Chapter 101 - Stifle ARTICLES Flashcards

(105 cards)

1
Q

Fuggazola et al EVJ 2023 What was the primary objective of the study on the equine stifle?

A) To examine the cellular composition of all equine joints
B) To investigate nerve structure in the stifle
C) To analyze biochemical composition and architecture of three differently loaded areas
D) To observe cartilage repair strategies

A

C) To analyze biochemical composition and architecture of three differently loaded areas

How well did you know this?
1
Not at all
2
3
4
5
Perfectly
2
Q

Fuggazola et al EVJ 2023Which locations in the equine stifle were the osteochondral plugs harvested from?

A) Distal intertrochlear groove, lateral trochlear ridge, and medial femoral condyle
B) Medial trochlear ridge, medial meniscus, and patella
C) Lateral femoral condyle, patella, and distal femur
D) Lateral meniscus, medial meniscus, and femoral shaft

A

A) Distal intertrochlear groove, lateral trochlear ridge, and medial femoral condyle

How well did you know this?
1
Not at all
2
3
4
5
Perfectly
3
Q

Fuggazola et al EVJ 2023 What variable showed significant differences among all three cartilage sites?

A) Collagen orientation angle
B) Muscle tension
C) Proteoglycan synthesis rate
D) Glycosaminoglycan content

A

D) Glycosaminoglycan content

How well did you know this?
1
Not at all
2
3
4
5
Perfectly
4
Q

Fuggazola et al EVJ 2023 What did the strongest correlations in the study involve?

A) Glycosaminoglycan content and muscle strength
B) Collagen type and cell density
C) Proteoglycan content with equilibrium and dynamic modulus
D) Muscle content with viscosity

A

C) Proteoglycan content with equilibrium and dynamic modulus

How well did you know this?
1
Not at all
2
3
4
5
Perfectly
5
Q

Fuggazola et al EVJ 2023 Which area showed the highest collagen content in the study?

A) Lateral trochlear ridge
B) Medial femoral condyle
C) Intercondylar notch
D) Patellar ridge

A

C) Intercondylar notch

How well did you know this?
1
Not at all
2
3
4
5
Perfectly
6
Q

B) To describe the clinical and ultrasonographic features of IPL desmopathy What was the primary aim of the retrospective study on intermediate patellar ligament (IPL) desmopathy?

A) To investigate the effect of diet on IPL injuries
B) To describe the clinical and ultrasonographic features of IPL desmopathy
C) To explore surgical treatments for IPL desmopathy
D) To assess muscle development in horses with IPL desmopathy

A

B) To describe the clinical and ultrasonographic features of IPL desmopathy

How well did you know this?
1
Not at all
2
3
4
5
Perfectly
7
Q

Hoaglund et al EVJ 2019 In what region of the IPL was desmopathy most commonly observed in the study?

A) Proximal end
B) Distal end
C) Midbody
D) Entire ligament

A

C) Midbody

How well did you know this?
1
Not at all
2
3
4
5
Perfectly
8
Q

Hoaglund et al EVJ 2019 What percentage of IPL desmopathy cases showed hypoechoic discrete tears?

A) 50%
B) 74%
C) 67%
D) 85%

A

B) 74%

How well did you know this?
1
Not at all
2
3
4
5
Perfectly
9
Q

Hoaglund et al EVJ 2019 How many horses in the study showed ultrasonographic improvement on recheck examination?

A) 0
B) 2
C) 11
D) 13

A

B) 2

How well did you know this?
1
Not at all
2
3
4
5
Perfectly
10
Q

Hoaglund et al EVJ 2019 What was the long-term return-to-work rate for horses diagnosed with IPL desmopathy?

A) 50%
B) 67%
C) 85%
D) 92%

A

D) 92%

How well did you know this?
1
Not at all
2
3
4
5
Perfectly
11
Q

Radtke et al EVJ 2019 What was the primary objective of the study on intra-articular (IA) stifle anaesthesia?

A) To assess the long-term effects of IA anaesthesia on joint health
B) To determine if IA stifle anaesthesia can alleviate lameness originating in the distal limb
C) To evaluate the efficiency of different anaesthetic types
D) To compare lameness in forelimbs and hindlimbs

A

B) To determine if IA stifle anaesthesia can alleviate lameness originating in the distal limb

How well did you know this?
1
Not at all
2
3
4
5
Perfectly
12
Q

Radtke et al EVJ 2019 What method was used to induce moderate unilateral hindlimb lameness in the horses?

A) Treadmill exercise
B) Surgical intervention
C) Weight loading
D) Circumferential hoof clamp

A

D) Circumferential hoof clamp

How well did you know this?
1
Not at all
2
3
4
5
Perfectly
13
Q

Radtke et al EVJ 2019 What percentage of horses showed up to 50% improvement in lameness within 30 minutes after IA stifle anaesthesia?

A) 10%
B) 30%
C) 50%
D) 90%

A

B) 30%

How well did you know this?
1
Not at all
2
3
4
5
Perfectly
14
Q

Radtke et al EVJ 2019 How was lameness improvement measured in the study?

A) By observing changes in gait speed
B) Using a Wilcoxon signed-rank test on inter-stride differences
C) Recording heart rate changes
D) Assessing pain levels via palpation

A

B) Using a Wilcoxon signed-rank test on inter-stride differences

How well did you know this?
1
Not at all
2
3
4
5
Perfectly
15
Q

Radtke et al EVJ 2019 What did the study conclude regarding the results of IA stifle anaesthesia in lameness cases?

A) It is highly effective for all cases of lameness
B) IA anaesthesia should be used only for foot lameness
C) Additional diagnostics may be needed to rule out distal limb pain
D) Results were consistent across all horses

A

C) Additional diagnostics may be needed to rule out distal limb pain

How well did you know this?
1
Not at all
2
3
4
5
Perfectly
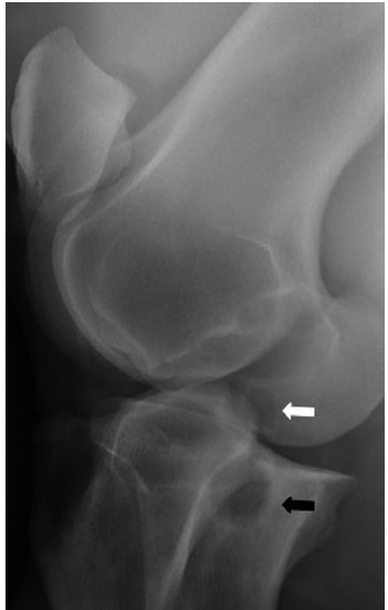
16
Q
A

Fig 2: Caudolateral-craniomedial 45° radiographic projection of
the stifle region revealing a medial femoral condyle subchondral
bone cyst (white arrow) and an opposing subchondral bone cyst
(black arrow) in the medial tibial plateau. EVE Bonilla Equine bone cysts: What do we know about them and their
treatment?

How well did you know this?
1
Not at all
2
3
4
5
Perfectly
17
Q

Aßmann et al VS 2022 What was the main objective of this study?

A) To evaluate recovery time for ligament injuries in horses
B) To develop an alternative to MRI for equine imaging
C) To test new treatments for meniscal and ligament injuries
D) To compare the diagnostic performance of CTA and MRI in detecting artificial meniscal and ligament lesions in horses

A

D) To compare the diagnostic performance of CTA and MRI in detecting artificial meniscal and ligament lesions in horses

How well did you know this?
1
Not at all
2
3
4
5
Perfectly
18
Q

Aßmann et al VS 2022 How many stablike defects were created in total across the menisci, cruciate ligaments (CLs), and meniscotibial ligaments (MTLs)?

A) 19
B) 35
C) 84
D) 24

A

C) 84

How well did you know this?
1
Not at all
2
3
4
5
Perfectly
19
Q

Aßmann et al VS 2022 What was the highest sensitivity achieved by MRI in detecting specific ligament or meniscal lesions?

A) 24%
B) 40%
C) 50%
D) 86%

A

C) 50%

How well did you know this?
1
Not at all
2
3
4
5
Perfectly
20
Q

Aßmann et al VS 2022 Which imaging modality showed a high specificity for detecting lesions?

A) MRI only
B) CTA only
C) Both MRI and CTA
D) Neither MRI nor CTA

A

C) Both MRI and CTA

How well did you know this?
1
Not at all
2
3
4
5
Perfectly
21
Q

Aßmann et al VS 2022 What clinical significance does CTA have according to the study findings?

A) CTA should replace MRI in all equine diagnostic imaging
B) CTA is only effective for meniscal injuries
C) CTA can serve as an adjunct diagnostic tool for cruciate ligament (CL) injuries
D) CTA has lower specificity and sensitivity compared to MRI

A

C) CTA can serve as an adjunct diagnostic tool for cruciate ligament (CL) injuries

How well did you know this?
1
Not at all
2
3
4
5
Perfectly
22
Q

Sloan et al EVJ 2023 What is the primary focus of this study?

A) The effect of training on racing outcomes in juvenile Thoroughbreds
B) The impact of femoropatellar OCD on racing performance in Thoroughbred yearlings
C) The prevalence of OCD in adult racehorses
D) Comparison of various training methods for yearlings

A

B) The impact of femoropatellar OCD on racing performance in Thoroughbred yearlings

How well did you know this?
1
Not at all
2
3
4
5
Perfectly
23
Q

Sloan et al EVJ 2023 Which type of OCD lesions were most commonly identified in the study?

A) Medial trochlear ridge lesions
B) Lateral trochlear ridge lesions
C) Patellar lesions
D) Medial femoral condyle lesions

A

B) Lateral trochlear ridge lesions

How well did you know this?
1
Not at all
2
3
4
5
Perfectly
24
Q

Sloan et al EVJ 2023 What was the main method used to assess the correlation between OCD lesion characteristics and racing performance?

A) Linear regression
B) Analysis of variance (ANOVA)
C) Pearson and Spearman correlations
D) Paired t-tests

A

C) Pearson and Spearman correlations

How well did you know this?
1
Not at all
2
3
4
5
Perfectly
25
Sloan et al EVJ 2023 Which group had a higher percentage of males in the study? A) The sibling control group B) The age- and sex-matched sale control group C) The case group D) The overall auction group
C) The case group
26
Sloan et al EVJ 2023 What was one main finding related to racing performance in horses with femoropatellar OCD? A) There was no significant impact on any racing outcomes B) Racing outcomes were significantly increased in all metrics C) There were small decreases in some racing metrics for affected horses D) All racing outcomes were significantly decreased
C) There were small decreases in some racing metrics for affected horses
27
Johnson et al EVJ 2023 What was the main objective of this study? A) To evaluate different breeds' susceptibility to septic arthritis B) To report clinical characteristics, surgical management, and outcomes of neonatal foals with meniscal disruption and septic arthritis C) To compare treatment methods for adult horses with meniscal injuries D) To analyze the long-term effects of septic arthritis on foal growth
B) To report clinical characteristics, surgical management, and outcomes of neonatal foals with meniscal disruption and septic arthritis
28
Johnson et al EVJ 2023 Which joint was affected by septic arthritis in the foals studied? A) Medial femorotibial joint B) Lateral femorotibial joint C) Patellofemoral joint D) Stifle joint
B) Lateral femorotibial joint
29
Johnson et al EVJ 2023 What diagnostic methods were used to suspect and confirm meniscal pathology? A) Ultrasonography and MRI B) MRI and X-ray C) Ultrasonography, computed tomography (in 2 foals), and arthroscopy D) Physical examination and blood tests
C) Ultrasonography, computed tomography (in 2 foals), and arthroscopy
30
Johnson et al EVJ 2023 What postoperative treatment did two of the foals receive in addition to antimicrobials? A) Corticosteroid injections B) Intra-articular injections of autologous mesenchymal stem cells C) Physical therapy D) Antibiotic ointments
B) Intra-articular injections of autologous mesenchymal stem cells
31
Johnson et al EVJ 2023 What were the medium-term outcomes for the three foals? A) All foals fully recovered and showed no signs of lameness B) Two foals were euthanised due to severe lameness C) One foal was lame-free as a yearling, one was euthanised, and one had mild lameness at trot D) All foals showed severe lameness at 6 months
C) One foal was lame-free as a yearling, one was euthanised, and one had mild lameness at trot
32
Peat et al EVJ 2023 What was the main objective of this study on subchondral lucencies (SCLs) in young Thoroughbred horses? A) To explore the impact of diet on MFC SCL development B) To determine the prevalence, progression, and impact of MFC SCLs on racing performance C) To test new treatment options for MFC SCLs D) To compare SCL presence in different breeds
B) To determine the prevalence, progression, and impact of MFC SCLs on racing performance
33
Peat et al EVJ 2023 What percentage of yearlings in the study had MFC SCLs graded 1–3? A) 2.2% B) 9.65% C) 11.2% D) 78%
B) 9.65%
34
Peat et al EVJ 2023 How did Grade 1 MFC SCLs in yearlings change by the time of the 2-year-old sale? A) They always progressed to grade 3 B) They all resolved C) They either remained unchanged, progressed to grade 2, or resolved D) They did not change
C) They either remained unchanged, progressed to grade 2, or resolved
35
Peat et al EVJ 2023 What probability of starting a race did yearlings with a grade 3 MFC SCL have? A) 58% B) 78% C) 84% D) 95%
B) 78%
36
Peat et al EVJ 2023 Which of the following outcomes was recorded for yearlings with axial MFC lucencies? A) All did not race B) All showed improvement C) Six out of seven raced D) Most were disqualified from racing
C) Six out of seven raced
37
38
FIGURE 1 US images of Foal 2 (a) on admission with moderate effusion (*) and fibrin formation of the L LFTJ. The LM was abnormal in shape, protruding beyond the level of the tibial/femoral condyles, with a diffuse hypoechoic region within it (arrowhead). Screening radiographs of the L stifle of Foal 2 were taken on admission, findings were unremarkable (b, c). Plain CT of the L stifle of Foal 2 revealed marked distension of the LFTJ with irregularity and sclerosis of the subchondral bone of the LFC and the lateral tibial condyle (d). Contrast CT-arthrogram revealed disruption of the LM caudally, with lateral isplacement (e). At its attachment to the caudal horn of the LM, disruption of the meniscofemoral ligament could be seen (Figure 2f). F, lateral femoral condyle; POP, popliteus tendon; T, lateral tibial condyle.Johnson et al EVJ 2023
39
FIGURE 2 US images of Foal 1 on admission (a) with marked effusion and fibrin formation within L LFTJ (*). The LM was abnormal in shape, protruding beyond the level of the tibial/femoral condyles (covered by epiphyseal cartilage), with a horizontal hypoechoic line running through it (arrowheads). (b) shows normal R LFTJ for comparison. (c) shows arthroscopic image of the cranial aspect of the L LFTJ of Foal 1, the LM can be seen prolapsed and displaced craniolaterally, with fibrin accumulation (*), meniscal hyperhaemia and synovial proliferation. (d) shows probe revealing Grade III tear of LM (#) extending beyond the margin of the lateral femoral condyle. F = lateral femoral condyle; T = lateral tibial condyle. Johnson et al EVJ 2023
40
FIGURE 3 CT images of Foal 3, left (normal) stifle (a) for comparison with right (abnormal) stifle (b). The LM was diffusely abnormal with multiple tears in multiple orientations, primarily within the lateral and caudal aspects (arrows) (b). A large, pyramidal shaped tear of the axial aspect of the caudal horn of the LM was present, resulting in marked irregularity of the axial margin of the meniscus (arrows) (c). There was a small tear of the distal substance of the cranial cruciate ligament. The margin of the caudal cruciate ligament was minimally fibrillated (d). (e) shows an arthroscopic image of R LFTJ of Foal 3, the LM can be seen prolapsed and displaced craniolaterally, with fibrin accumulation. (f) shows Grade III tear (arrow) of LM extending beyond the margin of the lateral femoral condyle (F, femoral condyle; T, tibia). Johnson et al EVJ 2023
41
FIGURE 5 Ultrasound images of Foal 3 R LFTJ 3 days after initial presentation (a) and 6 months after initial presentation (b). US 6 months after initial presentation revealed increased synovial effusion within the LFTJ (*) and hypoechoic regions within an abnormally shaped meniscus (arrowheads) (b). The LM position continued to be displaced laterally and was abnormal in appearance with areas of increased echogenicity suggestive of forming mineralisation (arrows) (c). There was a marked palpable thickening and fibrosis over the region of the LM (d). Radiographs of the L stifle 6 months after initial presentation showed the LFC was flattened in appearance with remodelling of the lateral tibial condyle (e). A small radiolucent area (4 × 3 mm) was evident on the lateral tibial plateau, surrounded by a rim of sclerosis (arrow) (f).Johnson et al EVJ 2023
42
FIGURE 4 Radiograph showing a Jamshidi needle approaching the sternebra for bone marrow aspiration performed under general anaesthesia. This is the first step for production of autologous bone marrow-derived mesenchymal stem cells (BMSCs) (a). Foals 2 and 3 received 3 US-guided injections of autologous BMSCs, in the subextensorius recess of the affected LFTJs post initial discharge. T, tibia. Johnson et al EVJ 2023
43
Pérez-Nogués et al EVJ 2020 What was the main objective of this study on MFC lucencies in Thoroughbred horses? A) To test new treatments for MFC lucencies B) To analyze the genetic factors of MFC lucencies C) To examine the progression of MFC lucencies and compare racing careers with unaffected siblings D) To determine the effects of diet on MFC lucencies
C) To examine the progression of MFC lucencies and compare racing careers with unaffected siblings
44
Pérez-Nogués et al EVJ 2020 What percentage of horses had an MFC lucency ≤3 mm deep at the time of their radiographic sales set? A) 3.6% B) 6.4% C) 8.2% D) 12.9%
B) 6.4%
45
Pérez-Nogués et al EVJ 2020 What was observed about the progression of MFC lucencies in the study? A) Most lucencies resolved completely B) The majority of lucencies remained unchanged in size C) All lucencies increased in size D) Most lucencies developed into cysts
B) The majority of lucencies remained unchanged in size
46
Pérez-Nogués et al EVJ 2020 Which femur was more commonly affected by MFC lucencies? A) Both femurs were equally affected B) Left femur C) Right femur D) Neither femur was affected
C) Right femur
47
Pérez-Nogués et al EVJ 2020 How did the racing performance of Thoroughbreds with MFC lucencies compare to their unaffected maternal siblings? A) They had significantly fewer starts as 2-year-olds B) They had significantly more starts as 2-year-olds C) Their performance was unaffected D) They had better racing outcomes overall
A) They had significantly fewer starts as 2-year-olds
48
Fig 1: Radiographs obtained at initial examination of the horse showing the size and location of the cyst in the left femur (a,b,c). Two projections of the right femur were taken for comparison (d,e). a and d) caudocranial view, b) lateromedial view, c and e) oblique caudolateral-craniomedial view in Skov Hensen 2021 EVE
49
Skov Hensen et al EVE 2021 How was the cyst cavity accessed during the surgery? A) Through a lateral approach B) Through a medial, extra-articular transcortical approach C) Through an anterior approach D) Through a dorsal approach
B) Through a medial, extra-articular transcortical approach
50
Skov Hensen et al EVE 2021 What type of fluid was aspirated from the cyst cavity? A) Clear and colorless fluid B) Blood-tinged fluid C) Thick, greenish fluid D) Dark yellow fluid
D) Dark yellow fluid
51
Skov Hensen et al EVE 2021 What was applied to the incisions for wound protection prior to recovery? A) Antibacterial ointment B) Hydrogen peroxide cream C) Sterile gauze D) Antibiotic powder
B) Hydrogen peroxide cream
52
Skov Hensen et al EVE 2021 What diagnosis did the unusual cyst in the distal femur most closely resemble? A) Simple bone cyst (SBC) B) Unicameral bone cyst (UBC) C) Non-ossifying fibroma D) Aneurysmal bone cyst
B) Unicameral bone cyst
53
Alsherif et al EVE 2021What imaging technique was used pre-operatively to assess the ganglion cyst? A) MRI B) Radiographic contrast study C) Ultrasound D) CT scan
C) Ultrasound
54
Alsherif et al EVE 2021 Why were radiographic contrast and regional analgesic studies not performed in this case? A) The equipment was unavailable B) The horse's temperament and owner's financial constraints C) It was deemed unnecessary D) Lack of staff expertise
B) The horse's temperament and owner's financial constraints
55
Alsherif et al EVE 2021 Which of the following was found to be generally ineffective in conservative treatment of ganglion cysts? A) Surgical removal B) Sclerotherapy and hyaluronidase injection C) Physical therapy D) Radiographic contrast study
B) Sclerotherapy and hyaluronidase injection
56
Alsherif et al EVE 2021 What was the primary cause of the acute lameness in this case? A) Synovial cyst B) Tendon sheath injury C) Trauma-induced ganglion cyst D) Bone fracture
A) Synovial cyst
57
Alsherif et al EVE 2021 What confirmed the diagnosis of a peri-articular ganglion cyst in this case? A) Radiographic analysis B) Histopathological examination C) Ultrasound findings D) Synovial fluid analysis
B) Histopathological examination
58
Wormstrand et al EVJ 2021 What is the blood supply structure found in growth cartilage? A) Branch arteries C) Anastomosing arteries D) Collateral arteries
B) End arteries
59
Wormstrand et al EVJ 2021 At what age did the blood supply to the physis in foals switch to exclusively epiphyseal-origin arteries? A) 1-10 days old B) 10-15 days old C) 15 days old D) 62 days old
C) 15 days old
60
Wormstrand et al EVJ 2021 Which type of branching pattern was observed in vessels within the cartilage? A) Dichotomous B) Monopodial C) Collateral D) Mixed
B) Monopodial
61
Wormstrand et al EVJ 2021 What was a main limitation of this study? A) Small sample size of foals B) Foals with confirmed pathologies were not included C) Limited imaging resolution D) Lack of arterial perfusion techniques
B) Foals with confirmed pathologies were not included
62
63
F I G U R E 4 Viewing within the popliteal tunnel. A repeatable anatomical triad with the lateral femoral condyle (LFC), lateral meniscus (LM) and popliteal tendon (Pop) evident
63
F I G U R E 2 Arthroscopic view of the lateral recess of the right cranial compartment of the lateral femorotibial joint. The green arrow indicates the caudal and distal direction of the tendon of the popliteus muscle (P) on the abaxial margin of the lateral femoral condyle (L). The green circle indicates the position of the proposed arthroscopic portal for entry into popliteal tunnel. The circle is located on the cranial edge of the lateral collateral ligament; the cranial and caudal borders of the latter have been outlined with green dashed lines
64
F I G U R E 3 Anatomic dissection with the arthroscope and cannula in situ for the described lateral portal. The proposed skin portal (yellow circle) is located on the cranial aspect of the lateral collateral ligament (LCL) and caudal to the combined origin of the long digital extensor tendon and peroneus tertius (LDE/PT). The lateral femoral condyle (LFC) and lateral meniscus (LM) have been outlined, in addition to the tendinous and muscular portions of the popliteus (Pop; outlined by green dashed lines)
65
O'neil and Bladon EVJ 2020 What was the primary goal of the study? A) To identify new techniques for ligament repair B) To describe an alternative arthroscopic approach to the caudal pouches of the lateral femorotibial joint C) To find treatments for joint infection D) To assess cartilage health in the lateral femorotibial joint
B) To describe an alternative arthroscopic approach to the caudal pouches of the lateral femorotibial joint
66
O'neil and Bladon EVJ 2020 What risk does the current arthroscopic approach to the lateral femorotibial joint pose? A) Infection B) Nerve and cartilage injury C) Incomplete joint visualization D) Limited mobility post-surgery
B) Nerve and cartilage injury
67
O'neil and Bladon EVJ 2020 In this study, where was the new arthroscopic portal created? A) Cranial to the lateral collateral ligament B) Caudal to the femoropatellar joint C) Near the medial collateral ligament D) Inside the popliteus muscle
A) Cranial to the lateral collateral ligament
68
O'neil and Bladon EVJ 2020 What did the study identify as forming the division of the caudal pouches in the lateral femorotibial joint? A) The popliteus muscle and tendon B) A meniscopopliteal septum derived from the joint capsule C) The lateral collateral ligament D) Synovial folds
B) A meniscopopliteal septum derived from the joint capsule
69
F I G U R E 5 Intra-articular view of a tear (green arrow) present within the distal border of the popliteal tendon (Pop). The lateral meniscus (LM) and tibia (Tib, red arrow) are shown
70
O'neil and Bladon EVJ 2020 What was noted as a possible limitation of the study? A) Adverse effects in the clinical limbs B) Limited case numbers C) Inconsistent entry into the joint D) Inability to detect abnormalities
B) Limited case numbers
71
Croxford et al EVJ 2019What was the primary focus of this study? A) To identify new surgical techniques for stifle repair B) To document the occurrence and clinical significance of chondromalacia of the cranial medial femoral condyle (CMFC) in adult horses C) To investigate cartilage thickness in young horses D) To determine the success rate of anti-inflammatory medications
B) To document the occurrence and clinical significance of chondromalacia of the cranial medial femoral condyle (CMFC) in adult horses
72
Croxford et al EVJ 2019What was defined as a satisfactory outcome in this study? A) The horse is pain-free on anti-inflammatory medication B) The horse is in ridden work without ongoing anti-inflammatory medication C) The horse has no detectable signs of lameness D) The horse shows improved cartilage health on arthroscopy
B) The horse is in ridden work without ongoing anti-inflammatory medication
73
Croxford et al EVJ 2019 How many horses were found to have CMFC as their only surgical finding? A) 25 B) 54 C) 79 D) 104
A) 25 (24%) but total 75 had it 72%
74
Croxford et al EVJ 2019 At the 12-month follow-up, horses with CMFC were how many times more likely to have an unsatisfactory outcome compared to those without CMFC? A) 2.2 times B) 4.5 times C) 9.9 times D) 12.5 times
C) 9.9 times
75
Croxford et al EVJ 2019 What was one of the main limitations of this study? A) The study focused only on foals B) It involved only horses without any additional pathologies C) Outcome assessment was based on unstructured telephone interviews D) Only a small number of horses were included in the study
C) Outcome assessment was based on unstructured telephone interviews
76
Fig 2: Severe chondromalacia of the medial femoral condyle with a typical marked undulating appearance. in Croxford
77
Santischi et al EVJ 2020 What was the primary objective of this study? A) To evaluate the efficacy of anti-inflammatory drugs in horses B) To describe subchondral lucencies (SCL) in the equine proximal tibia, treatment options, and outcomes C) To explore new surgical techniques for tibial fractures D) To examine cartilage regeneration techniques in horses
B) To describe subchondral lucencies (SCL) in the equine proximal tibia, treatment options, and outcomes
78
Santischi et al EVJ 2020What treatment outcome was observed in young horses with non-lame, small primary tibial SCL? A) They required surgery for recovery B) Their SCL decreased in size with exercise restriction C) They showed no improvement with rest D) They were euthanized
B) Their SCL decreased in size with exercise restriction
79
Santischi et al EVJ 2020 How many horses in this study had proximal tibial SCL that were secondary to a medial femoral condyle SCL? A) 6 B) 11 C) 14 D) 17
A) 6
80
Santischi et al EVJ 2020 Which treatment method led to improvement in lameness and SCL size for both primary and secondary proximal tibial SCL? A) Exercise restriction B) Radiographic monitoring C) Screw fixation D) Surgical debridement
C) Screw fixation
81
What was the median duration of follow-up for horses in this study? A) 6 months B) 12 months C) 20 months D) 48 months
C) 20 months
82
Fig 1: Caudocranial a) and lateromedial b) radiographic views of the stifle of a horse with a displaced fracture of the medial intercondylar eminence of the tibia. The fractured medial intercondylar eminence of the tibia is indicated with an arrow in b). Rubio-Martinez et al EVJ 2018
83
Rubio-Martinez et al EVJ 2018 What is the primary treatment used for medial intercondylar eminence of the tibia (MICET) fractures in the study? A) External splinting B) Physical therapy C) Arthroscopic fragment removal D) Cast immobilization
C) Arthroscopic fragment removal
84
Rubio-Martinez et al EVJ 2018 How many horses in the study presented with damage to the cranial cruciate ligament? A) 5 B) 6 C) 12 D) 15
D)15 out of 21 so it is 72%
85
Rubio-Martinez et al EVJ 2018 What percentage of horses returned to their previous or expected use after treatment? A) 25% B) 50% C) 65% D) 72%
D) 72%
86
Rubio-Martinez et al EVJ 2018What were the study's main limitations as stated in the conclusions? A) High cost of surgery and recovery time B) Retrospective design, multicentre data, and limited number of cases C) Inconsistent treatment methods across cases D) Lack of information on long-term outcomes
B) Retrospective design, multicentre data, and limited number of cases
87
Rubio-Martinez et al EVJ 2018 In cases with severe articular soft tissue damage, what were common outcomes? A) Full recovery and return to previous use B) Mild, intermittent lameness C) Persistent lameness and, in some cases, euthanasia D) Spontaneous recovery without surgery
C) Persistent lameness and, in some cases, euthanasia
88
Santschi et al VS 2020 How many horses in the study showed lameness associated with proximal tibial SCL? A) 10 B) 14 C) 17 D) 3
B) 14 =82%
89
Santschi et al VS 2020 what treatment was successful for resolving lameness in horses with proximal tibial SCL? A) Exercise restrictions only B) Anti-inflammatory medication C) Surgical debridement D) Screw fixation
D) Screw fixation
90
Santschi et al VS 2020 What was the outcome for non-lame young horses with primary tibial SCL treated conservatively? A) The SCL healed successfully B) Lameness developed over time C) The SCL size increased D) Surgery was required
A) The SCL healed successfully
91
Santschi et al VS 2020 Which factor was associated with the need for screw fixation in SCL cases? A) Presence of concurrent infections B) Older age of the horse C) Lameness and larger SCL size D) Positive race performance
C) Lameness and larger SCL size
92
FIGURE 2 Caudoproximal 15-craniodistal projections of two stifles with primary tibial SCL; arrowheads indicate distal margin of tibial SCL in all images. A, Most common appearance of a lucency in a young horse in the lateral tibial condyle. B, Irregular shallow lucencies of the lateral tibial condyle and lateral femoral condyle (black arrow). #, horse identification No.; SCL, subchondral lucency
93
Santschi et al VS 2020 Where were localized most of the primary SCL?
Most (91%) primary SCL were in the lateral tibial plateau
94
Klein et al VS 2023 How many Thoroughbred horses in the study successfully raced after treatment for MFC subchondral cystic lesions? A) 57 B) 78 C) 107 D) 31
B)78 = 73%
95
Klein et al VS 2023 Which treatment method had the highest percentage of horses that raced post-treatment? A) Arthroscopic debridement B) Intralesional autologous mesenchymal stem cell (MSC) injection C) Intralesional corticosteroid injection D) All treatments had the same success rate
B) Intralesional autologous mesenchymal stem cell (MSC) injection
96
Klein et al VS 2023 According to the study, which factor tended to reduce the probability of racing post-treatment? A) The affected limb B) The sex of the horse C) Increasing lesion size D) The type of treatment used
C) Increasing lesion size by each 1 mm gave less 10% chance of racing
97
Klein et al VS 2023 What is the clinical significance of this study’s findings? A) Only one treatment should be considered for MFC subchondral cystic lesions. B) All three treatment options show a good prognosis for racing post-treatment. C) Lesion size does not affect racing outcomes. D) Surgery is the preferred treatment for all cases.
B) All three treatment options show a good prognosis for racing post-treatment Stem ç 84% > 72% arthro > 68% cortico
98
Frazer et al VS 2019 hat was the main objective of this study on equine subchondral bone cysts (SBC) in the medial femoral condyle (MFC)? A) To identify causes of SBC in horses B) To predict bone formation stimulus from a transcondylar screw C) To examine stress tolerance of the equine MFC D) To measure healing time for MFC lesions
B) To predict bone formation stimulus from a transcondylar screw
99
Frazer et al VS 2019 How was the transcondylar screw modeled in the study's finite element model (FEM)? A) As a 6.5-mm titanium rod B) As a 4.5-mm stainless steel cylinder C) As a 4.5-mm titanium cylinder D) As a 6.5-mm stainless steel rod
B) As a 4.5-mm stainless steel cylinder
100
Frazer et al VS 2019 Which variable did NOT increase the bone formation stimulus according to the study’s findings? A) Increased daily cycles B) Increased load C) Screw compression D) Bone density
D) Bone density
101
Frazer et al VS 2019 According to the study, what percentage of bone surface area (BFA) exceeded the bone formation threshold (BFT) under standard conditions of 750 cycles and 900-N load? A) Less than 3% B) 10% C) 25% D) 50%
A) Less than 3%
102
Frazer et al VS 2019 What clinical significance does this study provide? A) It suggests that lag screws are ineffective for MFC lesions. B) It provides evidence supporting the use of a lag screw through an MFC SBC to encourage bone formation. C) It shows that SBC cannot be treated with surgical methods. D) It concludes that higher stress levels damage bone formation.
B) It provides evidence supporting the use of a lag screw through an MFC SBC to encourage bone formation.
103
Moreno et al VS 2022 Which of the following conditions generated the greatest median compression in PLA bone analogs? A) Neutral unicortical screws B) Lag unicortical screws C) Neutral bicortical screws D) Lag bicortical screws
C) Neutral bicortical screws
104
Moreno et al VS 2022 What was the significant finding regarding the difference in compression between lag and neutral screws? A) Lag screws generated consistently higher compression than neutral screws B) Neutral screws generated greater compression in PLA compared to lag screws C) There was no difference in median compression between lag and neutral screws D) Neutral screws were found to be unsuitable for generating compression in cancellous bone analogs
C) There was no difference in median compression between lag and neutral screws