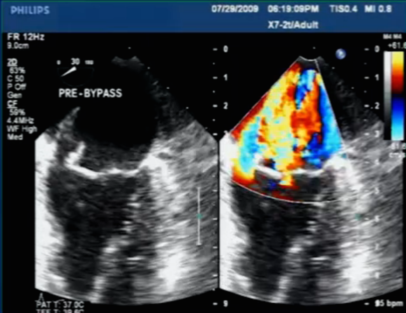
Diagnosis?

Perforated MV leaflet (*clue is to see the PISA off the midline)
Diagnosis?

Perforated MV leaflet (*clue is to see the PISA off the midline)
perivalvular extenion of infection occurs usually with which valve and which bug?
AV, staph
does perivalvular extension of infection increase mortality even if surgical correction performed?
yes
Diagnosis?

MAIF Phlegmon with Perivalvular Extension of Infection (PVEI)
Diagnosis?

MAIF Mycotic Aneurysm (PeriValvular Extension of Infection)
why did this pt have persistent fevers after being treated with abx for SBE?

PeriValvular Extension of Infection (see double density next to AV)
which location for vegetation is most likely to embolize?
anterior leaflet of MV
if you have high suspcion for endocarditis, but TEE negative- what can you do?
repeat TEE in 5-7 d