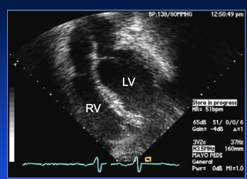
Dx?

RV dominates center of apex

Dx?

congenital abscence of pericardium (notive RV dominating apex and teardrop shape)
in constrictive pericarditis, is the starred mitral inflow pattern during inspiration or expiration?

inspiration
in constrictive pericarditis, what will you see with doppler flow through hepatic veins?
expiratory, diastolic flow reversal

in constrictive pericarditis, in what respiratory cycle will pulmonary vein flow and mitral inflow (i.e. left heart) increase?
expiration

when the septum is moving abnormally, but doesnt seem to correlate with heart beats, what should you think of?
respiratory variaton –> constrictive pericarditis
Dx?

constrictive pericarditis (note inspiratory decrease of all left heart flows)
Dx from this hepatic vein doppler

Hepatic vein diastolic flow reversal in constriction, seein in expiration

name the diastoic pattern

grade 3
name the diastolic pattern

grade 2
name the diastolic pattern

grade 1
name the 3 E’ patterns

normal, grade 1, constriction (exaggerated E’)
in CHF, at what E’ do you consider constriction?
E’ > 8
usually lateral e’ > medial e’, if its switched, what should you think of?
constrictive pericarditis (septum can move more since lateral wall tethered to pericardium)
Dx?

pericardial cyst
is septal E’ exaggeration seen in tamponade?
no (just constriction)
like with constriction, what happens to PV, MV inflow during inspiration? HV flow during expiration?
PV, MV DECREASE during inspiration (b/c of left shift of septum)
HV diastolic flow reversal

Dx?

tamponade (note PE, subtle septal shift to RV on inspiration)
Dx?

tamponade (mitral inflow resp variation, HV dias flow rev, IVC plethora)
per guidelines, what % inspiratory drop in mitral inflow = constriction? tamponade?
25%, 30%
what is the only difference in dopplers b/w tamponade and constriction?
exaggerated septal E’ with constriction
if you see respirometer tracings or phasic respiratory changes, what should you think of?
pericardial disease

expiration
in afib, what is the best way to diagose constriction?
TDI, look for medial e’ > lateral e’ (also HV diastolic flow reversal)