how to calculate LAP using MR velocities
LAP = LVP - (4 x MR velocity ^2)
how to calculate LAP using PFO
LAP = (4 x PFO velocity ^2) + RAP
how to calculate LVDP using AR
LVDP = DBP - (4x AR diastolic velocity ^2)
Jae Oh’s eq’n for PVR
PVR = (Vtr/RVOT TVI) x 10 + 0.16
name the four parameters to look at for diastolic assessment
E/A e’ (mitral annulus) PASP Pulm vein velocities
which one is dependent on PRELOAD: E or E’
E (E’ is NOT dependent on preload. once its reduced in diastolic fxn, nothing increases it)
normal e’
>8 cm/s
normal LVOT Diameter
2-2.2cm
What does this “L-wave” mean? (hint- happens a LOT in afib)

delayed relaxation and increased filling pressures
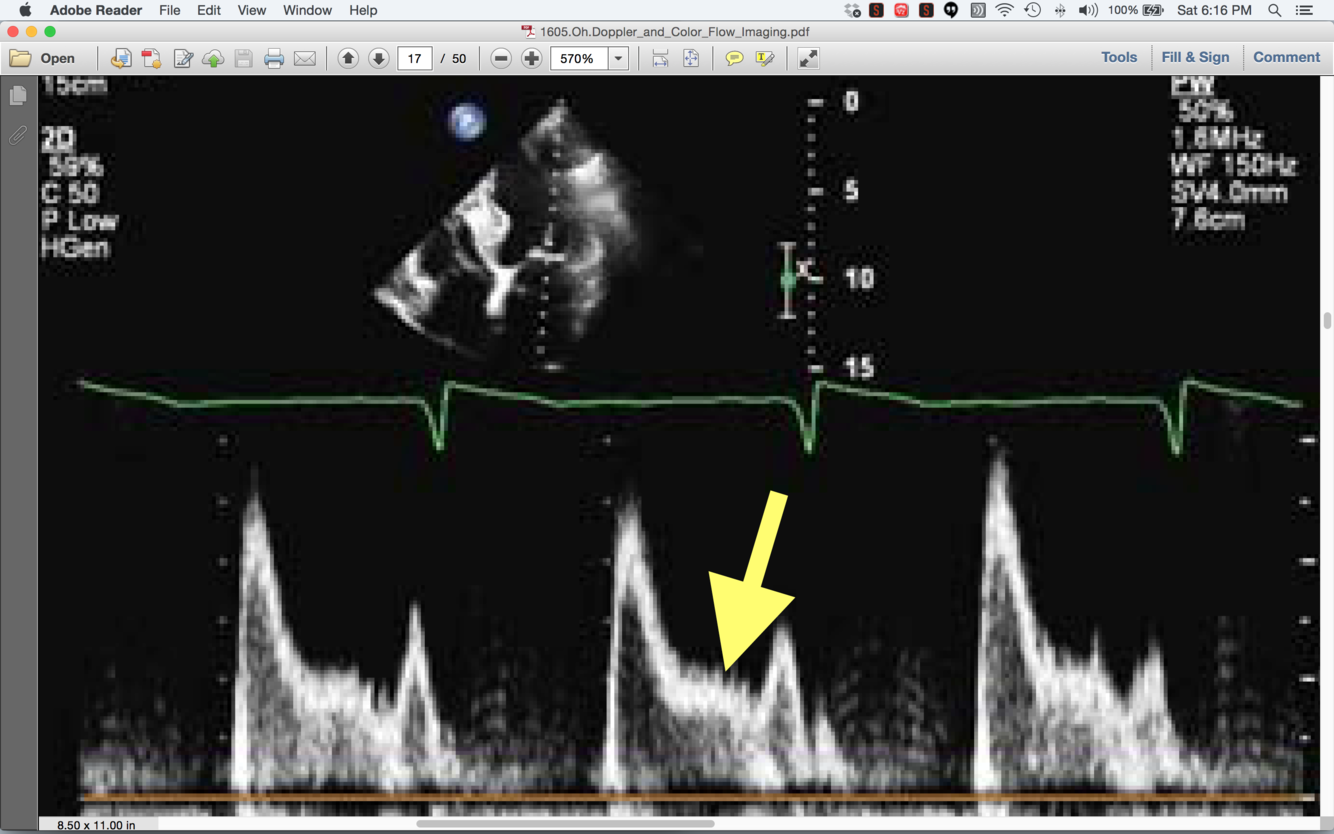
“W” in RVOT velocity indicates?
PH
T/F: strain is more sensitive than EF for systolic fxn?
True
Normal LVOT TVI
20
what PISA radius do you use if you have 2 MR jets at 7mm each?
sq. rt (7^2 + 7^2 ) = sq rt 98 = new PISA radius
if you are trying to grade MS severeity and your angle is really off, which of the following is still reliable: Peak velocity, peak gradient or PHT?
PHT
when placing PW to measure LVOT TVI, where do you put it?
in blue area (BART) outside of the flow convergence hemisphere

MR Flow Rate = (Eq’n)
6.28 x r^2 x Va
ERO Eq’n
Flow rate/ MR CW Velocity = 6.28 x r^2 x Va/ Vmax
eq’n for MR Regurgitant Vol (RV)
RV = ERO x CW MR TVI
in MR, when Aliasing V = 40 cm/s & MR Velocity = 500cm/s, what is eq’n for ERO?
r^2 / 2 , (half the pisa radius squared)
when getting aliasing velosity to calculate PISA, which way do you shift the baseline?
in the direction of color jet (“up for up, down for down”)
eq’n for MVA by PISA
(6.28 x r^2 x Va)/Vpeak x a/180
(Not MV TVI in denominator like w/ continuity eq’n!!!)
with AR, how do you calculate SV?
use MV Area x MV VTI. do NOT use LVOT numbers as they contain both forward and regurgitant flow.
eq’n to calculate RV for AR (Doppler hemodynamics workshop- draw your diagrams)
LVOT SV - MV SV